相关产品推荐更多 >

EGR2 Rabbit pAb, AP conjugated(bs-8368R-AP)-100ul
¥2980
AMACR Recombinant Rabbit mAb(bsm-60430R)-50ul/100ul/25ul
¥800
WRB Rabbit pAb, BF350 conjugated(bs-11774R-BF350)-100ul
¥2980
Anti-human Amyloid Beta (Aducanumab Biosimilar)(BIO0410SM)-1mg/5mg/20mg
¥1550
HSD17B6 Rabbit pAb, PE conjugated(bs-6592R-PE)-100ul
¥2980
万千商家帮你免费找货
0 人在求购买到急需产品
- 详细信息
- 文献和实验
- 技术资料
- 应用范围:
产品信息以Bioss网站为准
- 规格:
50ul/100ul/200ul
| 规格: | 50ul | 产品价格: | ¥1180.0 |
|---|---|---|---|
| 规格: | 100ul | 产品价格: | ¥1980.0 |
| 规格: | 200ul | 产品价格: | ¥2800.0 |
| 产品编号 | bs-17861R |
| 英文名称 | MSRB2 Rabbit pAb |
| 中文名称 | 蛋氨酸亚砜还原酶B2抗体 |
| 英文别名 | CBS 1; CBS1; CGI 131; Methionine sulfoxide reductase B2; Methionine-R-sulfoxide reductase B2; MGC26104; mitochondrial; MSRB 2; MSRB; Msrb2; MSRB2_HUMAN; PILB; Pilin like transcription factor. |
| 产品应用 | IHC-P=1:100-500, IHC-F=1:100-500, IF=1:100-500 Not yet tested in other applications. |
| 交叉反应 | Mouse, Rat (Human, Dog, Horse) |
| 抗体来源 | Rabbit |
| 免疫原 | KLH conjugated synthetic peptide derived from human MSRB2 |
| 亚型 | IgG |
| 性状 | Liquid |
| 纯化方法 | affinity purified by Protein A |
| 克隆类型 | Polyclonal |
| 理论分子量 | 20 kDa |
| 浓度 | 1mg/ml |
| 储存液 | 0.01M TBS (pH7.4) with 1% BSA, 0.02% Proclin300 and 50% Glycerol. |
| 研究领域 | Metabolism > Pathways and Processes > Metabolic signaling pathways > Amino acid metabolism Signal Transduction > Metabolism > Amino Acids |
| 亚细胞定位 | Mitochondrion. |
| 组织特异性 | Ubiquitous. Detected in retina, ocular ciliary body, skeletal muscle, heart, colon, bone marrow, cerebellum, small intestine, fetal brain, fetal liver, kidney, spinal cord, lung, placenta and prostate. |
| 相似性 | Belongs to the MsrB Met sulfoxide reductase family. |
| 功能 | Methionine-sulfoxide reductase that specifically reduces methionine (R)-sulfoxide back to methionine. While in many cases, methionine oxidation is the result of random oxidation following oxidative stress, methionine oxidation is also a post-translational modification that takes place on specific residue. Upon oxidative stress, may play a role in the preservation of mitochondrial integrity by decreasing the intracellular reactive oxygen species build-up through its scavenging role, hence contributing to cell survival and protein maintenance. |
| 保存条件 | Shipped at 4℃. Store at -20℃ for one year. Avoid repeated freeze/thaw cycles. |
| 注意事项 | This product as supplied is intended for research use only, not for use in human, therapeutic or diagnostic applications. |
| 背景资料 | Methionine is one of the most readily oxidized essential amino acids and an intermediate in the biosynthesis of cysteine, carnitine, taurine, lecithin, phosphatidylcholine and other phospholipids. In its oxidative state, Methionine is regulated in vivo by methionine sulfoxide reductases (Msr). MsrB2 is a 182 amino acid mitochondrial protein that is ubiquitously expressed. Belonging to the MsrB Met sulfoxide reductase family, MsrB2 acts as a catalyst for the reduction of free and protein-bound methionine sulfoxide to methionine. Upon oxidative stress, MsrB2 is suggested to play a role in the preservation of mitochondrial integrity by decreasing the intracellular reactive oxygen species build-up through its scavenging role, hence contributing to cell survival and protein maintenance. MsrB2 utilizes zinc ions, one per subunit, as cofactors. |
| 应用 | 推荐稀释比例 |
| {IHC-P} | {1:100-500} |
| {IHC-F} | {1:100-500} |
| {IF} | {1:100-500} |


