相关产品推荐更多 >

FANCA Rabbit pAb, HRP conjugated(bs-13138R-HRP)-100ul
¥2980
IRS3 Rabbit pAb, Biotin conjugated(bs-0186R-Bio)-100ul
¥2980
phospho-MDM2 (Ser166) Rabbit pAb, Cy5.5 conjugated(bs-3266R-Cy5.5)-100ul
¥2980
phospho-DAP Kinase 2 (Ser318) Rabbit pAb(bs-12980R)-50ul/100ul/200ul
¥1180
p105 CAF1 Rabbit pAb(bs-17584R)-50ul/100ul/200ul
¥1180
万千商家帮你免费找货
0 人在求购买到急需产品
- 详细信息
- 文献和实验
- 技术资料
- 应用范围:
产品信息以Bioss网站为准
- 规格:
50ul/100ul/200ul
| 规格: | 50ul | 产品价格: | ¥1180.0 |
|---|---|---|---|
| 规格: | 100ul | 产品价格: | ¥1980.0 |
| 规格: | 200ul | 产品价格: | ¥2800.0 |
| 产品编号 | bs-10153R |
| 英文名称 | SECTM1 Rabbit pAb |
| 中文名称 | 分泌和跨膜蛋白1抗体 |
| 英文别名 | K12; K12 protein; Protein K-12; Protein K12; SCTM1_HUMAN; Secreted and transmembrane 1; Secreted and transmembrane protein 1; SECTM 1; SECTM1; Type 1a transmembrane protein. |
| 产品应用 | IHC-P=1:100-500, IHC-F=1:100-500, IF=1:100-500 Not yet tested in other applications. |
| 交叉反应 | Rat (Human) |
| 抗体来源 | Rabbit |
| 免疫原 | KLH conjugated synthetic peptide derived from human SECTM1 |
| 亚型 | IgG |
| 性状 | Liquid |
| 纯化方法 | affinity purified by Protein A |
| 克隆类型 | Polyclonal |
| 理论分子量 | 24 kDa |
| 浓度 | 1mg/ml |
| 储存液 | 0.01M TBS (pH7.4) with 1% BSA, 0.02% Proclin300 and 50% Glycerol. |
| 研究领域 | Cancer > Tumor biomarkers Immunology > Secreted Molecules > Other secreted molecules |
| 亚基 | Interacts with CD7. |
