相关产品推荐更多 >

VEGFA Rabbit pAb(bs-1313R)-50ul/100ul/200ul
¥1180
Anti-human TNFSF4 / OX40L / CD252 (Amlitelimab Biosimilar)(BIO0407SM)-1mg/5mg/20mg
¥3200
N ras + c Ha ras Rabbit pAb, AP conjugated(bs-18980R-AP)-100ul
¥2980
phospho-c-Jun (Thr93) Rabbit pAb(bs-12913R)-50ul/100ul/200ul
¥1180
human CD4 Mouse mAb, PerCP-Cy7 conjugated(bsm-30093M-PerCP-Cy7)-25T/50T/100T
¥1080
万千商家帮你免费找货
0 人在求购买到急需产品
- 详细信息
- 文献和实验
- 技术资料
- 应用范围:
产品信息以Bioss网站为准
- 规格:
50ul/100ul/200ul
| 规格: | 50ul | 产品价格: | ¥1180.0 |
|---|---|---|---|
| 规格: | 100ul | 产品价格: | ¥1980.0 |
| 规格: | 200ul | 产品价格: | ¥2800.0 |
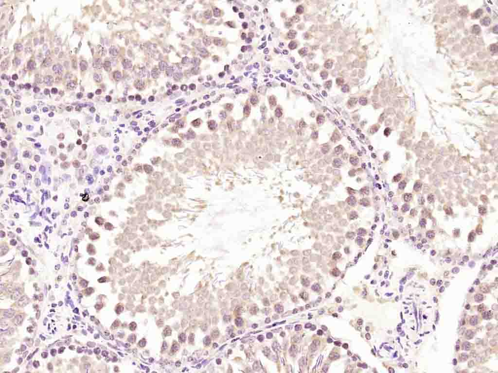
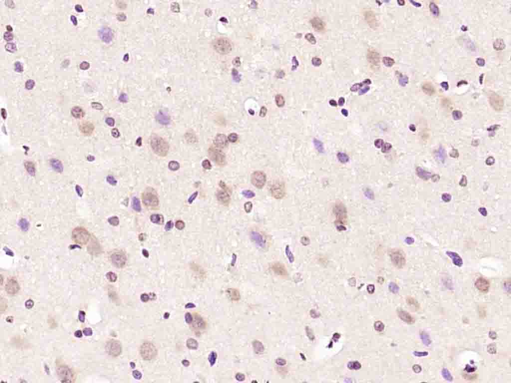
| 产品编号 | bs-10256R |
| 英文名称 | FAR2 Rabbit pAb |
| 中文名称 | 脂肪酰辅酶A还原酶2抗体 |
| 英文别名 | Fatty acyl CoA reductase 2; FLJ10462; Male sterility domain containing protein 1; MLSTD1; FACR2_HUMAN; FAR2. |
| 产品应用 | WB=1:500-2000, IHC-P=1:100-500, IHC-F=1:100-500, IF=1:100-500 Not yet tested in other applications. |
| 交叉反应 | Human, Mouse, Rat (Dog, Pig, Cow, Horse) |
| 抗体来源 | Rabbit |
| 免疫原 | KLH conjugated synthetic peptide derived from human FAR2 |
| 亚型 | IgG |
| 性状 | Liquid |
| 纯化方法 | affinity purified by Protein A |
| 克隆类型 | Polyclonal |
| 理论分子量 | 57 kDa |
| 浓度 | 1mg/ml |
| 储存液 | 0.01M TBS (pH7.4) with 1% BSA, 0.02% Proclin300 and 50% Glycerol. |
| 亚细胞定位 | Peroxisome membrane; Multi-pass membrane protein (Potential). Endoplasmic reticulum membrane; Multi-pass membrane protein (Potential). Note=Peroxisome in cells expressing low levels of the protein. Peroxisome and endoplasmic reticulum in cells expressing high levels of the protein. |
| 相似性 | Belongs to the fatty acyl-CoA reductase family. |
| 功能 | FAR2 catalyzes the reduction of fatty acyl-CoA to fatty alcohols. The preferred substrates are C16, C18, C18:1 and C18:2 but low activity can be observed with C10-C14 substrates. |
| 保存条件 | Shipped at 4℃. Store at -20℃ for one year. Avoid repeated freeze/thaw cycles. |
| 注意事项 | This product as supplied is intended for research use only, not for use in human, therapeutic or diagnostic applications. |
| 背景资料 | This gene belongs to the short chain dehydrogenase/reductase superfamily. It encodes a reductase enzyme involved in the first step of wax biosynthesis wherein fatty acids are converted to fatty alcohols. The encoded peroxisomal protein utilizes saturated fatty acids of 16 or 18 carbons as preferred substrates. Alternatively spliced transcript variants have been observed for this gene. Related pseudogenes have been identified on chromosomes 2, 14 and 22. [provided by RefSeq, Nov 2012] |
| 应用 | 推荐稀释比例 |
| {WB} | {1:500-2000} |
| {IHC-P} | {1:100-500} |
| {IHC-F} | {1:100-500} |
| {IF} | {1:100-500} |






U937 (Human) Cell Lysate at 30 ug
Primary: Anti-FAR2 (bs-10256R) at 1/1000 dilution
Secondary: IRDye800CW Goat Anti-Rabbit IgG at 1/20000 dilution
Predicted band size: 57 kD
Observed band size: 57 kD

HL-60 (Human) Cell Lysate at 30 ug
Primary: Anti-FAR2 (bs-10256R) at 1/1000 dilution
Secondary: IRDye800CW Goat Anti-Rabbit IgG at 1/20000 dilution
Predicted band size: 57 kD
Observed band size: 57 kD
风险提示:丁香通仅作为第三方平台,为商家信息发布提供平台空间。用户咨询产品时请注意保护个人信息及财产安全,合理判断,谨慎选购商品,商家和用户对交易行为负责。对于医疗器械类产品,请先查证核实企业经营资质和医疗器械产品注册证情况。
文献和实验= NAL), appears to form upon oxidative cyclization of the nonfluorescent 2:1 lysine-HNE Michael adduct-Schiff base cross-link (Scheme 1). Polyclonal antibody (PAb) to the NAL-HNE fluorophore was raised in rabbit and found to be highly specific
GE Healthcare Benzamidine Sepharose™ 6B is p-aminobenzamidine covalently attached to Sepharose 6B by the epoxy coupling method. p-Aminobenzamidine (PAB), is a synthetic inhibitor of trypsin-like serine protease. Trypsin and trypsin
Nucleic Acid Programmable Protein Arrays: Versatile Tools for Array‐Based Functional Protein Studies
.g., Sigma) 50 mg/ml bis‐sulfosuccinimdylsuberate (BS3 ;Pierce, cat. no. PI 21580) in dimethylsulfoxide (DMSO) 5 mg/ml
技术资料暂无技术资料 索取技术资料






