相关产品推荐更多 >

Sin3b Rabbit pAb(bs-4215R)-50ul/100ul/200ul
¥1180
IQGAP1 Rabbit pAb, BF350 conjugated(bs-1109R-BF350)-100ul
¥2980
Uteroglobin Rabbit pAb, PE conjugated(bs-1935R-PE)-100ul
¥2980
KAT3A / CBP Rabbit pAb, PE conjugated(bs-12395R-PE)-100ul
¥2980
Ferritin Heavy Chain/FTH1 Rabbit pAb, PE-Cy5.5 conjugated(bs-5907R-PE-Cy5.5)-100ul
¥2980
万千商家帮你免费找货
0 人在求购买到急需产品
- 详细信息
- 文献和实验
- 技术资料
- 应用范围:
产品信息以Bioss网站为准
- 规格:
50ul/100ul/200ul
| 规格: | 50ul | 产品价格: | ¥1180.0 |
|---|---|---|---|
| 规格: | 100ul | 产品价格: | ¥1980.0 |
| 规格: | 200ul | 产品价格: | ¥2800.0 |
| 产品编号 | bs-3590R |
| 英文名称 | TORC2 Rabbit pAb |
| 中文名称 | CREB转录共激活因子TORC2抗体 |
| 英文别名 | CREB regulated transcription coactivator 2; CRTC2; RP11-422P24.6; TORC-2; Transducer of CREB protein 2; Transducer of regulated cAMP response element-binding protein; Transducer of regulated cAMP response element-binding protein(CREB) 2; Transducer of regulated cAMP response element-binding protein 2; Transducer of regulated CREB protein 2; CRTC2_HUMAN. |
| 产品应用 | IHC-P=1:100-500, IHC-F=1:100-500, IF=1:100-500, Flow-Cyt=1ug/Test Not yet tested in other applications. |
| 交叉反应 | Human, Rat (Mouse, Dog, Pig, Cow) |
| 抗体来源 | Rabbit |
| 免疫原 | KLH conjugated synthetic peptide derived from human CREB regulated transcription coactivator 2 |
| 亚型 | IgG |
| 性状 | Liquid |
| 纯化方法 | affinity purified by Protein A |
| 克隆类型 | Polyclonal |
| 理论分子量 | 76 kDa |
| 浓度 | 1mg/ml |
| 储存液 | 0.01M TBS (pH7.4) with 1% BSA, 0.02% Proclin300 and 50% Glycerol. |
| 研究领域 | Epigenetics and Nuclear Signaling > Nuclear Signaling Pathways > Nuclear Receptors > Co-activators/co-repressors Metabolism > Pathways and Processes > Metabolic signaling pathways > Energy transfer pathways > Energy Metabolism Metabolism > Types of disease > Cancer Neuroscience > Neurology process > Metabolism Signal Transduction > Metabolism > Energy Metabolism Signal Transduction > Signaling Pathway > Nuclear Signaling > Nuclear Hormone Receptors > Co-activators/co-repressors |
| 亚基 | Binds, as a tetramer, through its N-terminal region, with the bZIP domain of CREB1. 'Arg-314' in the bZIP domain of CREB1 is essential for this interaction. Interaction, via its C-terminal, with TAF4, enhances recruitment of TAF4 to CREB1. Interacts with PPP3CA/calcineurin alpha, SIK2 and 14-3-3 proteins, YWHAB and YWHAG. Interaction with the human T-cell leukemia virus type 1 (HTLV-1) Tax protein is essential for optimal transcription activation by Tax. Interaction with RFWD2/COP1 mediates nuclear export and degradation of CRTC2. |
| 亚细胞定位 | Cytoplasm. Nucleus. Note=Translocated from the nucleus to the cytoplasm on interaction of the phosphorylated form with 14-3-3 protein. In response to cAMP levels and glucagon, relocated to the nucleus. |
| 组织特异性 | Most abundantly expressed in the thymus. Present in both B and T-lymphocytes. Highly expressed in HEK293T cells and in insulinomas. High levels also in spleen, ovary, muscle and lung, with highest levels in muscle. Lower levels found in brain, colon, heart, kidney, prostate, small intestine and stomach. Weak expression in liver and pancreas. |
| 翻译后修饰 | Phosphorylation/dephosphorylation states of Ser-171 are required for regulating transduction of CREB activity. TORCs are inactive when phosphorylated, and active when dephosphorylated at this site. This primary site of phosphorylation, is regulated by cAMP and calcium levels and is dependent on the phosphorylation of SIKs (SIK1 and SIK2) by LKB1. Both insulin and AMPK increase this phosphorylation of CRTC2 while glucagon suppresses it. Phosphorylation at Ser-274 by MARK2 is induced under low glucose conditions and dephosphorylated in response to glucose influx. Phosphorylation at Ser-274 promotes interaction with 14-3-3 proteins and translocation to the cytoplasm. |
| 相似性 | Belongs to the TORC family. |
| 功能 | Transcriptional coactivator for CREB1 which activates transcription through both consensus and variant cAMP response element (CRE) sites. Acts as a coactivator, in the SIK/TORC signaling pathway, being active when dephosphorylated and acts independently of CREB1 'Ser-133' phosphorylation. Enhances the interaction of CREB1 with TAF4. Regulates gluconeogenesis as a component of the LKB1/AMPK/TORC2 signaling pathway. Regulates the expression of specific genes such as the steroidogenic gene, StAR. Potent coactivator of PPARGC1A and inducer of mitochondrial biogenesis in muscle cells. Also coactivator for TAX activation of the human T-cell leukemia virus type 1 (HTLV-1) long terminal repeats (LTR). |
| 保存条件 | Shipped at 4℃. Store at -20℃ for one year. Avoid repeated freeze/thaw cycles. |
| 注意事项 | This product as supplied is intended for research use only, not for use in human, therapeutic or diagnostic applications. |
| 背景资料 | This gene encodes a member of the transducers of regulated cAMP response element-binding protein activity family of transcription coactivators. These proteins promote the transcription of genes targeted by the cAMP response element-binding protein, and therefore play an important role in many cellular processes. Under basal conditions the encoded protein is phosphorylated by AMP-activated protein kinase or the salt-inducible kinases and is sequestered in the cytoplasm. Upon activation by elevated cAMP or calcium, the encoded protein translocates to the nucleus and increases target gene expression. Single nucleotide polymorphisms in this gene may increase the risk of type 2 diabetes. A pseudogene of this gene is located on the long arm of chromosome 5. [provided by RefSeq, Dec 2010]. |
| 应用 | 推荐稀释比例 |
| {IHC-P} | {1:100-500} |
| {IHC-F} | {1:100-500} |
| {IF} | {1:100-500} |
| {Flow-Cyt} | {1ug/Test} |

