相关产品推荐更多 >
万千商家帮你免费找货
0 人在求购买到急需产品
- 详细信息
- 文献和实验
- 技术资料
- 应用范围:
产品信息以Bioss网站为准
- 规格:
50ul/100ul/200ul
| 规格: | 50ul | 产品价格: | ¥1180.0 |
|---|---|---|---|
| 规格: | 100ul | 产品价格: | ¥1980.0 |
| 规格: | 200ul | 产品价格: | ¥2800.0 |
| 产品编号 | bs-16214R |
| 英文名称 | GAL3ST2 Rabbit pAb |
| 中文名称 | 半乳糖神经酰胺磺基转移酶2抗体 |
| 英文别名 | beta-galactose-3-O-sulfotransferase 2; G3ST2_HUMAN; Gal-beta-1; Gal3ST-2; GAL3ST2; Galactose-3-O-sulfotransferase 2. |
| 产品应用 | IHC-P=1:100-500, IHC-F=1:100-500, IF=1:100-500 Not yet tested in other applications. |
| 交叉反应 | Rat (Human, Mouse, Chicken, Dog, Pig, Cow, Horse, Rabbit) |
| 抗体来源 | Rabbit |
| 免疫原 | KLH conjugated synthetic peptide derived from human GAL3ST2 |
| 亚型 | IgG |
| 性状 | Liquid |
| 纯化方法 | affinity purified by Protein A |
| 克隆类型 | Polyclonal |
| 理论分子量 | 46 kDa |
| 浓度 | 1mg/ml |
| 储存液 | 0.01M TBS (pH7.4) with 1% BSA, 0.02% Proclin300 and 50% Glycerol. |
| 亚细胞定位 | Golgi apparatus; Golgi stack membrane. |
| 组织特异性 | Ubiquitous. Detected in heart, stomach, colon, liver and spleen, in epithelial cells lining the lower to middle layer of the crypts in colonic mucosa, hepatocytes surrounding the central vein of the liver, extravillous cytotrophoblasts in the basal plate of the septum of the placenta, renal tubules of the kidney, and neuronal cells of the cerebral cortex. |
| 相似性 | Belongs to the galactose-3-O-sulfotransferase family. |
| 功能 | Transfers a sulfate group to the hydroxyl group at C3 of non-reducing beta-galactosyl residues. Acts both on type 1 (Gal-beta-1,3-GlcNAc) and type 2 (Gal-beta-1,4-GlcNAc) chains with similar efficiency. |
| 保存条件 | Shipped at 4℃. Store at -20℃ for one year. Avoid repeated freeze/thaw cycles. |
| 注意事项 | This product as supplied is intended for research use only, not for use in human, therapeutic or diagnostic applications. |
| 背景资料 | This gene encodes a member of the galactose-3-O-sulfotransferase protein family. The product of this gene catalyzes sulfonation by transferring a sulfate group to the hydroxyl at C-3 of nonreducing beta-galactosyl residues, and it can act on both type 1 and type 2 (Galbeta 1-3/1-4GlcNAc-R) oligosaccharides with similar efficiencies, and on core 1 glycans. This enzyme has been implicated in tumor metastasis processes. This gene is different from the GAL3ST3 gene located on chromosome 11, which has also been referred to as GAL3ST2 and encodes a related enzyme with distinct tissue distribution and substrate specificities, compared to galactose-3-O-sulfotransferase 2. [provided by RefSeq, Jul 2008] |
| 应用 | 推荐稀释比例 |
| {IHC-P} | {1:100-500} |
| {IHC-F} | {1:100-500} |
| {IF} | {1:100-500} |

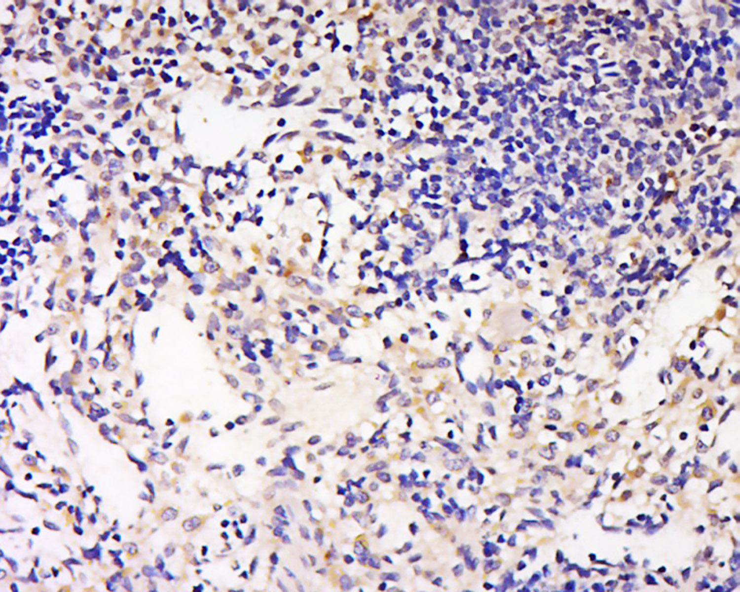
Antigen retrieval: citrate buffer ( 0.01M, pH 6.0 ), Boiling bathing for 15min; Block endogenous peroxidase by 3% Hydrogen peroxide for 30min; Blocking buffer (normal goat serum,C-0005) at 37℃ for 20 min;
Incubation: Anti-GAL3ST2 Polyclonal Antibody, Unconjugated(bs-16214R) 1:200, overnight at 4°C, followed by conjugation to the secondary antibody(SP-0023) and DAB(C-0010) staining
风险提示:丁香通仅作为第三方平台,为商家信息发布提供平台空间。用户咨询产品时请注意保护个人信息及财产安全,合理判断,谨慎选购商品,商家和用户对交易行为负责。对于医疗器械类产品,请先查证核实企业经营资质和医疗器械产品注册证情况。
文献和实验= NAL), appears to form upon oxidative cyclization of the nonfluorescent 2:1 lysine-HNE Michael adduct-Schiff base cross-link (Scheme 1). Polyclonal antibody (PAb) to the NAL-HNE fluorophore was raised in rabbit and found to be highly specific
GE Healthcare Benzamidine Sepharose™ 6B is p-aminobenzamidine covalently attached to Sepharose 6B by the epoxy coupling method. p-Aminobenzamidine (PAB), is a synthetic inhibitor of trypsin-like serine protease. Trypsin and trypsin
Nucleic Acid Programmable Protein Arrays: Versatile Tools for Array‐Based Functional Protein Studies
.g., Sigma) 50 mg/ml bis‐sulfosuccinimdylsuberate (BS3 ;Pierce, cat. no. PI 21580) in dimethylsulfoxide (DMSO) 5 mg/ml
技术资料暂无技术资料 索取技术资料










