相关产品推荐更多 >

HDAC1 Rabbit pAb, Nuclear Loading Control(bs-24447R)-50ul/100ul/200ul
¥1180
CLDN1 Rabbit pAb, PE conjugated(bs-0790R-PE)-100ul
¥2980
Cytokeratin 19 Mouse mAb, Cy5.5 conjugated(bsm-33057M-Cy5.5)-100ul
¥2980
phospho-HSP70 (Tyr611) Rabbit pAb, APC-Cy5.5 conjugated(bs-10448R-APC-Cy5.5)-100ul
¥2980
HLA-DR/HLA DRB1 Rabbit pAb, AP conjugated(bs-22366R-AP)-100ul
¥2980
万千商家帮你免费找货
0 人在求购买到急需产品
- 详细信息
- 文献和实验
- 技术资料
- 应用范围:
产品信息以Bioss网站为准
- 规格:
50ul/100ul/200ul
| 规格: | 50ul | 产品价格: | ¥1180.0 |
|---|---|---|---|
| 规格: | 100ul | 产品价格: | ¥1980.0 |
| 规格: | 200ul | 产品价格: | ¥2800.0 |
| 产品编号 | bs-7717R |
| 英文名称 | CDCA5 Rabbit pAb |
| 中文名称 | 细胞分裂周期相关蛋白5抗体 |
| 英文别名 | Cell division cycle associated protein 5; MGC16386; p35; Sororin; CDCA5_HUMAN. |
| 产品应用 | IHC-P=1:100-500, IHC-F=1:100-500, IF=1:100-500, Flow-Cyt=3ug/Test Not yet tested in other applications. |
| 交叉反应 | Human, Mouse, Rat, testis, testis, testis, testis, testis, testis, testis, testis, testis, testis, placenta, placenta, placenta, placenta, placenta, placenta, placenta, human lung carcinoma, human lung carcinoma, human lung carcinoma, human lung carcinoma, human tonsil, human tonsil, human tonsil, human tonsil, stomach, stomach, stomach, stomach, colon, colon, colon, colon, colon, colon, colon (Dog, Pig, Cow, Horse, Rabbit) |
