相关产品推荐更多 >

WWOX Rabbit pAb, BF405 conjugated(bs-0589R-BF405)-100ul
¥2980
CXorf21 Rabbit pAb, APC conjugated(bs-9552R-APC)-100ul
¥2980
SIRT1 Rabbit pAb, BF680 conjugated(bs-2257R-BF680)-100ul
¥2980
Alkaline Phosphatase, Tissue Non-Specific isozyme Rabbit pAb(bs-1535R)-50ul/100ul/200ul
¥1180
CAMKK2 Rabbit pAb, Cy5.5 conjugated(bs-6253R-Cy5.5)-100ul
¥2980
万千商家帮你免费找货
0 人在求购买到急需产品
- 详细信息
- 文献和实验
- 技术资料
- 应用范围:
产品信息以Bioss网站为准
- 规格:
50ul/100ul/200ul
| 规格: | 50ul | 产品价格: | ¥1180.0 |
|---|---|---|---|
| 规格: | 100ul | 产品价格: | ¥1980.0 |
| 规格: | 200ul | 产品价格: | ¥2800.0 |
| 产品编号 | bs-6329R |
| 英文名称 | NTR3 Rabbit pAb |
| 中文名称 | 神经降压素受体3/糖蛋白95抗体 |
| 英文别名 | 100 kDa NT receptor; Glycoprotein 95; Gp 95; Gp95; Neurotensin receptor 3; NT 3; NT3; NTR 3; NTR3; SORT 1; SORT_HUMAN; SORT1(gene name); SORT1; Sortilin 1; Sortilin; Sortilin1. |
| 产品应用 | WB=1:500-2000, IHC-P=1:100-500, IHC-F=1:100-500, IF=1:100-500 Not yet tested in other applications. |
| 交叉反应 | Mouse, Rat (Human, Dog, Pig, Cow, Horse, GuineaPig) |
| 抗体来源 | Rabbit |
| 免疫原 | KLH conjugated synthetic peptide derived from human Sortilin/NTR3/Gp95 |
| 亚型 | IgG |
| 性状 | Liquid |
| 纯化方法 | affinity purified by Protein A |
| 克隆类型 | Polyclonal |
| 理论分子量 | 84 kDa |
| 浓度 | 1mg/ml |
| 储存液 | 0.01M TBS (pH7.4) with 1% BSA, 0.02% Proclin300 and 50% Glycerol. |
| 研究领域 | Cardiovascular > Atherosclerosis > Apoptosis Cardiovascular > Atherosclerosis > Lipoprotein metabolism Cardiovascular > Lipids / Lipoproteins > Lipoproteins/Apolipoproteins > Lipoproteins Metabolism > Pathways and Processes > Metabolic signaling pathways > Lipid and lipoprotein metabolism > Lipoprotein metabolism Metabolism > Types of disease > Heart disease Metabolism > Types of disease > Neurodegenerative disease Neuroscience > Neurology process > Neurodegenerative disease > Alzheimer's disease Neuroscience > Neurology process > Neurogenesis Neuroscience > Neurotransmitter > Neuropeptides > More Neuropeptides |
| 亚基 | Interacts with LPL and SLC2A4 (By similarity). Interactswith the cytosolic adapter proteins GGA1 and GGA2. Interacts withnumerous ligands including the receptor-associated proteinLRPAP1/RAP, GM2A, NTS and PSAP. Forms a complex with NGFR whichbinds specifically to the precursor forms of NGFB (proNGFB) andBDNF (proBDNF). |
| 亚细胞定位 | Membrane; Single-pass type I membraneprotein. Endoplasmic reticulum membrane; Single-pass type Imembrane protein (Potential). Endosome membrane; Single-pass type Imembrane protein (Potential). Golgi apparatus, Golgi stackmembrane; Single-pass type I membrane protein (Potential). Lysosomemembrane; Single-pass type I membrane protein (Potential). Nucleusmembrane; Single-pass type I membrane protein (Potential). Cellmembrane; Single-pass type I membrane protein; Extracellular side.Lysosome membrane; Single-pass type I membrane protein (Potential).Note=Localized to membranes of the endoplasmic reticulum,endosomes, Golgi stack, lysosomes and nucleus. A small fraction ofthe protein is also localized to the plasma membrane. May also befound in SLC2A4/GLUT4 storage vesicles (GSVs) in adipocytes.Localization to the plasma membrane in adipocytes may be enhancedby insulin. |
| 组织特异性 | Expressed at high levels in brain, spinalcord, heart, skeletal muscle, thyroid, placenta and testis.Expressed at lower levels in lymphoid organs, kidney, colon andliver. |
| 翻译后修饰 | The N-terminal propeptide is cleaved by furin and possiblyother homologous proteases. |
| 相似性 | Belongs to the VPS10-related sortilin family. SORT1subfamily. Contains 9 BNR repeats. |
| 功能 | Functions as a sorting receptor in the Golgi compartmentand as a clearance receptor on the cell surface. Required forprotein transport from the Golgi apparatus to the lysosomes by apathway that is independent of the mannose-6-phosphate receptor(M6PR). Also required for protein transport from the Golgiapparatus to the endosomes. Promotes neuronal apoptosis bymediating endocytosis of the proapoptotic precursor forms of BDNF(proBDNF) and NGFB (proNGFB). Also acts as a receptor forneurotensin. May promote mineralization of the extracellular matrixduring osteogenic differentiation by scavenging extracellular LPL.Probably required in adipocytes for the formation of specializedstorage vesicles containing the glucose transporter SLC2A4/GLUT4(GLUT4 storage vesicles, or GSVs). These vesicles provide a stablepool of SLC2A4 and confer increased responsiveness to insulin. Mayalso mediate transport from the endoplasmic reticulum to the Golgi. |
| 保存条件 | Shipped at 4℃. Store at -20℃ for one year. Avoid repeated freeze/thaw cycles. |
| 注意事项 | This product as supplied is intended for research use only, not for use in human, therapeutic or diagnostic applications. |
| 背景资料 | Functions as a sorting receptor in the Golgi compartment and as a clearance receptor on the cell surface. Required for protein transport from the Golgi apparatus to the lysosomes by a pathway that is independent of the mannose-6-phosphate receptor (M6PR). Also required for protein transport from the Golgi apparatus to the endosomes. Promotes neuronal apoptosis by mediating endocytosis of the proapoptotic precursor forms of BDNF (proBDNF) and NGFB (proNGFB). Also acts as a receptor for neurotensin. May promote mineralization of the extracellular matrix during osteogenic differentiation by scavenging extracellular LPL. Probably required in adipocytes for the formation of specialized storage vesicles containing the glucose transporter SLC2A4/GLUT4 (GLUT4 storage vesicles, or GSVs). These vesicles provide a stable pool of SLC2A4 and confer increased responsiveness to insulin. May also mediate transport from the endoplasmic reticulum to the Golgi.Tissue specificity: Expressed at high levels in brain, spinal cord, heart, skeletal muscle, thyroid, placenta and testis. Expressed at lower levels in lymphoid organs, kidney, colon and liver. |
| 应用 | 推荐稀释比例 |
| {WB} | {1:500-2000} |
| {IHC-P} | {1:100-500} |
| {IHC-F} | {1:100-500} |
| {IF} | {1:100-500} |

