Sample:
Cerebrum (Mouse) Lysate at 40 ug
Muscle (Mouse) Lysate at 40 ug
Liver (Mouse) Lysate at 40 ug
Primary: Anti- ENT2 (bs-10550R) at 1/1000 dilution
Secondary: IRDye800CW Goat Anti-Rabbit IgG at 1/20000 dilution
Predicted band size: 50 kD
Observed band size: 50 kD
相关产品推荐更多 >

ZNF22 Rabbit pAb, HRP conjugated(bs-12803R-HRP)-100ul
¥2980
GOLT1A Rabbit pAb, Biotin conjugated(bs-13491R-Bio)-100ul
¥2980
SERINC3 Rabbit pAb, Biotin conjugated(bs-5942R-Bio)-100ul
¥2980
MPXV/B6R Rabbit pAb(bs-43540R)-50ul/100ul/200ul
¥1180
phospho-Cdc25B (Ser149) Rabbit pAb, HRP conjugated(bs-8445R-HRP)-100ul
¥2980
万千商家帮你免费找货
0 人在求购买到急需产品
- 详细信息
- 技术资料
- 应用范围:
产品信息以Bioss网站为准
- 规格:
50ul/100ul/200ul
| 规格: | 50ul | 产品价格: | ¥1180.0 |
|---|---|---|---|
| 规格: | 100ul | 产品价格: | ¥1980.0 |
| 规格: | 200ul | 产品价格: | ¥2800.0 |
| 产品编号 | bs-10550R |
| 英文名称 | ENT2 Rabbit pAb |
| 中文名称 | 核苷转运蛋白ENT2抗体 |
| 英文别名 | DER12; Equilibrative NBMPR-insensitive nucleoside transporter; Equilibrative nitrobenzylmercaptopurine riboside-insensitive nucleoside transporter; Equilibrative nucleoside transporter 2; HNP36; Hydrophobic nucleolar protein, 36 kDa; SLC29A2; solute carrier family 29(nucleoside transporters), member 29; Solute carrier family 29 member 2; S29A2_HUMAN. |
| 产品应用 | WB=1:500-2000, IHC-P=1:100-500, IHC-F=1:100-500, IF=1:100-500 Not yet tested in other applications. |
| 交叉反应 | Mouse, Rat (Human) |
| 抗体来源 | Rabbit |
| 免疫原 | KLH conjugated synthetic peptide derived from human ENT2 |
| 亚型 | IgG |
| 性状 | Liquid |
| 纯化方法 | affinity purified by Protein A |
| 克隆类型 | Polyclonal |
| 理论分子量 | 50 kDa |
| 浓度 | 1mg/ml |
| 储存液 | 0.01M TBS (pH7.4) with 1% BSA, 0.02% Proclin300 and 50% Glycerol. |
| 研究领域 | Signal Transduction > Protein Trafficking > Nuclear Import / Export |
