相关产品推荐更多 >
万千商家帮你免费找货
0 人在求购买到急需产品
- 详细信息
- 文献和实验
- 技术资料
- 应用范围:
产品信息以Bioss网站为准
- 规格:
50ul/100ul/200ul
| 规格: | 50ul | 产品价格: | ¥1180.0 |
|---|---|---|---|
| 规格: | 100ul | 产品价格: | ¥1980.0 |
| 规格: | 200ul | 产品价格: | ¥2800.0 |
| 产品编号 | bs-5005R |
| 英文名称 | PFKFB2/PFK2 Rabbit pAb |
| 中文名称 | 果糖-2,6-二磷酸酶2/磷酸果糖激酶2抗体 |
| 英文别名 | 6 phosphofructo 2 kinase/fructose 2 6 biphosphatase 2; 6-bisphosphatase; 6-P2ase 2; 6-P2ASE heart-type isozyme; 6PF 2 K/Fru 2 6 P2ASE heart type isozyme; 6PF-2-K/Fru-2; F262_HUMAN; Fructose 2 6 bisphosphatase cardiac isozyme; Fructose-2; PFK 2/FBPase 2; PFK/FBPase 2; PFKFB cardiac; PFKFB2. |
| 产品应用 | WB=1:500-2000, IHC-P=1:100-500, IHC-F=1:100-500, IF=1:100-500 Not yet tested in other applications. |
| 交叉反应 | Human, Mouse, Rat (Chicken, Dog) |
| 抗体来源 | Rabbit |
| 免疫原 | KLH conjugated synthetic peptide derived from human PFKFB2 |
| 亚型 | IgG |
| 性状 | Liquid |
| 纯化方法 | affinity purified by Protein A |
| 克隆类型 | Polyclonal |
| 理论分子量 | 58 kDa |
| 浓度 | 1mg/ml |
| 储存液 | 0.01M TBS (pH7.4) with 1% BSA, 0.02% Proclin300 and 50% Glycerol. |
| 研究领域 | Cancer > Cancer Metabolism > Metabolic signaling pathway > Metabolism of carbohydrates Cardiovascular > Heart > Cardiac metabolism Metabolism > Pathways and Processes > Metabolic signaling pathways > Carbohydrate metabolism Metabolism > Pathways and Processes > Metabolic signaling pathways > Energy transfer pathways > Energy Metabolism Signal Transduction > Metabolism > Energy Metabolism |
| 亚基 | Homodimer (By similarity). |
| 组织特异性 | Heart. |
| 翻译后修饰 | Phosphorylation by AMPK stimulates activity. |
| 相似性 | In the C-terminal section; belongs to the phosphoglycerate mutase family. |
| 功能 | Synthesis and degradation of fructose 2,6-bisphosphate. |
| 保存条件 | Shipped at 4℃. Store at -20℃ for one year. Avoid repeated freeze/thaw cycles. |
| 注意事项 | This product as supplied is intended for research use only, not for use in human, therapeutic or diagnostic applications. |
| 背景资料 | PFKFB2 is involved in both the synthesis and degradation of fructose-2,6-bisphosphate, a regulatory molecule that controls glycolysis in eukaryotes. It has a 6-phosphofructo-2-kinase activity that catalyzes the synthesis of fructose-2,6-bisphosphate, and a fructose-2,6-biphosphatase activity that catalyzes the degradation of fructose-2,6-bisphosphate. PFKFB2 regulates fructose-2,6-bisphosphate levels in the heart, while a related enzyme encoded by a different gene regulates fructose-2,6-bisphosphate levels in the liver and muscle. This enzyme functions as a homodimer. There are two named isoforms. |
| 应用 | 推荐稀释比例 |
| {WB} | {1:500-2000} |
| {IHC-P} | {1:100-500} |
| {IHC-F} | {1:100-500} |
| {IF} | {1:100-500} |

PC-3 Cell Lysate at 40 ug
HepG2 Cell Lysate at 40 ug
_x000b_ Primary: Anti- PFKFB2/PFK2 (bs-5005R) at 1/300 dilution
_x000b_ Secondary: IRDye800CW Goat Anti-Rabbit IgG at 1/20000 dilution
_x000b_ Predicted band size: 58 kD
_x000b_ Observed band size: 62 kD

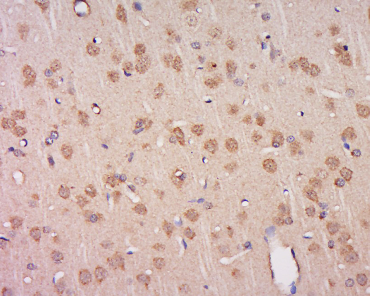
Antigen retrieval: citrate buffer ( 0.01M, pH 6.0 ), Boiling bathing for 15min; Block endogenous peroxidase by 3% Hydrogen peroxide for 30min; Blocking buffer (normal goat serum,C-0005) at 37℃ for 20 min;
Incubation: Anti-PFKFB2 Polyclonal Antibody, Unconjugated(bs-5005R) 1:500, overnight at 4°C, followed by conjugation to the secondary antibody(SP-0023) and DAB(C-0010) staining

