相关产品推荐更多 >

BRN3B Rabbit pAb, PE-Cy5 conjugated(bs-6985R-PE-Cy5)-100ul
¥2980
human CD3 Mouse mAb, Cy7 conjugated(bsm-30092M-Cy7)-25T/50T/100T
¥680
Kv1.1 Rabbit pAb(bs-11730R)-50ul/100ul/200ul
¥1180
GPR125 Rabbit pAb, PerCP-Cy5.5 conjugated(bs-12021R-PerCP-Cy5.5)-100ul
¥2980
IL1RAPL1 Rabbit pAb, PerCP-Cy7 conjugated(bs-0445R-PerCP-Cy7)-100ul
¥2980
万千商家帮你免费找货
0 人在求购买到急需产品
- 详细信息
- 文献和实验
- 技术资料
- 应用范围:
产品信息以Bioss网站为准
- 规格:
50ul/100ul/200ul
| 规格: | 50ul | 产品价格: | ¥1180.0 |
|---|---|---|---|
| 规格: | 100ul | 产品价格: | ¥1980.0 |
| 规格: | 200ul | 产品价格: | ¥2800.0 |
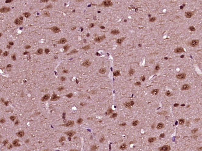
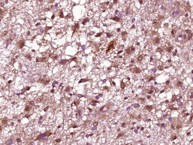
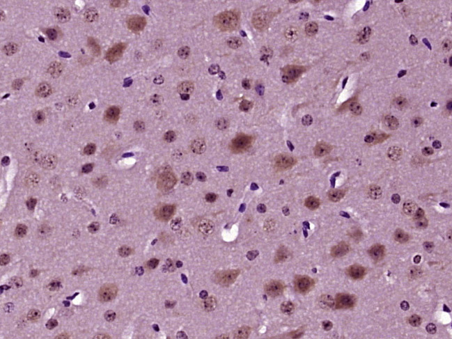
| 产品编号 | bs-19218R |
| 英文名称 | phospho-NEUROD1 (Ser274) Rabbit pAb |
| 中文名称 | 磷酸化神经细胞分化因子1抗体 |
| 英文别名 | NeuroD1(phospho S274); p-NeuroD1(phospho S274); atonal; basic helix loop helix transcription factor; BETA 2; beta cell E box transactivator 2; BETA2; BHF 1; BHF1; bHLHa3; class A basic helix loop helix protein 3; Class A basic helix-loop-helix protein 3; MODY 6; MODY6; NDF1_HUMAN; NEUROD; Neurogenic differentiation 1; Neurogenic differentiation factor 1; neurogenic helix loop helix protein NEUROD; NIDDM. |
| 产品应用 | WB=1:500-2000, IHC-P=1:100-500, IHC-F=1:100-500, IF=1:100-500 Not yet tested in other applications. |
| 交叉反应 | Human, Mouse, Rat (Pig, Cow, Sheep) |
| 抗体来源 | Rabbit |
| 免疫原 | KLH conjugated Synthesised acetylpeptide derived from human NEUROD1 around the acetylation site of Ser274 |
| 亚型 | IgG |
| 性状 | Liquid |
| 纯化方法 | affinity purified by Protein A |
| 克隆类型 | Polyclonal |
| 理论分子量 | 40 kDa |
| 浓度 | 1mg/ml |
| 储存液 | 0.01M TBS (pH7.4) with 1% BSA, 0.02% Proclin300 and 50% Glycerol. |
| 研究领域 | Cardiovascular > Atherosclerosis > Diabetes associated Epigenetics and Nuclear Signaling > Transcription > Domain Families > HLH / Leucine Zipper > HLH Metabolism > Types of disease > Diabetes Metabolism > Types of disease > Heart disease Neuroscience > Cell Type Marker > Neural Stem Cell marker Neuroscience > Neurology process > Metabolism Neuroscience > Neurology process > Neurogenesis |
| 亚基 | Interacts (via helix-loop-helix motif domain) with EP300(via C-terminus) (By similarity). Heterodimer with TCF3/E47; theheterodimer is inhibited in presence of ID2, but not NR0B2, toE-box element. Efficient DNA-binding requires dimerization withanother bHLH protein. Interacts with RREB1. Interacts with EP300;the interaction is inhibited by NR0B2. Interacts with TCF3; theinteraction is inhibited by ID2. |
