相关产品推荐更多 >

Butyryl-Histone H3 (Lys9) Mouse mAb(bsm-60175M)-50ul/100ul
¥1580
Hepatitis B virus pre-X protein Rabbit pAb, HRP conjugated(bs-2147R-HRP)-100ul
¥2980
C12ORF54 Rabbit pAb(bs-9952R)-50ul/100ul/200ul
¥1180
CD62L Rabbit pAb, PerCP-Cy5.5 conjugated(bs-1036R-PerCP-Cy5.5)-100ul
¥2980
NR2F6 Rabbit pAb, FITC conjugated(bs-19340R-FITC)-100ul
¥2980
万千商家帮你免费找货
0 人在求购买到急需产品
- 详细信息
- 文献和实验
- 技术资料
- 应用范围:
产品信息以Bioss网站为准
- 规格:
50ul/100ul/200ul
| 规格: | 50ul | 产品价格: | ¥1180.0 |
|---|---|---|---|
| 规格: | 100ul | 产品价格: | ¥1980.0 |
| 规格: | 200ul | 产品价格: | ¥2800.0 |
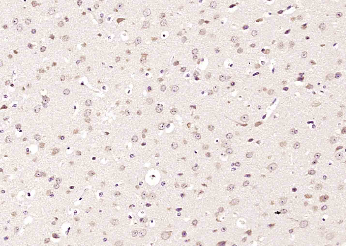
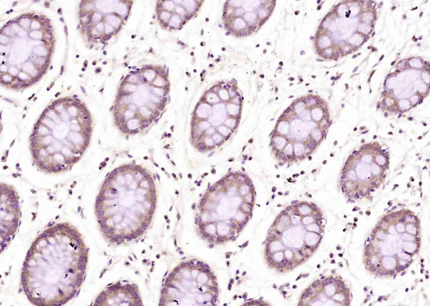
| 产品编号 | bs-3580R |
| 英文名称 | TRIM24 Rabbit pAb |
| 中文名称 | 转录中介因子Tif1α抗体 |
| 英文别名 | TIF1A_HUMAN; Transcription intermediary factor 1-alpha; RNF82; TIF1; TIF1A; EC:2.3.2.27; TIF1-alpha; E3 ubiquitin-protein ligase TRIM24; RING finger protein 82; RING-type E3 ubiquitin transferase TIF1-alpha; Tripartite motif-containing protein 24; tripartite motif containing 24; PTC6; TF1A; hTIF1; TIF1ALPHA; TIF1α; |
| 产品应用 | IHC-P=1:100-500, IHC-F=1:100-500, IF=1:100-500 Not yet tested in other applications. |
| 交叉反应 | Human, Mouse (Rat, Dog, Pig, Horse, Rabbit) |
| 抗体来源 | Rabbit |
| 免疫原 | KLH conjugated synthetic peptide derived from human TRIM24 |
| 亚型 | IgG |
| 性状 | Liquid |
| 纯化方法 | affinity purified by Protein A |
| 克隆类型 | Polyclonal |
| 理论分子量 | 117 kDa |
| 浓度 | 1mg/ml |
| 储存液 | 0.01M TBS (pH7.4) with 1% BSA, 0.02% Proclin300 and 50% Glycerol. |
| 研究领域 | Epigenetics and Nuclear Signaling > Bromodomains Epigenetics and Nuclear Signaling > Nuclear Signaling Pathways > Nuclear Receptors > Co-activators/co-repressors Epigenetics and Nuclear Signaling > Transcription > Other factors Signal Transduction > Signaling Pathway > Nuclear Signaling > Nuclear Hormone Receptors > Co-activators/co-repressors |
| 亚基 | Interacts with CARM1, NCOA2/GRIP1, PML, KAT5/TIP60, BRD7, CBX1, CBX3 and CBX5. Part of a coactivator complex containing TRIM24, NCOA2 and CARM1 (By similarity). Interacts with NR3C2/MCR. Interacts with the ligand-binding domain of estrogen receptors (in vitro). Interaction with DNA-bound estrogen receptors requires the presence of estradiol. Interacts with AR and p53/TP53. Interacts (via bromo domain) with histone H3 (via N-terminus), provided that it is not methylated at 'Lys-4' (H3K4me0). Does not interact with histone H3 that is methylated at 'Lys-4' (H3K4me1, H3K4me2 or H3K4me3). Interacts (via bromo domain) with histone H3 (via N-terminus) that is acetylated at 'Lys-23' (H3K23ac). Has the highest affinity for histone H3 that is both unmodified at 'Lys-4' (H3K4me0) and acetylated at 'Lys-23' (H3K23ac). Has very low affinity for histone H3 that is methylated at 'Lys-9' (H3K9me), or acetylated at both 'Lys-9' (H3K9ac) and 'Lys-14' (H3K14ac), or acetylated at 'Lys-27' (H3K27ac) (in vitro). |
| 亚细胞定位 | Nucleus. Cytoplasm. Note=Colocalizes with sites of active transcription. Detected both in nucleus and cytoplasm in some breast cancer samples. Predominantly nuclear. |