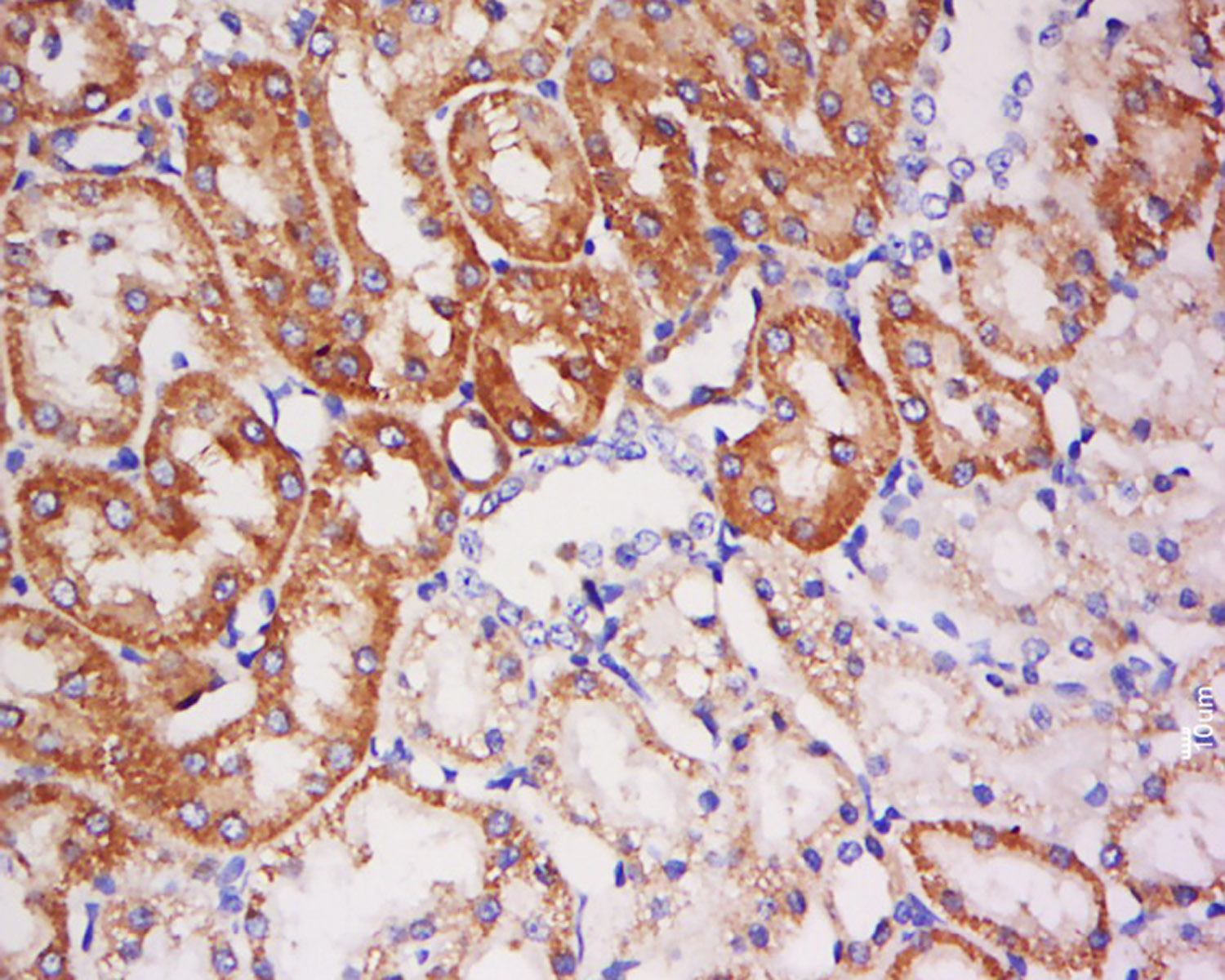
Antigen retrieval: citrate buffer ( 0.01M, pH 6.0 ), Boiling bathing for 15min; Block endogenous peroxidase by 3% Hydrogen peroxide for 30min; Blocking buffer (normal goat serum,C-0005) at 37℃ for 20 min;
Incubation: Anti-PFKFB2 Polyclonal Antibody, Unconjugated(bs-5005R) 1:500, overnight at 4°C, followed by conjugation to the secondary antibody(SP-0023) and DAB(C-0010) staining

风险提示:丁香通仅作为第三方平台,为商家信息发布提供平台空间。用户咨询产品时请注意保护个人信息及财产安全,合理判断,谨慎选购商品,商家和用户对交易行为负责。对于医疗器械类产品,请先查证核实企业经营资质和医疗器械产品注册证情况。
文献和实验= NAL), appears to form upon oxidative cyclization of the nonfluorescent 2:1 lysine-HNE Michael adduct-Schiff base cross-link (Scheme 1). Polyclonal antibody (PAb) to the NAL-HNE fluorophore was raised in rabbit and found to be highly specific
. Retrieved 2010-11-29. ^ Nielsen BS, Jørgensen S, Fog JU, Søkilde R, Christensen IJ, Hansen U, Brünner N, Baker A, Møller S, Nielsen HJ (October 2010). "High levels of microRNA-21 in the stroma of colorectal cancers predict short disease-free survival
+oieSKeKcgxGinlRPl7uja5iYeDdc+K3eZhXhIOHOy+p9cxrGU9WCTkVcT5iRR/BsR+N0IDPSu3x0pXo0IRAQiAhGBiEBE4ABCwPnwbu0wGmW8ULj7NRb20DLRYqFW1Up6ODBube+wknwaZ5w/y92bXLbV5K3CJ+hhzKwdSHCmVrada2Qy0eyxvi0r7Lkl99ukcaOkRe60Sj82E8qgnmxNtzHGRRyZQtf1g41GIMau5W7ITlqbiDRR0CA3tPhIsEdmP5hZ
技术资料暂无技术资料 索取技术资料








