相关产品推荐更多 >

ZO-1/TJP1 Rabbit pAb, PE-Cy5 conjugated(bs-1329R-PE-Cy5)-100ul
¥2980
PINX-1 Rabbit pAb, APC-Cy7 conjugated(bs-9594R-APC-Cy7)-100ul
¥2980
Nucleophosmin Recombinant Rabbit mAb(bsm-60294R)-50ul/100ul/25ul
¥800
Complement C3 Rabbit pAb, Biotin conjugated(bs-8706R-Bio)-100ul
¥2980
MCPIP1 Rabbit pAb, PE-Cy5 conjugated(bs-5792R-PE-Cy5)-100ul
¥2980
万千商家帮你免费找货
0 人在求购买到急需产品
- 详细信息
- 文献和实验
- 技术资料
- 应用范围:
产品信息以Bioss网站为准
- 规格:
50ul/100ul/200ul
| 规格: | 50ul | 产品价格: | ¥1180.0 |
|---|---|---|---|
| 规格: | 100ul | 产品价格: | ¥1980.0 |
| 规格: | 200ul | 产品价格: | ¥2800.0 |
| 产品编号 | bs-13188R |
| 英文名称 | phospho-FMRP (Ser500) Rabbit pAb |
| 中文名称 | 磷酸化脆性X综合征相关蛋白AFF1抗体 |
| 英文别名 | FMRP(phospho S500); FMRP(phospho Ser500); p-FMRP(phospho S500); p-FMR1(phospho S500); FMR1; FMR1_HUMAN; FMRP; FMRP phospho S499; Fragile X mental retardation 1; Fragile X mental retardation 1 protein; Fragile X mental retardation protein 1; FRAXA; MGC87458; POF; POF1; Protein FMR-1; Protein FMR1. |
| 产品应用 | WB=1:500-2000, IHC-P=1:100-500, IHC-F=1:100-500, IF=1:100-500 Not yet tested in other applications. |
| 交叉反应 | Mouse, Rat (Human, Chicken, Dog, Pig, Cow, Rabbit, Zebrafish, Sheep, GuineaPig, Danio rerio) |
| 抗体来源 | Rabbit |
| 免疫原 | KLH conjugated synthesised phosphopeptide derived from human FMRP around the phosphorylation site of Ser500 |
| 亚型 | IgG |
| 性状 | Liquid |
| 纯化方法 | affinity purified by Protein A |
| 克隆类型 | Polyclonal |
| 理论分子量 | 75 kDa |
| 浓度 | 1mg/ml |
| 储存液 | 0.01M TBS (pH7.4) with 1% BSA, 0.02% Proclin300 and 50% Glycerol. |
| 研究领域 | Epigenetics and Nuclear Signaling > RNAi > RISC Neuroscience > Cell Type Marker > Neuron marker > Dendrite marker Neuroscience > Cell Type Marker > Neuron marker > Synapse marker Neuroscience > Neurology process > Neurodegenerative disease |
| 亚基 | Component of the CYFIP1-EIF4E-FMR1 complex which is composed of CYFIP, EIF4E and FMR1. Interacts with CYFIP1 and CYFIP2. The interaction with brain cytoplasmic RNA 1 (BC1) increases binding affinity for the CYFIP1-EIF4E complex in the brain (By similarity). Homooligomer. Found in a RNP granule complex with IGF2BP1. Directly interacts with SMN and TDRD3. Interacts with the SMN core complex that contains SMN1, GEMIN2/SIP1, DDX20/GEMIN3, GEMIN4, GEMIN5, GEMIN6, GEMIN7, GEMIN8 and STRAP/UNRIP. Interacts with FXR1, FXR2, IGF2BP1, NUFIP1, NUFIP2, MCRS1 and RANBP9. |
| 亚细胞定位 | Cytoplasm. Nucleus, nucleolus. |
| 组织特异性 | Highest levels found in neurons, brain, testis, placenta and lymphocytes. Also expressed in epithelial tissues and at very low levels in glial cells. |
| 翻译后修饰 | Phosphorylated on several serine residues. |
| 相似性 | Belongs to the FMR1 family. Contains 2 Agenet-like domains. Contains 2 KH domains. |
| 功能 | Translation repressor. Component of the CYFIP1-EIF4E-FMR1 complex which binds to the mRNA cap and mediates translational repression. In the CYFIP1-EIF4E-FMR1 complex this subunit mediates translation repression (By similarity). RNA-binding protein that plays a role in intracellular RNA transport and in the regulation of translation of target mRNAs. Associated with polysomes. May play a role in the transport of mRNA from the nucleus to the cytoplasm. Binds strongly to poly(G), binds moderately to poly(U) but shows very little binding to poly(A) or poly(C). |
| 保存条件 | Shipped at 4℃. Store at -20℃ for one year. Avoid repeated freeze/thaw cycles. |
| 注意事项 | This product as supplied is intended for research use only, not for use in human, therapeutic or diagnostic applications. |
| 背景资料 | Fragile X syndrome is the most frequent form of inherited mental retardation and is the result of transcriptional silencing of the FMR1 gene on the X chromosome. The FMR1 gene contains a distinct CpG dinucleotide repeat located in the 5' untranslated region of the gene. In fragile X syndrome this tandem repeat is substantially amplified and subjected to extensive methylation and enhanced transcriptional silencing. The FMR1 protein (or FMRP) is an RNA-binding protein that associates with polyribosomes and is a likely component of a messenger ribonuclear protein (mRNP) particle. It contains several features that are characteristics of RNA-binding proteins, including two hnRNPK homology (KH) domains and an RGG amino acid motif (RGG box). FMR1 localizes to both the nucleus and the cytoplasm and can also interact with two fragile X syndrome related factors, FXR1 and FXR2, which form heterodimers through their N-terminal coiled-coil domains. Since FMR1 contains both a nuclear localization signal and a nuclear export signal it is also implicated in the nucleocytoplasmic transport of mRNAs. |
| 应用 | 推荐稀释比例 |
| {WB} | {1:500-2000} |
| {IHC-P} | {1:100-500} |
| {IHC-F} | {1:100-500} |
| {IF} | {1:100-500} |

