相关产品推荐更多 >

phospho-P38 MAPK (Thr180 + Tyr182) Rabbit pAb(bs-0636R)-50ul/100ul/200ul
¥1180
MIPOL1 Rabbit pAb, AP conjugated(bs-18946R-AP)-100ul
¥2980
phospho-LYRIC (Ser568) Rabbit pAb, Biotin conjugated(bs-18581R-Bio)-100ul
¥2980
human/mouse CD11b Rat mAb, APC conjugated(bsm-30153A-APC)-25T/50T/100T
¥1080
HO-2 Rabbit pAb, BF405 conjugated(bs-1238R-BF405)-100ul
¥2980
万千商家帮你免费找货
0 人在求购买到急需产品
- 详细信息
- 文献和实验
- 技术资料
- 应用范围:
产品信息以Bioss网站为准
- 规格:
50ul/100ul/200ul
| 规格: | 50ul | 产品价格: | ¥1180.0 |
|---|---|---|---|
| 规格: | 100ul | 产品价格: | ¥1980.0 |
| 规格: | 200ul | 产品价格: | ¥2800.0 |
| 产品编号 | bs-3248R |
| 英文名称 | phospho-LKB1 (Ser334) Rabbit pAb |
| 中文名称 | 磷酸化丝氨酸/苏氨酸蛋白激酶抗体 |
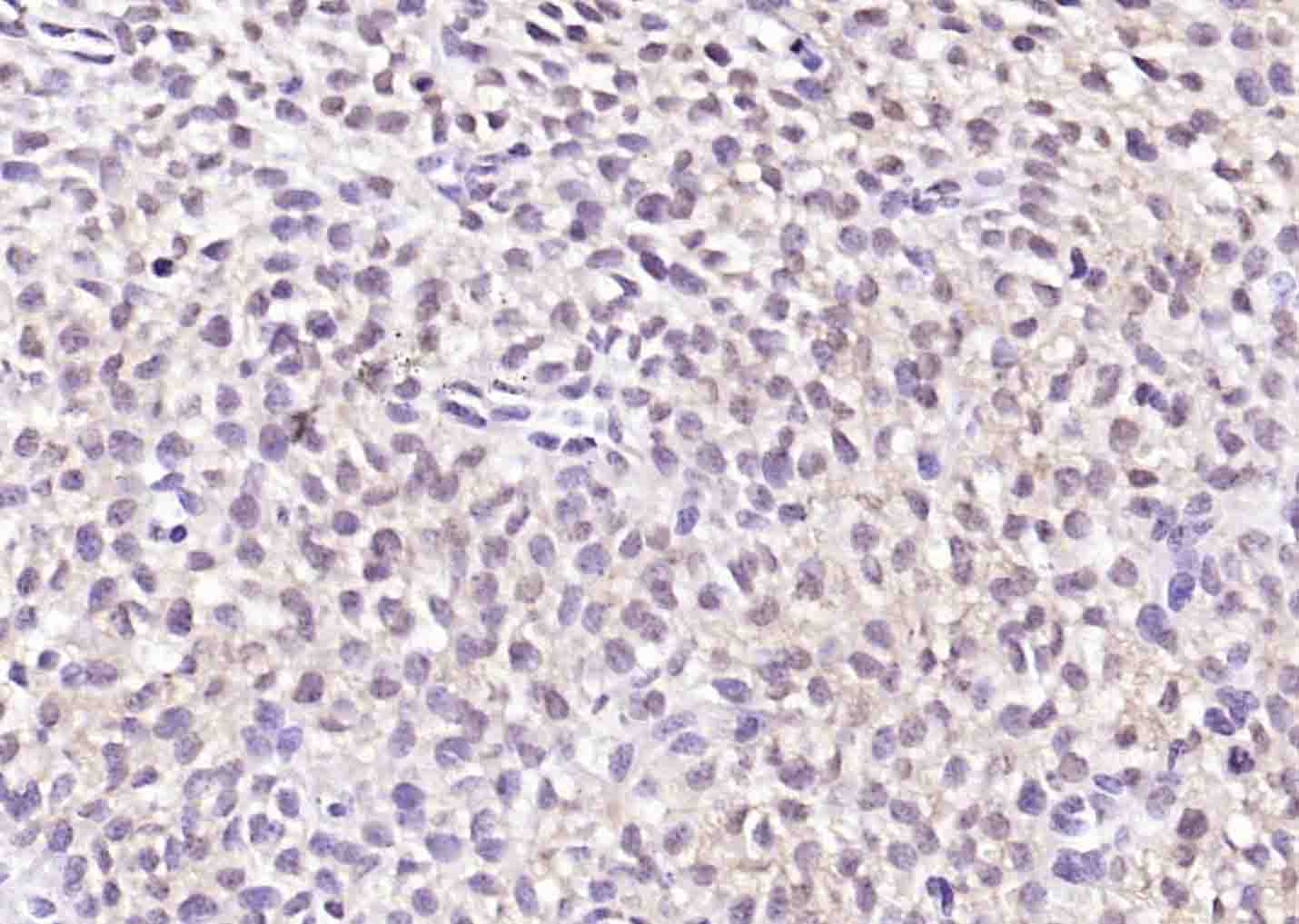
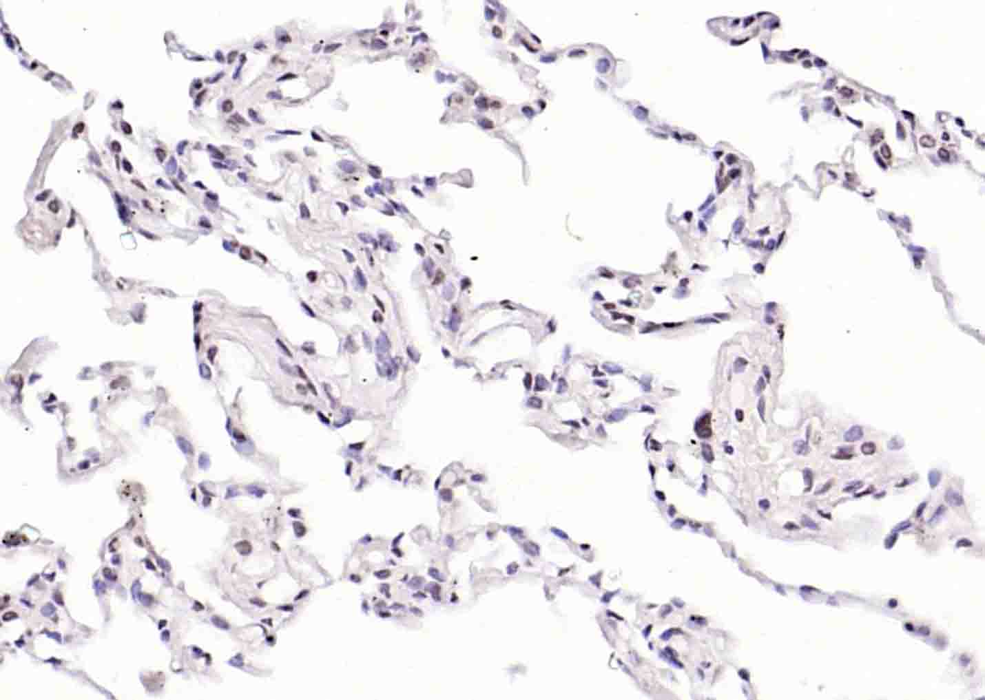
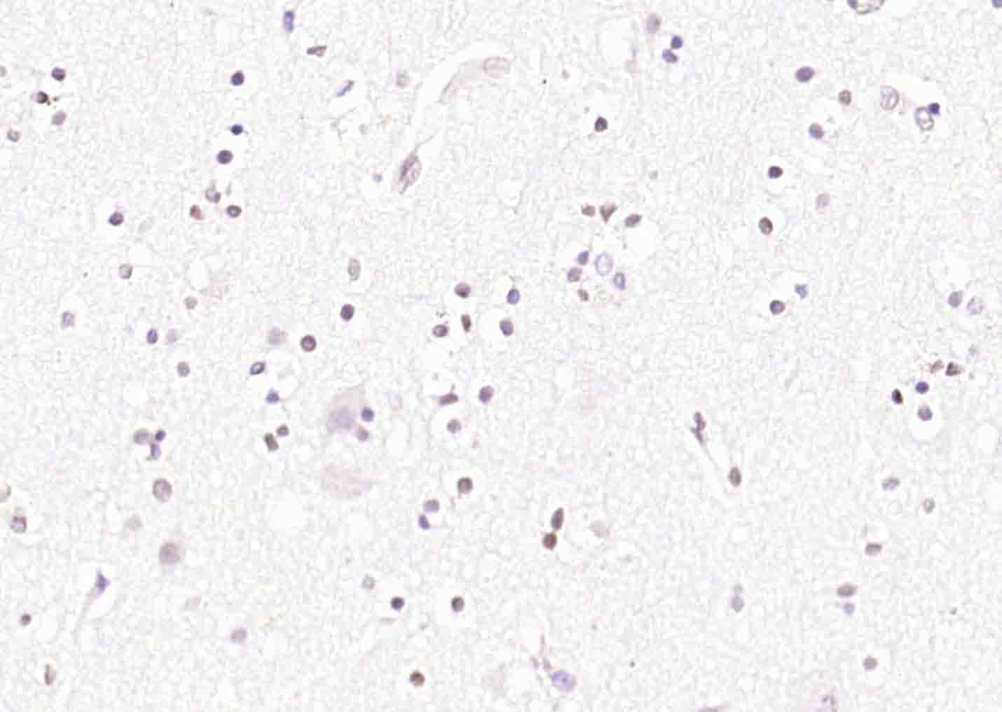
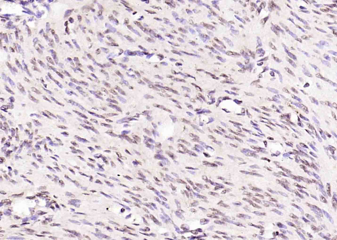
| 英文别名 | STK11(phospho S334); LKB1(phospho Ser334); p-LKB1(phospho Ser334); p-LKB1(S334); LKB1; PJS; Renal carcinoma antigen NY-REN-19; Serine/Threonine Kinase 11; Serine/threonine protein kinase 11; Serine/threonine protein kinase LKB1; Serine/threonine-protein kinase 11; Serine/threonine-protein kinase LKB1; Stk11; STK11_HUMAN; hLKB1; Liver kinase B1; LKB 1; NY REN 19 antigen; Peutz Jeghers syndrome; PJS; Polarization related protein LKB1; Serine/threonine protein kinase STK11; Serine/threonine-protein kinase XEEK1; STK 11. |
