相关产品推荐更多 >

HEV Capsid protein Rabbit pAb, Biotin conjugated(bs-15457R-Bio)-100ul
¥2980
phospho-Smad2 (Ser250) Rabbit pAb, Cy7 conjugated(bs-7464R-Cy7)-100ul
¥2980
DYX1C1 Rabbit pAb(bs-13043R)-50ul/100ul/200ul
¥1180
CYTL1 Rabbit pAb(bs-14172R)-50ul/100ul/200ul
¥1180
LECT1 Rabbit pAb, Biotin conjugated(bs-7516R-Bio)-100ul
¥2980
万千商家帮你免费找货
0 人在求购买到急需产品
- 详细信息
- 文献和实验
- 技术资料
- 应用范围:
产品信息以Bioss网站为准
- 规格:
50ul/100ul/200ul
| 规格: | 50ul | 产品价格: | ¥1180.0 |
|---|---|---|---|
| 规格: | 100ul | 产品价格: | ¥1980.0 |
| 规格: | 200ul | 产品价格: | ¥2800.0 |
| 产品编号 | bs-1886R |
| 英文名称 | RPLP0 Rabbit pAb |
| 中文名称 | 酸性核糖体磷蛋白大亚基P0抗体 |
| 英文别名 | 36B4; 60S acidic ribosomal protein P0; 60S ribosomal protein L10E; Acidic ribosomal phosphoprotein P0; Arbp; L10E; LP0; MGC107165; MGC107166; MGC111226; MGC88175; OTTMUSP00000015585; P0; PRLP0; Ribosomal protein P0; Ribosomal protein, large, P0; RLA0_HUMAN; rplP0; RPP0. |
| 产品应用 | WB=1:500-2000, IHC-P=1:100-500, IHC-F=1:100-500, IF=1:100-500 Not yet tested in other applications. |
| 交叉反应 | Human, Mouse (Rat, Chicken, Dog, Pig, Cow, Horse, Rabbit) |
| 抗体来源 | Rabbit |
| 免疫原 | KLH conjugated synthetic peptide derived from human RPLP0 |
| 亚型 | IgG |
| 性状 | Liquid |
| 纯化方法 | affinity purified by Protein A |
| 克隆类型 | Polyclonal |
| 理论分子量 | 34 kDa |
| 浓度 | 1mg/ml |
| 储存液 | 0.01M TBS (pH7.4) with 1% BSA, 0.02% Proclin300 and 50% Glycerol. |
| 研究领域 | Epigenetics and Nuclear Signaling > DNA / RNA > Translation > Ribosome |
| 亚基 | P0 forms a pentameric complex by interaction with dimers of P1 and P2. Identified in a mRNP granule complex, at least composed of ACTB, ACTN4, DHX9, ERG, HNRNPA1, HNRNPA2B1, HNRNPAB, HNRNPD, HNRNPL, HNRNPR, HNRNPU, HSPA1, HSPA8, IGF2BP1, ILF2, ILF3, NCBP1, NCL, PABPC1, PABPC4, PABPN1, RPLP0, RPS3, RPS3A, RPS4X, RPS8, RPS9, SYNCRIP, TROVE2, YBX1 and untranslated mRNAs. Interacts with Lassa virus Z protein. Interacts with APEX1. |
| 亚细胞定位 | Nucleus. Cytoplasm. Note=Localized in cytoplasmic mRNP granules containing untranslated mRNAs. |
| 相似性 | Belongs to the ribosomal protein L10P family. |
| 功能 | Ribosomal protein P0 is the functional equivalent of E.coli protein L10. |
| 保存条件 | Shipped at 4℃. Store at -20℃ for one year. Avoid repeated freeze/thaw cycles. |
| 注意事项 | This product as supplied is intended for research use only, not for use in human, therapeutic or diagnostic applications. |
| 背景资料 | Ribosomes, the organelles that catalyze protein synthesis, consist of a small 40S subunit and a large 60S subunit. Together these subunits are composed of 4 RNA species and approximately 80 structurally distinct proteins. This gene encodes a ribosomal protein that is a component of the 60S subunit. The protein, which is the functional equivalent of the E. coli L10 ribosomal protein, belongs to the L10P family of ribosomal proteins. It is a neutral phosphoprotein with a C-terminal end that is nearly identical to the C-terminal ends of the acidic ribosomal phosphoproteins P1 and P2. The P0 protein can interact with P1 and P2 to form a pentameric complex consisting of P1 and P2 dimers, and a P0 monomer. The protein is located in the cytoplasm. Transcript variants derived from alternative splicing exist; they encode the same protein. As is typical for genes encoding ribosomal proteins, there are multiple processed pseudogenes of this gene dispersed through the genome. [provided by RefSeq, Jul 2008]. |
| 应用 | 推荐稀释比例 |
| {WB} | {1:500-2000} |
| {IHC-P} | {1:100-500} |
| {IHC-F} | {1:100-500} |
| {IF} | {1:100-500} |

