相关产品推荐更多 >
万千商家帮你免费找货
0 人在求购买到急需产品
- 详细信息
- 文献和实验
- 技术资料
- 应用范围:
产品信息以Bioss网站为准
- 规格:
50ul/100ul/200ul
| 规格: | 50ul | 产品价格: | ¥1180.0 |
|---|---|---|---|
| 规格: | 100ul | 产品价格: | ¥1980.0 |
| 规格: | 200ul | 产品价格: | ¥2800.0 |
| 产品编号 | bs-10136R |
| 英文名称 | Caspase-14 p10 Rabbit pAb |
| 中文名称 | 半胱胺酸蛋白酶蛋白14抗体 |
| 英文别名 | Apoptosis related cysteine protease; Apoptosis related cysteine protease; CASP 14; CASP-14; CASP14; Caspase 14 apoptosis related cysteine protease; Caspase 14 apoptosis related cysteine protease; Caspase 14 precursor; Caspase 14 precursor; Caspase-14 subunit p10; Caspase-14; Caspase-14; Caspase14; CASPE_HUMAN; MGC119079; MICE; MICE; Mini ICE; Mini ICE. |
| 产品应用 | IHC-P=1:100-500, IHC-F=1:100-500, IF=1:100-500 Not yet tested in other applications. |
| 交叉反应 | Human, Mouse, Rat (GuineaPig) |
| 抗体来源 | Rabbit |
| 免疫原 | KLH conjugated synthetic peptide derived from human Caspase-14 subunit p10 |
| 亚型 | IgG |
| 性状 | Liquid |
| 纯化方法 | affinity purified by Protein A |
| 克隆类型 | Polyclonal |
| 理论分子量 | 27 kDa |
| 浓度 | 1mg/ml |
| 储存液 | 0.01M TBS (pH7.4) with 1% BSA, 0.02% Proclin300 and 50% Glycerol. |
| 研究领域 | Cell Biology > Apoptosis > Intracellular > Caspases etc > Caspases |
| 亚基 | Complex of unprocessed caspase-14 and processed 19 kDa (p19) and 10 kDa (p10) subunits. |
| 亚细胞定位 | Cytoplasm. Nucleus. |
