相关产品推荐更多 >
万千商家帮你免费找货
0 人在求购买到急需产品
- 详细信息
- 文献和实验
- 技术资料
- 应用范围:
产品信息以Bioss网站为准
- 规格:
50ul/100ul/200ul
| 规格: | 50ul | 产品价格: | ¥1180.0 |
|---|---|---|---|
| 规格: | 100ul | 产品价格: | ¥1980.0 |
| 规格: | 200ul | 产品价格: | ¥2800.0 |
| 产品编号 | bs-8588R |
| 英文名称 | NETO1 Rabbit pAb |
| 中文名称 | 脑低密度脂蛋白受体蛋白1抗体 |
| 英文别名 | BCTL1; Brain specific transmembrane protein containing 2 CUB and 1 LDL receptor class A domains protein 1; Brain-specific transmembrane protein containing 2 CUB and 1 LDL-receptor class A domains protein 1; BTCL1; Neto1; NETO1_HUMAN; Neuropilin and tolloid like 1; Neuropilin and tolloid-like protein 1. |
| 产品应用 | IHC-P=1:100-500, IHC-F=1:100-500, IF=1:100-500 Not yet tested in other applications. |
| 交叉反应 | Rat (Human, Mouse, Chicken, Pig, Cow, Rabbit) |
| 抗体来源 | Rabbit |
| 免疫原 | KLH conjugated synthetic peptide derived from human NETO1 |
| 亚型 | IgG |
| 性状 | Liquid |
| 纯化方法 | affinity purified by Protein A |
| 克隆类型 | Polyclonal |
| 理论分子量 | 56 kDa |
| 浓度 | 1mg/ml |
| 储存液 | 0.01M TBS (pH7.4) with 1% BSA, 0.02% Proclin300 and 50% Glycerol. |
| 研究领域 | Neuroscience > Sensory System > Visual system |
| 亚基 | Interacts with PLZ domains of DLG2, DLG3 and DLG4 via its C-terminal TRV domain. Interacts with GRIN2A and GRIN2B via its CUB domains. |
| 亚细胞定位 | Isoform 2: Cell membrane; Single-pass type I membrane protein (Potential). Cell junction, synapse, postsynaptic cell membrane, postsynaptic density. Note=Component of the postsynaptic density (PSD) of excitatory synapses. Isoform 3: Cell membrane; Single-pass type I membrane protein (Potential).Isoform 1: Secreted (Potential). |
| 组织特异性 | Isoform 1 and isoform 2 are retina-specific. Isoform 3 is found in retina as well as at lower levels in adult and fetal brain. |
| 相似性 | Contains 2 CUB domains. Contains 1 LDL-receptor class A domain. |
| 功能 | Involved in the development and/or maintenance of neuronal circuitry. Accessory subunit of the neuronal N-methyl-D-aspartate receptor (NMDAR) critical for maintaining the abundance of GRIN2A-containing NMDARs in the postsynaptic density. Regulates long-term NMDA receptor-dependent synaptic plasticity and cognition, at least in the context of spatial learning and memory. |
| 保存条件 | Shipped at 4℃. Store at -20℃ for one year. Avoid repeated freeze/thaw cycles. |
| 注意事项 | This product as supplied is intended for research use only, not for use in human, therapeutic or diagnostic applications. |
| 背景资料 | NETO1 is a 533 amino acid protein that contains one LDL-receptor class A domain and two CUB domains and is either membrane-bound or secreted. Expressed as three alternatively spliced isoforms, the first two of which are retina-specific and the third of which is found in both retina and brain tissue, NETO1 is thought to be involved in the development and maintenance of neuronal circuitry, possibly playing a role in proper brain function. Human NETO1 shares 95% amino acid identity with its mouse counterpart, suggesting a conserved role between species. The gene encoding NETO1 maps to human chromosome 18, which houses over 300 protein-coding genes and contains nearly 76 million bases. There are a variety of diseases associated with defects in chromosome 18-localized genes, some of which include Trisomy 18 (also known as Edwards syndrome), Niemann-Pick disease, hereditary hemorrhagic telangiectasia, erythropoietic protoporphyria and follicular lymphomas. |
| 应用 | 推荐稀释比例 |
| {IHC-P} | {1:100-500} |
| {IHC-F} | {1:100-500} |
| {IF} | {1:100-500} |

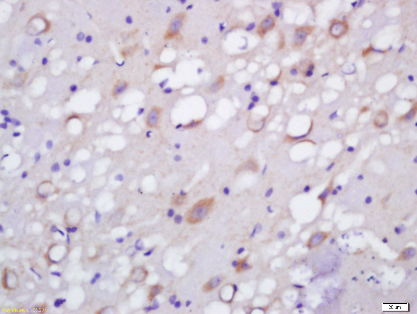
Antigen retrieval: citrate buffer ( 0.01M, pH 6.0 ), Boiling bathing for 15min; Block endogenous peroxidase by 3% Hydrogen peroxide for 30min; Blocking buffer (normal goat serum,C-0005) at 37℃ for 20 min;
Incubation: Anti-NETO1 Polyclonal Antibody, Unconjugated(bs-8588R) 1:200, overnight at 4°C, followed by conjugation to the secondary antibody(SP-0023) and DAB(C-0010) staining
风险提示:丁香通仅作为第三方平台,为商家信息发布提供平台空间。用户咨询产品时请注意保护个人信息及财产安全,合理判断,谨慎选购商品,商家和用户对交易行为负责。对于医疗器械类产品,请先查证核实企业经营资质和医疗器械产品注册证情况。
文献和实验= NAL), appears to form upon oxidative cyclization of the nonfluorescent 2:1 lysine-HNE Michael adduct-Schiff base cross-link (Scheme 1). Polyclonal antibody (PAb) to the NAL-HNE fluorophore was raised in rabbit and found to be highly specific
GE Healthcare Benzamidine Sepharose™ 6B is p-aminobenzamidine covalently attached to Sepharose 6B by the epoxy coupling method. p-Aminobenzamidine (PAB), is a synthetic inhibitor of trypsin-like serine protease. Trypsin and trypsin
Nucleic Acid Programmable Protein Arrays: Versatile Tools for Array‐Based Functional Protein Studies
.g., Sigma) 50 mg/ml bis‐sulfosuccinimdylsuberate (BS3 ;Pierce, cat. no. PI 21580) in dimethylsulfoxide (DMSO) 5 mg/ml
技术资料暂无技术资料 索取技术资料