| 抗体来源 | Rabbit |
| 免疫原 | KLH conjugated synthetic peptide derived from human CDCA5 |
| 亚型 | IgG |
| 性状 | Liquid |
| 纯化方法 | affinity purified by Protein A |
| 克隆类型 | Polyclonal |
| 理论分子量 | 28 kDa |
| 浓度 | 1mg/ml |
| 储存液 | 0.01M TBS (pH7.4) with 1% BSA, 0.02% Proclin300 and 50% Glycerol. |
| 研究领域 | Cell Biology > Cell Cycle > Cell Division > Chromatid Cohesion Epigenetics and Nuclear Signaling > Cell cycle > Chromosome Structure > Chromatid Cohesion |
| 亚基 | Interacts with the APC/C complex (By similarity). Interacts with the chromatin-bound cohesin complex; the interaction is indirect, occurs after DNA replication and requires acetylation of the cohesin component SMC3. Interacts (via the FGF motif) with PDS5A and PDS5B; the interaction is direct and prevents the interaction of PDS5A with WAPAL. |
| 亚细胞定位 | Nuclear. |
| 翻译后修饰 | Phosphorylated. Phosphorylation, as cells enter mitosis, disrupts the interaction with PDS5A and relieves the inhibition of WAPAL by CDCA5. Ubiquitinated by the APC/C complex in G1, leading to its degradation (Probable). |