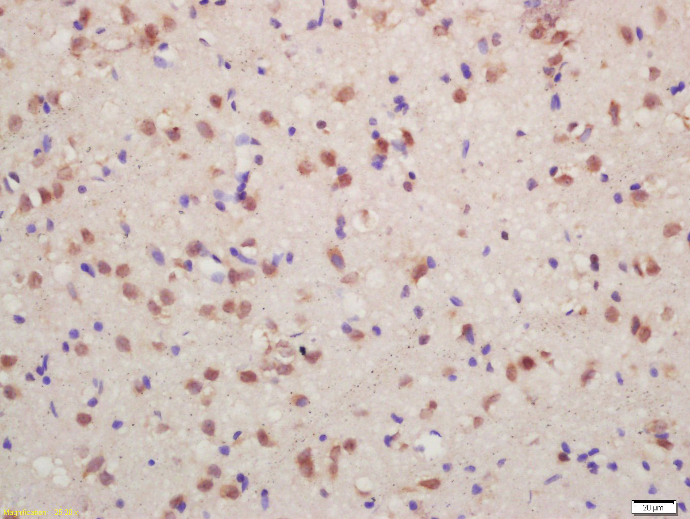
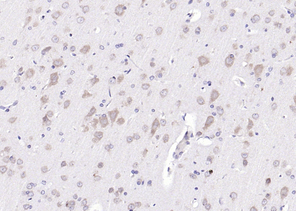
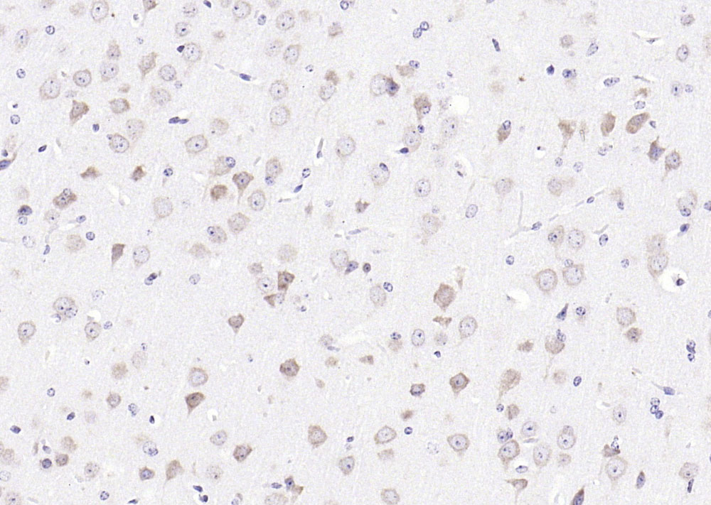
Antigen retrieval: citrate buffer ( 0.01M, pH 6.0 ), Boiling bathing for 15min; Block endogenous peroxidase by 3% Hydrogen peroxide for 30min; Blocking buffer (normal goat serum,C-0005) at 37℃ for 20 min;
Incubation: Anti-phospho-FMRP(Ser500) Polyclonal Antibody, Unconjugated(bs-13188R) 1:200, overnight at 4°C, followed by conjugation to the secondary antibody(SP-0023) and DAB(C-0010) staining

