相关产品推荐更多 >

Anti-human HGFR / c-Met (Telisotuzumab vedotin Biosimilar)(BIO0864SM)-1mg/5mg/20mg
¥3200
phospho-DAXX (Ser668) Rabbit pAb, AP conjugated(bs-12984R-AP)-100ul
¥2980
Granzyme A Rabbit pAb, FITC conjugated(bs-2578R-FITC)-100ul
¥2980
DDIT4L Rabbit pAb, HRP conjugated(bs-6376R-HRP)-100ul
¥2980
AKT1S1 Recombinant Rabbit mAb(bsm-61150R)-50ul/100ul/25ul
¥800
万千商家帮你免费找货
0 人在求购买到急需产品
- 详细信息
- 文献和实验
- 技术资料
- 应用范围:
产品信息以Bioss网站为准
- 规格:
50ul/100ul/200ul
| 规格: | 50ul | 产品价格: | ¥1180.0 |
|---|---|---|---|
| 规格: | 100ul | 产品价格: | ¥1980.0 |
| 规格: | 200ul | 产品价格: | ¥2800.0 |
| 产品编号 | bs-3274R |
| 英文名称 | phospho-MKK3(Ser218) + MKK6(Ser207) Rabbit pAb |
| 中文名称 | 磷酸化丝裂原活化蛋白激酶MKK3/6抗体 |
| 英文别名 | MKK3(phospho-Ser218); MAP Kinase Kinase 3; Dual specificity mitogen activated protein kinase kinase 3; ERK kinase 3; MAP kinase kinase 3; MAP2K 3; MAPK ERK kinase 3; MAPK kinase 3; MAPKK 3; MAPKK3; MEK 3; MEK3; Mitogen activated protein kinase kinase 3; MKK 3; MKK3; mMKK 3b; mMKK3b; MPK 3; PRKMK 3; PRKMK3; Protein kinase mitogen activated kinase 3; SKK2; zMKK 3; MP2K3_HUMAN; MP2K6_HUMAN |
| 产品应用 | WB=1:500-2000, IHC-P=1:100-500, IHC-F=1:100-500, IF=1:100-500 Not yet tested in other applications. |
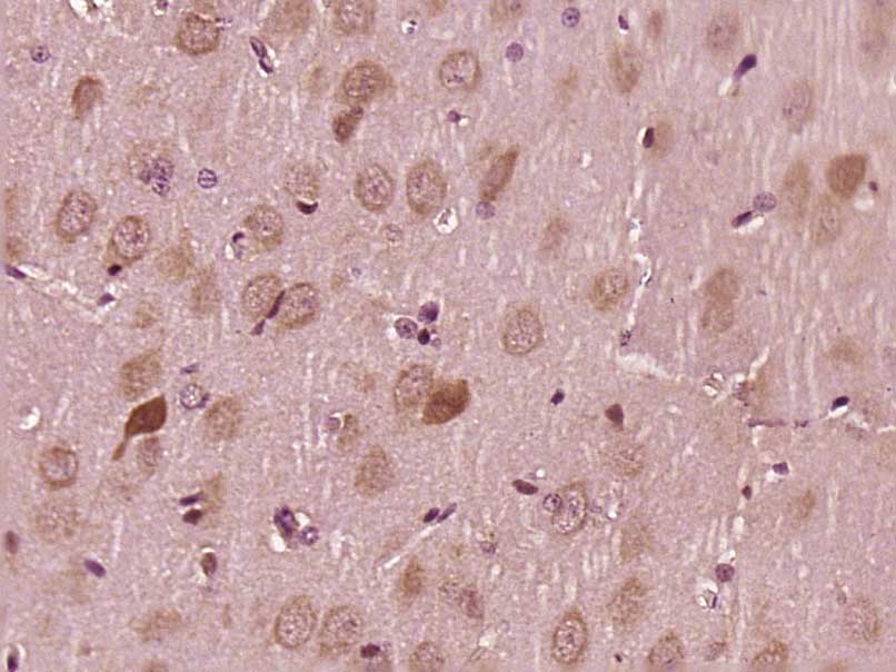
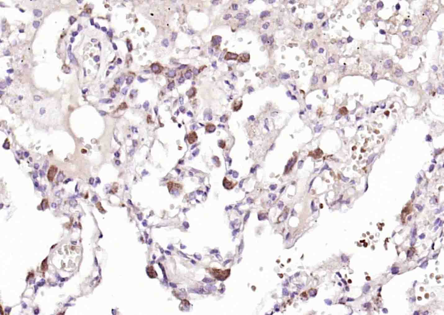
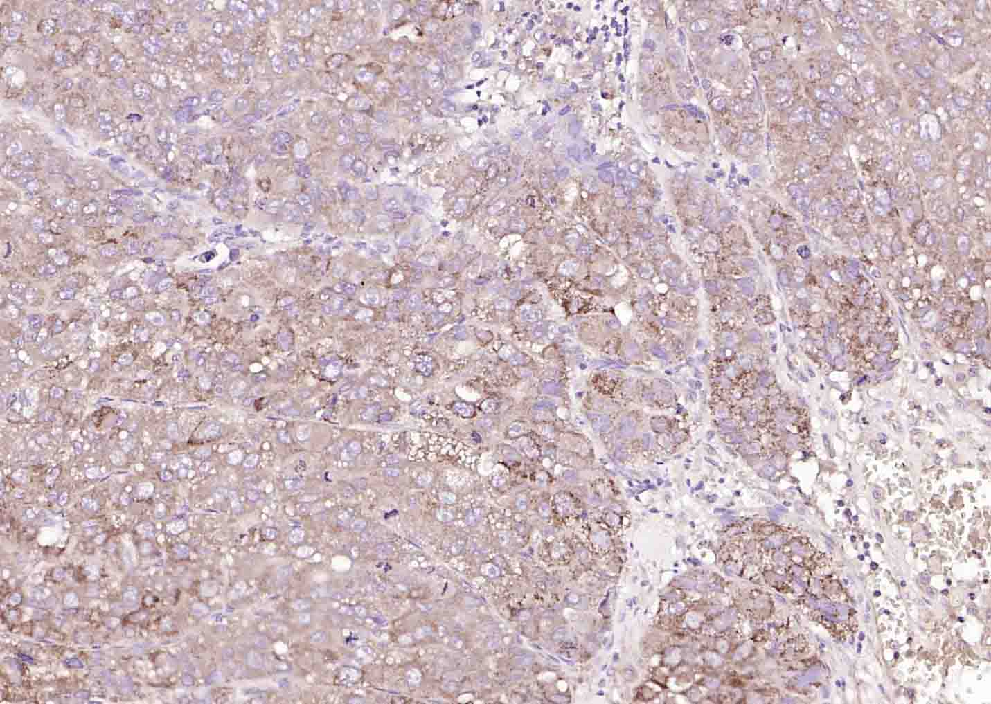
| 交叉反应 | Human, Mouse, Rat, human lung carcinoma, human lung carcinoma, human lung carcinoma, human lung carcinoma, human liver carcinoma, human liver carcinoma, human liver carcinoma, human liver carcinoma, 肾, 肾, 肾, 肾 (Chicken, Dog, Pig, Cow, Horse, Rabbit) |
| 抗体来源 | Rabbit |
| 免疫原 | KLH conjugated synthesised phosphopeptide derived from human MKK3 around the phosphorylation site of Ser218 |
| 亚型 | IgG |
| 性状 | Liquid |
| 纯化方法 | affinity purified by Protein A |
| 克隆类型 | Polyclonal |
| 理论分子量 | 39 kDa |
| 浓度 | 1mg/ml |
| 储存液 | 0.01M TBS (pH7.4) with 1% BSA, 0.02% Proclin300 and 50% Glycerol. |
| 研究领域 | Cancer > Signal transduction > Protein phosphorylation > Serine/threonine kinases > MAPK pathway Epigenetics and Nuclear Signaling > Transcription > Other factors Immunology > Innate Immunity > TLR Signaling Signal Transduction > Protein Phosphorylation > Ser / Thr Kinases > MAPK Pathway Signal Transduction > Protein Phosphorylation > Tyrosine Kinases |
