相关产品推荐更多 >

Placental alkaline phosphatase (PLAP) Rabbit pAb, APC-Cy7 conjugated(bs-20015R-APC-Cy7)-100ul
¥2980
Cofilin Rabbit pAb(bs-21842R)-50ul/100ul/200ul
¥1180
Galectin-1 Recombinant Rabbit mAb(bsm-60296R)-50ul/100ul/25ul
¥800
Myocardin Rabbit pAb(bs-9472R)-50ul/100ul/200ul
¥1180
TRIB3 Rabbit pAb, APC-Cy5.5 conjugated(bs-7538R-APC-Cy5.5)-100ul
¥2980
万千商家帮你免费找货
0 人在求购买到急需产品
- 详细信息
- 文献和实验
- 技术资料
- 应用范围:
产品信息以Bioss网站为准
- 规格:
50ul/100ul/200ul
| 规格: | 50ul | 产品价格: | ¥1180.0 |
|---|---|---|---|
| 规格: | 100ul | 产品价格: | ¥1980.0 |
| 规格: | 200ul | 产品价格: | ¥2800.0 |
| 产品编号 | bs-3975R |
| 英文名称 | AMY2A Rabbit pAb |
| 中文名称 | 胰腺α淀粉酶抗体 |
| 英文别名 | amylase, salivary, B; 1 4 alpha D glucan glucanohydrolase; 1; 1, 4 alpha D glucan glucanohydrolase 2B; 1, 4-alpha-D-glucan glucanohydrolase 1; 4-alpha-D-glucan glucanohydrolase 1; alpha amylase 2B; alpha amylase; alpha amylase carcinoid; alpha-amylase 1; alpha-amylase found in the pancreas; AMY1; AMY1_HUMAN; AMY1C; AMY2; AMY2B; AMY3; Amylase alpha 2A; pancreatic; amylase, alpha 1A(salivary); Amylase, alpha 1B(salivary); amylase, alpha 1C(salivary); Amylase, alpha 2A(pancreatic); amylase, alpha 2B(pancreatic); amylase, pancreatic, B; amylase, pancreatic, alpha-2A; amylase, salivary, alpha-1A; amylase, salivary, alpha-1B; amylase, salivary, alpha-1C; amylase, salivary, C; carcinoid alpha-amylase; e amylase, alpha 1B(salivary); Found in the pancreas; glycogenase; HXA; PA; pancreatic alpha-amylase; pancreatic amylase 2A; pancreatic amylase alpha 2A; Salivary alpha-amylase; salivary amylase alpha 1A; salivary amylase alpha 1B; salivary amylase alpha 1C. |
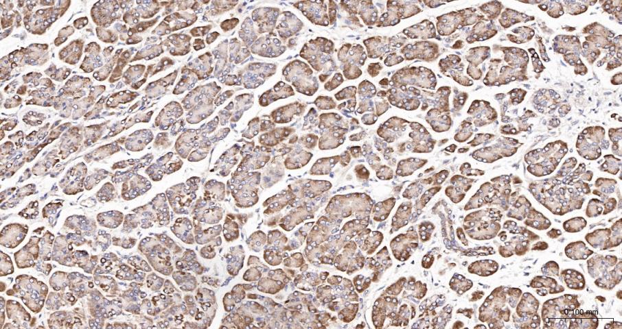
| 产品应用 | WB=1:500-2000, IHC-P=1:100-500, IHC-F=1:100-500, IF=1:100-500 Not yet tested in other applications. |
| 交叉反应 | Human, Mouse, Rat (Dog, Pig, Cow, Horse, Rabbit) |
| 抗体来源 | Rabbit |
| 免疫原 | KLH conjugated synthetic peptide derived from human Pancreatic Amylase |
| 亚型 | IgG |
| 性状 | Liquid |
| 纯化方法 | affinity purified by Protein A |
| 克隆类型 | Polyclonal |
| 理论分子量 | 58 kDa |
| 浓度 | 1mg/ml |
| 储存液 | 0.01M TBS (pH7.4) with 1% BSA, 0.02% Proclin300 and 50% Glycerol. |
