相关产品推荐更多 >

TGF beta Receptor I Mouse mAb(bsm-34104M)-50ul/100ul
¥1180
CXCL2/GRO Beta Rabbit pAb, BF350 conjugated(bs-1162R-BF350)-100ul
¥2980
PINX-1 Rabbit pAb, BF594 conjugated(bs-9594R-BF594)-100ul
¥2980
Tap1 Rabbit pAb, BF405 conjugated(bs-2789R-BF405)-100ul
¥2980
phospho-IKB alpha (Ser32) Rabbit pAb, PerCP-Cy7 conjugated(bs-18128R-PerCP-Cy7)-100ul
¥2980
万千商家帮你免费找货
0 人在求购买到急需产品
- 详细信息
- 文献和实验
- 技术资料
- 应用范围:
产品信息以Bioss网站为准
- 规格:
50ul/100ul/200ul
| 规格: | 50ul | 产品价格: | ¥1180.0 |
|---|---|---|---|
| 规格: | 100ul | 产品价格: | ¥1980.0 |
| 规格: | 200ul | 产品价格: | ¥2800.0 |
| 产品编号 | bs-16712R |
| 英文名称 | Trehalase Rabbit pAb |
| 中文名称 | 海藻糖酶抗体 |
| 英文别名 | alpha alpha trehalase; alpha alpha trehalose glucohydrolase; alpha; alpha-trehalase; alpha-trehalose glucohydrolase; Brush border membrane glycoprotein; MGC129621; TRE; TREA; TREA_HUMAN; TREH; Trehalase. |
| 产品应用 | IHC-P=1:100-500, IHC-F=1:100-500, IF=1:100-500 Not yet tested in other applications. |
| 交叉反应 | Human (Mouse, Rat) |
| 抗体来源 | Rabbit |
| 免疫原 | KLH conjugated synthetic peptide derived from human Trehalase |
| 亚型 | IgG |
| 性状 | Liquid |
| 纯化方法 | affinity purified by Protein A |
| 克隆类型 | Polyclonal |
| 理论分子量 | 64 kDa |
| 浓度 | 1mg/ml |
| 储存液 | 0.01M TBS (pH7.4) with 1% BSA, 0.02% Proclin300 and 50% Glycerol. |
| 研究领域 | Metabolism > Pathways and Processes > Metabolic signaling pathways > Energy transfer pathways > Energy Metabolism Signal Transduction > Metabolism > Energy Metabolism |
| 亚细胞定位 | Cell membrane. |
| 相似性 | Sequence similaritiesBelongs to the glycosyl hydrolase 37 family. |
| 功能 | Intestinal trehalase is probably involved in the hydrolysis of ingested trehalose. |
| 保存条件 | Shipped at 4℃. Store at -20℃ for one year. Avoid repeated freeze/thaw cycles. |
| 注意事项 | This product as supplied is intended for research use only, not for use in human, therapeutic or diagnostic applications. |
| 背景资料 | Trehalase, also known as TREH, TREA or α,α-trehalose glucohydrolase, is a 583 amino acid protein belonging to the glycosyl hydrolase 37 family. Localizing to cell membrane and lipid-anchor, Trehalase is expressed in kidney, liver, and small intestine. Trehalase hydrolyses ingested trehalose, a disaccharide formed by two glucose molecules found mainly in insects, fungi, and plants, into cellular substrate glucose. Isolated trehalose intolerance due to deficiencies of Trehalase can result in gastrointestinal symptoms. Trehalase may also be a marker for renal tubular damage, and may contain an N-terminal signal peptide, five potential N-glycosylation sites, and a C-terminal hydrophobic region for glycosylphosphatidylinositol (GPI) attachment. Existing as two alternatively spliced isoforms, the gene encoding Trehalase maps to human chromosome 11q23.3. |
| 应用 | 推荐稀释比例 |
| {IHC-P} | {1:100-500} |
| {IHC-F} | {1:100-500} |
| {IF} | {1:100-500} |

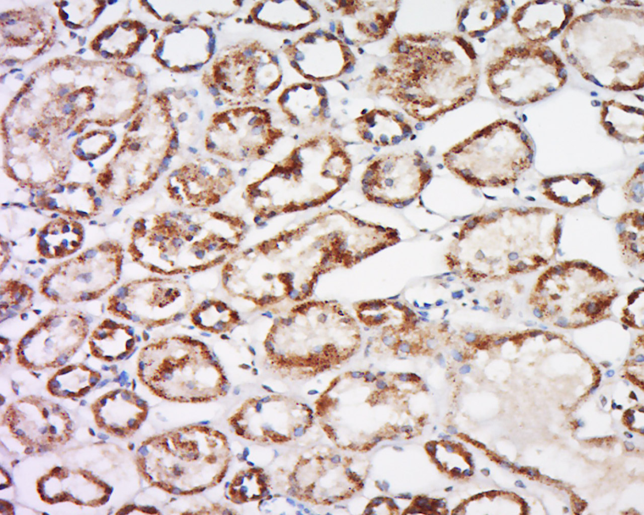
Antigen retrieval: citrate buffer ( 0.01M, pH 6.0 ), Boiling bathing for 15min; Block endogenous peroxidase by 3% Hydrogen peroxide for 30min; Blocking buffer (normal goat serum,C-0005) at 37℃ for 20 min;
Incubation: Anti-Trehalase Polyclonal Antibody, Unconjugated(bs-16712R) 1:500, overnight at 4°C, followed by conjugation to the secondary antibody(SP-0023) and DAB(C-0010) staining
风险提示:丁香通仅作为第三方平台,为商家信息发布提供平台空间。用户咨询产品时请注意保护个人信息及财产安全,合理判断,谨慎选购商品,商家和用户对交易行为负责。对于医疗器械类产品,请先查证核实企业经营资质和医疗器械产品注册证情况。
文献和实验= NAL), appears to form upon oxidative cyclization of the nonfluorescent 2:1 lysine-HNE Michael adduct-Schiff base cross-link (Scheme 1). Polyclonal antibody (PAb) to the NAL-HNE fluorophore was raised in rabbit and found to be highly specific
GE Healthcare Benzamidine Sepharose™ 6B is p-aminobenzamidine covalently attached to Sepharose 6B by the epoxy coupling method. p-Aminobenzamidine (PAB), is a synthetic inhibitor of trypsin-like serine protease. Trypsin and trypsin
Nucleic Acid Programmable Protein Arrays: Versatile Tools for Array‐Based Functional Protein Studies
.g., Sigma) 50 mg/ml bis‐sulfosuccinimdylsuberate (BS3 ;Pierce, cat. no. PI 21580) in dimethylsulfoxide (DMSO) 5 mg/ml
技术资料暂无技术资料 索取技术资料






