Sample:
SY5Y(Human) Cell Lysate at 30 ug
Primary: Anti- WAVE 1 (bs-5895R) at 1/1000 dilution
Secondary: IRDye800CW Goat Anti-Rabbit IgG at 1/20000 dilution
Predicted band size: 61 kD
Observed band size: 61 kD
相关产品推荐更多 >
万千商家帮你免费找货
0 人在求购买到急需产品
- 详细信息
- 技术资料
- 应用范围:
产品信息以Bioss网站为准
- 规格:
50ul/100ul/200ul
| 规格: | 50ul | 产品价格: | ¥1180.0 |
|---|---|---|---|
| 规格: | 100ul | 产品价格: | ¥1980.0 |
| 规格: | 200ul | 产品价格: | ¥2800.0 |
| 产品编号 | bs-5895R |
| 英文名称 | WAVE 1 Rabbit pAb |
| 中文名称 | 富含脯氨酸同源蛋白1抗体 |
| 英文别名 | Protein WAVE-1; Protein WAVE1; SCAR1; Similar to a plant extensin like protein; Verprolin homology domain containing protein 1; Verprolin homology domain-containing protein 1; WAS protein family, member 1; Wasf1; WASF1_HUMAN; WASL; WASP family 1; WASP family protein member 1; WAVE; WAVE1; Wiskott Aldrich syndrome protein family member 1; Wiskott-Aldrich syndrome protein family member 1. |
| 产品应用 | WB=1:500-2000, IHC-P=1:100-500, IHC-F=1:100-500, IF=1:100-500 Not yet tested in other applications. |
| 交叉反应 | Human (Mouse, Rat, Dog, Cow, Horse, Rabbit) |
| 抗体来源 | Rabbit |
| 免疫原 | KLH conjugated synthetic peptide derived from human WAVE 1 |
| 亚型 | IgG |
| 性状 | Liquid |
| 纯化方法 | affinity purified by Protein A |
| 克隆类型 | Polyclonal |
| 理论分子量 | 61 kDa |
| 浓度 | 1mg/ml |
| 储存液 | 0.01M TBS (pH7.4) with 1% BSA, 0.02% Proclin300 and 50% Glycerol. |
| 研究领域 | Cancer > Invasion/microenvironment > ECM > Extracellular matrix Cancer > Tumor biomarkers Metabolism > Pathways and Processes > Mitochondrial Metabolism > Mitochondrial markers Neuroscience > Neurology process > Neurogenesis Signal Transduction > Cytoskeleton / ECM > Cytoskeleton > Microfilaments > Actin etc > Actin Assembly Signal Transduction > Metabolism > Mitochondrial |
| 亚基 | Component of the WAVE1 complex composed of ABI2, CYFIP1 or CYFIP2, BRK1, NCKAP1 and WASF1/WAVE1. Within the complex, a heterdimer containing NCKAP1 and CYFIP1 interacts with a heterotrimer formed by WAVE1, ABI2 and BRK1. CYFIP2 binds to activated RAC1 which causes the complex to dissociate, releasing activated WASF1. The complex can also be activated by NCK1 (By similarity). Binds actin and the Arp2/3 complex. Interacts with BAIAP2. |
| 亚细胞定位 | Cytoplasm > cytoskeleton. Dot-like pattern in the cytoplasm. Concentrated in Rac-regulated membrane-ruffling areas. |
| 组织特异性 | Highly expressed in brain. Lowly expressed in testis, ovary, colon, kidney, pancreas, thymus, small intestine and peripheral blood. |
| 相似性 | Belongs to the SCAR/WAVE family. Contains 1 WH2 domain. |
| 功能 | Downstream effector molecule involved in the transmission of signals from tyrosine kinase receptors and small GTPases to the actin cytoskeleton. Promotes formation of actin filaments. Part of the WAVE complex that regulates lamellipodia formation. The WAVE complex regulates actin filament reorganization via its interaction with the Arp2/3 complex. |
| 保存条件 | Shipped at 4℃. Store at -20℃ for one year. Avoid repeated freeze/thaw cycles. |
| 注意事项 | This product as supplied is intended for research use only, not for use in human, therapeutic or diagnostic applications. |
| 背景资料 | WASP (for Wiskott-Aldrich syndrome protein) and N-WASP are downstream effectors of Cdc42 that are implicated in Actin polymerization and cytoskeletal organization. The WASP family also includes VASP (vasodilator-stimulated phosphoprotein) and Mena (for mammalian enabled protein), which accumulate at focal adhesions and are also involved in the regulation of the Actin cytoskeleton. The WAVE proteins are related to the WASP family proteins and are likewise involved in mediating Actin reorganization downstream of the Rho family of small GTPases. The protein homologs WAVE1 and WAVE2 regulate membrane ruffling by inducing the formation of Actin filament clusters in response to GTP binding and by activating Rac. They mediate Actin polymerization by cooperating with the Arp2/3 complex, thereby promoting the formation of Actin filaments. WAVE1, which is also designated SCAR (suppressor of cAR), is expressed primarily in the brain, while WAVE2 is widely expressed, with the expression highest in peripheral blood leukocytes. WAVE3 forms a multiprotein complex that links receptor kinases with Actin and plays a role in the transduction of signals involving changes in cell shape, function or motility. |
| 应用 | 推荐稀释比例 |
| {WB} | {1:500-2000} |
| {IHC-P} | {1:100-500} |
| {IHC-F} | {1:100-500} |
| {IF} | {1:100-500} |


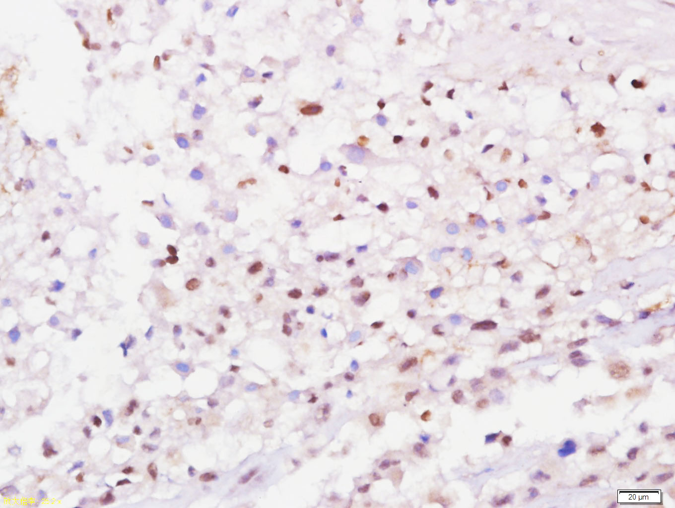
Paraformaldehyde-fixed, paraffin embedded (Human brain glioma); Antigen retrieval by boiling in sodium citrate buffer (pH6.0) for 15min; Block endogenous peroxidase by 3% hydrogen peroxide for 20 minutes; Blocking buffer (normal goat serum) at 37°C for 30min; Antibody incubation with (WAVE 1) Polyclonal Antibody, Unconjugated (bs-5895R) at 1:400 overnight at 4°C, followed by operating according to SP Kit(Rabbit) (sp-0023) instructions and DAB staining.
风险提示:丁香通仅作为第三方平台,为商家信息发布提供平台空间。用户咨询产品时请注意保护个人信息及财产安全,合理判断,谨慎选购商品,商家和用户对交易行为负责。对于医疗器械类产品,请先查证核实企业经营资质和医疗器械产品注册证情况。
技术资料暂无技术资料 索取技术资料
WAVE 1 Rabbit pAb(bs-5895R)-50ul/100ul/200ul
¥1180 - 2800