| 产品应用 | WB=1:500-2000, IHC-P=1:100-500, IHC-F=1:100-500, IF=1:100-500, Flow-Cyt=1ug/Test Not yet tested in other applications. |
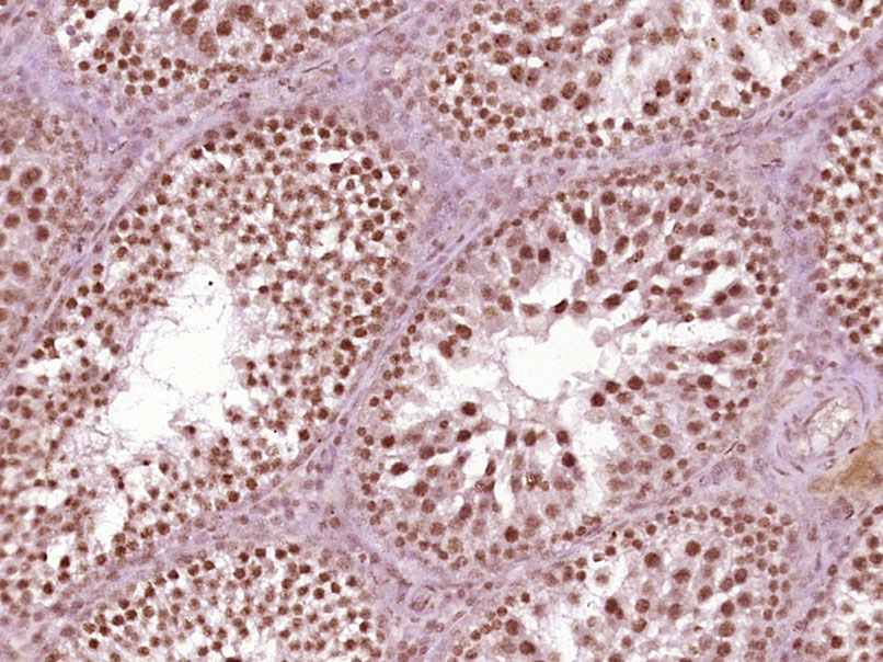
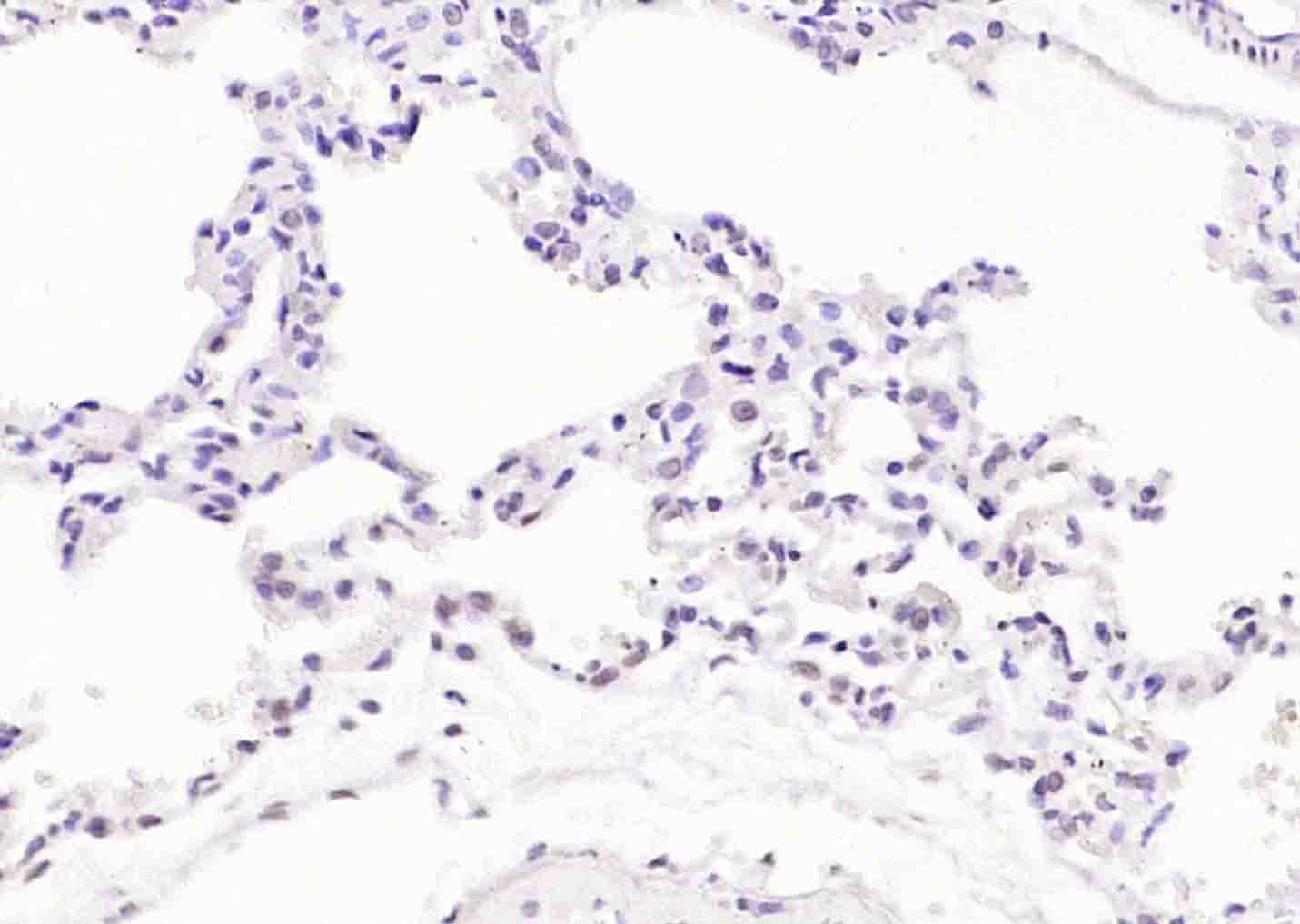
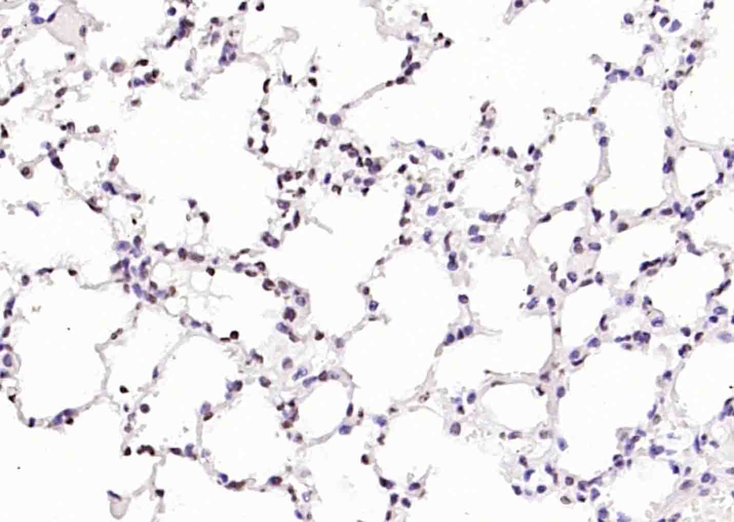
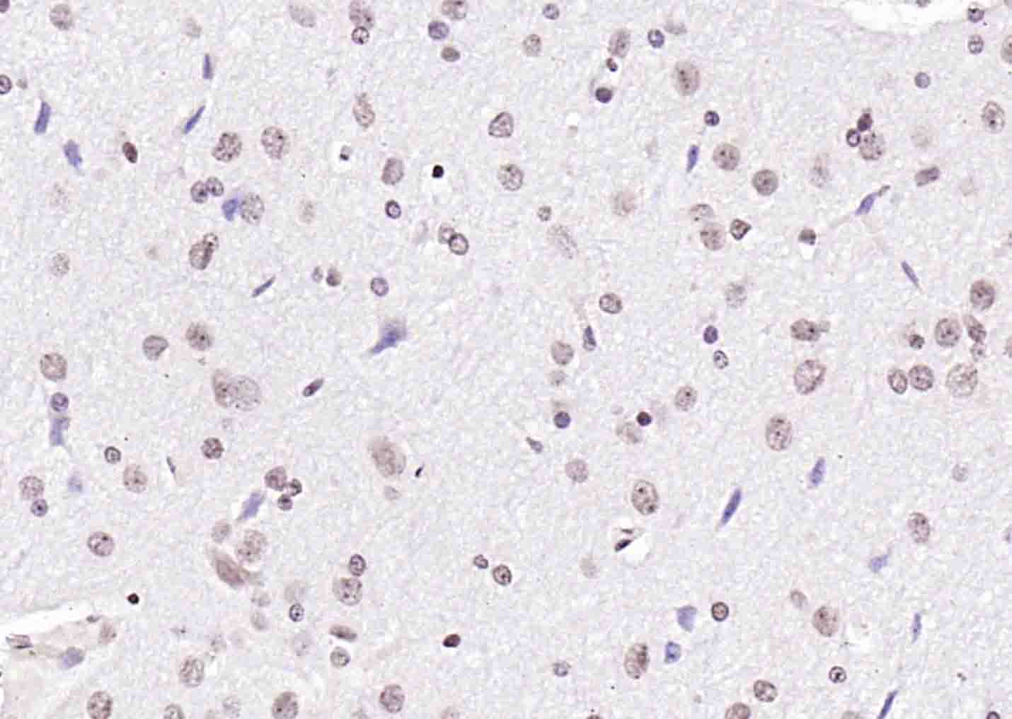
| 交叉反应 | Human, Mouse, Rat, lung, lung, lung, lung, lung, lung, lung, Cerebrum, Cerebrum, Cerebrum, Cerebrum, uterus, uterus, uterus, uterus, lung, lung, lung, Cerebrum, Cerebrum, Cerebrum, uterus, uterus, uterus, human breast carcinoma, human breast carcinoma, human breast carcinoma, human breast carcinoma, breast, breast, breast, breast, testis, testis, testis, testis, Cerebrum, Cerebrum, Cerebrum, 肾, 肾, 肾, 肾, uterus, uterus, uterus, U937, U-87MG, HepG2 |
| 抗体来源 | Rabbit |
| 免疫原 | KLH conjugated Synthesised phosphopeptide derived from human LKB1 around the phosphorylation site of Ser334 |
| 亚型 | IgG |
| 性状 | Liquid |
| 纯化方法 | affinity purified by Protein A |
| 克隆类型 | Polyclonal |
| 理论分子量 | 48 kDa |
| 浓度 | 1mg/ml |
| 储存液 | 0.01M TBS (pH7.4) with 1% BSA, 0.02% Proclin300 and 50% Glycerol. |