| 亚细胞定位 | Basolateral cell membrane; Multi-pass membrane protein. Nucleus membrane; Multi-pass membrane protein. Note=Localized at the basolateral cell membrane in polarized MDCK cells. |
| 组织特异性 | Expressed in skeletal muscle, liver, lung, placenta, brain, heart, kidney and ovarian tissues. |
| 相似性 | Belongs to the SLC29A/ENT transporter (TC 2.A.57) family. |
| 功能 | ENT2 mediates equilibrative transport of purine, pyrimidine nucleosides and the purine base hypoxanthine. It is less sensitive than ENT1 to inhibition by nitrobenzylthioinosine (NBMPR), dipyridamole, dilazep and draflazine. |
| 保存条件 | Shipped at 4℃. Store at -20℃ for one year. Avoid repeated freeze/thaw cycles. |
| 注意事项 | This product as supplied is intended for research use only, not for use in human, therapeutic or diagnostic applications. |
| 背景资料 | The uptake of nucleosides by transporters, such as SLC29A2, is essential for nucleotide synthesis by salvage pathways in cells that lack de novo biosynthetic pathways. Nucleoside transport also plays a key role in the regulation of many physiologic processes through its effect on adenosine concentration at the cell surface (Griffiths et al., 1997 [PubMed 9396714]).[supplied by OMIM, Nov 2008] |
| 应用 | 推荐稀释比例 |
| {WB} | {1:500-2000} |
| {IHC-P} | {1:100-500} |
| {IHC-F} | {1:100-500} |
| {IF} | {1:100-500} |


Protein: brain(mouse) lysate at 40ug;
Primary: rabbit Anti-ENT2 (bs-10550R) at 1:300;
Secondary: HRP conjugated Goat-Anti-rabbit IgG(bs-0295G-HRP) at 1: 5000;
Predicted band size: 50 kD
Observed band size: 55 kD
Primary: rabbit Anti-ENT2 (bs-10550R) at 1:300;
Secondary: HRP conjugated Goat-Anti-rabbit IgG(bs-0295G-HRP) at 1: 5000;
Predicted band size: 50 kD
Observed band size: 55 kD

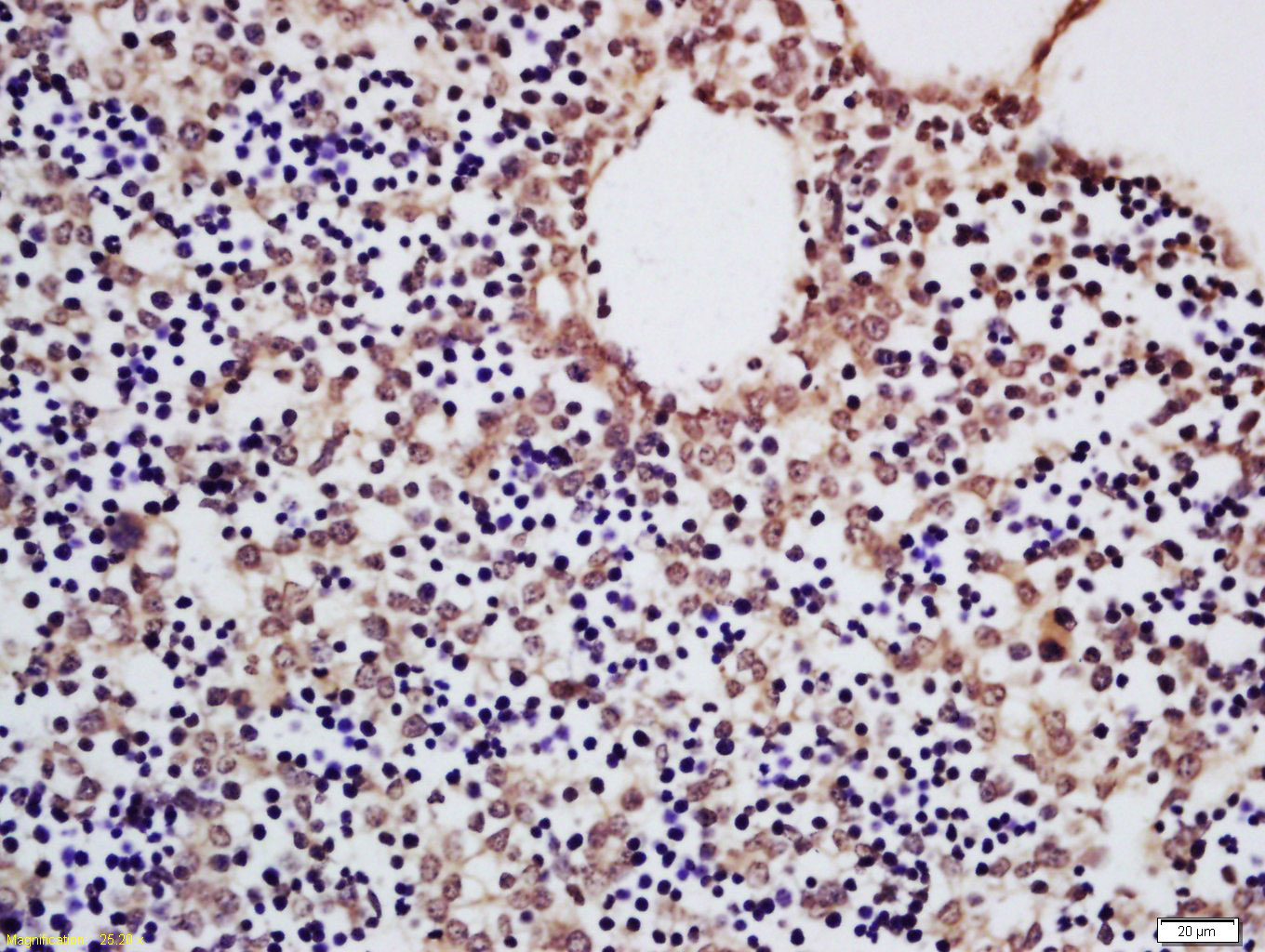
