Blank control: K562.
Primary Antibody (green line): Rabbit Anti-UBE2V1 antibody (bs-7882R)
Dilution: 2μg /10^6 cells;
Isotype Control Antibody (orange line): Rabbit IgG .
Secondary Antibody : Goat anti-rabbit IgG-AF488
Dilution: 1μg /test.
Protocol
The cells were fixed with 4% PFA (10min at room temperature)and then permeabilized with 90% ice-cold methanol for 20 min at-20℃. The cells were then incubated in 5%BSA to block non-specific protein-protein interactions for 30 min at at room temperature .Cells stained with Primary Antibody for 30 min at room temperature. The secondary antibody used for 40 min at room temperature. Acquisition of 20,000 events was performed.
相关产品推荐更多 >

Heme Oxygenase 1 Rabbit pAb(bs-2075R)-50ul/100ul/200ul
¥1180
BrdU(Proliferation Marker) Mouse mAb, Cy7 conjugated(bsm-0917M-Cy7)-100ul
¥2980
phospho-STAT5b (Ser731) Rabbit pAb, PerCP conjugated(bs-5703R-PerCP)-100ul
¥2980
ARMC3 (Cancer/testis antigen 81) Rabbit pAb(bs-7969R)-50ul/100ul/200ul
¥1180
CHRM4 Rabbit pAb, BF555 conjugated(bs-11998R-BF555)-100ul
¥2980
万千商家帮你免费找货
0 人在求购买到急需产品
- 详细信息
- 技术资料
- 应用范围:
产品信息以Bioss网站为准
- 规格:
50ul/100ul/200ul
| 规格: | 50ul | 产品价格: | ¥1180.0 |
|---|---|---|---|
| 规格: | 100ul | 产品价格: | ¥1980.0 |
| 规格: | 200ul | 产品价格: | ¥2800.0 |
| 产品编号 | bs-7882R |
| 英文名称 | UBE2V1 Rabbit pAb |
| 中文名称 | 泛素结合酶E2变异体1抗体 |
| 英文别名 | CIR1; CROC-1; CROC1; CROC1A; TRAF6-regulated IKK activator 1 beta Uev1A; UB2V1_HUMAN; UBE2V 1; UBE2V; UBE2V1; Ubiquitin conjugating enzyme E2 variant 1; Ubiquitin-conjugating enzyme E2 variant 1; UEV-1; UEV1. |
| 产品应用 | IHC-P=1:100-500, IHC-F=1:100-500, IF=1:100-500, Flow-Cyt=2ug/Test Not yet tested in other applications. |
| 交叉反应 | Human, Rat (Mouse, Chicken, Pig, Horse, Sheep) |
| 抗体来源 | Rabbit |
| 免疫原 | KLH conjugated synthetic peptide derived from human UBE2V1 |
| 亚型 | IgG |
| 性状 | Liquid |
| 纯化方法 | affinity purified by Protein A |
| 克隆类型 | Polyclonal |
| 理论分子量 | 16 kDa |
| 浓度 | 1mg/ml |
| 储存液 | 0.01M TBS (pH7.4) with 1% BSA, 0.02% Proclin300 and 50% Glycerol. |
| 研究领域 | Cell Biology > Cell Cycle > Cell differentiation Cell Biology > Proteolysis / Ubiquitin > Proteasome / Ubiquitin > Ubiquitin E2 Enzymes Epigenetics and Nuclear Signaling > Transcription > Other factors Epigenetics and Nuclear Signaling > Ubiquitin & Ubiquitin Like Modifiers > E2 Ubiquitin Conjugating Enzymes Signal Transduction > Signaling Pathway > Nuclear Signaling > NFkB Pathway |
