相关产品推荐更多 >

human CD8 Mouse mAb, PE conjugated(bsm-30070M-PE)-100ul
¥2980
Mouse CD3e Hamster mAb, Percp-Cy5.5 conjugated(bsm-30151H-Percp-Cy5.5)-25T/50T/100T
¥1080
CACNA1G + CACNA1H Rabbit pAb, HRP conjugated(bs-11984R-HRP)-100ul
¥2980
METTL22 Rabbit pAb(bs-18848R)-50ul/100ul/200ul
¥1180
CG6856-PA Rabbit pAb(bs-0775R)-50ul/100ul/200ul
¥1180
万千商家帮你免费找货
0 人在求购买到急需产品
- 详细信息
- 文献和实验
- 技术资料
- 应用范围:
产品信息以Bioss网站为准
- 规格:
50ul/100ul/200ul
| 规格: | 50ul | 产品价格: | ¥1180.0 |
|---|---|---|---|
| 规格: | 100ul | 产品价格: | ¥1980.0 |
| 规格: | 200ul | 产品价格: | ¥2800.0 |
| 产品编号 | bs-4274R |
| 英文名称 | DBC2 Rabbit pAb |
| 中文名称 | 乳腺癌基因删除蛋白2抗体 |
| 英文别名 | DBC 2; Deleted in breast cancer 2; Deleted in breast cancer 2 gene protein; E130206H14Rik; KIAA0717; p83; RBT2; RHBT2_HUMAN; Rho related BTB domain containing 2; Rho related BTB domain containing protein 2; Rho-related BTB domain containing 2; Rho-related BTB domain-containing protein 2; RHOBTB 2; Rhobtb2. |
| 产品应用 | IHC-P=1:100-500, IHC-F=1:100-500, IF=1:100-500 Not yet tested in other applications. |
| 交叉反应 | Human (Mouse, Rat, Pig, Cow, Horse) |
| 抗体来源 | Rabbit |
| 免疫原 | KLH conjugated synthetic peptide derived from human DBC2 |
| 亚型 | IgG |
| 性状 | Liquid |
| 纯化方法 | affinity purified by Protein A |
| 克隆类型 | Polyclonal |
| 理论分子量 | 83 kDa |
| 浓度 | 1mg/ml |
| 储存液 | 0.01M TBS (pH7.4) with 1% BSA, 0.02% Proclin300 and 50% Glycerol. |
| 组织特异性 | Ubiquitous, with highest levels in neural tissues. Expression is also detected in fetal lung, heart, and brain. |
| 相似性 | Belongs to the small GTPase superfamily. Rho family. Contains 2 BTB (POZ) domains. |
| 保存条件 | Shipped at 4℃. Store at -20℃ for one year. Avoid repeated freeze/thaw cycles. |
| 注意事项 | This product as supplied is intended for research use only, not for use in human, therapeutic or diagnostic applications. |
| 背景资料 | DBC2 is a member of the recently identified RhoBTB family, which is part of the Rho GTPase family. DBC2 has been implicated as a tumor suppressor in breast and lung cancer. Studies have shown that DBC2 binds to the ubiquitin ligase scaffold Cul3, and that Cul3 regulates DBC2 protein levels by ubiquitinating DBC2 directly, leading to its degradation by the proteasome. |
| 应用 | 推荐稀释比例 |
| {IHC-P} | {1:100-500} |
| {IHC-F} | {1:100-500} |
| {IF} | {1:100-500} |

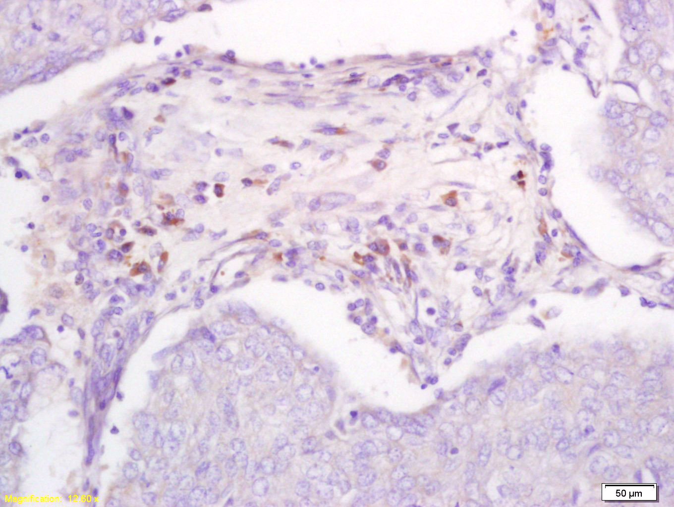
Antigen retrieval: citrate buffer ( 0.01M, pH 6.0 ), Boiling bathing for 15min; Block endogenous peroxidase by 3% Hydrogen peroxide for 30min; Blocking buffer (normal goat serum,C-0005) at 37℃ for 20 min;
Incubation: Anti-DBC2 Polyclonal Antibody, Unconjugated(bs-4274R) 1:200, overnight at 4°C, followed by conjugation to the secondary antibody(SP-0023) and DAB(C-0010) staining
风险提示:丁香通仅作为第三方平台,为商家信息发布提供平台空间。用户咨询产品时请注意保护个人信息及财产安全,合理判断,谨慎选购商品,商家和用户对交易行为负责。对于医疗器械类产品,请先查证核实企业经营资质和医疗器械产品注册证情况。
文献和实验[IF={{ 7.032 }}] {Hyun Jeong Seok. et al. Novel miR-5088-5p promotes malignancy of breast cancer by inhibiting DBC2. Mol Ther-Nucl Acids. 2021 May;:} {IHC} {Mouse, Human}
= NAL), appears to form upon oxidative cyclization of the nonfluorescent 2:1 lysine-HNE Michael adduct-Schiff base cross-link (Scheme 1). Polyclonal antibody (PAb) to the NAL-HNE fluorophore was raised in rabbit and found to be highly specific
GE Healthcare Benzamidine Sepharose™ 6B is p-aminobenzamidine covalently attached to Sepharose 6B by the epoxy coupling method. p-Aminobenzamidine (PAB), is a synthetic inhibitor of trypsin-like serine protease. Trypsin and trypsin
Nucleic Acid Programmable Protein Arrays: Versatile Tools for Array‐Based Functional Protein Studies
.g., Sigma) 50 mg/ml bis‐sulfosuccinimdylsuberate (BS3 ;Pierce, cat. no. PI 21580) in dimethylsulfoxide (DMSO) 5 mg/ml
技术资料暂无技术资料 索取技术资料