Primary: Anti-P-FMRP (bs-13188R) at 1:300;
Secondary: HRP conjugated Goat-Anti-Rabbit IgG(bse-0295G-HRP) at 1: 5000;
ECL excitated the fluorescence;
Predicted band size : 75 kD
Observed band size : 75 kD

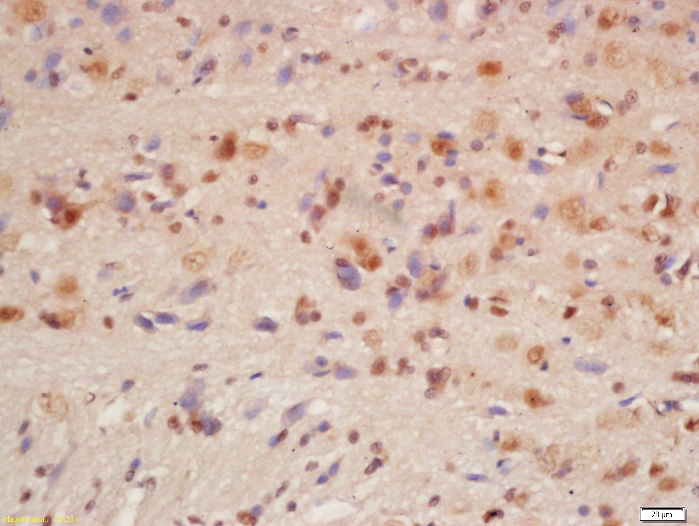
Antigen retrieval: citrate buffer ( 0.01M, pH 6.0 ), Boiling bathing for 15min; Block endogenous peroxidase by 3% Hydrogen peroxide for 30min; Blocking buffer (normal goat serum,C-0005) at 37℃ for 20 min;
Incubation: Anti-phospho-FMRP (Ser500) Polyclonal Antibody, Unconjugated(bs-13188R) 1:200, overnight at 4°C, followed by conjugation to the secondary antibody(SP-0023) and DAB(C-0010) staining




风险提示:丁香通仅作为第三方平台,为商家信息发布提供平台空间。用户咨询产品时请注意保护个人信息及财产安全,合理判断,谨慎选购商品,商家和用户对交易行为负责。对于医疗器械类产品,请先查证核实企业经营资质和医疗器械产品注册证情况。
文献和实验[IF={{ 6.208 }}] {Johnathan M. Borland. et al. Aggression Results in the Phosphorylation of ERK1/2 in the Nucleus Accumbens and the Dephosphorylation of mTOR in the Medial Prefrontal Cortex in Female Syrian Hamsters. INT J MOL SCI. 2023 Jan;24(2):1379} {WB} {Hamster}
:使用 Anti-phospho-Akt (Ser473) Rabbit mAb 对石蜡包埋的人乳腺癌组织进行免疫组织化学分析。(图 A)使用免疫组化试剂盒M&R HRP/DAB Detection IHC Kit,抗体 1:100 稀释;(图 B) 采用普通免疫组化试剂盒,抗体 1:25 稀释。 图 6 免疫组化实验检测 Erk1/2 表达 注:使用 Anti-Erk1/2 Mouse mAb与p44/42 MAPK (Erk1/2)Rabbit mAb 对正常小鼠心脏组织进行免疫
david9931 请问各位大侠,有没有订做过磷酸化的丝氨酸或磷酸化的苏氨酸抗体,哪家公司做的比较好,小弟想订做目的蛋白特异位点的丝氨酸、苏氨酸的磷酸化的抗体,帮忙给指点下,多谢啦 euthor_hsu 这种抗体定做很难。毕竟要的是抗一个特异的氨基酸的磷酸化位点。 就我所知cisbio有anti-phosphothronine 和anti-phosphotyrosine的抗体,PAb和MAb都有,但是没有anti
at 10, 25, and 50 μM). At 24 h post-treatment, celllysates were obtained; SDS-PAGE and Western blotting were performed as described in Section 3, Methods. AR-A014418dose-dependent decreases of phospho-β-catenin (Ser33/37) and phospho-glycogen synthase
技术资料暂无技术资料 索取技术资料