| 相似性 | Belongs to the sororin family. |
| 功能 | CDCA5 is a regulator of sister chromatid cohesion in mitosis. It may act by regulating the ability of the cohesin complex to mediate sister chromatid cohesion, perhaps by altering the nature of the interaction of cohesin with the chromosomes. CDCA5 interacts with the APC/C complex and is found in a complex with the cohesin components SMC1L1, SMC3L1, RAD21, PDS5A/APRIN and PDS5B/SCC-112. |
| 保存条件 | Shipped at 4℃. Store at -20℃ for one year. Avoid repeated freeze/thaw cycles. |
| 注意事项 | This product as supplied is intended for research use only, not for use in human, therapeutic or diagnostic applications. |
| 背景资料 | Sororin, also designated cell division cycle-associated protein 5 (CDCA5) or p35, functions as a regulator of sister chromatid cohesion during mitosis. It interacts with the APC/C complex and is found in a complex consisting of cohesion components SCC-112, MC1L1, SMC3L1, RAD21 and APRIN. The deduced human and mouse Sororin proteins consist of 252 and 264 amino acid residues, respectively, and both contain a KEN box for APC-dependent ubiquitination. Reserach demonstrates a punctated nuclear distribution of Sororin during interphase and a diffuse distribution throughout the cell during mitosis. There is no apparent concentration of Sororin on chromatin in mitotic cells and Sororin levels decrease in synchronized HeLa cells during interphase. The Sororin gene maps to chromosome 11q12.1. |
| 应用 | 推荐稀释比例 |
| {IHC-P} | {1:100-500} |
| {IHC-F} | {1:100-500} |
| {IF} | {1:100-500} |
| {Flow-Cyt} | {3ug/Test} |

Primary Antibody (green line): Rabbit Anti-CDCA5 antibody (bs-7717R)
Dilution: 3μg /10^6 cells;
Isotype Control Antibody (orange line): Rabbit IgG .
Secondary Antibody (white blue line): Goat anti-rabbit IgG-AF647
Dilution: 3μg /test.
Protocol
The cells were fixed with 4% PFA (10min at room temperature)and then permeabilized with 90% ice-cold methanol for 20 min at room temperature. The cells were then incubated in 5%BSA to block non-specific protein-protein interactions for 30 min at room temperature .Cells stained with Primary Antibody for 30 min at room temperature. The secondary antibody used for 40 min at room temperature. Acquisition of 20,000 events was performed.










风险提示:丁香通仅作为第三方平台,为商家信息发布提供平台空间。用户咨询产品时请注意保护个人信息及财产安全,合理判断,谨慎选购商品,商家和用户对交易行为负责。对于医疗器械类产品,请先查证核实企业经营资质和医疗器械产品注册证情况。