| 组织特异性 | Expressed in keratinocytes of adult skin suprabasal layers (from spinous layers to the stratum granulosum and stratum corneum) (at protein level). Expressed in keratinocytes of hair shaft and sebaceous glands (at protein level). In psoriatic skin only expressed at very low levels. |
| 相似性 | Belongs to the peptidase C14A family. |
| 功能 | Believed to be a non-apoptotic caspase which is involved in epidermal differentiation. Seems to play a role in keratinocyte differentiation and cornification. Probably regulates maturation of the epidermis by proteolytically processing filaggrin. |
| 保存条件 | Shipped at 4℃. Store at -20℃ for one year. Avoid repeated freeze/thaw cycles. |
| 注意事项 | This product as supplied is intended for research use only, not for use in human, therapeutic or diagnostic applications. |
| 背景资料 | Believed to be a non-apoptotic caspase which is involved in epidermal differentiation. Seems to play a role in keratinocyte differentiation and cornification. Probably regulates maturation of the epidermis by proteolytically processing filaggrin. |
| 应用 | 推荐稀释比例 |
| {IHC-P} | {1:100-500} |
| {IHC-F} | {1:100-500} |
| {IF} | {1:100-500} |

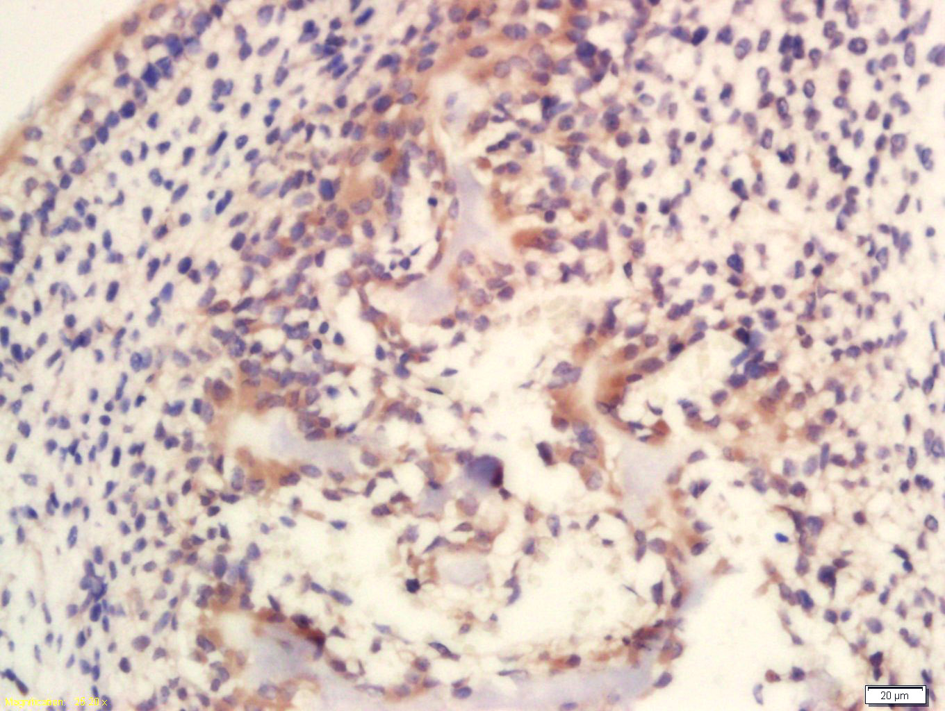
Antigen retrieval: citrate buffer ( 0.01M, pH 6.0 ), Boiling bathing for 15min; Block endogenous peroxidase by 3% Hydrogen peroxide for 30min; Blocking buffer (normal goat serum,C-0005) at 37℃ for 20 min;
Incubation: Anti-Caspase 14 Polyclonal Antibody, Unconjugated(bs-10136R) 1:200, overnight at 4°C, followed by conjugation to the secondary antibody(SP-0023) and DAB(C-0010) staining