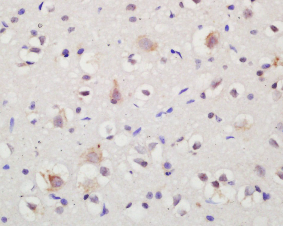
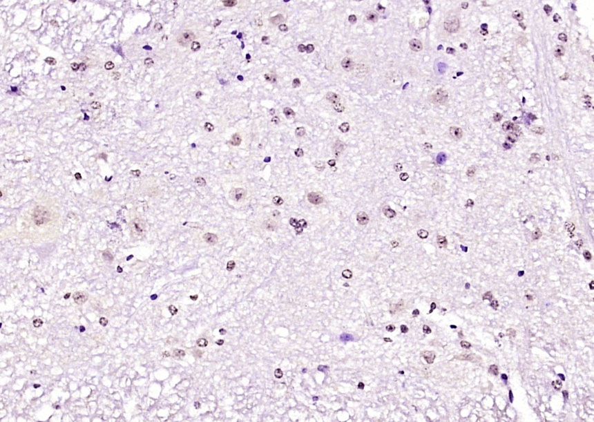
Primary: Anti-NTR3 (bs-6329R) at 1/300 dilution
Secondary: HRP conjugated Goat-Anti-rabbit IgG (bs-0295G-HRP) at 1/5000 dilution
Predicted band size: 84 kD
Observed band size: 84 kD

Antigen retrieval: citrate buffer ( 0.01M, pH 6.0 ), Boiling bathing for 15min; Block endogenous peroxidase by 3% Hydrogen peroxide for 30min; Blocking buffer (normal goat serum,C-0005) at 37℃ for 20 min;
Incubation: Anti-NTR3 Polyclonal Antibody, Unconjugated(bs-6329R) 1:200, overnight at 4°C, followed by conjugation to the secondary antibody(SP-0023) and DAB(C-0010) staining


Heart (Mouse) Lysate at 40 ug
Primary: Anti-NTR3 (bs-6329R) at 1/1000 dilution
Secondary: IRDye800CW Goat Anti-Rabbit IgG at 1/20000 dilution
Predicted band size: 84 kD
Observed band size: 84 kD
风险提示:丁香通仅作为第三方平台,为商家信息发布提供平台空间。用户咨询产品时请注意保护个人信息及财产安全,合理判断,谨慎选购商品,商家和用户对交易行为负责。对于医疗器械类产品,请先查证核实企业经营资质和医疗器械产品注册证情况。
文献和实验= NAL), appears to form upon oxidative cyclization of the nonfluorescent 2:1 lysine-HNE Michael adduct-Schiff base cross-link (Scheme 1). Polyclonal antibody (PAb) to the NAL-HNE fluorophore was raised in rabbit and found to be highly specific
GE Healthcare Benzamidine Sepharose™ 6B is p-aminobenzamidine covalently attached to Sepharose 6B by the epoxy coupling method. p-Aminobenzamidine (PAB), is a synthetic inhibitor of trypsin-like serine protease. Trypsin and trypsin
Nucleic Acid Programmable Protein Arrays: Versatile Tools for Array‐Based Functional Protein Studies
.g., Sigma) 50 mg/ml bis‐sulfosuccinimdylsuberate (BS3 ;Pierce, cat. no. PI 21580) in dimethylsulfoxide (DMSO) 5 mg/ml
技术资料暂无技术资料 索取技术资料






