相关产品推荐更多 >
万千商家帮你免费找货
0 人在求购买到急需产品
- 详细信息
- 文献和实验
- 技术资料
- 应用范围:
产品信息以Bioss网站为准
- 规格:
50ul/100ul/200ul
| 规格: | 50ul | 产品价格: | ¥1180.0 |
|---|---|---|---|
| 规格: | 100ul | 产品价格: | ¥1980.0 |
| 规格: | 200ul | 产品价格: | ¥2800.0 |
| 产品编号 | bs-18372R |
| 英文名称 | LRRC26 Rabbit pAb |
| 中文名称 | 富含亮氨酸重复蛋白26抗体 |
| 英文别名 | bA350O14.10; CAPC; cytokeratin-associated protein; Cytokeratin-associated protein in cancer; Leucine-rich repeat-containing protein 26; LRC26_HUMAN; Lrrc26. |
| 产品应用 | IHC-P=1:100-500, IHC-F=1:100-500, IF=1:100-500 Not yet tested in other applications. |
| 交叉反应 | Human |
| 抗体来源 | Rabbit |
| 免疫原 | KLH conjugated synthetic peptide derived from human LRRC26 |
| 亚型 | IgG |
| 性状 | Liquid |
| 纯化方法 | affinity purified by Protein A |
| 克隆类型 | Polyclonal |
| 理论分子量 | 32 kDa |
| 浓度 | 1mg/ml |
| 储存液 | 0.01M TBS (pH7.4) with 1% BSA, 0.02% Proclin300 and 50% Glycerol. |
| 亚细胞定位 | Membrane. Cytoplasm; cytoskeleton. Although predicted to be a single-pass type I membrane protein, this protein localizes to the cytoplasm when expressed at high levels. |
| 组织特异性 | Isoform 1 is expressed highly in normal prostate and salivary gland, very weakly in colon, pancreas, and intestine, and not at all in other tissues. Isoform 1 is expressed highly in many cancer cell lines and in breast cancer, pancreatic cancer and colon cancer. Isoform 2 is expressed in cancer cell lines. |
| 相似性 | Contains 5 LRR (leucine-rich) repeats. Contains 1 LRRCT domain. Contains 1 LRRNT domain. |
| 功能 | Auxiliary protein of the large-conductance, voltage and calcium-activated potassium channel (BK alpha). Required for the conversion of BK alpha channels from a high-voltage to a low-voltage activated channel type in non-excitable cells. These are characterized by negative membrane voltages and constant low levels of calcium. |
| 保存条件 | Shipped at 4℃. Store at -20℃ for one year. Avoid repeated freeze/thaw cycles. |
| 注意事项 | This product as supplied is intended for research use only, not for use in human, therapeutic or diagnostic applications. |
| 背景资料 | LRRC26 is a 334 amino acid protein that localizes to the cytoplasm and contains six LRR repeats. Expressed at high levels in normal colon, pancreas, prostate, salivary gland and intestine, LRRC26 is also present in several cancer cell lines, including colon cancer and pancreatic cancer, suggesting an important role in carcinogenesis. |
| 应用 | 推荐稀释比例 |
| {IHC-P} | {1:100-500} |
| {IHC-F} | {1:100-500} |
| {IF} | {1:100-500} |

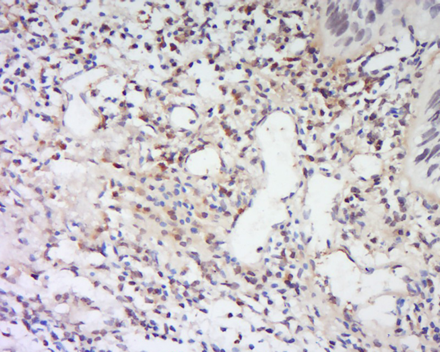
Antigen retrieval: citrate buffer ( 0.01M, pH 6.0 ), Boiling bathing for 15min; Block endogenous peroxidase by 3% Hydrogen peroxide for 30min; Blocking buffer (normal goat serum,C-0005) at 37℃ for 20 min;
Incubation: Anti-LRRC26 Polyclonal Antibody, Unconjugated(bs-18372R) 1:200, overnight at 4°C, followed by conjugation to the secondary antibody(SP-0023) and DAB(C-0010) staining
风险提示:丁香通仅作为第三方平台,为商家信息发布提供平台空间。用户咨询产品时请注意保护个人信息及财产安全,合理判断,谨慎选购商品,商家和用户对交易行为负责。对于医疗器械类产品,请先查证核实企业经营资质和医疗器械产品注册证情况。
文献和实验= NAL), appears to form upon oxidative cyclization of the nonfluorescent 2:1 lysine-HNE Michael adduct-Schiff base cross-link (Scheme 1). Polyclonal antibody (PAb) to the NAL-HNE fluorophore was raised in rabbit and found to be highly specific
GE Healthcare Benzamidine Sepharose™ 6B is p-aminobenzamidine covalently attached to Sepharose 6B by the epoxy coupling method. p-Aminobenzamidine (PAB), is a synthetic inhibitor of trypsin-like serine protease. Trypsin and trypsin
Nucleic Acid Programmable Protein Arrays: Versatile Tools for Array‐Based Functional Protein Studies
.g., Sigma) 50 mg/ml bis‐sulfosuccinimdylsuberate (BS3 ;Pierce, cat. no. PI 21580) in dimethylsulfoxide (DMSO) 5 mg/ml
技术资料暂无技术资料 索取技术资料










