相关产品推荐更多 >
万千商家帮你免费找货
0 人在求购买到急需产品
- 详细信息
- 文献和实验
- 技术资料
- 应用范围:
产品信息以Bioss网站为准
- 规格:
50ul/100ul/200ul
| 规格: | 50ul | 产品价格: | ¥1180.0 |
|---|---|---|---|
| 规格: | 100ul | 产品价格: | ¥1980.0 |
| 规格: | 200ul | 产品价格: | ¥2800.0 |
| 产品编号 | bs-13002R |
| 英文名称 | DIAPH2 Rabbit pAb |
| 中文名称 | DIAPH2蛋白抗体 |
| 英文别名 | Dia 2; DIA; Dia drome; Dia2; Diap 2; Diap2; DIAP2_HUMAN; DIAPH 2; DIAPH2; Diaphanous 2; Diaphanous homolog 2(Drosophila); Diaphanous homolog 2; Diaphanous related formin 2; Diaphanous-related formin-2; Diaphanous2; Diaphorase 2; Diaphorase2; DRF 2; DRF2; FLJ11167; OTTHUMP00000024270; OTTHUMP00000024271; OTTHUMP00000062171; POF 2; POF; POF2; Protein diaphanous homolog 2. |
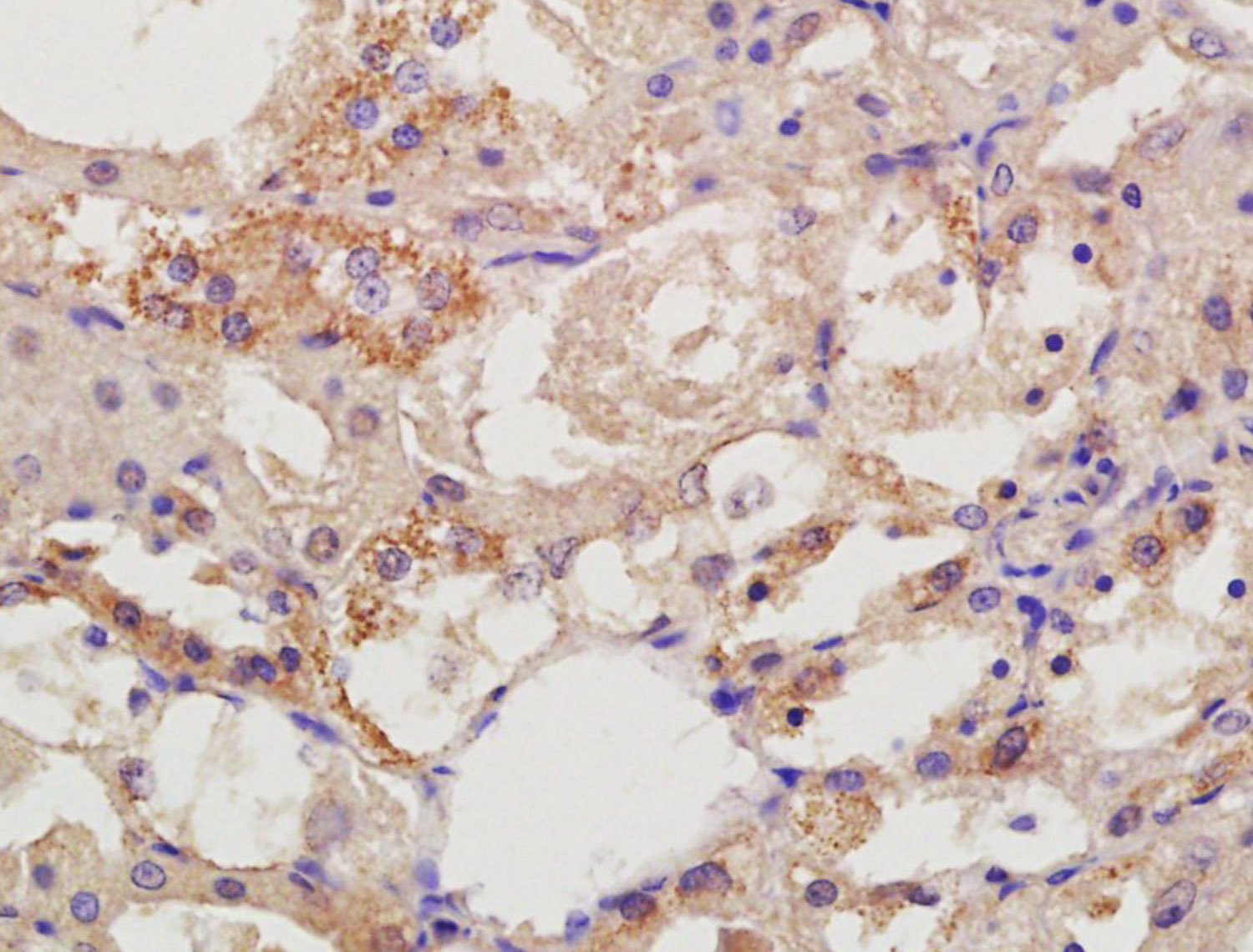
| 产品应用 | IHC-P=1:100-500, IHC-F=1:100-500, IF=1:100-500 Not yet tested in other applications. |
| 交叉反应 | Rat (Human, Dog, Horse, Rabbit) |
| 抗体来源 | Rabbit |
| 免疫原 | KLH conjugated synthetic peptide derived from human DIAPH2/Dia2 |
| 亚型 | IgG |
| 性状 | Liquid |
| 纯化方法 | affinity purified by Protein A |
| 克隆类型 | Polyclonal |
| 理论分子量 | 125 kDa |
| 浓度 | 1mg/ml |
| 储存液 | 0.01M TBS (pH7.4) with 1% BSA, 0.02% Proclin300 and 50% Glycerol. |
| 研究领域 | Signal Transduction > Cytoskeleton / ECM > Cytoskeleton > Microfilaments > Actin etc > Actin Binding Proteins Signal Transduction > Protein Trafficking > Vesicle Transport > Regulation |
| 亚基 | Isoform 3 interacts with RHOD in the GTP-bound form. |
| 亚细胞定位 | Cytoplasm > cytosol. Early endosome. Isoform 3 is cytosolic but when coexpressed with RHOD, the 2 proteins colocalize to early endosomes. |
| 组织特异性 | Expressed in testis, ovary, small intestine, prostate, lung, liver, kidney and leukocytes. |
| 相似性 | Belongs to the formin homology family. Diaphanous subfamily. Contains 1 DAD (diaphanous autoregulatory) domain. Contains 1 FH1 (formin homology 1) domain. Contains 1 FH2 (formin homology 2) domain. Contains 1 GBD/FH3 (Rho GTPase-binding/formin homology 3) domain. |
