相关产品推荐更多 >

phospho-MAP3K8 (Ser400) Rabbit pAb, APC-Cy7 conjugated(bs-3454R-APC-Cy7)-100ul
¥2980
ENPP4 Rabbit pAb, Biotin conjugated(bs-14599R-Bio)-100ul
¥2980
MMP2 Rabbit pAb, BF555 conjugated(bs-4605R-BF555)-100ul
¥2980
phospho-BRIP1/BACH1 (Ser990) Rabbit pAb(bs-5226R)-50ul/100ul/200ul
¥1180
Endomucin Rabbit pAb, BF594 conjugated(bs-5884R-BF594)-100ul
¥2980
万千商家帮你免费找货
0 人在求购买到急需产品
- 详细信息
- 文献和实验
- 技术资料
- 应用范围:
产品信息以Bioss网站为准
- 规格:
50ul/100ul/200ul
| 规格: | 50ul | 产品价格: | ¥1180.0 |
|---|---|---|---|
| 规格: | 100ul | 产品价格: | ¥1980.0 |
| 规格: | 200ul | 产品价格: | ¥2800.0 |
| 产品编号 | bs-5882R |
| 英文名称 | CTHRC1 Rabbit pAb |
| 中文名称 | 胶原三股螺旋重复蛋白1抗体 |
| 英文别名 | Collagen triple helix repeat containing 1; Collagen triple helix repeat containing protein 1; Collagen triple helix repeat-containing protein 1; CTHR1_HUMAN; Cthrc1; NMTC1 protein; Protein NMTC1. |
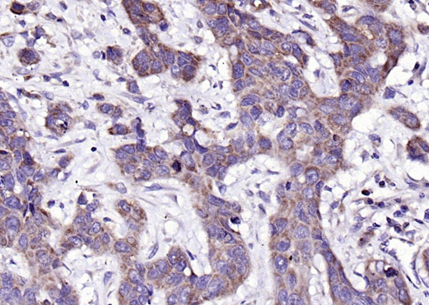
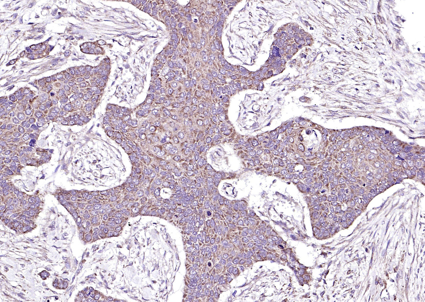
| 产品应用 | IHC-P=1:100-500, IHC-F=1:100-500, IF=1:100-500 Not yet tested in other applications. |
| 交叉反应 | Human (Mouse, Rat, Dog, Cow, Horse, Rabbit) |
| 抗体来源 | Rabbit |
| 免疫原 | KLH conjugated synthetic peptide derived from human CTHRC1 |
| 亚型 | IgG |
| 性状 | Liquid |
| 纯化方法 | affinity purified by Protein A |
| 克隆类型 | Polyclonal |
| 理论分子量 | 23 kDa |
| 浓度 | 1mg/ml |
| 储存液 | 0.01M TBS (pH7.4) with 1% BSA, 0.02% Proclin300 and 50% Glycerol. |
| 研究领域 | Cancer > Invasion/microenvironment > ECM > Extracellular matrix Cancer > Tumor biomarkers Cancer > Tumor immunology > Tumor-associated antigens Cardiovascular > Vasculature > Vasculature Markers > Arterial Signal Transduction > Cytoskeleton / ECM > Extracellular Matrix > ECM Proteins > Collagen Signal Transduction > Growth Factors/Hormones > TGF |
| 亚细胞定位 | Secreted, extracellular space, extracellular matrix (By similarity). |
| 组织特异性 | Isoform 1 is expressed in calcified atherosclerotic plaque and chondrocyte-like cells. |
| 翻译后修饰 | N-glycosylated (By similarity). |
| 相似性 | Contains 1 collagen-like domain. |
| 功能 | May act as a negative regulator of collagen matrix deposition (By similarity). |
| 保存条件 | Shipped at 4℃. Store at -20℃ for one year. Avoid repeated freeze/thaw cycles. |
| 注意事项 | This product as supplied is intended for research use only, not for use in human, therapeutic or diagnostic applications. |
| 背景资料 | CTHRC1 is a protein that may play a role in the cellular response to arterial injury through involvement in vascular remodeling. Mutations at this locus have been associated with Barrett esophagus and esophageal adenocarcinoma. Alternatively spliced transcript variants have been described. |
| 应用 | 推荐稀释比例 |
| {IHC-P} | {1:100-500} |
| {IHC-F} | {1:100-500} |
| {IF} | {1:100-500} |


风险提示:丁香通仅作为第三方平台,为商家信息发布提供平台空间。用户咨询产品时请注意保护个人信息及财产安全,合理判断,谨慎选购商品,商家和用户对交易行为负责。对于医疗器械类产品,请先查证核实企业经营资质和医疗器械产品注册证情况。
文献和实验[IF={{ 8.2 }}] {Chen Si-yuan. et al. E3 ubiquitin ligase NEDD4L inhibits epithelial-mesenchymal transition by suppressing the β-catenin/HIF-1α positive feedback loop in chronic rhinosinusitis with nasal polyps. ACTA PHARMACOL SIN. 2023 Dec;:1-13} {IF} {Human}
[IF={{ 4.8 }}] {Dongfeng Sun. et al. The impact of POSTN on tumor cell behavior and the tumor microenvironment in lung adenocarcinoma. INT IMMUNOPHARMACOL. 2025 Jan;145:113713} {IHC,mIF} {Human}
= NAL), appears to form upon oxidative cyclization of the nonfluorescent 2:1 lysine-HNE Michael adduct-Schiff base cross-link (Scheme 1). Polyclonal antibody (PAb) to the NAL-HNE fluorophore was raised in rabbit and found to be highly specific
GE Healthcare Benzamidine Sepharose™ 6B is p-aminobenzamidine covalently attached to Sepharose 6B by the epoxy coupling method. p-Aminobenzamidine (PAB), is a synthetic inhibitor of trypsin-like serine protease. Trypsin and trypsin
Nucleic Acid Programmable Protein Arrays: Versatile Tools for Array‐Based Functional Protein Studies
.g., Sigma) 50 mg/ml bis‐sulfosuccinimdylsuberate (BS3 ;Pierce, cat. no. PI 21580) in dimethylsulfoxide (DMSO) 5 mg/ml
技术资料暂无技术资料 索取技术资料