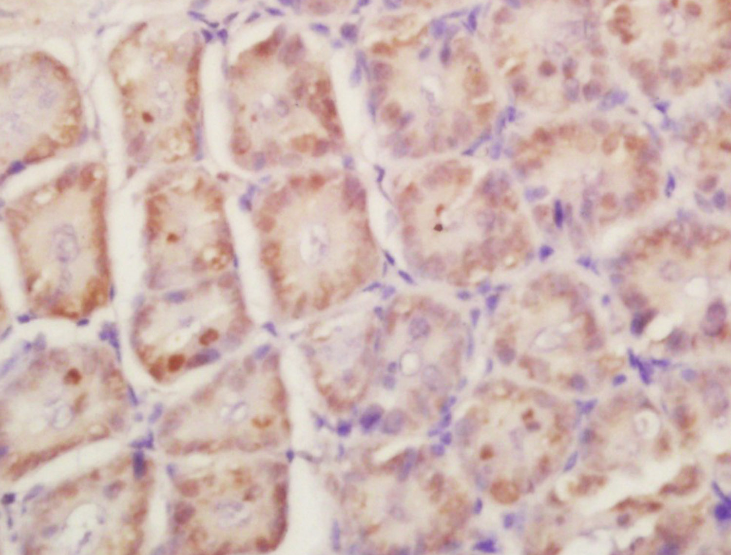
Antigen retrieval: citrate buffer ( 0.01M, pH 6.0 ), Boiling bathing for 15min; Block endogenous peroxidase by 3% Hydrogen peroxide for 30min; Blocking buffer (normal goat serum,C-0005) at 37℃ for 20 min;
Incubation: Anti-RPLP0 Polyclonal Antibody, Unconjugated(bs-1886R) 1:200, overnight at 4°C, followed by conjugation to the secondary antibody(SP-0023) and DAB(C-0010) staining

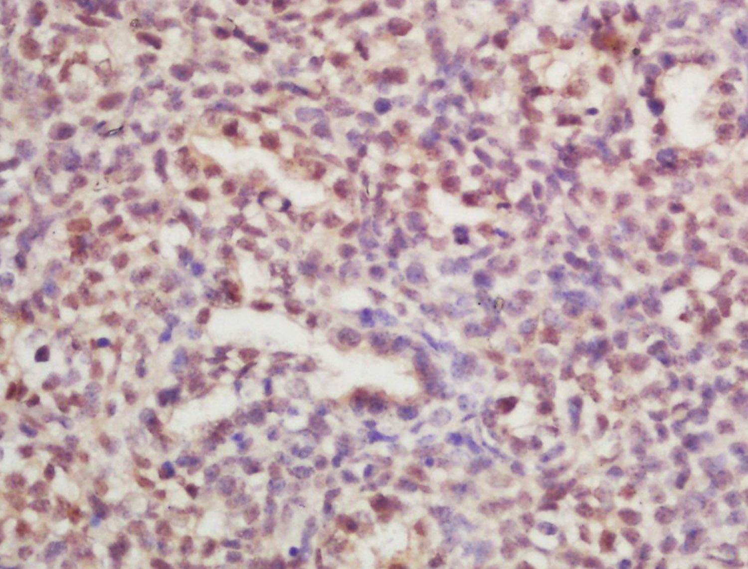
Antigen retrieval: citrate buffer ( 0.01M, pH 6.0 ), Boiling bathing for 15min; Block endogenous peroxidase by 3% Hydrogen peroxide for 30min; Blocking buffer (normal goat serum,C-0005) at 37℃ for 20 min;
Incubation: Anti-RPLP0 Polyclonal Antibody, Unconjugated(bs-1886R) 1:200, overnight at 4°C, followed by conjugation to the secondary antibody(SP-0023) and DAB(C-0010) staining

K562(Human) Cell Lysate at 30 ug
Molt-4(Human) Cell Lysate at 30 ug
U87mg(Human) Cell Lysate at 30 ug
Primary: Anti- RPLP0 (bs-1886R) at 1/1000 dilution
Secondary: IRDye800CW Goat Anti-Rabbit IgG at 1/20000 dilution
Predicted band size: 34 kD
Observed band size: 34 kD
风险提示:丁香通仅作为第三方平台,为商家信息发布提供平台空间。用户咨询产品时请注意保护个人信息及财产安全,合理判断,谨慎选购商品,商家和用户对交易行为负责。对于医疗器械类产品,请先查证核实企业经营资质和医疗器械产品注册证情况。
文献和实验常用的β-actin 引物序列 human actin f ctc cat cct ggc ctc gct gt human actin r gct gtc acc ttc acc gtt cc product size:268 rabbit actin r agt gcg acg tgg aca tcc g rabbit actin f tgg ctc taa cag tcc gcc tag product size:295 mouse actin r cgt
human actin f ctc cat cct ggc ctc gct gt human actin r gct gtc acc ttc acc gtt cc product size:268 rabbit actin r agt gcg acg tgg aca tcc g rabbit actin f tgg ctc taa cag tcc gcc ta product size:295 mouse actin r cgt tga cat ccg taa aga
相关专题 human actin f ctc cat cct ggc ctc gct gt human actin r gct gtc acc ttc acc gtt cc product size:268 rabbit actin r agt gcg acg tgg aca tcc g rabbit actin f tgg ctc taa cag tcc gcc tag product size
技术资料暂无技术资料 索取技术资料