| 亚基 | Heterodimer with UBE2N. Interacts (UBE2V2-UBE2Nheterodimer) with the E3 ligase STUB1 (via the U-box domain); thecomplex has a specific 'Lys-63'-linked polyubiquitination activity.Interacts with TRAF6. |
| 亚细胞定位 | Nucleus. Note=Excluded from the nucleolus. |
| 组织特异性 | Highly expressed in thyroid, pancreas, spinalcord, lymph node, trachea, adrenal gland, bone marrow and pancreas.Detected at low levels in heart, breast, placenta, brain, liver,kidney, stomach and lung. |
| 相似性 | Belongs to the ubiquitin-conjugating enzyme family. |
| 功能 | Has no ubiquitin ligase activity on its own. TheUBE2V1-UBE2N heterodimer catalyzes the synthesis of non-canonicalpoly-ubiquitin chains that are linked through Lys-63. This type ofpoly-ubiquitination activates IKK and does not seem to involveprotein degradation by the proteasome. Plays a role in theactivation of NF-kappa-B mediated by IL1B, TNF, TRAF6 and TRAF2.Mediates transcriptional activation of target genes. Plays a rolein the control of progress through the cell cycle anddifferentiation. Plays a role in the error-free DNA repair pathwayand contributes to the survival of cells after DNA damage. |
| 保存条件 | Shipped at 4℃. Store at -20℃ for one year. Avoid repeated freeze/thaw cycles. |
| 注意事项 | This product as supplied is intended for research use only, not for use in human, therapeutic or diagnostic applications. |
| 背景资料 | Has no ubiquitin ligase activity on its own. The UBE2V1-UBE2N heterodimer catalyzes the synthesis of non-canonical poly-ubiquitin chains that are linked through Lys-63. This type of poly-ubiquitination activates IKK and does not seem to involve protein degradation by the proteasome. Plays a role in the activation of NF-kappa-B mediated by IL1B, TNF, TRAF6 and TRAF2. Mediates transcriptional activation of target genes. Plays a role in the control of progress through the cell cycle and differentiation. Plays a role in the error-free DNA repair pathway and contributes to the survival of cells after DNA damage. |
| 应用 | 推荐稀释比例 |
| {IHC-P} | {1:100-500} |
| {IHC-F} | {1:100-500} |
| {IF} | {1:100-500} |
| {Flow-Cyt} | {2ug/Test} |


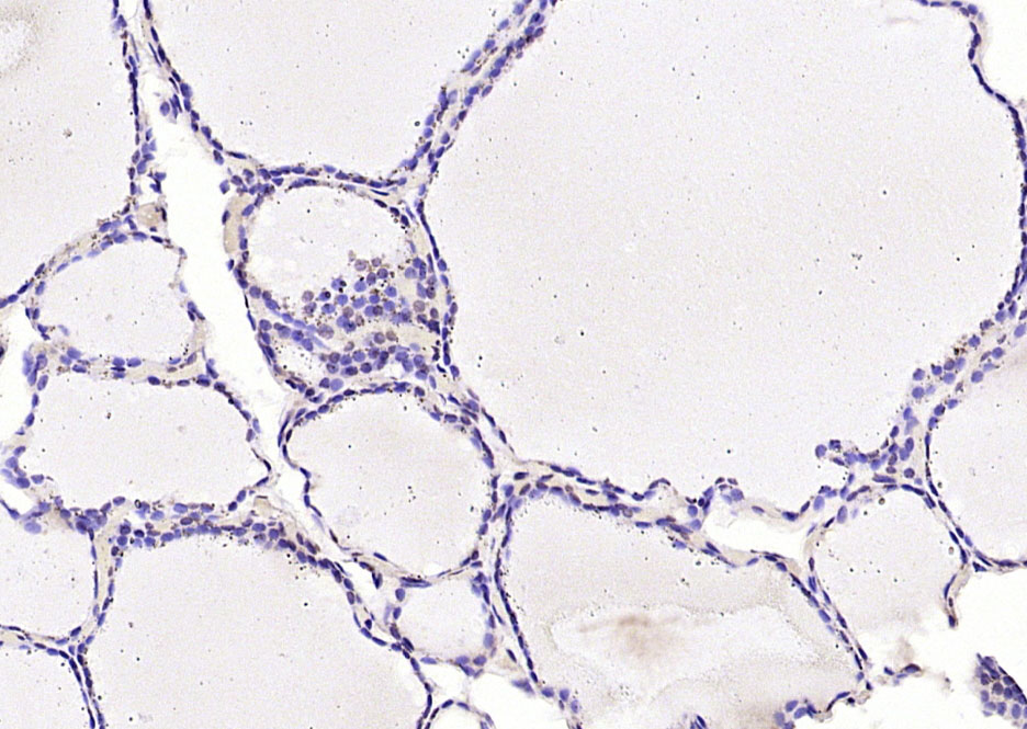