| 研究领域 | Cancer > Cancer Metabolism > Metabolic signaling pathway > Integration of energy metabolism Cancer > Cell cycle > Cell cycle inhibitors > p53 pathway Cancer > Oncoproteins/suppressors > Tumor suppressors > p53 pathway Cell Biology > Cell Cycle > Cell Cycle Inhibitors > p53 Metabolism > Pathways and Processes > Metabolic signaling pathways > Energy transfer pathways > Integration of energy |
| 亚基 | Catalytic component of a trimeric complex composed of STK11/LKB1, STRAD (STRADA or STRADB) and CAB39/MO25 (CAB39/MO25alpha or CAB39L/MO25beta): the complex tethers STK11/LKB1 in the cytoplasm and stimulates its catalytic activity. Found in a ternary complex composed of SMAD4, STK11/LKB1 and STK11IP. Interacts with p53/TP53, SMAD4, STK11IP and WDR6. |
| 亚细胞定位 | Nucleus. Cytoplasm. Membrane. Mitochondrion. Note=A small fraction localizes at membranes. Relocates to the cytoplasm when bound to STRAD (STRADA or STRADB) and CAB39/MO25 (CAB39/MO25alpha or CAB39L/MO25beta). Translocates to mitochondrion during apoptosis. |
| 组织特异性 | Ubiquitously expressed. Strongest expression in testis and fetal liver. |
