Protein: brain(mouse) lystes at 40ug;
Primary: Anti-ORP1 (bs-17514R) at 1:300;
Secondary: HRP conjugated Goat-Anti-Rabbit IgG(bse-0295G-HRP) at 1: 5000;
ECL excitated the fluorescence;
Predicted band size :108 kD
Observed band size :108 kD
相关产品推荐更多 >

phospho-IFNGR1 (Tyr457) Rabbit pAb(bs-15523R)-50ul/100ul/200ul
¥1180
CLEC2 Rabbit pAb, PerCP-Cy5.5 conjugated(bs-2543R-PerCP-Cy5.5)-100ul
¥2980
ID1 Rabbit pAb, BF750 conjugated(bs-3529R-BF750)-100ul
¥2980
Galectin 3 Rabbit pAb, AP conjugated(bs-0721R-AP)-100ul
¥2980
mouse CD8a Rat mAb, PE-Cy7 conjugated(bsm-30396A-PE-Cy7)-25T/100T/50T
¥1080
万千商家帮你免费找货
0 人在求购买到急需产品
- 详细信息
- 文献和实验
- 技术资料
- 应用范围:
产品信息以Bioss网站为准
- 规格:
50ul/100ul/200ul
| 规格: | 50ul | 产品价格: | ¥1180.0 |
|---|---|---|---|
| 规格: | 100ul | 产品价格: | ¥1980.0 |
| 规格: | 200ul | 产品价格: | ¥2800.0 |
| 产品编号 | bs-17514R |
| 英文名称 | ORP1 Rabbit pAb |
| 中文名称 | 氧固醇结合蛋白样1A抗体 |
| 英文别名 | FLJ10217; ORP 1; ORP-1; ORP1; OSBL1_HUMAN; OSBP 8; OSBP L1; OSBP related protein 1; OSBP-related protein 1; OSBP8; OSBPL 1; OSBPL 1A; OSBPL 1B; OSBPL1; OSBPL1A; OSBPL1B; Oxysterol binding protein like 1A; Oxysterol binding protein like 1B; Oxysterol binding protein related protein 1; Oxysterol-binding protein-related protein 1. |
| 产品应用 | WB=1:500-2000, IHC-P=1:100-500, IHC-F=1:100-500, IF=1:100-500 Not yet tested in other applications. |
| 交叉反应 | Mouse, Rat (Human, Dog, Pig, Cow, Sheep) |
| 抗体来源 | Rabbit |
| 免疫原 | KLH conjugated synthetic peptide derived from human ORP1 |
| 亚型 | IgG |
| 性状 | Liquid |
| 纯化方法 | affinity purified by Protein A |
| 克隆类型 | Polyclonal |
| 理论分子量 | 108 kDa |
| 浓度 | 1mg/ml |
| 储存液 | 0.01M TBS (pH7.4) with 1% BSA, 0.02% Proclin300 and 50% Glycerol. |
| 研究领域 | Signal Transduction > Metabolism > Lipid metabolism |
| 亚基 | Interacts with VAPA (By similarity). Interacts with the GTP-bound form of RAB7A. Interacts with OAS1B (By similarity). |
| 亚细胞定位 | Late endosome. Note=Colocalizes with RAB7A, RAB9A and LAMP1 in late endosomes. |
| 相似性 | Belongs to the OSBP family. Contains 3 ANK repeats. Contains 1 PH domain. |
| 功能 | Binds phospholipids; exhibits strong binding to phosphatidic acid and weak binding to phosphatidylinositol 3-phosphate. |
| 保存条件 | Shipped at 4℃. Store at -20℃ for one year. Avoid repeated freeze/thaw cycles. |
| 注意事项 | This product as supplied is intended for research use only, not for use in human, therapeutic or diagnostic applications. |
| 背景资料 | This gene encodes a member of the oxysterol-binding protein (OSBP) family, a group of intracellular lipid receptors. Most members contain an N-terminal pleckstrin homology domain and a highly conserved C-terminal OSBP-like sterol-binding domain, although some members contain only the sterol-binding domain. Transcript variants derived from alternative promoter usage and/or alternative splicing exist; they encode different isoforms. [provided by RefSeq, Jul 2008] |
| 应用 | 推荐稀释比例 |
| {WB} | {1:500-2000} |
| {IHC-P} | {1:100-500} |
| {IHC-F} | {1:100-500} |
| {IF} | {1:100-500} |