| 亚基 | Binds to DYRK1B/MIRK and increases its kinase activity. Part of a complex with MAP3K3, RAC1 and CCM2. Interacts with ARRB1. Interacts with Yersinia yopJ. |
| 亚细胞定位 | Cytoplasm; cytoskeleton. |
| 组织特异性 | Abundant expression is seen in the skeletal muscle. It is also widely expressed in other tissues. |
| 翻译后修饰 | Autophosphorylated. Phosphorylation on Ser-218 and Thr-222 by MAP kinase kinase kinases regulates positively the kinase activity. Phosphorylated by TAOK2. Yersinia yopJ may acetylate Ser/Thr residues, preventing phosphorylation and activation, thus blocking the MAPK signaling pathway. |
| 相似性 | Belongs to the protein kinase superfamily. STE Ser/Thr protein kinase family. MAP kinase kinase subfamily. Contains 1 protein kinase domain. |
| 功能 | Dual specificity kinase. Is activated by cytokines and environmental stress in vivo. Catalyzes the concomitant phosphorylation of a threonine and a tyrosine residue in the MAP kinase p38. |
| 保存条件 | Shipped at 4℃. Store at -20℃ for one year. Avoid repeated freeze/thaw cycles. |
| 注意事项 | This product as supplied is intended for research use only, not for use in human, therapeutic or diagnostic applications. |
| 背景资料 | The protein encoded by this gene is a dual specificity protein kinase that belongs to the MAP kinase kinase family. This kinase is activated by mitogenic and environmental stress, and participates in the MAP kinase-mediated signaling cascade. It phosphorylates and thus activates MAPK14/p38-MAPK. This kinase can be activated by insulin, and is necessary for the expression of glucose transporter. Expression of RAS oncogene is found to result in the accumulation of the active form of this kinase, which thus leads to the constitutive activation of MAPK14, and confers oncogenic transformation of primary cells. The inhibition of this kinase is involved in the pathogenesis of Yersina pseudotuberculosis. Multiple alternatively spliced transcript variants that encode distinct isoforms have been reported for this gene. [provided by RefSeq]. |