| 翻译后修饰 | Phosphorylated by ATM at Thr-363 following ionizing radiations (IR). Phosphorylation at Ser-428 by RPS6KA1 and/or some PKA is required to inhibit cell growth. Phosphorylation at Ser-428 is also required during neuronal polarization to mediate phosphorylation of BRSK1 and BRSK2. |
| 相似性 | Belongs to the protein kinase superfamily. CAMK Ser/Thr protein kinase family. LKB1 subfamily. Contains 1 protein kinase domain. |
| 功能 | Tumor suppressor serine/threonine-protein kinase that controls the activity of AMP-activated protein kinase (AMPK) family members, thereby playing a role in various processes such as cell metabolism, cell polarity, apoptosis and DNA damage response. Acts by phosphorylating the T-loop of AMPK family proteins, leading to promote their activity: phosphorylates PRKAA1, PRKAA2, BRSK1, BRSK2, MARK1, MARK2, MARK3, MARK4, NUAK1, NUAK2, SIK1, SIK2, SIK3 and SNRK but not MELK. Also phosphorylates non-AMPK family proteins such as STRADA and possibly p53/TP53. Acts as a key upstream regulator of AMPK by mediating phosphorylation and activation of AMPK catalytic subunits PRKAA1 and PRKAA2: it thereby regulates inhibition of signaling pathways that promote cell growth and proliferation when energy levels are low, glucose homeostasis in liver, activation of autophagy when cells undergo nutrient deprivation, B-cell differentiation