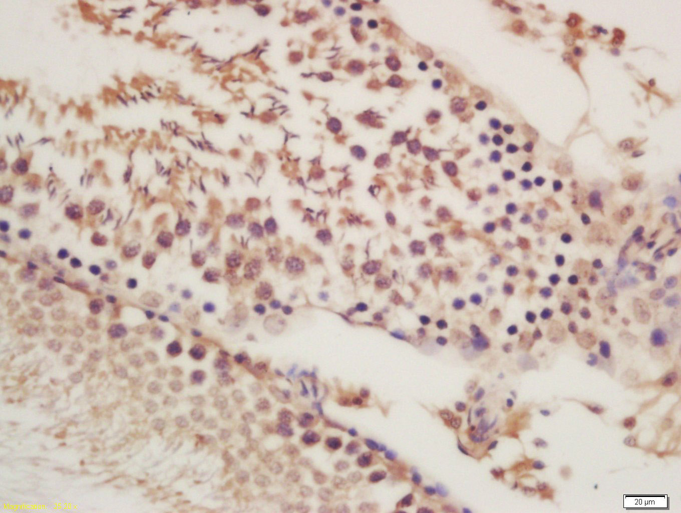
Tissue/cell: Rat testis tissue; 4% Paraformaldehyde-fixed and paraffin-embedded;
Antigen retrieval: citrate buffer ( 0.01M, pH 6.0 ), Boiling bathing for 15min; Block endogenous peroxidase by 3% Hydrogen peroxide for 30min; Blocking buffer (normal goat serum,C-0005) at 37℃ for 20 min;
Incubation: Anti-HAVCR1 Polyclonal Antibody, Unconjugated(bs-17514R) 1:200, overnight at 4°C, followed by conjugation to the secondary antibody(SP-0023) and DAB(C-0010) staining
Antigen retrieval: citrate buffer ( 0.01M, pH 6.0 ), Boiling bathing for 15min; Block endogenous peroxidase by 3% Hydrogen peroxide for 30min; Blocking buffer (normal goat serum,C-0005) at 37℃ for 20 min;
Incubation: Anti-HAVCR1 Polyclonal Antibody, Unconjugated(bs-17514R) 1:200, overnight at 4°C, followed by conjugation to the secondary antibody(SP-0023) and DAB(C-0010) staining

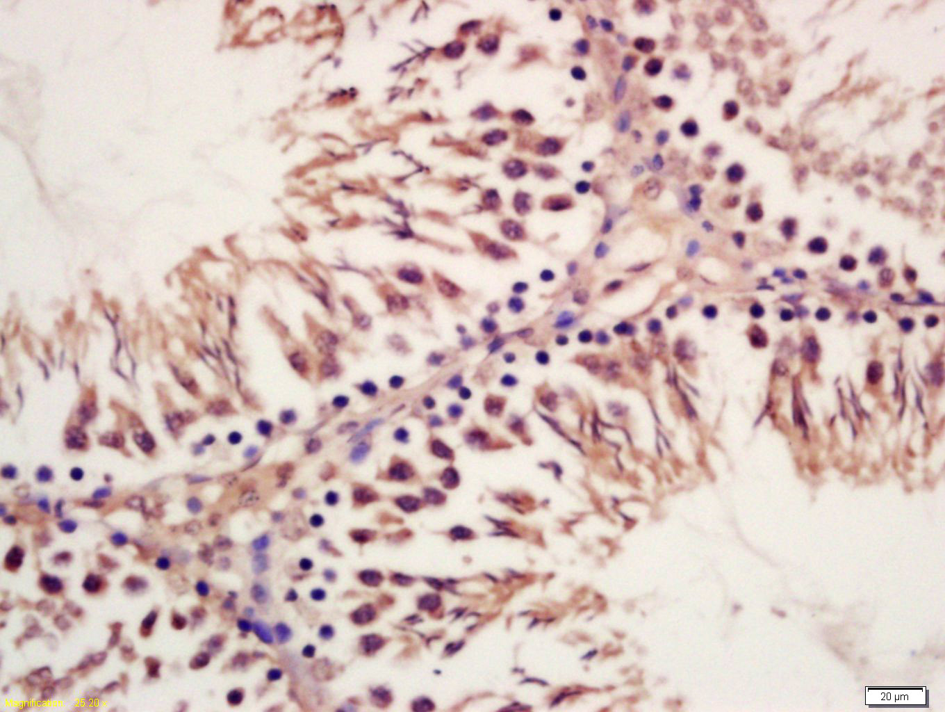
Tissue/cell: rat testis tissue; 4% Paraformaldehyde-fixed and paraffin-embedded;
Antigen retrieval: citrate buffer ( 0.01M, pH 6.0 ), Boiling bathing for 15min; Block endogenous peroxidase by 3% Hydrogen peroxide for 30min; Blocking buffer (normal goat serum,C-0005) at 37℃ for 20 min;
Incubation: Anti-ORP1 Polyclonal Antibody, Unconjugated(bs-17514R) 1:200, overnight at 4°C, followed by conjugation to the secondary antibody(SP-0023) and DAB(C-0010) staining
Antigen retrieval: citrate buffer ( 0.01M, pH 6.0 ), Boiling bathing for 15min; Block endogenous peroxidase by 3% Hydrogen peroxide for 30min; Blocking buffer (normal goat serum,C-0005) at 37℃ for 20 min;
Incubation: Anti-ORP1 Polyclonal Antibody, Unconjugated(bs-17514R) 1:200, overnight at 4°C, followed by conjugation to the secondary antibody(SP-0023) and DAB(C-0010) staining
风险提示:丁香通仅作为第三方平台,为商家信息发布提供平台空间。用户咨询产品时请注意保护个人信息及财产安全,合理判断,谨慎选购商品,商家和用户对交易行为负责。对于医疗器械类产品,请先查证核实企业经营资质和医疗器械产品注册证情况。
文献和实验该产品被引用文献
[IF={{ 4.175 }}] {Li Liang. et al. Identification of key genes involved in tumor immune cell infiltration and cetuximab resistance in colorectal cancer. Cancer Cell Int. 2021 Dec;21(1):1-22} {IHC} {}
技术资料暂无技术资料 索取技术资料
文献支持
ORP1 Rabbit pAb(bs-17514R)-50ul/100ul/200ul
¥1180 - 2800