| 亚细胞定位 | Cell membrane; Single-pass type I membrane protein (Probable). Secreted. |
| 组织特异性 | Detected at the highest levels in peripheral blood leukocytes and breast cancer cell lines. Found in leukocytes of the myeloid lineage, with the strongest expression observed in granulocytes and no detectable expression in lymphocytes. Expressed in thymic epithelial cells and fibroblasts. |
| 相似性 | Belongs to the SECTM family. |
| 功能 | May be involved in thymocyte signaling. |
| 保存条件 | Shipped at 4℃. Store at -20℃ for one year. Avoid repeated freeze/thaw cycles. |
| 注意事项 | This product as supplied is intended for research use only, not for use in human, therapeutic or diagnostic applications. |
| 背景资料 | Detected at the highest levels in peripheral blood leukocytes and breast cancer cell lines. Found in leukocytes of the myeloid lineage, with the strongest expression observed in granulocytes and no detectable expression in lymphocytes. Expressed in thymic epithelial cells and fibroblasts.Belongs to the SECTM family. |
| 应用 | 推荐稀释比例 |
| {IHC-P} | {1:100-500} |
| {IHC-F} | {1:100-500} |
| {IF} | {1:100-500} |

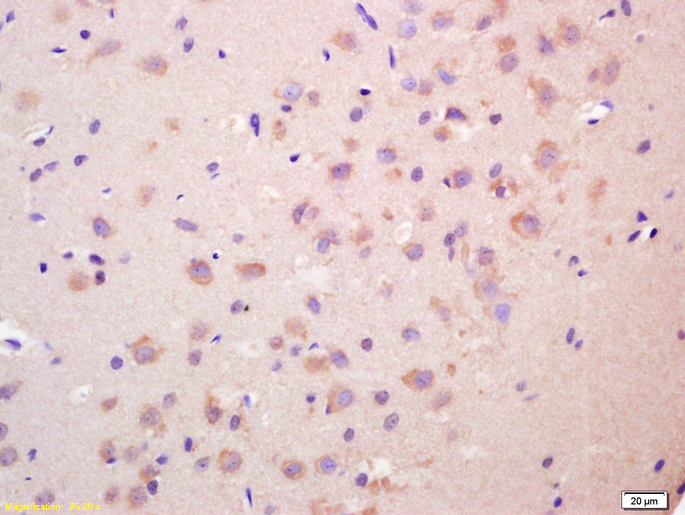
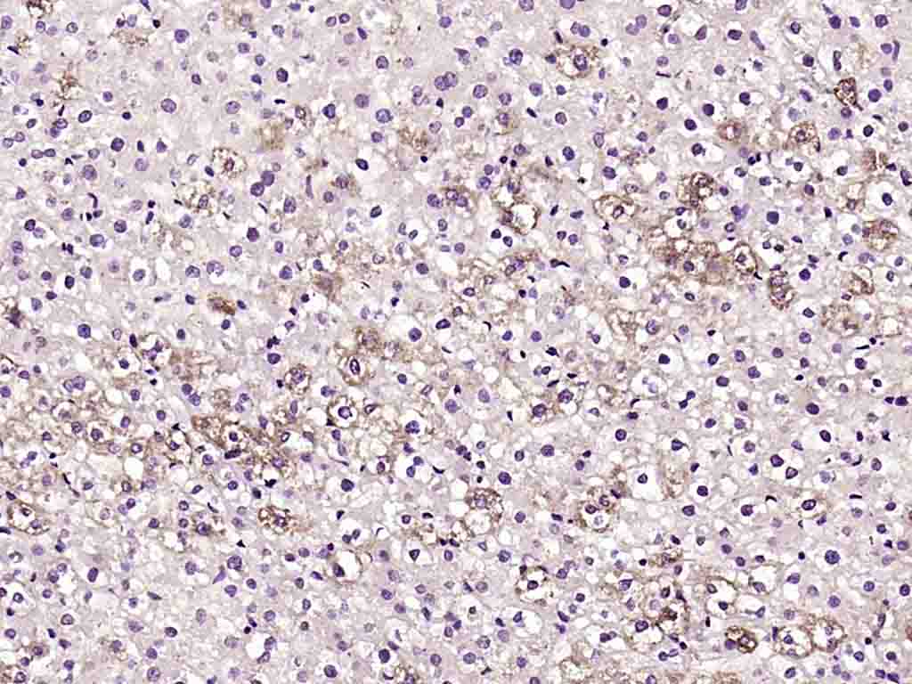
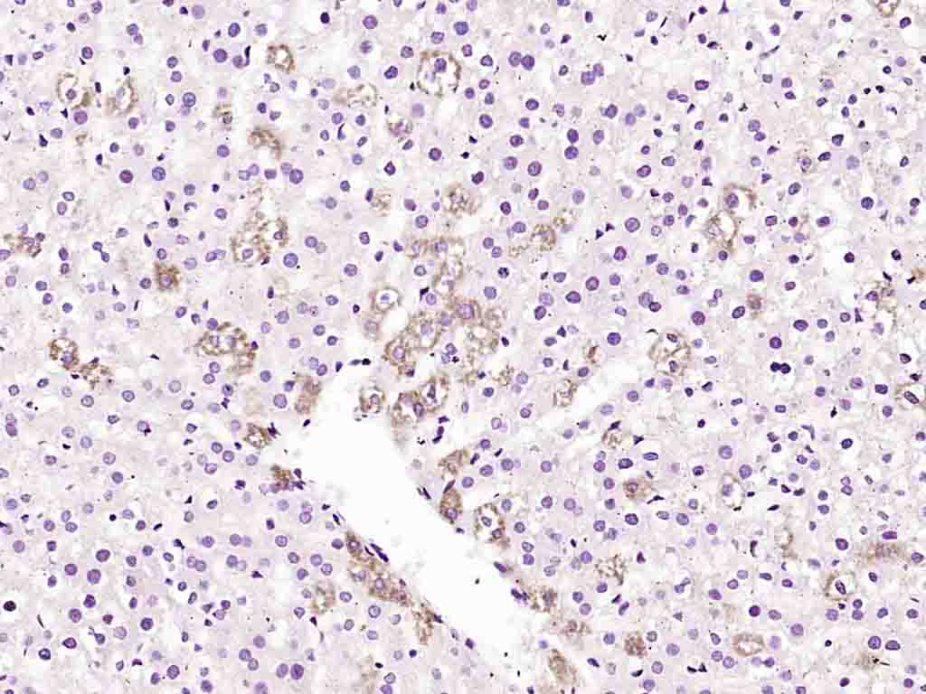
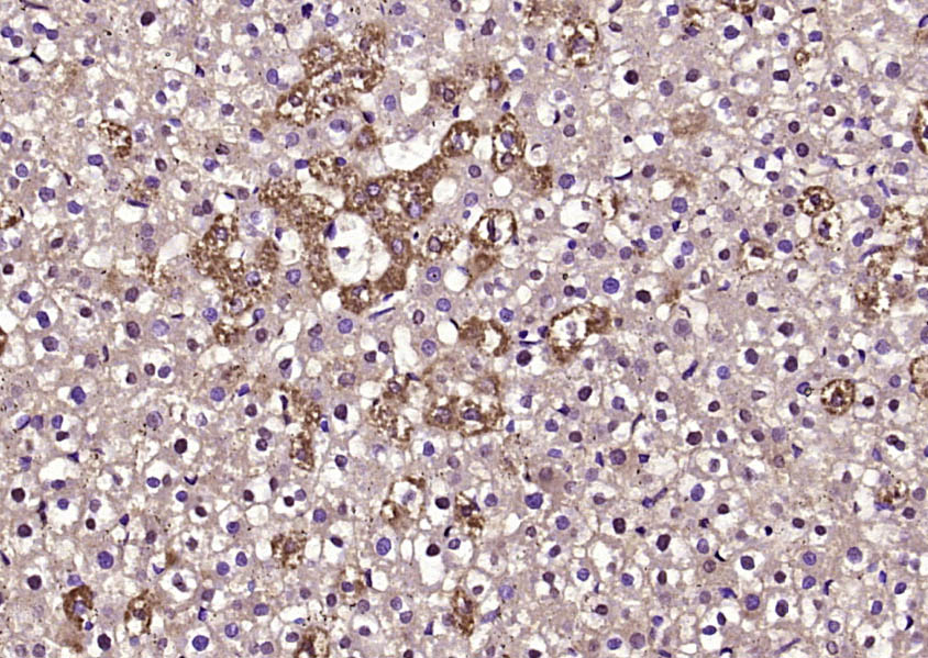
