相关产品推荐更多 >

Urocortin 3 Rabbit pAb, FITC conjugated(bs-2786R-FITC)-100ul
¥2980
ID1 Rabbit pAb, Cy7 conjugated(bs-3529R-Cy7)-100ul
¥2980
H2AX (Ubiquityl Lys119) Rabbit pAb, BF350 conjugated(bs-8571R-BF350)-100ul
¥2980
IKK gamma Rabbit pAb(bs-22575R)-50ul/100ul/200ul
¥1180
phospho-p70 S6 Kinase Beta 2 (Tyr389) Rabbit pAb(bs-3498R)-50ul/100ul/200ul
¥1180
万千商家帮你免费找货
0 人在求购买到急需产品
- 详细信息
- 文献和实验
- 技术资料
- 应用范围:
产品信息以Bioss网站为准
- 规格:
50ul/100ul/200ul
| 规格: | 50ul | 产品价格: | ¥1180.0 |
|---|---|---|---|
| 规格: | 100ul | 产品价格: | ¥1980.0 |
| 规格: | 200ul | 产品价格: | ¥2800.0 |
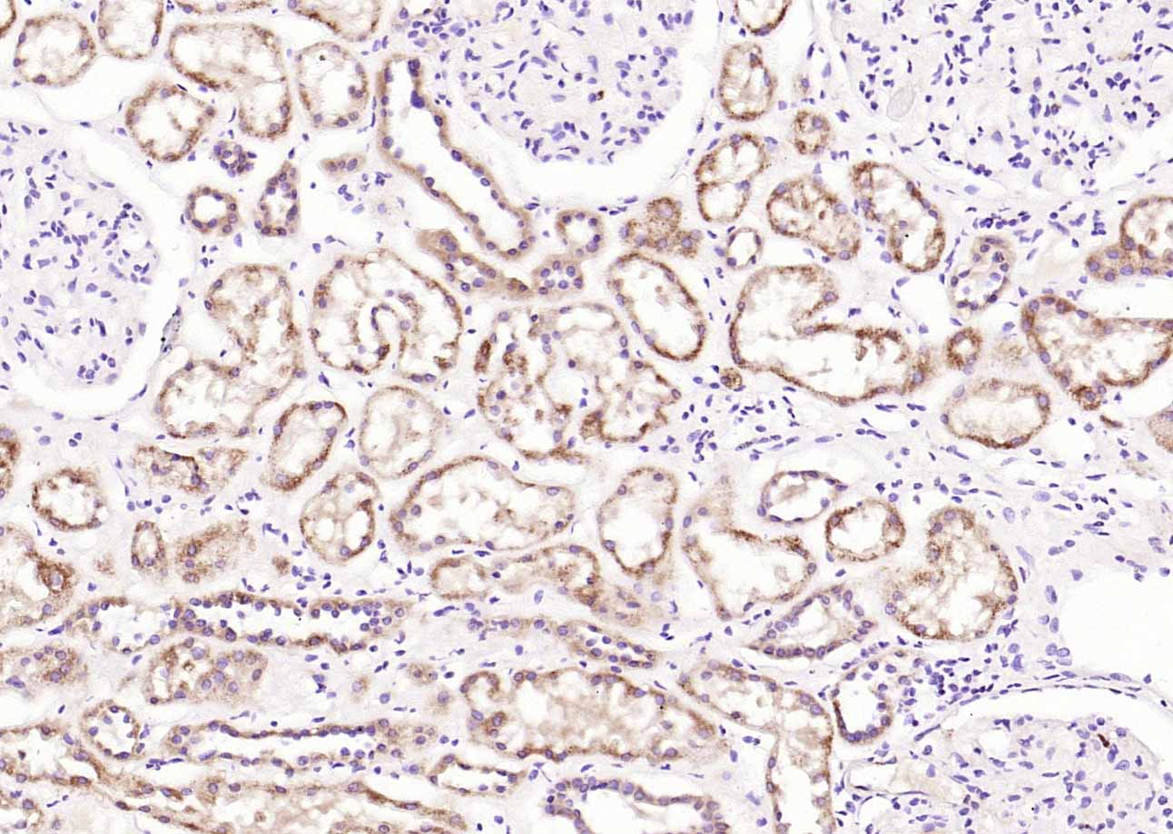
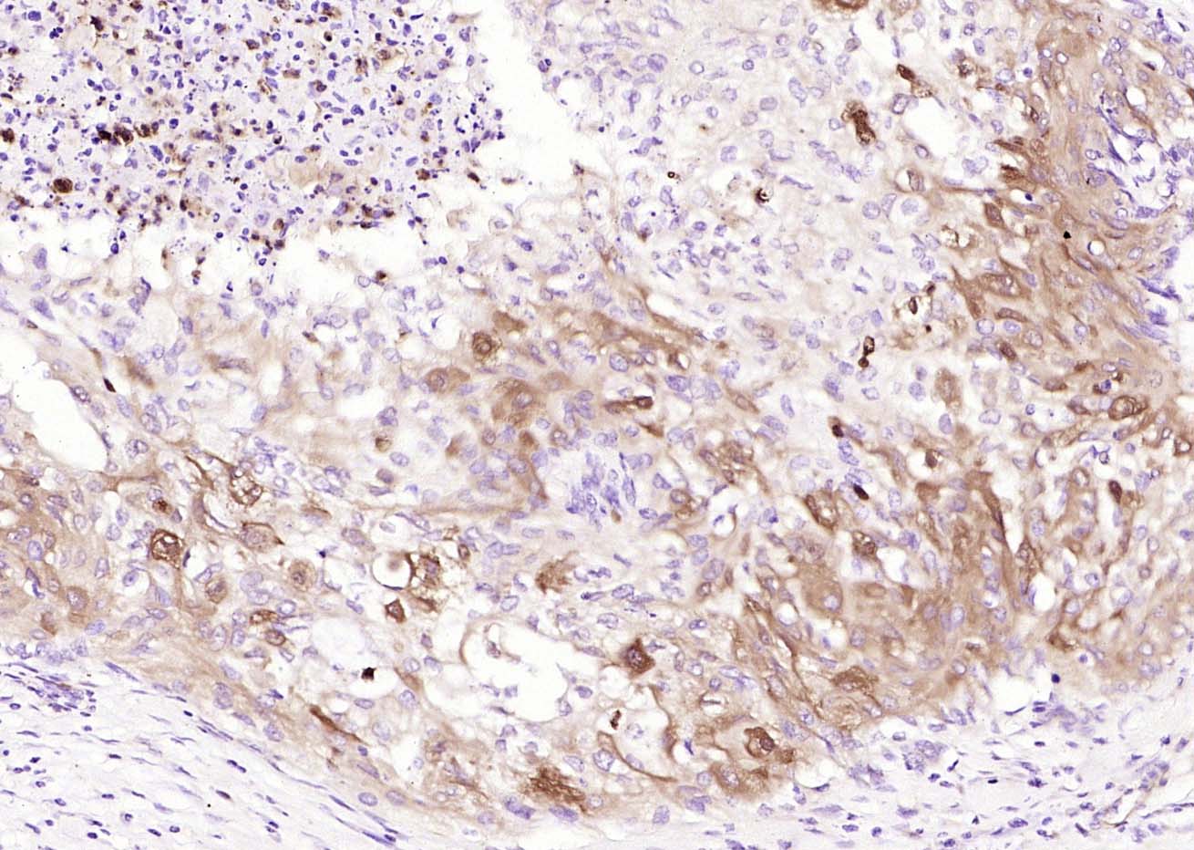
| 产品编号 | bs-9340R |
| 英文名称 | MARCH6 Rabbit pAb |
| 中文名称 | 膜相关环指蛋白6抗体 |
| 英文别名 | Doa10 homolog; E3 ubiquitin protein ligase MARCH6; MARCH 6; MARCH VI; MARCHVI; Membrane associated RING CH protein VI; Membrane associated ring finger(C3HC4) 6; Membrane associated RING finger protein 6; Protein TEB 4; Protein TEB4; RNF 176; RNF176; TEB 4; TEB4; RING finger protein 176; MARH6_HUMAN. |
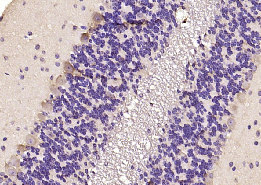
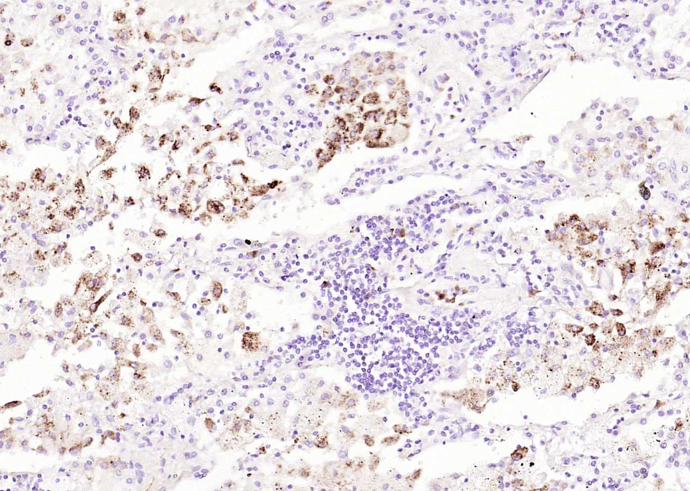
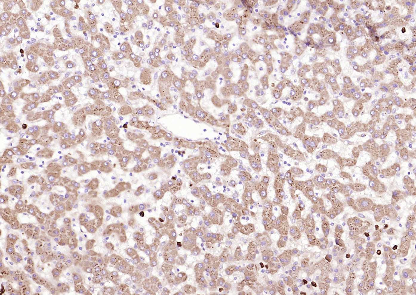
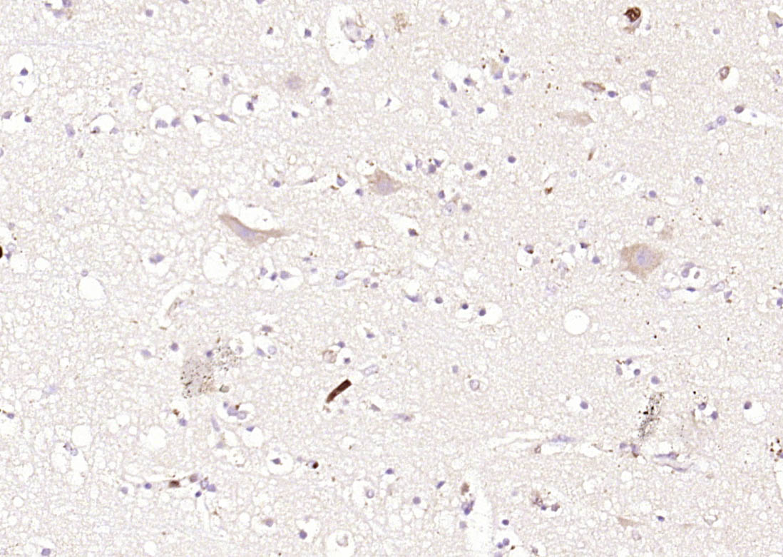
| 产品应用 | IHC-P=1:100-500, IHC-F=1:100-500, IF=1:50-200 Not yet tested in other applications. |