| 应用 | 推荐稀释比例 |
| {WB} | {1:500-2000} |
| {IHC-P} | {1:100-500} |
| {IHC-F} | {1:100-500} |
| {IF} | {1:100-500} |


Muscle (Mouse) Lysate at 40 ug
Primary: Anti-Phospho-MKK3(Ser218) + MKK6(Ser207) (bs-3274R) at 1/1000 dilution
Secondary: IRDye800CW Goat Anti-Rabbit IgG at 1/20000 dilution
Predicted band size: 39 kD
Observed band size: 40 kD

Muscle(Rat) Lysate at 40 ug
Primary: Anti-Phospho-MKK3(Ser218) + MKK6(Ser207) (bs-3274R) at 1/1000 dilution
Secondary: IRDye800CW Goat Anti-Rabbit IgG at 1/20000 dilution
Predicted band size: 39 kD
Observed band size: 40 kD


风险提示:丁香通仅作为第三方平台,为商家信息发布提供平台空间。用户咨询产品时请注意保护个人信息及财产安全,合理判断,谨慎选购商品,商家和用户对交易行为负责。对于医疗器械类产品,请先查证核实企业经营资质和医疗器械产品注册证情况。
文献和实验[IF={{ 8.2 }}] {Qinbing Xue. et al. Structural characterization and immune-enhancing effects of a novel polysaccharide extracted from Sargassum fusiforme. INT J BIOL MACROMOL. 2024 May;:132497} {WB} {Mouse}
[IF={{ 6.1 }}] {Dongxue Song. et al. Purple Sweet Potato Polysaccharide Exerting an Anti-inflammatory Effect via a TLR-Mediated Pathway by Regulating Polarization and Inhibiting the Inflammasome Activation. J AGR FOOD CHEM. 2024;XXXX(XXX):XXX-XXX} {WB} {Mouse}
[IF={{ 4.2 }}] {Zenan Chen. et al. The Mechanism of a Novel Mitochondrial-Targeted Icaritin Derivative in Regulating Apoptosis of BEL-7402 Cells Based on the SIRT3 and CypD-Mediated ROS/p38 MAPK Signaling Pathway. MOLECULES. 2025 Jan;30(8):1667} {WB} {Human}
:使用 Anti-phospho-Akt (Ser473) Rabbit mAb 对石蜡包埋的人乳腺癌组织进行免疫组织化学分析。(图 A)使用免疫组化试剂盒M&R HRP/DAB Detection IHC Kit,抗体 1:100 稀释;(图 B) 采用普通免疫组化试剂盒,抗体 1:25 稀释。 图 6 免疫组化实验检测 Erk1/2 表达 注:使用 Anti-Erk1/2 Mouse mAb与p44/42 MAPK (Erk1/2)Rabbit mAb 对正常小鼠心脏组织进行免疫
at 10, 25, and 50 μM). At 24 h post-treatment, celllysates were obtained; SDS-PAGE and Western blotting were performed as described in Section 3, Methods. AR-A014418dose-dependent decreases of phospho-β-catenin (Ser33/37) and phospho-glycogen synthase
(Ser473)(193H12)Rabbit mAb,1:300,稀释,二抗是驴抗兔,1:2000,我是实验室的新手,刚呆俩月,受 此挫折,一头雾水,请过来人或者有经验的同学帮忙解答怎样解决,非常感谢! 碧峤 pAkt有两个位点,Ser473和Thr308,其中Ser473相对容易显色。如果显色失败,可能的原因:1 上样量过少,我们一般都是30μg;2 一抗孵育时间过短,我们一般24h~48h;3 一抗是否工作有待排除 米宝
技术资料暂无技术资料 索取技术资料






