相关产品推荐更多 >

Listeria tropina Rabbit pAb(bs-4581R)-50ul/100ul/200ul
¥1180
TXNDC11 Rabbit pAb(bs-11439R)-50ul/100ul/200ul
¥1180
SNAIL + SLUG Rabbit pAb, PerCP conjugated(bs-11961R-PerCP)-100ul
¥2980
IGF2R/M6PR Rabbit pAb, APC conjugated(bs-6670R-APC)-100ul
¥2980
phospho-DNA PKcs (Thr2638) Rabbit pAb, Biotin conjugated(bs-20347R-Bio)-100ul
¥2980
万千商家帮你免费找货
0 人在求购买到急需产品
- 详细信息
- 文献和实验
- 技术资料
- 应用范围:
产品信息以Bioss网站为准
- 规格:
50ul/100ul/200ul
| 规格: | 50ul | 产品价格: | ¥1180.0 |
|---|---|---|---|
| 规格: | 100ul | 产品价格: | ¥1980.0 |
| 规格: | 200ul | 产品价格: | ¥2800.0 |
| 产品编号 | bs-11209R |
| 英文名称 | SUFU Rabbit pAb |
| 中文名称 | SUFU抗体 |
| 英文别名 | SU FU; SU(F)U; Su(fu); SUFU_HUMAN; SUFUH; SUFUXL; Suppressor of fused homolog(Drosophila); Suppressor of fused homolog; OTTHUMP00000020374; OTTHUMP00000020377; OTTHUMP00000020379; PRO1280. |
| 产品应用 | IHC-P=1:100-500, IHC-F=1:100-500, IF=1:100-500 Not yet tested in other applications. |
| 交叉反应 | Mouse, Rat (Human, Chicken, Dog, Pig, Horse) |
| 抗体来源 | Rabbit |
| 免疫原 | KLH conjugated synthetic peptide derived from human SUFU |
| 亚型 | IgG |
| 性状 | Liquid |
| 纯化方法 | affinity purified by Protein A |
| 克隆类型 | Polyclonal |
| 理论分子量 | 53/106 kDa |
| 浓度 | 1mg/ml |
| 储存液 | 0.01M TBS (pH7.4) with 1% BSA, 0.02% Proclin300 and 50% Glycerol. |
| 研究领域 | Cancer > Oncoproteins/suppressors > Tumor suppressors > PTC & Wnt pathway Epigenetics and Nuclear Signaling > Transcription > Cancer susceptibility > Proto-oncogenes Epigenetics and Nuclear Signaling > Transcription > Other factors |
| 亚基 | May form homodimers. Part of a DNA-bound corepressor complex containing SAP18, GLI1 and SIN3. Part of a complex containing CTNNB1. Binds BTRC, GLI2, GLI3, SAP18 and STK36. Binds both free and DNA-bound GLI1. Interacts with KIF7. Interacts with GLI3FL and this interaction regulates the formation of either repressor or activator forms of GLI3. Its association with GLI3FL is regulated by Hh signaling and dissociation of the SUFU-GLI3 interaction requires the presence of the ciliary motor KIF3A. Interacts with ULK3; inactivating the protein kinase activity of ULK3. |
| 亚细胞定位 | Cytoplasm. Nucleus. |
| 组织特异性 | Ubiquitous in adult tissues. Detected in osteoblasts of the perichondrium in the developing limb of 12-week old embryos. Isoform 1 is detected in fetal brain, lung, kidney and testis. Isoform 2 is detected in fetal testis, and at much lower levels in fetal brain, lung and kidney. |
| 相似性 | Belongs to the SUFU family. |
| 功能 | Negative regulator in the hedgehog signaling pathway. Down-regulates GLI1-mediated transactivation of target genes. Part of a corepressor complex that acts on DNA-bound GLI1. May also act by linking GLI1 to BTRC and thereby targeting GLI1 to degradation by the proteasome. Sequesters GLI1, GLI2 and GLI3 in the cytoplasm, this effect is overcome by binding of STK36 to both SUFU and a GLI protein. Negative regulator of beta-catenin signaling. Regulates the formation of either the repressor form (GLI3R) or the activator form (GLI3A) of the full length form of GLI3 (GLI3FL). GLI3FL is complexed with SUFU in the cytoplasm and is maintained in a neutral state. Without the Hh signal, the SUFU-GLI3 complex is recruited to cilia, leading to the efficient processing of GLI3FL into GLI3R. When Hh signaling is initiated, SUFU dissociates from GLI3FL and the latter translocates to the nucleus, where it is phosphorylated, destabilized, and converted to a transcriptional activator (GLI3A). |
| 保存条件 | Shipped at 4℃. Store at -20℃ for one year. Avoid repeated freeze/thaw cycles. |
| 注意事项 | This product as supplied is intended for research use only, not for use in human, therapeutic or diagnostic applications. |
| 背景资料 | SUFU is a key negative regulator in the vertebrate Hedgehog signaling pathway. SUFU interacts with genes encoding proteins in this signal transduction pathway. In Drosophila, Intracellular transduction of the Hedgehog pathway involves the release of a large complex containing SUFU. SUFU inhibits the activity of the transcription factor Gli1 and interacts with Gli2, Gli3 and the serine/threonine kinase Fused. SUFU is widely expressed in adult and embryonic tissues with higher expression in tissues patterned by hegdehog signaling. The SUFU gene locus maps to a region that is deleted in glioblastomas, prostate cancer, malignant melanoma and endometrial cancer. |
| 应用 | 推荐稀释比例 |
| {IHC-P} | {1:100-500} |
| {IHC-F} | {1:100-500} |
| {IF} | {1:100-500} |