| 交叉反应 | Human, Mouse, Rat, human lung carcinoma, human lung carcinoma, human lung carcinoma, human lung carcinoma, 肝, 肝, 肝, 肝, Cerebrum, Cerebrum, Cerebrum, Cerebrum, 肾, 肾, 肾, 肾, human kidney carcinoma, human kidney carcinoma, human kidney carcinoma, human kidney carcinoma (Chicken, Dog, Pig, Cow, Horse, Zebrafish, Sheep) |
| 抗体来源 | Rabbit |
| 免疫原 | KLH conjugated synthetic peptide derived from human MARCH6 |
| 亚型 | IgG |
| 性状 | Liquid |
| 纯化方法 | affinity purified by Protein A |
| 克隆类型 | Polyclonal |
| 理论分子量 | 103 kDa |
| 浓度 | 1mg/ml |
| 储存液 | 0.01M TBS (pH7.4) with 1% BSA, 0.02% Proclin300 and 50% Glycerol. |
| 亚基 | Interacts with DIO2. |
| 亚细胞定位 | Endoplasmic reticulum membrane; Multi pass membrane protein. |
| 组织特异性 | Present in brain (at protein level). |
| 翻译后修饰 | Auto-ubiquitinated, which results in proteasomal degradation. |
| 相似性 | Contains 1 RING-CH-type zinc finger. |
| 功能 | E3 ubiquitin-protein ligase that promotes ubiquitination of DIO2, leading to its degradation. E3 ubiquitin ligases accept ubiquitin from an E2 ubiquitin-conjugating enzyme in the form of a thioester and then directly transfer the ubiquitin to targeted substrates. May cooperate with UBE2G1. |
| 保存条件 | Shipped at 4℃. Store at -20℃ for one year. Avoid repeated freeze/thaw cycles. |