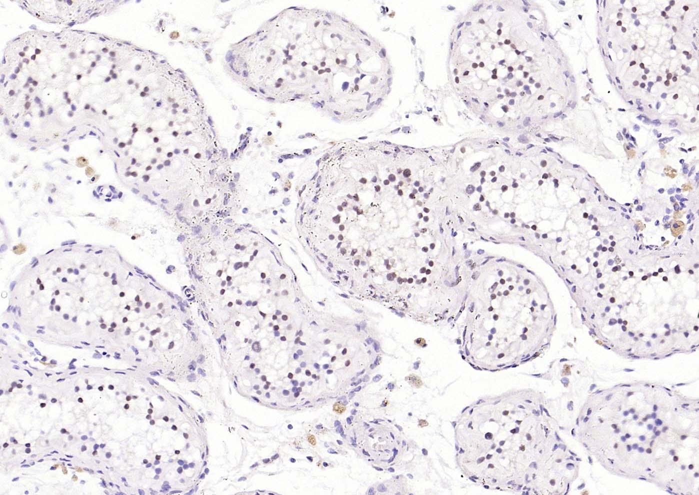
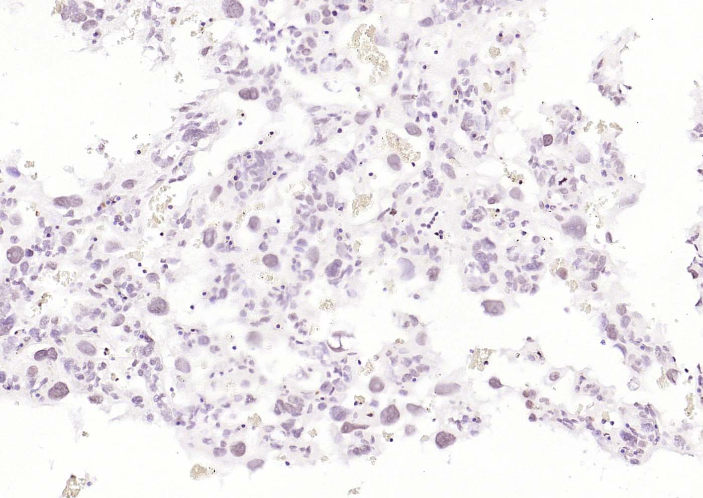
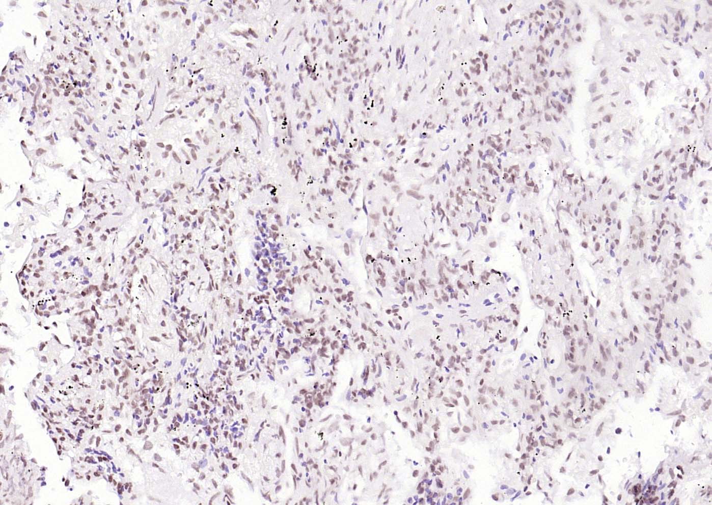
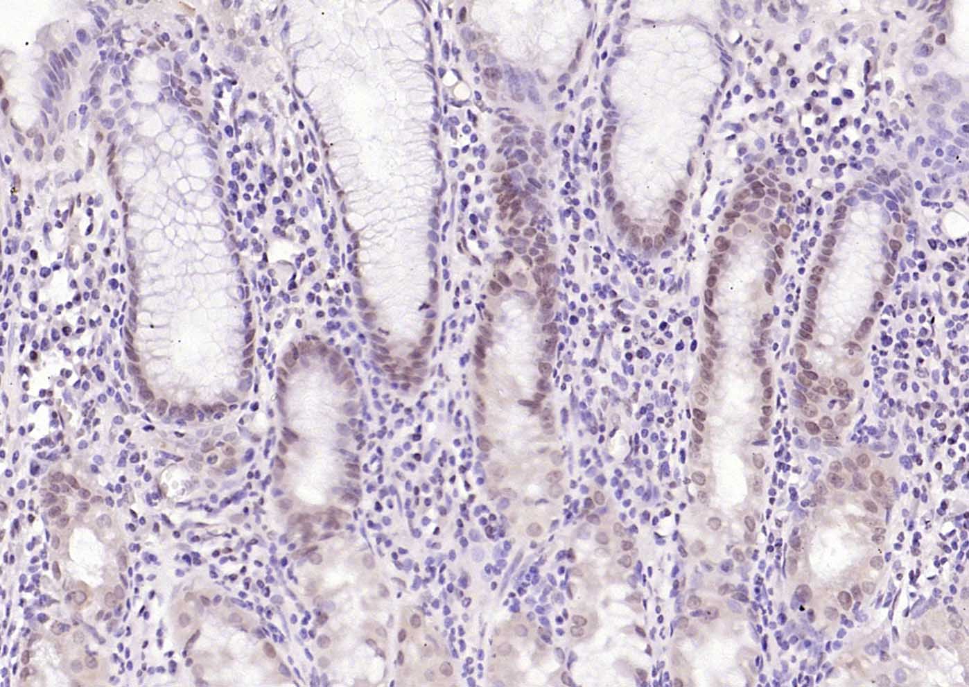
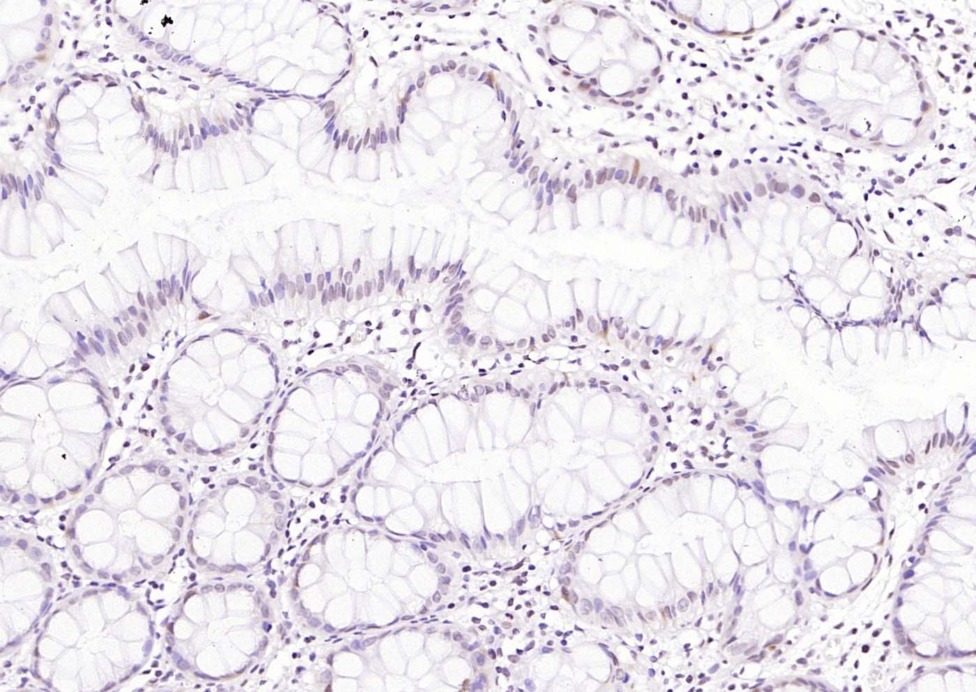
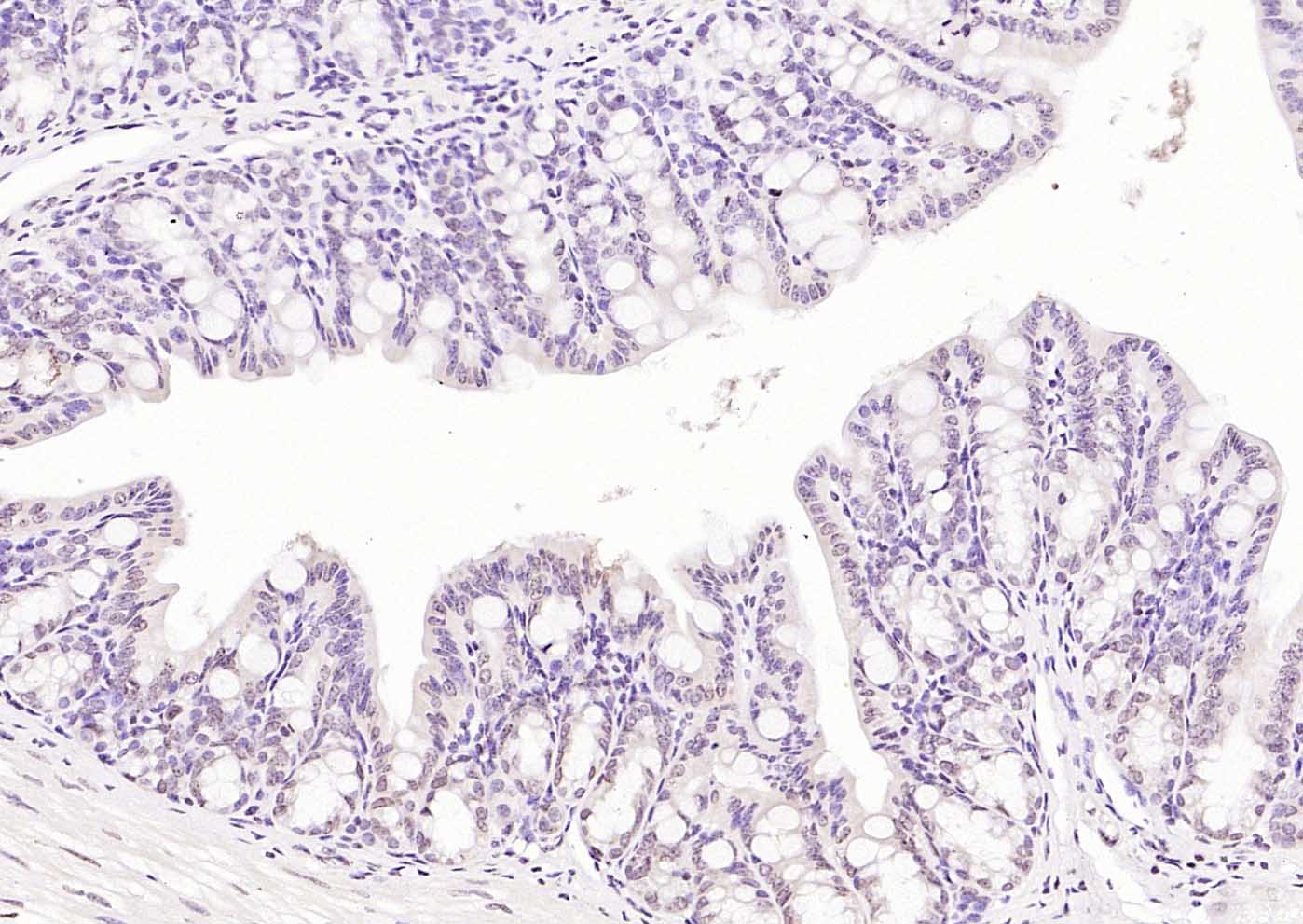
文献和实验[IF={{ 2.145 }}] {Jing He. et al. Prognostic and Immunological Roles of Cell Cycle Regulator CDCA5 in Human Solid Tumors. INT J GEN MED. 2022 Nov;15:8257-8274} {IHC} {Human}
= NAL), appears to form upon oxidative cyclization of the nonfluorescent 2:1 lysine-HNE Michael adduct-Schiff base cross-link (Scheme 1). Polyclonal antibody (PAb) to the NAL-HNE fluorophore was raised in rabbit and found to be highly specific
GE Healthcare Benzamidine Sepharose™ 6B is p-aminobenzamidine covalently attached to Sepharose 6B by the epoxy coupling method. p-Aminobenzamidine (PAB), is a synthetic inhibitor of trypsin-like serine protease. Trypsin and trypsin
Nucleic Acid Programmable Protein Arrays: Versatile Tools for Array‐Based Functional Protein Studies
.g., Sigma) 50 mg/ml bis‐sulfosuccinimdylsuberate (BS3 ;Pierce, cat. no. PI 21580) in dimethylsulfoxide (DMSO) 5 mg/ml
技术资料暂无技术资料 索取技术资料






