相关产品推荐更多 >
万千商家帮你免费找货
0 人在求购买到急需产品
- 详细信息
- 文献和实验
- 技术资料
- 应用范围:
产品信息以Bioss网站为准
- 规格:
50ul/100ul/200ul
| 规格: | 50ul | 产品价格: | ¥1180.0 |
|---|---|---|---|
| 规格: | 100ul | 产品价格: | ¥1980.0 |
| 规格: | 200ul | 产品价格: | ¥2800.0 |
| 产品编号 | bs-8676R |
| 英文名称 | IFI202 Rabbit pAb |
| 中文名称 | γ干扰素诱导蛋白202抗体 |
| 英文别名 | IFI-202; IFI 202; fi202a; Ifi202b; Interferon-activable protein 202; Interferon-inducible protein p202; Lupus susceptibility protein p202; IFI2_MOUSE. |
| 产品应用 | WB=1:500-2000, IHC-P=1:100-500, IHC-F=1:100-500, IF=1:100-500 Not yet tested in other applications. |
| 交叉反应 | Mouse, Rat |
| 抗体来源 | Rabbit |
| 免疫原 | KLH conjugated synthetic peptide derived from mouse IFI-202 |
| 亚型 | IgG |
| 性状 | Liquid |
| 纯化方法 | affinity purified by Protein A |
| 克隆类型 | Polyclonal |
| 理论分子量 | 50 kDa |
| 浓度 | 1mg/ml |
| 储存液 | 0.01M TBS (pH7.4) with 1% BSA, 0.02% Proclin300 and 50% Glycerol. |
| 亚基 | Binds to several transcription factors, including NF-kappa-B p50 and p65, FOS, JUN, E2F1, E2F4, MYOD1 and myogenin. Also binds p53, the hypophosphorylated, growth-inhibitory form of the retinoblastoma protein and the p53-binding protein 1 (53BP1). |
| 亚细胞定位 | Cytoplasm. Nucleus. Note=Accumulates first in the cytoplasm, and is translocated to the nucleus after a delay, where it is primarily chromatin-associated. |
| 翻译后修饰 | Phosphorylated. |
| 相似性 | Belongs to the HIN-200 family. Contains 2 HIN-200 domains. |
| 功能 | Inhibits the transcriptional activity of several transcription factors, including NF-kappa-B p50 and p65, FOS, JUN, E2F1, E2F4, MYOD1 and myogenin. Has anti-apoptotic effects due to inhibition of the transcriptional activity of p53. Binds dsDNA in the cytosol. Is involved in innate immune response and has anti-inflammatory activity. Inhibits caspase activation in response to cytosolic DNA and may inhibit the activation of the AIM2 inflammasome, probably via association with AIM2. |
| 保存条件 | Shipped at 4℃. Store at -20℃ for one year. Avoid repeated freeze/thaw cycles. |
| 注意事项 | This product as supplied is intended for research use only, not for use in human, therapeutic or diagnostic applications. |
| 背景资料 | IFI-202 is a primarily nuclear phosphoprotein which inhibits cell growth, in part by modulating transcriptional activity of NFkB, E2F, AP-1 and p53. Two related human proteins, MNDA (myeloid cell nuclear differentiation antigen) and IFI-16, have also been described. Expression of MNDA has been observed specifically in cells of the granulocyte-macrophage lineage. IFI-16 is constitutively expressed in various T and B cell lines and can be induced by IFN-g in HL60 cells. At least four of the Gene 200 cluster of IFN-inducible proteins, IFI-202, IFI-204, MNDA and IFI-16, are localized in the nucleus. |
| 应用 | 推荐稀释比例 |
| {WB} | {1:500-2000} |
| {IHC-P} | {1:100-500} |
| {IHC-F} | {1:100-500} |
| {IF} | {1:100-500} |

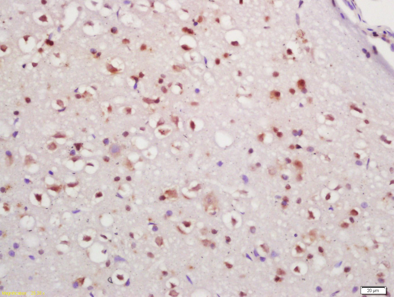
Antigen retrieval: citrate buffer ( 0.01M, pH 6.0 ), Boiling bathing for 15min; Block endogenous peroxidase by 3% Hydrogen peroxide for 30min; Blocking buffer (normal goat serum,C-0005) at 37℃ for 20 min;
Incubation: Anti-IFI-202 Polyclonal Antibody, Unconjugated(bs-8676R) 1:200, overnight at 4°C, followed by conjugation to the secondary antibody(SP-0023) and DAB(C-0010) staining

Primary: Anti-IFI-202 (bs-8676R) at 1/300 dilution
Secondary: IRDye800CW Goat Anti-Rabbit IgG at 1/20000 dilution
Predicted band size: 50 kD
Observed band size: 50 kD

Primary: Anti-IFI-202 (bs-8676R) at 1/300 dilution
Secondary: IRDye800CW Goat Anti-Rabbit IgG at 1/20000 dilution
Predicted band size: 50 kD
Observed band size: 50 kD
风险提示:丁香通仅作为第三方平台,为商家信息发布提供平台空间。用户咨询产品时请注意保护个人信息及财产安全,合理判断,谨慎选购商品,商家和用户对交易行为负责。对于医疗器械类产品,请先查证核实企业经营资质和医疗器械产品注册证情况。
文献和实验= NAL), appears to form upon oxidative cyclization of the nonfluorescent 2:1 lysine-HNE Michael adduct-Schiff base cross-link (Scheme 1). Polyclonal antibody (PAb) to the NAL-HNE fluorophore was raised in rabbit and found to be highly specific
【摘要】 目的:建立肾宁颗粒中黄芪甲苷的含量测定方法。方法:采用C18(4.6mm×250mm,5μm)柱,流动相为乙腈�水�冰醋酸(30:70:1),检测波长为202nm。结果:黄芪甲苷在15-300μg范围内线性关系良好,相关系数r=0.9995,平均回收率为97.95%,RSD为0.40%。结论:此测定方法准确,重现性好,可作为制剂的质量控制方法。 【关键词】 肾宁颗粒/化学合成;黄芪甲苷/标准;高效液相色谱法;含量测定 肾宁颗粒由黄芪、党参等4味中药
? Boost IHC Detection Reagent (HRP, Rabbit) #8114SignalStain? Boost IHC Detection Reagent (HRP, Mouse) #8125注意: 如果本产品没有使用本试剂优化过,可能需要通过滴定法来确定最佳条件。11. DAB 试剂或合适的底物:按产品说明配制。B. 脱蜡处理/再水化注意:操作中任何时候都不要晾干玻片1. 脱蜡处理/切片的水化:a. 用二甲苯浸洗切片 3 次,每次 5 分钟。b
技术资料暂无技术资料 索取技术资料









