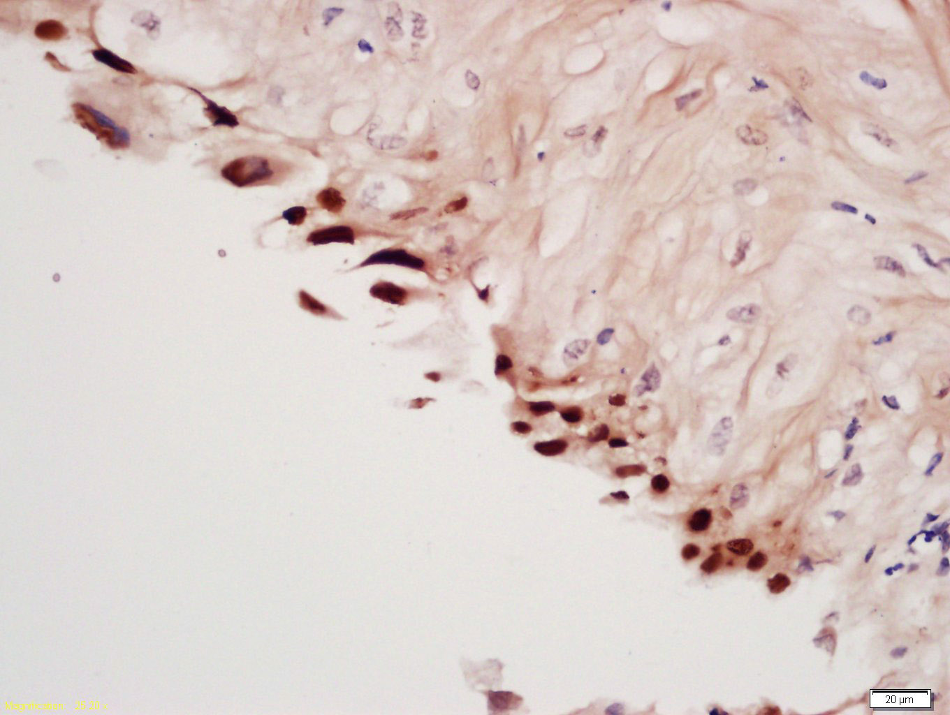
Tissue/cell: Human Cervical Cancer tissue; 4% Paraformaldehyde-fixed and paraffin-embedded;
Antigen retrieval: citrate buffer ( 0.01M, pH 6.0 ), Boiling bathing for 15min; Block endogenous peroxidase by 3% Hydrogen peroxide for 30min; Blocking buffer (normal goat serum,C-0005) at 37℃ for 20 min;
Incubation: Anti-Spindlin 1 Polyclonal Antibody, Unconjugated(bs-0724R) 1:200, overnight at 4°C, followed by conjugation to the secondary antibody(SP-0023) and DAB(C-0010) staining
相关产品推荐更多 >

Histone H3 (acetyl K4) Rabbit pAb, HRP conjugated(bs-24644R-HRP)-100ul
¥2980
NBPF8 Rabbit pAb, HRP conjugated(bs-19039R-HRP)-100ul
¥2980
IRF1 Rabbit pAb, PerCP-Cy7 conjugated(bs-1404R-PerCP-Cy7)-100ul
¥2980
Claudin 23 Rabbit pAb, FITC conjugated(bs-13746R-FITC)-100ul
¥2980
RPS4Y1 Rabbit pAb(bs-18825R)-50ul/100ul/200ul
¥1180
万千商家帮你免费找货
0 人在求购买到急需产品
- 详细信息
- 技术资料
- 应用范围:
产品信息以Bioss网站为准
- 规格:
50ul/100ul/200ul
| 规格: | 50ul | 产品价格: | ¥1180.0 |
|---|---|---|---|
| 规格: | 100ul | 产品价格: | ¥1980.0 |
| 规格: | 200ul | 产品价格: | ¥2800.0 |
| 产品编号 | bs-0724R |
| 英文名称 | Spindlin 1 Rabbit pAb |
| 中文名称 | 卵巢癌相关蛋白抗体 |
| 英文别名 | Spindlin-like protein 2; SPIN-2; DXF34; OCR; Ovarian cancer-related protein; SPIN; Spin1; SPIN1_HUMAN; Spindlin-1. |
| 产品应用 | IHC-P=1:100-500, IHC-F=1:100-500, IF=1:100-500 Not yet tested in other applications. |
| 交叉反应 | Human (Mouse, Rat) |
| 抗体来源 | Rabbit |
| 免疫原 | KLH conjugated synthetic peptide derived from human Spindin 1 |
| 亚型 | IgG |
| 性状 | Liquid |
| 纯化方法 | affinity purified by Protein A |
| 克隆类型 | Polyclonal |
| 理论分子量 | 29 kDa |
| 浓度 | 1mg/ml |
| 储存液 | 0.01M TBS (pH7.4) with 1% BSA, 0.02% Proclin300 and 50% Glycerol. |
| 研究领域 | Cancer > Cell cycle > Cell division Cancer > Cell Death > Apoptosis > Nucleus Cell Biology > Apoptosis > Nucleus Cell Biology > Cell Cycle > Cell Division > Spindle Developmental Biology > Reproduction > Germ cell markers Epigenetics and Nuclear Signaling > Chromatin Binding Proteins > DNA / RNA binding |
| 亚基 | Homodimer; may form higher-order oligomers. |
| 亚细胞定位 | Nucleus. |
| 翻译后修饰 | Phosphorylated during oocyte meiotic maturation. |
| 相似性 | Belongs to the SPIN/STSY family. |
| 功能 | May play a role in cell-cycle regulation during the transition from gamete to embryo (By similarity). |
| 保存条件 | Shipped at 4℃. Store at -20℃ for one year. Avoid repeated freeze/thaw cycles. |
| 注意事项 | This product as supplied is intended for research use only, not for use in human, therapeutic or diagnostic applications. |
| 背景资料 | Spindlin 1 (Spindlin-like protein 2; SPIN-2 ) protein May play a role in cell-cycle regulation during the transition from gamete to embryo. Subcellular location in the Nucleus. Belongs to the SPIN/STSY family. |
| 应用 | 推荐稀释比例 |
| {IHC-P} | {1:100-500} |
| {IHC-F} | {1:100-500} |
| {IF} | {1:100-500} |

风险提示:丁香通仅作为第三方平台,为商家信息发布提供平台空间。用户咨询产品时请注意保护个人信息及财产安全,合理判断,谨慎选购商品,商家和用户对交易行为负责。对于医疗器械类产品,请先查证核实企业经营资质和医疗器械产品注册证情况。
技术资料暂无技术资料 索取技术资料
Spindlin 1 Rabbit pAb(bs-0724R)-50ul/100ul/200ul
¥1180 - 2800