| 注意事项 | This product as supplied is intended for research use only, not for use in human, therapeutic or diagnostic applications. |
| 背景资料 | MARCH6 (Membrane associated RING finger protein 6) belongs to the MARCH family, which contains at least seven membrane associated RING-CH (MARCH)proteins. MARCH proteins are E3 ubiquitin ligases and are located to subcellular membranes. |
| 应用 | 推荐稀释比例 |
| {IHC-P} | {1:100-500} |
| {IHC-F} | {1:100-500} |
| {IF} | {1:50-200} |







风险提示:丁香通仅作为第三方平台,为商家信息发布提供平台空间。用户咨询产品时请注意保护个人信息及财产安全,合理判断,谨慎选购商品,商家和用户对交易行为负责。对于医疗器械类产品,请先查证核实企业经营资质和医疗器械产品注册证情况。
文献和实验= NAL), appears to form upon oxidative cyclization of the nonfluorescent 2:1 lysine-HNE Michael adduct-Schiff base cross-link (Scheme 1). Polyclonal antibody (PAb) to the NAL-HNE fluorophore was raised in rabbit and found to be highly specific
. Retrieved 2010-11-29. ^ Nielsen BS, Jørgensen S, Fog JU, Søkilde R, Christensen IJ, Hansen U, Brünner N, Baker A, Møller S, Nielsen HJ (October 2010). "High levels of microRNA-21 in the stroma of colorectal cancers predict short disease-free survival
GE Healthcare Benzamidine Sepharose™ 6B is p-aminobenzamidine covalently attached to Sepharose 6B by the epoxy coupling method. p-Aminobenzamidine (PAB), is a synthetic inhibitor of trypsin-like serine protease. Trypsin and trypsin
技术资料暂无技术资料 索取技术资料