| 研究领域 | Cancer > Cancer Metabolism > Metabolic signaling pathway > Metabolism of carbohydrates Metabolism > Pathways and Processes > Metabolic signaling pathways > Carbohydrate metabolism Signal Transduction > Metabolism > Lipid metabolism Tags & Cell Markers > Cell Type Markers > Other Cell Types |
| 亚基 | Monomer. |
| 亚细胞定位 | Secreted, extracellular space. |
| 相似性 | Belongs to the glycosyl hydrolase 13 family. |
| 保存条件 | Shipped at 4℃. Store at -20℃ for one year. Avoid repeated freeze/thaw cycles. |
| 注意事项 | This product as supplied is intended for research use only, not for use in human, therapeutic or diagnostic applications. |
| 背景资料 | Amylases are secreted proteins that hydrolyze 1,4-alpha-glucoside bonds in oligosaccharides and polysaccharides, and thus catalyze the first step in digestion of dietary starch and glycogen. The human genome has a cluster of several amylase genes that are expressed at high levels in either salivary gland or pancreas. This gene encodes an amylase isoenzyme produced by the pancreas. [provided by RefSeq, Jul 2008]. |
| 应用 | 推荐稀释比例 |
| {WB} | {1:500-2000} |
| {IHC-P} | {1:100-500} |
| {IHC-F} | {1:100-500} |
| {IF} | {1:100-500} |



风险提示:丁香通仅作为第三方平台,为商家信息发布提供平台空间。用户咨询产品时请注意保护个人信息及财产安全,合理判断,谨慎选购商品,商家和用户对交易行为负责。对于医疗器械类产品,请先查证核实企业经营资质和医疗器械产品注册证情况。
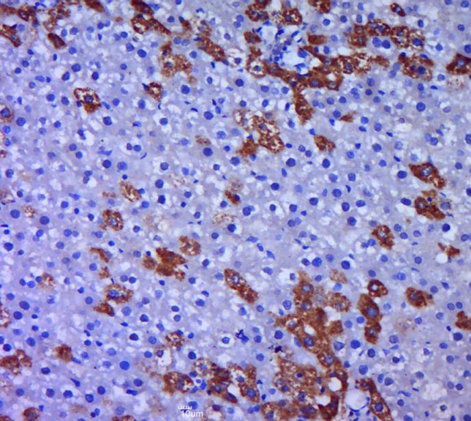
文献和实验[IF={{ 4.631 }}] {Xiao-Fan Xu. et al. Aspirin Ameliorates Pancreatic Inflammation and Fibrosis by Inhibiting COX-2 Expression in Experimental Chronic Pancreatitis. J INFLAMM RES. 2022 Aug;15:4737-4749} {IHC} {Mouse}
= NAL), appears to form upon oxidative cyclization of the nonfluorescent 2:1 lysine-HNE Michael adduct-Schiff base cross-link (Scheme 1). Polyclonal antibody (PAb) to the NAL-HNE fluorophore was raised in rabbit and found to be highly specific
GE Healthcare Benzamidine Sepharose™ 6B is p-aminobenzamidine covalently attached to Sepharose 6B by the epoxy coupling method. p-Aminobenzamidine (PAB), is a synthetic inhibitor of trypsin-like serine protease. Trypsin and trypsin
Nucleic Acid Programmable Protein Arrays: Versatile Tools for Array‐Based Functional Protein Studies
.g., Sigma) 50 mg/ml bis‐sulfosuccinimdylsuberate (BS3 ;Pierce, cat. no. PI 21580) in dimethylsulfoxide (DMSO) 5 mg/ml
技术资料暂无技术资料 索取技术资料