| 亚细胞定位 | Cytoplasm. Nucleus. |
| 翻译后修饰 | Phosphorylated. In islet cells, phosphorylated on Ser-274 upon glucose stimulation; which may be required for nuclear localization. In activated neurons, phosphorylated on Ser-335; which promotes dendritic growth. |
| 相似性 | Contains 1 basic helix-loop-helix (bHLH) domain. |
| 功能 | Differentiation factor required for dendrite morphogenesis and maintenance in the cerebellar cortex. Transcriptional activator. Binds to the insulin gene E-box. |
| 保存条件 | Shipped at 4℃. Store at -20℃ for one year. Avoid repeated freeze/thaw cycles. |
| 注意事项 | This product as supplied is intended for research use only, not for use in human, therapeutic or diagnostic applications. |
| 背景资料 | This gene encodes a member of the NeuroD family of basic helix-loop-helix (bHLH) transcription factors. The protein forms heterodimers with other bHLH proteins and activates transcription of genes that contain a specific DNA sequence known as the E-box. It regulates expression of the insulin gene, and mutations in this gene result in type II diabetes mellitus. [provided by RefSeq, Jul 2008] |
| 应用 | 推荐稀释比例 |
| {WB} | {1:500-2000} |
| {IHC-P} | {1:100-500} |
| {IHC-F} | {1:100-500} |
| {IF} | {1:100-500} |




Lane 1: Cerebrum (Rat) Lysate at 40 ug
Lane 2: Cerebellum (Mouse) Lysate at 40 ug
Primary: Anti-phospho-NeuroD1 (Ser274) (bs-19218R) at 1/300 dilution
Secondary: IRDye800CW Goat Anti-Rabbit IgG at 1/20000 dilution
Predicted band size: 49 kD
Observed band size: 49 kD
风险提示:丁香通仅作为第三方平台,为商家信息发布提供平台空间。用户咨询产品时请注意保护个人信息及财产安全,合理判断,谨慎选购商品,商家和用户对交易行为负责。对于医疗器械类产品,请先查证核实企业经营资质和医疗器械产品注册证情况。
文献和实验:使用 Anti-phospho-Akt (Ser473) Rabbit mAb 对石蜡包埋的人乳腺癌组织进行免疫组织化学分析。(图 A)使用免疫组化试剂盒M&R HRP/DAB Detection IHC Kit,抗体 1:100 稀释;(图 B) 采用普通免疫组化试剂盒,抗体 1:25 稀释。 图 6 免疫组化实验检测 Erk1/2 表达 注:使用 Anti-Erk1/2 Mouse mAb与p44/42 MAPK (Erk1/2)Rabbit mAb 对正常小鼠心脏组织进行免疫
at 10, 25, and 50 μM). At 24 h post-treatment, celllysates were obtained; SDS-PAGE and Western blotting were performed as described in Section 3, Methods. AR-A014418dose-dependent decreases of phospho-β-catenin (Ser33/37) and phospho-glycogen synthase
(Ser473)(193H12)Rabbit mAb,1:300,稀释,二抗是驴抗兔,1:2000,我是实验室的新手,刚呆俩月,受 此挫折,一头雾水,请过来人或者有经验的同学帮忙解答怎样解决,非常感谢! 碧峤 pAkt有两个位点,Ser473和Thr308,其中Ser473相对容易显色。如果显色失败,可能的原因:1 上样量过少,我们一般都是30μg;2 一抗孵育时间过短,我们一般24h~48h;3 一抗是否工作有待排除 米宝
技术资料暂无技术资料 索取技术资料