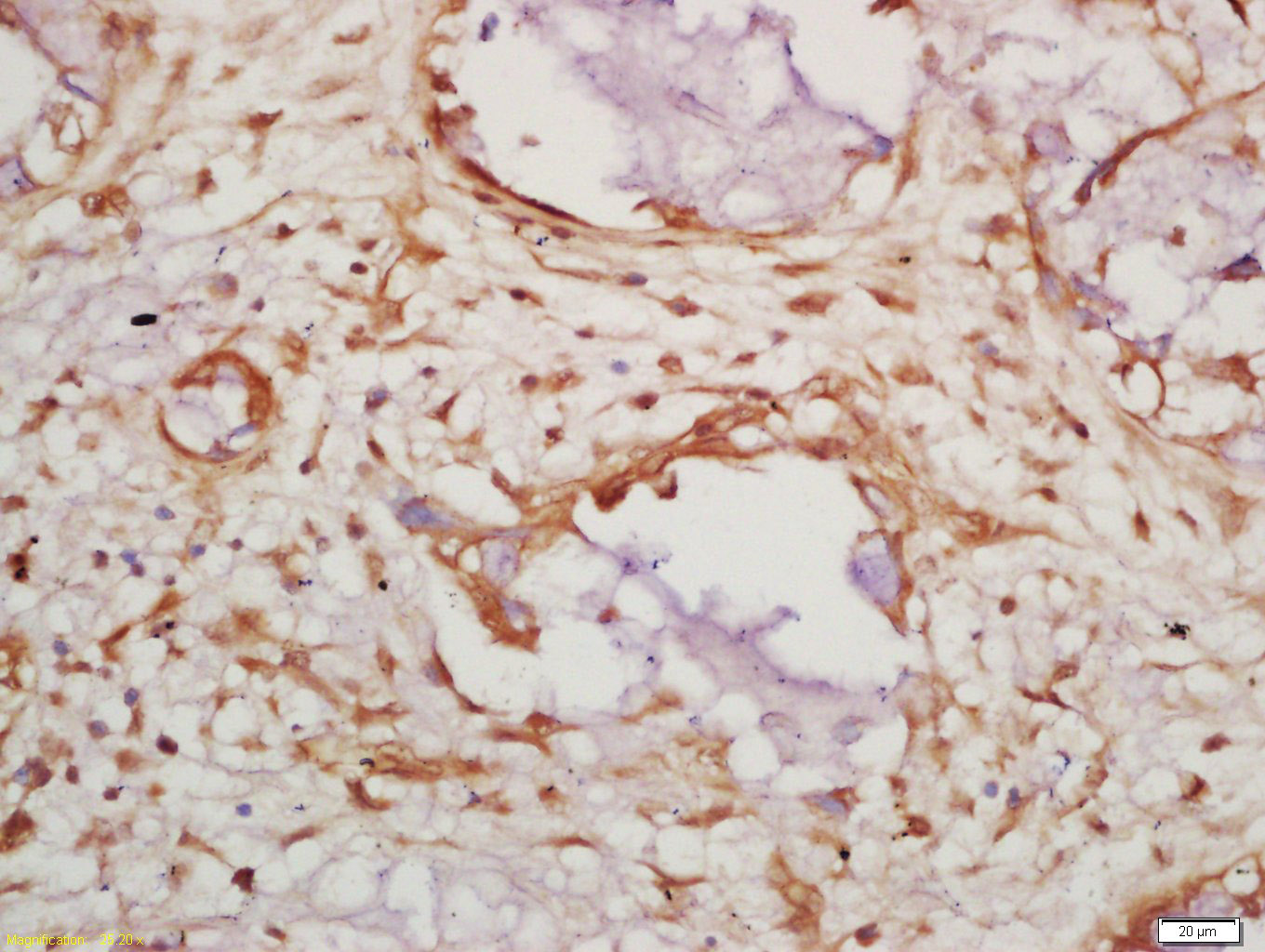
Antigen retrieval: citrate buffer ( 0.01M, pH 6.0 ), Boiling bathing for 15min; Block endogenous peroxidase by 3% Hydrogen peroxide for 30min; Blocking buffer (normal goat serum,C-0005) at 37℃ for 20 min;
Incubation: Anti-caspase-14 Polyclonal Antibody, Unconjugated(bs-10136R) 1:200, overnight at 4°C, followed by conjugation to the secondary antibody(SP-0023) and DAB(C-0010) staining

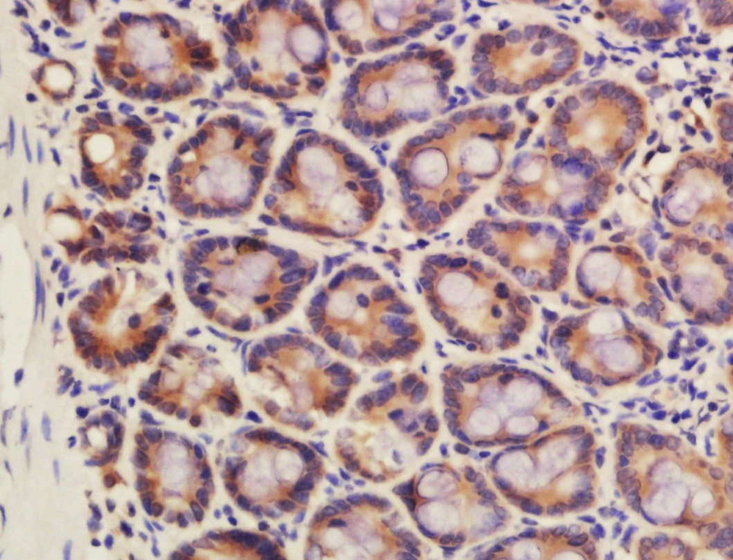
Antigen retrieval: citrate buffer ( 0.01M, pH 6.0 ), Boiling bathing for 15min; Block endogenous peroxidase by 3% Hydrogen peroxide for 30min; Blocking buffer (normal goat serum,C-0005) at 37℃ for 20 min;
Incubation: Anti-Caspase-14 Polyclonal Antibody, Unconjugated(bs-10136R) 1:200, overnight at 4°C, followed by conjugation to the secondary antibody(SP-0023) and DAB(C-0010) staining
风险提示:丁香通仅作为第三方平台,为商家信息发布提供平台空间。用户咨询产品时请注意保护个人信息及财产安全,合理判断,谨慎选购商品,商家和用户对交易行为负责。对于医疗器械类产品,请先查证核实企业经营资质和医疗器械产品注册证情况。
文献和实验[IF={{ 6.8 }}] {Zhang Hongrong. et al. Multi-omics analysis deciphers intercellular communication regulating oxidative stress to promote oral squamous cell carcinoma progression. NPJ PRECIS ONCOL. 2024 Nov;8(1):1-18} {IF} {Human}
[IF={{ 4.8 }}] {Haobin Wei. et al. Aqueous extracts of Portulaca oleracea L. alleviate atopic dermatitis by restoring skin barrier function. FRONT PHARMACOL. 2025 Jun;16:} {WB} {Mouse}
技术资料暂无技术资料 索取技术资料











