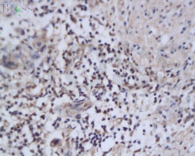
Tissue/cell: human colon tissue; 4% Paraformaldehyde-fixed and paraffin-embedded;
Antigen retrieval: citrate buffer ( 0.01M, pH 6.0 ), Boiling bathing for 15min; Block endogenous peroxidase by 3% Hydrogen peroxide for 30min; Blocking buffer (normal goat serum,C-0005) at 37℃ for 20 min;
Incubation: Anti-NAIF1 Polyclonal Antibody, Unconjugated(bs-0452R) 1:200, overnight at 4°C, followed by conjugation to the secondary antibody(SP-0023) and DAB(C-0010) staining
相关产品推荐更多 >
万千商家帮你免费找货
0 人在求购买到急需产品
- 详细信息
- 技术资料
- 应用范围:
产品信息以Bioss网站为准
- 规格:
50ul/100ul/200ul
| 规格: | 50ul | 产品价格: | ¥1180.0 |
|---|---|---|---|
| 规格: | 100ul | 产品价格: | ¥1980.0 |
| 规格: | 200ul | 产品价格: | ¥2800.0 |
| 产品编号 | bs-0452R |
| 英文名称 | NAIF1 Rabbit pAb |
| 中文名称 | 核凋亡诱导因子蛋白1 |
| 英文别名 | NAIF1 protein; nuclear apoptosis inducing factor 1; CB12-327; 2310007O20Rik; 4933440H19Rik; bA379C10.2; C9orf90; DKFZP762G199; NAIF1; RP11-379C10.2; NAIF1_HUMAN. |
| 产品应用 | IHC-P=1:100-500, IHC-F=1:100-500, IF=1:100-500 Not yet tested in other applications. |
| 交叉反应 | Human (Mouse, Rat, Chicken, Dog, Cow, Horse) |
| 抗体来源 | Rabbit |
| 免疫原 | KLH conjugated synthetic peptide derived from human NAIF1 |
| 亚型 | IgG |
| 性状 | Liquid |
| 纯化方法 | affinity purified by Protein A |
| 克隆类型 | Polyclonal |
| 理论分子量 | 35 kDa |
| 浓度 | 1mg/ml |
| 储存液 | 0.01M TBS (pH7.4) with 1% BSA, 0.02% Proclin300 and 50% Glycerol. |
| 亚基 | Interacts with HARBI1. |
| 亚细胞定位 | Nucleus. |
| 组织特异性 | Widely expressed. |
| 相似性 | Belongs to the NAIF1 family. |
| 功能 | Induces apoptosis. |
| 保存条件 | Shipped at 4℃. Store at -20℃ for one year. Avoid repeated freeze/thaw cycles. |
| 注意事项 | This product as supplied is intended for research use only, not for use in human, therapeutic or diagnostic applications. |
| 背景资料 | NAIF protein 1 (nuclear apoptosis inducing factor 1; CB12-327; RP-379C10.2) belongs to the NAIF1 family. Apoptosis is a genetically determined cell suicidal pro gram that plays critical roles in many physiological and pathological processes. nuclear apoptosis-inducing factor 1 (NAIF1), overexpression of which induces apoptosis in cells. Human NAIF1 is located on chromosome 9q34.11 and encodes 327 amino acids with a homeodomain-like region and two nuclear localization signals at its N-terminal region. NAIF1 is conserved across diverse species, including human, mouse, crab-eating macaque, dog, chicken and frog, and shares no obvious homology to any known genes or proteins. Northern blot analysis revealed wide expression of NAIF1 mRNA throughout human tissues. NAIF1 was predominantly localized in the nucleus. Overexpression of NAIF1 inhibited cell growth and induced apoptosis. Furthermore, NAIF1 transfection caused both decreases in mitochondrial membrane potential and caspase-3 activation. In summary, NAIF1 is a nuclear protein that induces apoptosis when overexpressed. |
| 应用 | 推荐稀释比例 |
| {IHC-P} | {1:100-500} |
| {IHC-F} | {1:100-500} |
| {IF} | {1:100-500} |

风险提示:丁香通仅作为第三方平台,为商家信息发布提供平台空间。用户咨询产品时请注意保护个人信息及财产安全,合理判断,谨慎选购商品,商家和用户对交易行为负责。对于医疗器械类产品,请先查证核实企业经营资质和医疗器械产品注册证情况。
技术资料暂无技术资料 索取技术资料
NAIF1 Rabbit pAb(bs-0452R)-50ul/100ul/200ul
¥1180 - 2800