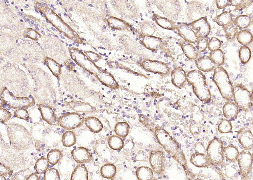
Antigen retrieval: citrate buffer ( 0.01M, pH 6.0 ), Boiling bathing for 15min; Block endogenous peroxidase by 3% Hydrogen peroxide for 30min; Blocking buffer (normal goat serum,C-0005) at 37℃ for 20 min;
Incubation: Anti-MSRB2 Polyclonal Antibody, Unconjugated(bs-17861R) 1:200, overnight at 4°C, followed by conjugation to the secondary antibody(SP-0023) and DAB(C-0010) staining

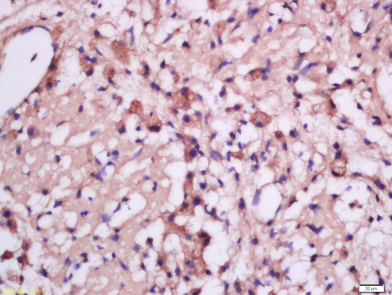
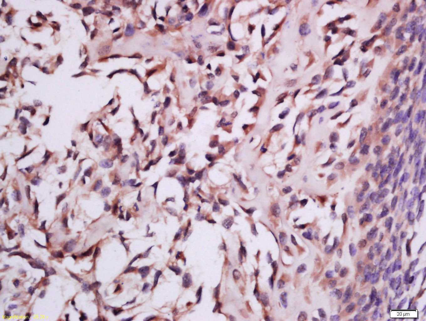
Antigen retrieval: citrate buffer ( 0.01M, pH 6.0 ), Boiling bathing for 15min; Block endogenous peroxidase by 3% Hydrogen peroxide for 30min; Blocking buffer (normal goat serum,C-0005) at 37℃ for 20 min;
Incubation: Anti-MSRB2 Polyclonal Antibody, Unconjugated(bs-17861R) 1:200, overnight at 4°C, followed by conjugation to the secondary antibody(SP-0023) and DAB(C-0010) staining
风险提示:丁香通仅作为第三方平台,为商家信息发布提供平台空间。用户咨询产品时请注意保护个人信息及财产安全,合理判断,谨慎选购商品,商家和用户对交易行为负责。对于医疗器械类产品,请先查证核实企业经营资质和医疗器械产品注册证情况。
文献和实验[IF={{ 2.639 }}] {Gaolong Zhong. et al. Effects of Long-Term Exposure to Copper on the Keap1/Nrf2 Signaling Pathway and Msr-Related Redox Status in the Kidneys of Rats. 2021 Jan 22} {IF} {Rat}
= NAL), appears to form upon oxidative cyclization of the nonfluorescent 2:1 lysine-HNE Michael adduct-Schiff base cross-link (Scheme 1). Polyclonal antibody (PAb) to the NAL-HNE fluorophore was raised in rabbit and found to be highly specific
GE Healthcare Benzamidine Sepharose™ 6B is p-aminobenzamidine covalently attached to Sepharose 6B by the epoxy coupling method. p-Aminobenzamidine (PAB), is a synthetic inhibitor of trypsin-like serine protease. Trypsin and trypsin
Nucleic Acid Programmable Protein Arrays: Versatile Tools for Array‐Based Functional Protein Studies
.g., Sigma) 50 mg/ml bis‐sulfosuccinimdylsuberate (BS3 ;Pierce, cat. no. PI 21580) in dimethylsulfoxide (DMSO) 5 mg/ml
技术资料暂无技术资料 索取技术资料