Antigen retrieval: citrate buffer ( 0.01M, pH 6.0 ), Boiling bathing for 15min; Block endogenous peroxidase by 3% Hydrogen peroxide for 30min; Blocking buffer (normal goat serum,C-0005) at 37℃ for 20 min;
Incubation: Anti-SECTM1 Polyclonal Antibody, Unconjugated(bs-10153R) 1:200, overnight at 4°C, followed by conjugation to the secondary antibody(SP-0023) and DAB(C-0010) staining



风险提示:丁香通仅作为第三方平台,为商家信息发布提供平台空间。用户咨询产品时请注意保护个人信息及财产安全,合理判断,谨慎选购商品,商家和用户对交易行为负责。对于医疗器械类产品,请先查证核实企业经营资质和医疗器械产品注册证情况。
文献和实验[IF={{ 5.988 }}] {Wei Yu. et al. Identification and validation of key biomarkers for the early diagnosis of diabetic kidney disease.. FRONT PHARMACOL. 2022 Aug;13:931282-931282} {IHC,WB} {Mouse,Human}
= NAL), appears to form upon oxidative cyclization of the nonfluorescent 2:1 lysine-HNE Michael adduct-Schiff base cross-link (Scheme 1). Polyclonal antibody (PAb) to the NAL-HNE fluorophore was raised in rabbit and found to be highly specific
GE Healthcare Benzamidine Sepharose™ 6B is p-aminobenzamidine covalently attached to Sepharose 6B by the epoxy coupling method. p-Aminobenzamidine (PAB), is a synthetic inhibitor of trypsin-like serine protease. Trypsin and trypsin
Nucleic Acid Programmable Protein Arrays: Versatile Tools for Array‐Based Functional Protein Studies
.g., Sigma) 50 mg/ml bis‐sulfosuccinimdylsuberate (BS3 ;Pierce, cat. no. PI 21580) in dimethylsulfoxide (DMSO) 5 mg/ml
技术资料暂无技术资料 索取技术资料






