相关产品推荐更多 >

CD97 Rabbit pAb, APC-Cy7 conjugated(bs-2522R-APC-Cy7)-100ul
¥2980
DNA Polymerase delta, catalytic subunit Rabbit pAb(bs-10580R)-50ul/100ul/200ul
¥1180
IL23 P19 Rabbit pAb(bs-18146R)-50ul/100ul/200ul
¥1180
phospho-PKM2 (Tyr148) Rabbit pAb, PerCP conjugated(bs-20036R-PerCP)-100ul
¥2980
S100A7 Rabbit pAb, PE conjugated(bs-6238R-PE)-100ul
¥2980
万千商家帮你免费找货
0 人在求购买到急需产品
- 详细信息
- 技术资料
- 应用范围:
产品信息以Bioss网站为准
- 规格:
50ul/100ul/200ul
| 规格: | 50ul | 产品价格: | ¥1180.0 |
|---|---|---|---|
| 规格: | 100ul | 产品价格: | ¥1980.0 |
| 规格: | 200ul | 产品价格: | ¥2800.0 |
| 产品编号 | bs-8135R |
| 英文名称 | CCDC54 Rabbit pAb |
| 中文名称 | 卷曲螺旋结构域蛋白54抗体 |
| 英文别名 | Coiled-coil domain containing 54; FLJ25362; NYD-SP17; Testes development-related NYD-SP17; Testis development protein NYD-SP17. |
| 产品应用 | WB=1:500-2000, IHC-P=1:100-500, IHC-F=1:100-500, IF=1:100-500 Not yet tested in other applications. |
| 交叉反应 | Human, Mouse, Rat (Chicken, Dog, Pig, Cow, Horse, Rabbit, Sheep) |
| 抗体来源 | Rabbit |
| 免疫原 | KLH conjugated synthetic peptide derived from human CCDC54 |
| 亚型 | IgG |
| 性状 | Liquid |
| 纯化方法 | affinity purified by Protein A |
| 克隆类型 | Polyclonal |
| 理论分子量 | 36 kDa |
| 浓度 | 1mg/ml |
| 储存液 | 0.01M TBS (pH7.4) with 1% BSA, 0.02% Proclin300 and 50% Glycerol. |
| 保存条件 | Shipped at 4℃. Store at -20℃ for one year. Avoid repeated freeze/thaw cycles. |
| 注意事项 | This product as supplied is intended for research use only, not for use in human, therapeutic or diagnostic applications. |
| 背景资料 | The specific function of CCDC54 (coiled-coil domain containing 54) is not yet known. The CCDC54 gene appears to be conserved in chimpanzee, dog, mouse, and rat.CCDC54, also known as coiled-coil domain-containing protein 54 or testis development protein NYD-SP17, is a 328 amino acid protein that is phosphorylated on threonine 182 during post-translational modification. The gene encoding NYD-SP17 maps to human chromosome 3q13.12 and mouse chromosome 16 B5. Human chromosome 3 houses over 1,100 genes, including a chemokine receptor (CKR) gene cluster and a variety of human cancer-related gene loci. Key tumor suppressing genes on chromosome 3 include those that encode the apoptosis mediator RASSF1, the cell migration regulator HYAL1 and the angiogenesis suppressor SEMA3B. Marfan Syndrome, porphyria, von Hippel-Lindau syndrome, osteogenesis imperfecta and Charcot-Marie-Tooth disease are a few of the numerous genetic diseases associated with chromosome 3. |
| 应用 | 推荐稀释比例 |
| {WB} | {1:500-2000} |
| {IHC-P} | {1:100-500} |
| {IHC-F} | {1:100-500} |
| {IF} | {1:100-500} |

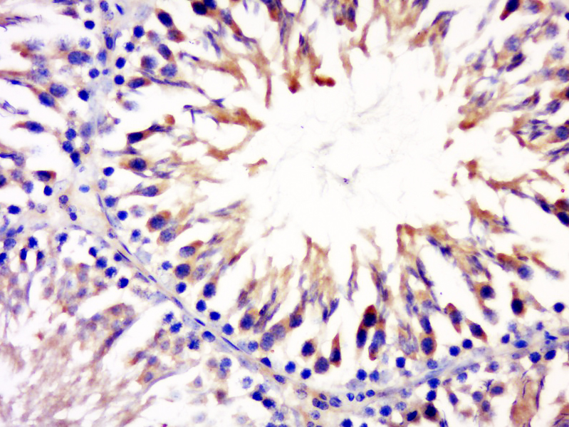
Paraformaldehyde-fixed, paraffin embedded (rat testis); Antigen retrieval by boiling in sodium citrate buffer (pH6.0) for 15min; Block endogenous peroxidase by 3% hydrogen peroxide for 20 minutes; Blocking buffer (normal goat serum) at 37°C for 30min; Antibody incubation with (CCDD54) Polyclonal Antibody, Unconjugated (bs-8135R) at 1:500 overnight at 4°C, followed by a conjugated secondary (sp-0023) for 20 minutes and DAB staining.

Sample:
HL60(Human) Cell Lysate at 30 ug
Primary: Anti- CCDC54 (bs-8135R) at 1/1000 dilution
Secondary: IRDye800CW Goat Anti-Rabbit IgG at 1/20000 dilution
Predicted band size: 36 kD
Observed band size: 36 kD
HL60(Human) Cell Lysate at 30 ug
Primary: Anti- CCDC54 (bs-8135R) at 1/1000 dilution
Secondary: IRDye800CW Goat Anti-Rabbit IgG at 1/20000 dilution
Predicted band size: 36 kD
Observed band size: 36 kD

Sample:
Uterus (Mouse) Lysate at 40 ug
Primary: Anti-CCDC54 (bs-8135R) at 1/300 dilution
Secondary: IRDye800CW Goat Anti-Rabbit IgG at 1/20000 dilution
Predicted band size: 36 kD
Observed band size: 36 kD
Uterus (Mouse) Lysate at 40 ug
Primary: Anti-CCDC54 (bs-8135R) at 1/300 dilution
Secondary: IRDye800CW Goat Anti-Rabbit IgG at 1/20000 dilution
Predicted band size: 36 kD
Observed band size: 36 kD
风险提示:丁香通仅作为第三方平台,为商家信息发布提供平台空间。用户咨询产品时请注意保护个人信息及财产安全,合理判断,谨慎选购商品,商家和用户对交易行为负责。对于医疗器械类产品,请先查证核实企业经营资质和医疗器械产品注册证情况。
技术资料暂无技术资料 索取技术资料
CCDC54 Rabbit pAb(bs-8135R)-50ul/100ul/200ul
¥1180 - 2800





