相关产品推荐更多 >

MTNR1B Rabbit pAb, HRP conjugated(bs-21511R-HRP)-100ul
¥2980
Aβ1-42 (CT) Rabbit pAb(bs-23379R)-50ul/100ul/200ul
¥1180
IGF1R Rabbit pAb, PerCP-Cy5.5 conjugated(bs-0680R-PerCP-Cy5.5)-100ul
¥2980
ID1 Rabbit pAb, BF488 conjugated(bs-3529R-BF488)-100ul
¥2980
PLK4/STK18 Rabbit pAb, Biotin conjugated(bs-22112R-Bio)-100ul
¥2980
万千商家帮你免费找货
0 人在求购买到急需产品
- 详细信息
- 文献和实验
- 技术资料
- 应用范围:
产品信息以Bioss网站为准
- 规格:
50ul/100ul/200ul
| 规格: | 50ul | 产品价格: | ¥1180.0 |
|---|---|---|---|
| 规格: | 100ul | 产品价格: | ¥1980.0 |
| 规格: | 200ul | 产品价格: | ¥2800.0 |
| 产品编号 | bs-5154R |
| 英文名称 | LSP1 Rabbit pAb |
| 中文名称 | 白细胞F肌动蛋白结合蛋白抗体 |
| 英文别名 | 47 kDa actin binding protein; 47 kDa actin-binding protein; 52 kDa phosphoprotein; F actin binding and cytoskeleton associated protein; Leufactin(leukocyte F-actin binding protein); Leufactin; Leukocyte F actin binding protein; Leukocyte specific protein 1; LSP 1; Lsp1; LSP1_HUMAN; Lymphocyte specific antigen WP34; Lymphocyte specific protein 1; Lymphocyte specific protein pp52; Lymphocyte-specific antigen WP34; Lymphocyte-specific protein 1; pp52; Protein pp52; S37 protein; WP 34; WP34. |
| 中文别名 | OTTHUMP00000014138; OTTHUMP00000014139; OTTHUMP00000014140; OTTHUMP00000069612; OTTHUMP00000069614; OTTHUMP00000069615; OTTHUMP00000069616; |
| 产品应用 | WB=1:500-2000, IHC-P=1:100-500, IHC-F=1:100-500, IF=1:100-500 Not yet tested in other applications. |
| 交叉反应 | Human, Mouse (Rat, Dog) |
| 抗体来源 | Rabbit |
| 免疫原 | KLH conjugated synthetic peptide derived from human LSP1 |
| 亚型 | IgG |
| 性状 | Liquid |
| 纯化方法 | affinity purified by Protein A |
| 克隆类型 | Polyclonal |
| 理论分子量 | 37 kDa |
| 浓度 | 1mg/ml |
| 储存液 | 0.01M TBS (pH7.4) with 1% BSA, 0.02% Proclin300 and 50% Glycerol. |
| 研究领域 | Immunology > Adaptive Immunity > T Cells > Non-CD Signal Transduction > Signaling Pathway > Calcium Signaling > Calcium Binding Proteins |
| 亚基 | Binds actin. |
| 亚细胞定位 | Cell membrane; Peripheral membrane protein; Cytoplasmic side. |
| 组织特异性 | Activated T-lymphocytes. |
| 翻译后修饰 | Phosphorylated by casein kinase II, protein kinase C and MAPKAPK2. Phosphorylation by PKC induces translocation from membrane to cytoplasm. Phosphorylation by MAPKAPK2 may regulate neutrophil chemotaxis (By similarity). |
| 功能 | May play a role in mediating neutrophil activation and chemotaxis (By similarity). |
| 保存条件 | Shipped at 4℃. Store at -20℃ for one year. Avoid repeated freeze/thaw cycles. |
| 注意事项 | This product as supplied is intended for research use only, not for use in human, therapeutic or diagnostic applications. |
| 背景资料 | May play a role in mediating neutrophil activation and chemotaxis. |
| 应用 | 推荐稀释比例 |
| {WB} | {1:500-2000} |
| {IHC-P} | {1:100-500} |
| {IHC-F} | {1:100-500} |
| {IF} | {1:100-500} |

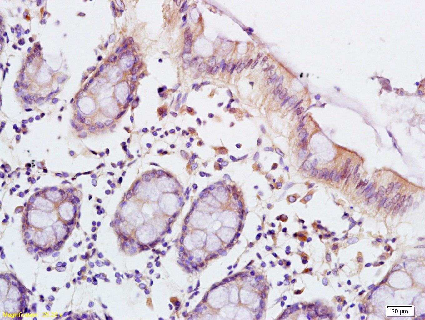
Antigen retrieval: citrate buffer ( 0.01M, pH 6.0 ), Boiling bathing for 15min; Block endogenous peroxidase by 3% Hydrogen peroxide for 30min; Blocking buffer (normal goat serum,C-0005) at 37℃ for 20 min;
Incubation: Anti-LSP1 Polyclonal Antibody, Unconjugated(bs-5154R) 1:200, overnight at 4°C, followed by conjugation to the secondary antibody(SP-0023) and DAB(C-0010) staining

Uterus (Mouse) Lysate at 40 ug
Primary: Anti- LSP1 (bs-5154R) at 1/1000 dilution
Secondary: IRDye800CW Goat Anti-Rabbit IgG at 1/20000 dilution
Predicted band size: 37 kD
Observed band size: 54 kD
风险提示:丁香通仅作为第三方平台,为商家信息发布提供平台空间。用户咨询产品时请注意保护个人信息及财产安全,合理判断,谨慎选购商品,商家和用户对交易行为负责。对于医疗器械类产品,请先查证核实企业经营资质和医疗器械产品注册证情况。
文献和实验= NAL), appears to form upon oxidative cyclization of the nonfluorescent 2:1 lysine-HNE Michael adduct-Schiff base cross-link (Scheme 1). Polyclonal antibody (PAb) to the NAL-HNE fluorophore was raised in rabbit and found to be highly specific
GE Healthcare Benzamidine Sepharose™ 6B is p-aminobenzamidine covalently attached to Sepharose 6B by the epoxy coupling method. p-Aminobenzamidine (PAB), is a synthetic inhibitor of trypsin-like serine protease. Trypsin and trypsin
Nucleic Acid Programmable Protein Arrays: Versatile Tools for Array‐Based Functional Protein Studies
.g., Sigma) 50 mg/ml bis‐sulfosuccinimdylsuberate (BS3 ;Pierce, cat. no. PI 21580) in dimethylsulfoxide (DMSO) 5 mg/ml
技术资料暂无技术资料 索取技术资料