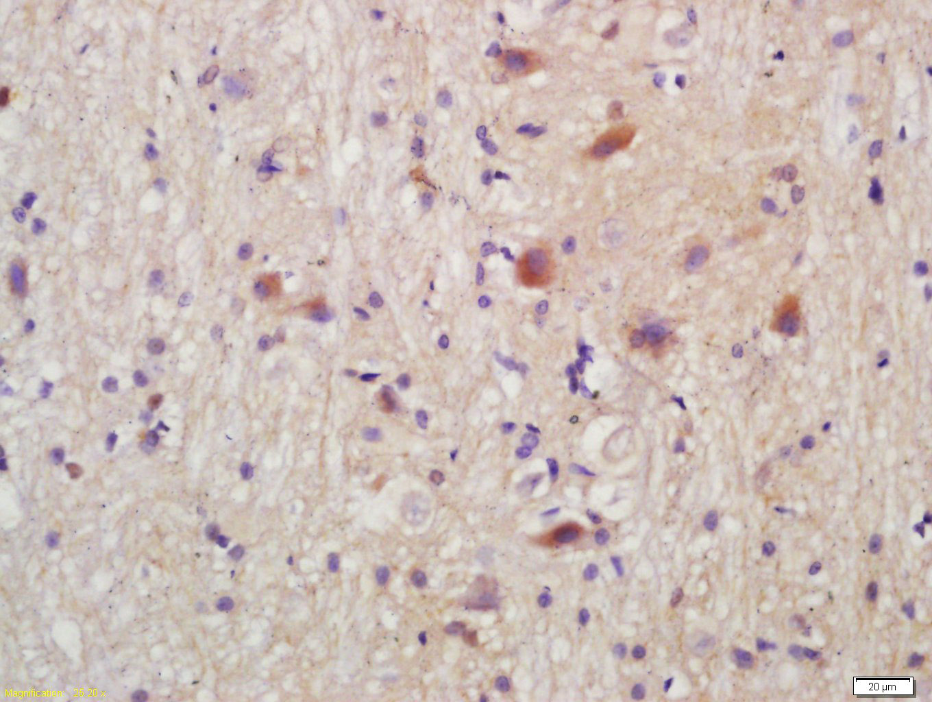
Antigen retrieval: citrate buffer ( 0.01M, pH 6.0 ), Boiling bathing for 15min; Block endogenous peroxidase by 3% Hydrogen peroxide for 30min; Blocking buffer (normal goat serum,C-0005) at 37℃ for 20 min;
Incubation: Anti-TORC2Polyclonal Antibody, Unconjugated(bs-3590R) 1:200, overnight at 4°C, followed by conjugation to the secondary antibody(SP-0023) and DAB(C-0010) staining

Primary Antibody (green line): Rabbit Anti-TORC2 antibody (bs-3590R)
Dilution: 1μg /10^6 cells;
Isotype Control Antibody (orange line): Rabbit IgG .
Secondary Antibody : Goat anti-rabbit IgG-FITC
Dilution: 1μg /test.
Protocol
The cells were fixed with 4% PFA (10min at room temperature)and then permeabilized with 90% ice-cold methanol for 20 min at-20℃. The cells were then incubated in 5%BSA to block non-specific protein-protein interactions for 30 min at room temperature .Cells stained with Primary Antibody for 30 min at room temperature. The secondary antibody used for 40 min at room temperature. Acquisition of 20,000 events was performed.


风险提示:丁香通仅作为第三方平台,为商家信息发布提供平台空间。用户咨询产品时请注意保护个人信息及财产安全,合理判断,谨慎选购商品,商家和用户对交易行为负责。对于医疗器械类产品,请先查证核实企业经营资质和医疗器械产品注册证情况。
文献和实验= NAL), appears to form upon oxidative cyclization of the nonfluorescent 2:1 lysine-HNE Michael adduct-Schiff base cross-link (Scheme 1). Polyclonal antibody (PAb) to the NAL-HNE fluorophore was raised in rabbit and found to be highly specific
GE Healthcare Benzamidine Sepharose™ 6B is p-aminobenzamidine covalently attached to Sepharose 6B by the epoxy coupling method. p-Aminobenzamidine (PAB), is a synthetic inhibitor of trypsin-like serine protease. Trypsin and trypsin
Nucleic Acid Programmable Protein Arrays: Versatile Tools for Array‐Based Functional Protein Studies
.g., Sigma) 50 mg/ml bis‐sulfosuccinimdylsuberate (BS3 ;Pierce, cat. no. PI 21580) in dimethylsulfoxide (DMSO) 5 mg/ml
技术资料暂无技术资料 索取技术资料






