Sample:
Spleen (Mouse) Lysate at 40 ug
Primary: Anti- CA I (bs-1592R) at 1/300 dilution
Secondary: IRDye800CW Goat Anti-Rabbit IgG at 1/20000 dilution
Predicted band size: 29 kD
Observed band size: 29 kD
相关产品推荐更多 >

ENPP3 Rabbit pAb, PerCP conjugated(bs-1568R-PerCP)-100ul
¥2980
Axin1 Rabbit pAb, PerCP-Cy5.5 conjugated(bs-2439R-PerCP-Cy5.5)-100ul
¥2980
phospho-Smad3 (Ser208) Rabbit pAb(bs-5617R)-50ul/100ul/200ul
¥1180
BNIP3 Rabbit pAb, BF555 conjugated(bs-4239R-BF555)-100ul
¥2980
HP1 alpha Mouse mAb(bsm-33377M)-50ul/100ul/200ul/200ug
¥1180
万千商家帮你免费找货
0 人在求购买到急需产品
- 详细信息
- 文献和实验
- 技术资料
- 应用范围:
产品信息以Bioss网站为准
- 规格:
50ul/100ul/200ul
| 规格: | 50ul | 产品价格: | ¥1180.0 |
|---|---|---|---|
| 规格: | 100ul | 产品价格: | ¥1980.0 |
| 规格: | 200ul | 产品价格: | ¥2800.0 |
| 产品编号 | bs-1592R |
| 英文名称 | CA I Rabbit pAb |
| 中文名称 | 碳酸酐酶1抗体 |
| 英文别名 | Carbonic anhydrase I; Carbonic Anhydrase-I; Carbonic Anhydrase 1; Carbonic anhydrase1; Carbonic anhydrase-1; JW0122; CA 1; CA1; CA I; CA-1; CAI; CAN; Car 1; Car1; Carbonate dehydratase I; Carbonic anhydrase 1; Carbonic anhydrase B; Carbonic dehydratase; ECK0125; yadF; CAH1_MOUSE. |
| 产品应用 | WB=1:500-2000, IHC-P=1:100-500, IHC-F=1:100-500, IF=1:100-500 Not yet tested in other applications. |
| 交叉反应 | Mouse (Human, Rat, Cow, Rabbit, Sheep) |
| 抗体来源 | Rabbit |
| 免疫原 | KLH conjugated synthetic peptide derived from human CA I |
| 亚型 | IgG |
| 性状 | Liquid |
| 纯化方法 | affinity purified by Protein A |
| 克隆类型 | Polyclonal |
| 理论分子量 | 29 kDa |
| 浓度 | 1mg/ml |
| 储存液 | 0.01M TBS (pH7.4) with 1% BSA, 0.02% Proclin300 and 50% Glycerol. |
| 研究领域 | Cardiovascular > Blood Cell Biology > Other Antibodies > Other Antibodies |
| 亚细胞定位 | Cytoplasm. |
| 相似性 | Belongs to the alpha-carbonic anhydrase family. |
| 功能 | Reversible hydration of carbon dioxide. |
| 保存条件 | Shipped at 4℃. Store at -20℃ for one year. Avoid repeated freeze/thaw cycles. |
| 注意事项 | This product as supplied is intended for research use only, not for use in human, therapeutic or diagnostic applications. |
| 背景资料 | Carbonic anhydrases (CAs) are a large family of zinc metalloenzymes that catalyze the reversible hydration of carbon dioxide. They participate in a variety of biological processes, including respiration, calcification, acid-base balance, bone resorption, and the formation of aqueous humor, cerebrospinal fluid, saliva, and gastric acid. They show extensive diversity in tissue distribution and in their subcellular localization. CA1 is closely linked to CA2 and CA3 genes on chromosome 8, and it encodes a cytosolic protein which is found at the highest level in erythrocytes. Variants of this gene have been described in some populations. Multiple alternatively spliced variants, encoding the same protein, have been identified. Transcript variants of CA1 utilizing alternative polyA_sites have been described in literature. [provided by RefSeq, Sep 2009] |
| 应用 | 推荐稀释比例 |
| {WB} | {1:500-2000} |
| {IHC-P} | {1:100-500} |
| {IHC-F} | {1:100-500} |
| {IF} | {1:100-500} |


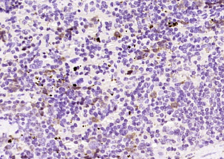
Paraformaldehyde-fixed, paraffin embedded (mouse spleen); Antigen retrieval by boiling in sodium citrate buffer (pH6.0) for 15min; Block endogenous peroxidase by 3% hydrogen peroxide for 20 minutes; Blocking buffer (normal goat serum) at 37°C for 30min; Antibody incubation with (CA I) Polyclonal Antibody, Unconjugated (bs-1592R) at 1:200 overnight at 4°C, followed by operating according to SP Kit(Rabbit) (sp-0023) instructionsand DAB staining.
风险提示:丁香通仅作为第三方平台,为商家信息发布提供平台空间。用户咨询产品时请注意保护个人信息及财产安全,合理判断,谨慎选购商品,商家和用户对交易行为负责。对于医疗器械类产品,请先查证核实企业经营资质和医疗器械产品注册证情况。
文献和实验该产品被引用文献
[IF={{ 5 }}] {Li Na. et al. 4D-DIA quantitative proteomics revealed the core mechanism of diabetic retinopathy after berberine treatment. EUR J PHARMACOL. 2023 Sep;:175947} {WB} {Rat}
技术资料暂无技术资料 索取技术资料
文献支持
CA I Rabbit pAb(bs-1592R)-50ul/100ul/200ul
¥1180 - 2800