| 功能 | Could be involved in oogenesis. Involved in the regulation of endosome dynamics. Implicated in a novel signal transduction pathway, in which isoform 3 and CSK are sequentially activated by RHOD to regulate the motility of early endosomes through interactions with the actin cytoskeleton. |
| 保存条件 | Shipped at 4℃. Store at -20℃ for one year. Avoid repeated freeze/thaw cycles. |
| 注意事项 | This product as supplied is intended for research use only, not for use in human, therapeutic or diagnostic applications. |
| 背景资料 | The product of this gene belongs to the diaphanous subfamily of the formin homology family of proteins. This gene may play a role in the development and normal function of the ovaries. Defects in this gene have been linked to premature ovarian failure 2. Alternatively spliced transcript variants encoding different isoforms have been identified. [provided by RefSeq, Jul 2008] |
| 应用 | 推荐稀释比例 |
| {IHC-P} | {1:100-500} |
| {IHC-F} | {1:100-500} |
| {IF} | {1:100-500} |

Antigen retrieval: citrate buffer ( 0.01M, pH 6.0 ), Boiling bathing for 15min; Block endogenous peroxidase by 3% Hydrogen peroxide for 30min; Blocking buffer (normal goat serum,C-0005) at 37℃ for 20 min;
Incubation: Anti-DIAPH2 Polyclonal Antibody, Unconjugated(bs-R) 1:200, overnight at 4°C, followed by conjugation to the secondary antibody(SP-0023) and DAB(C-0010) staining
风险提示:丁香通仅作为第三方平台,为商家信息发布提供平台空间。用户咨询产品时请注意保护个人信息及财产安全,合理判断,谨慎选购商品,商家和用户对交易行为负责。对于医疗器械类产品,请先查证核实企业经营资质和医疗器械产品注册证情况。
文献和实验= NAL), appears to form upon oxidative cyclization of the nonfluorescent 2:1 lysine-HNE Michael adduct-Schiff base cross-link (Scheme 1). Polyclonal antibody (PAb) to the NAL-HNE fluorophore was raised in rabbit and found to be highly specific
GE Healthcare Benzamidine Sepharose™ 6B is p-aminobenzamidine covalently attached to Sepharose 6B by the epoxy coupling method. p-Aminobenzamidine (PAB), is a synthetic inhibitor of trypsin-like serine protease. Trypsin and trypsin
Nucleic Acid Programmable Protein Arrays: Versatile Tools for Array‐Based Functional Protein Studies
.g., Sigma) 50 mg/ml bis‐sulfosuccinimdylsuberate (BS3 ;Pierce, cat. no. PI 21580) in dimethylsulfoxide (DMSO) 5 mg/ml
技术资料暂无技术资料 索取技术资料