in the germinal center in response to DNA damage. Also acts as a regulator of cellular polarity by remodeling the actin cytoskeleton. Required for cortical neurons polarization by mediating phosphorylation and activation of BRSK1 and BRSK2, leading to axon initiation and specification. Involved in DNA damage response: interacts with p53/TP53 and recruited to the CDKN1A/WAF1 promoter to participate to transcription activation. Able to phosphorylate p53/TP53; the relevance of such result in vivo is however unclear and phosphorylation may be indirect and mediated by downstream STK11/LKB1 kinase NUAK1 Also acts as a mediator p53/TP53-dependent apoptosis via interaction with p53/TP53: translocates to mitochondrion during apoptosis and regulates p53/TP53-dependent apoptosis pathways. |
| 保存条件 | Shipped at 4℃. Store at -20℃ for one year. Avoid repeated freeze/thaw cycles. |
| 注意事项 | This product as supplied is intended for research use only, not for use in human, therapeutic or diagnostic applications. |
| 背景资料 | This gene, which encodes a member of the serine/threonine kinase family, regulates cell polarity and functions as a tumor suppressor. Mutations in this gene have been associated with Peutz-Jeghers syndrome, an autosomal dominant disorder characterized by the growth of polyps in the gastrointestinal tract, pigmented macules on the skin and mouth, and other neoplasms. Alternate transcriptional splice variants of this gene have been observed but have not been thoroughly characterized. [provided by RefSeq, Jul 2008]. |
| 应用 | 推荐稀释比例 |
| {WB} | {1:500-2000} |
| {IHC-P} | {1:100-500} |
| {IHC-F} | {1:100-500} |
| {IF} | {1:100-500} |
| {Flow-Cyt} | {1ug/Test} |

Lane 1: Testis (Mouse) Lysate at 40 ug
Lane 2: Jurkat (Human) Cell Lysate at 30 ug
Primary:
Anti- phospho-LKB1 (Ser334) (bs-3248R) at 1/1000 dilution
Secondary: IRDye800CW Goat Anti-Rabbit IgG at 1/20000 dilution
Predicted band size: 50 kD
Observed band size: 50 kD
















Primary Antibody (green line): Rabbit Anti-phospho-LKB1 (Ser334) antibody (bs-3248R)
Dilution:1ug/Test;
Secondary Antibody(white blue line): Goat anti-rabbit IgG-AF488
Dilution: 0.5ug/Test.
Isotype control(orange line): Normal Rabbit IgG
Protocol
The cells were fixed with 4% PFA (10min at room temperature)and then permeabilized with 90% ice-cold methanol for 20 min at -20℃, The cells were then incubated in 5%BSA to block non-specific protein-protein interactions for 30 min at room temperature .Cells stained with Primary Antibody for 30 min at room temperature. The secondary antibody used for 40 min at room temperature. Acquisition of 20,000 events was performed.
