相关产品推荐更多 >
万千商家帮你免费找货
0 人在求购买到急需产品
- 详细信息
- 技术资料
- 应用范围:
产品信息以Bioss网站为准
- 规格:
50ul/100ul/200ul
| 规格: | 50ul | 产品价格: | ¥1180.0 |
|---|---|---|---|
| 规格: | 100ul | 产品价格: | ¥1980.0 |
| 规格: | 200ul | 产品价格: | ¥2800.0 |
| 产品编号 | bs-16372R |
| 英文名称 | Guanylyl Cyclase beta 1 Rabbit pAb |
| 中文名称 | 鸟苷酸环化酶β1抗体 |
| 英文别名 | GC-S-beta-1; GC-SB3; GCbeta1; GCS beta 1; GCS beta 3; GCS-beta-1; GCS-beta-3; GCYB1_HUMAN; guanylate cyclase 1, soluble, beta 3; Guanylate cyclase soluble beta 1 chain; Guanylate cyclase soluble subunit beta-1; Guanylate cyclase soluble subunit beta-3; GUC1B3; GUCSB3; GUCY1B1; Gucy1b1; ; GUCY1B3; SGC; Soluble guanylate cyclase small subunit; sGCβ1 |
| 中文别名 | β1 Soluble Guanylyl Cyclase |
| 产品应用 | IHC-P=1:100-500, IHC-F=1:100-500, IF=1:100-500 Not yet tested in other applications. |
| 交叉反应 | Mouse (Human, Rat, Pig, Cow, Horse, Rabbit) |
| 抗体来源 | Rabbit |
| 免疫原 | KLH conjugated synthetic peptide derived from human Guanylyl Cyclase beta 1 |
| 亚型 | IgG |
| 性状 | Liquid |
| 纯化方法 | affinity purified by Protein A |
| 克隆类型 | Polyclonal |
| 理论分子量 | 70 kDa |
| 浓度 | 1mg/ml |
| 储存液 | 0.01M TBS (pH7.4) with 1% BSA, 0.02% Proclin300 and 50% Glycerol. |
| 亚基 | Heterodimer of an alpha and a beta chain. |
| 亚细胞定位 | Cytoplasm. |
| 相似性 | Belongs to the adenylyl cyclase class-4/guanylyl cyclase family. Contains 1 guanylate cyclase domain. |
| 保存条件 | Shipped at 4℃. Store at -20℃ for one year. Avoid repeated freeze/thaw cycles. |
| 注意事项 | This product as supplied is intended for research use only, not for use in human, therapeutic or diagnostic applications. |
| 背景资料 | Soluble guanylate cyclase (sGC), a heterodimeric protein consisting of an alpha subunit and a beta subunit, typically GUCY1B3, catalyzes conversion of GTP to the second messenger cGMP and functions as the main receptor for nitric oxide (NO) and nitrovasodilator drugs (Zabel et al., 1998 [PubMed 9742212]).[supplied by OMIM, Mar 2008] |
| 应用 | 推荐稀释比例 |
| {IHC-P} | {1:100-500} |
| {IHC-F} | {1:100-500} |
| {IF} | {1:100-500} |

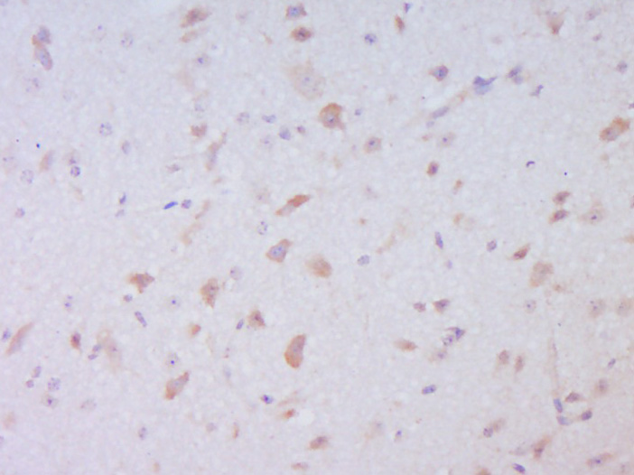
Paraformaldehyde-fixed, paraffin embedded (Mouse brain); Antigen retrieval by boiling in sodium citrate buffer (pH6.0) for 15min; Block endogenous peroxidase by 3% hydrogen peroxide for 20 minutes; Blocking buffer (normal goat serum) at 37°C for 30min; Antibody incubation with (GCYB1) Polyclonal Antibody, Unconjugated (bs-16372R) at 1:400 overnight at 4°C, followed by operating according to SP Kit(Rabbit) (sp-0023) instructionsand DAB staining.
风险提示:丁香通仅作为第三方平台,为商家信息发布提供平台空间。用户咨询产品时请注意保护个人信息及财产安全,合理判断,谨慎选购商品,商家和用户对交易行为负责。对于医疗器械类产品,请先查证核实企业经营资质和医疗器械产品注册证情况。
技术资料暂无技术资料 索取技术资料
Guanylyl Cyclase beta 1 Rabbit pAb(bs-16372R)-50ul/100ul/200ul
¥1180 - 2800