Paraformaldehyde-fixed, paraffin embedded (human thyroid gland); Antigen retrieval by boiling in sodium citrate buffer (pH6.0) for 15min; Block endogenous peroxidase by 3% hydrogen peroxide for 20 minutes; Blocking buffer (normal goat serum) at 37°C for 30min; Antibody incubation with (UBE2V1) Polyclonal Antibody, Unconjugated (bs-7882R) at 1:200 overnight at 4°C, followed by operating according to SP Kit(Rabbit) (sp-0023) instructionsand DAB staining.

Blank control:K562.
Primary Antibody (green line): Rabbit Anti-UBE2V1 antibody (bs-7882R)
Dilution: 2μg /10^6 cells;
Isotype Control Antibody (orange line): Rabbit IgG .
Secondary Antibody : Goat anti-rabbit IgG-PE
Dilution: 1μg /test.
Protocol
The cells were fixed with 4% PFA (10min at room temperature)and then permeabilized with 90% ice-cold methanol for 20 min at-20℃. The cells were then incubated in 5%BSA to block non-specific protein-protein interactions for 30 min at room temperature .Cells stained with Primary Antibody for 30 min at room temperature. The secondary antibody used for 40 min at room temperature. Acquisition of 20,000 events was performed.
Primary Antibody (green line): Rabbit Anti-UBE2V1 antibody (bs-7882R)
Dilution: 2μg /10^6 cells;
Isotype Control Antibody (orange line): Rabbit IgG .
Secondary Antibody : Goat anti-rabbit IgG-PE
Dilution: 1μg /test.
Protocol
The cells were fixed with 4% PFA (10min at room temperature)and then permeabilized with 90% ice-cold methanol for 20 min at-20℃. The cells were then incubated in 5%BSA to block non-specific protein-protein interactions for 30 min at room temperature .Cells stained with Primary Antibody for 30 min at room temperature. The secondary antibody used for 40 min at room temperature. Acquisition of 20,000 events was performed.

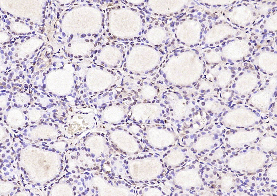
Paraformaldehyde-fixed, paraffin embedded (rat thyroid gland); Antigen retrieval by boiling in sodium citrate buffer (pH6.0) for 15min; Block endogenous peroxidase by 3% hydrogen peroxide for 20 minutes; Blocking buffer (normal goat serum) at 37°C for 30min; Antibody incubation with (UBE2V1) Polyclonal Antibody, Unconjugated (bs-7882R) at 1:200 overnight at 4°C, followed by operating according to SP Kit(Rabbit) (sp-0023) instructionsand DAB staining.
风险提示:丁香通仅作为第三方平台,为商家信息发布提供平台空间。用户咨询产品时请注意保护个人信息及财产安全,合理判断,谨慎选购商品,商家和用户对交易行为负责。对于医疗器械类产品,请先查证核实企业经营资质和医疗器械产品注册证情况。
技术资料暂无技术资料 索取技术资料
UBE2V1 Rabbit pAb(bs-7882R)-50ul/100ul/200ul
¥1180 - 2800