风险提示:丁香通仅作为第三方平台,为商家信息发布提供平台空间。用户咨询产品时请注意保护个人信息及财产安全,合理判断,谨慎选购商品,商家和用户对交易行为负责。对于医疗器械类产品,请先查证核实企业经营资质和医疗器械产品注册证情况。
文献和实验[IF={{ 5.2 }}] {Long Chen. et al. Harnessing the potential of postbiotics derived from Bacillus coagulans: A promising avenue for obesity management via the gut-liver axis. FOOD BIOSCI. 2023 Dec;56:103108} {WB} {Mouse}
:使用 Anti-phospho-Akt (Ser473) Rabbit mAb 对石蜡包埋的人乳腺癌组织进行免疫组织化学分析。(图 A)使用免疫组化试剂盒M&R HRP/DAB Detection IHC Kit,抗体 1:100 稀释;(图 B) 采用普通免疫组化试剂盒,抗体 1:25 稀释。 图 6 免疫组化实验检测 Erk1/2 表达 注:使用 Anti-Erk1/2 Mouse mAb与p44/42 MAPK (Erk1/2)Rabbit mAb 对正常小鼠心脏组织进行免疫
at 10, 25, and 50 μM). At 24 h post-treatment, celllysates were obtained; SDS-PAGE and Western blotting were performed as described in Section 3, Methods. AR-A014418dose-dependent decreases of phospho-β-catenin (Ser33/37) and phospho-glycogen synthase
(Ser473)(193H12)Rabbit mAb,1:300,稀释,二抗是驴抗兔,1:2000,我是实验室的新手,刚呆俩月,受 此挫折,一头雾水,请过来人或者有经验的同学帮忙解答怎样解决,非常感谢! 碧峤 pAkt有两个位点,Ser473和Thr308,其中Ser473相对容易显色。如果显色失败,可能的原因:1 上样量过少,我们一般都是30μg;2 一抗孵育时间过短,我们一般24h~48h;3 一抗是否工作有待排除 米宝
技术资料暂无技术资料 索取技术资料