| 翻译后修饰 | Phosphorylated upon DNA damage, probably by ATM or ATR. Sumoylated (By similarity). |
| 相似性 | Contains 2 B box-type zinc fingers. Contains 1 bromo domain. Contains 1 PHD-type zinc finger. Contains 1 RING-type zinc finger. |
| 功能 | Transcriptional coactivator that interacts with numerous nuclear receptors and coactivators and modulates the transcription of target genes. Interacts with chromatin depending on histone H3 modifications, having the highest affinity for histone H3 that is both unmodified at 'Lys-4' (H3K4me0) and acetylated at 'Lys-23' (H3K23ac). Has E3 protein-ubiquitin ligase activity. Promotes ubiquitination and proteasomal degradation of p53/TP53. Plays a role in the regulation of cell proliferation and apoptosis, at least in part via its effects on p53/TP53 levels. Up-regulates ligand-dependent transcription activation by AR, GCR/NR3C1, thyroid hormone receptor (TR) and ESR1. Modulates transcription activation by retinoic acid (RA) receptors, including RARA. Plays a role in regulating retinoic acid-dependent proliferation of hepatocytes (By similarity). |
| 保存条件 | Shipped at 4℃. Store at -20℃ for one year. Avoid repeated freeze/thaw cycles. |
| 注意事项 | This product as supplied is intended for research use only, not for use in human, therapeutic or diagnostic applications. |
| 背景资料 | The protein encoded by this gene mediates transcriptional control by interaction with the activation function 2 (AF2) region of several nuclear receptors, including the estrogen, retinoic acid, and vitamin D3 receptors. The protein localizes to nuclear bodies and is thought to associate with chromatin and heterochromatin-associated factors. The protein is a member of the tripartite motif (TRIM) family. The TRIM motif includes three zinc-binding domains - a RING, a B-box type 1 and a B-box type 2 - and a coiled-coil region. Two alternatively spliced transcript variants encoding different isoforms have been described for this gene. [provided by RefSeq, Jul 2008] |
| 应用 | 推荐稀释比例 |
| {IHC-P} | {1:100-500} |
| {IHC-F} | {1:100-500} |
| {IF} | {1:100-500} |


风险提示:丁香通仅作为第三方平台,为商家信息发布提供平台空间。用户咨询产品时请注意保护个人信息及财产安全,合理判断,谨慎选购商品,商家和用户对交易行为负责。对于医疗器械类产品,请先查证核实企业经营资质和医疗器械产品注册证情况。
文献和实验= NAL), appears to form upon oxidative cyclization of the nonfluorescent 2:1 lysine-HNE Michael adduct-Schiff base cross-link (Scheme 1). Polyclonal antibody (PAb) to the NAL-HNE fluorophore was raised in rabbit and found to be highly specific
High‐Throughput, Multiplexed Analysis of 3‐Nitrotyrosine in Individual Proteins
.1 ) Phosphate‐buffered saline (PBS; Fisher Scientific) Alexa Fluor 546–conjugated goat anti—rabbit IgG (Invitrogen, cat. no. A‐11035
GE Healthcare Benzamidine Sepharose™ 6B is p-aminobenzamidine covalently attached to Sepharose 6B by the epoxy coupling method. p-Aminobenzamidine (PAB), is a synthetic inhibitor of trypsin-like serine protease. Trypsin and trypsin
技术资料暂无技术资料 索取技术资料