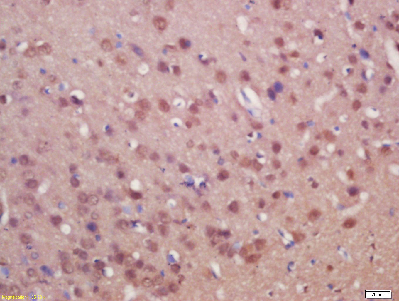
Antigen retrieval: citrate buffer ( 0.01M, pH 6.0 ), Boiling bathing for 15min; Block endogenous peroxidase by 3% Hydrogen peroxide for 30min; Blocking buffer (normal goat serum,C-0005) at 37℃ for 20 min;
Incubation: Anti-SUFU Polyclonal Antibody, Unconjugated(bs-11209R) 1:200, overnight at 4°C, followed by conjugation to the secondary antibody(SP-0023) and DAB(C-0010) staining

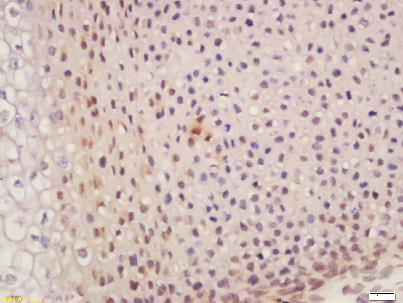
Antigen retrieval: citrate buffer ( 0.01M, pH 6.0 ), Boiling bathing for 15min; Block endogenous peroxidase by 3% Hydrogen peroxide for 30min; Blocking buffer (normal goat serum,C-0005) at 37℃ for 20 min;
Incubation: Anti-SUFU Polyclonal Antibody, Unconjugated(bs-11209R) 1:200, overnight at 4°C, followed by conjugation to the secondary antibody(SP-0023) and DAB(C-0010) staining
风险提示:丁香通仅作为第三方平台,为商家信息发布提供平台空间。用户咨询产品时请注意保护个人信息及财产安全,合理判断,谨慎选购商品,商家和用户对交易行为负责。对于医疗器械类产品,请先查证核实企业经营资质和医疗器械产品注册证情况。
文献和实验[IF={{ 0 }}] {Liu et al. Suppressor of fused (Sufu) represses Gli1 transcription and nuclear accumulation, inhibits glioma cell proliferation, invasion and vasculogenic mimicry, improving glioma chemo-sensitivity and prognosis. (2014) Oncotarget. 5:11681-94} {IF,IHC} {Human}
= NAL), appears to form upon oxidative cyclization of the nonfluorescent 2:1 lysine-HNE Michael adduct-Schiff base cross-link (Scheme 1). Polyclonal antibody (PAb) to the NAL-HNE fluorophore was raised in rabbit and found to be highly specific
GE Healthcare Benzamidine Sepharose™ 6B is p-aminobenzamidine covalently attached to Sepharose 6B by the epoxy coupling method. p-Aminobenzamidine (PAB), is a synthetic inhibitor of trypsin-like serine protease. Trypsin and trypsin
Nucleic Acid Programmable Protein Arrays: Versatile Tools for Array‐Based Functional Protein Studies
.g., Sigma) 50 mg/ml bis‐sulfosuccinimdylsuberate (BS3 ;Pierce, cat. no. PI 21580) in dimethylsulfoxide (DMSO) 5 mg/ml
技术资料暂无技术资料 索取技术资料