Tissue/cell: rat brain tissue; 4% Paraformaldehyde-fixed and paraffin-embedded;
Antigen retrieval: citrate buffer ( 0.01M, pH 6.0 ), Boiling bathing for 15min; Block endogenous peroxidase by 3% Hydrogen peroxide for 30min; Blocking buffer (normal goat serum,C-0005) at 37℃ for 20 min;
Incubation: Anti-ENT2 Polyclonal Antibody, Unconjugated(bs-10550R) 1:200, overnight at 4°C, followed by conjugation to the secondary antibody(SP-0023) and DAB(C-0010) staining
Antigen retrieval: citrate buffer ( 0.01M, pH 6.0 ), Boiling bathing for 15min; Block endogenous peroxidase by 3% Hydrogen peroxide for 30min; Blocking buffer (normal goat serum,C-0005) at 37℃ for 20 min;
Incubation: Anti-ENT2 Polyclonal Antibody, Unconjugated(bs-10550R) 1:200, overnight at 4°C, followed by conjugation to the secondary antibody(SP-0023) and DAB(C-0010) staining

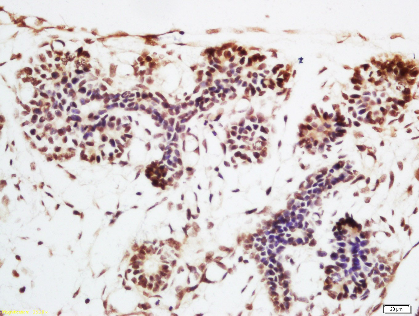
Tissue/cell: rat brain tissue; 4% Paraformaldehyde-fixed and paraffin-embedded;
Antigen retrieval: citrate buffer ( 0.01M, pH 6.0 ), Boiling bathing for 15min; Block endogenous peroxidase by 3% Hydrogen peroxide for 30min; Blocking buffer (normal goat serum,C-0005) at 37℃ for 20 min;
Incubation: Anti-ENT2 Polyclonal Antibody, Unconjugated(bs-10550R) 1:200, overnight at 4°C, followed by conjugation to the secondary antibody(SP-0023) and DAB(C-0010) staining
Antigen retrieval: citrate buffer ( 0.01M, pH 6.0 ), Boiling bathing for 15min; Block endogenous peroxidase by 3% Hydrogen peroxide for 30min; Blocking buffer (normal goat serum,C-0005) at 37℃ for 20 min;
Incubation: Anti-ENT2 Polyclonal Antibody, Unconjugated(bs-10550R) 1:200, overnight at 4°C, followed by conjugation to the secondary antibody(SP-0023) and DAB(C-0010) staining
风险提示:丁香通仅作为第三方平台,为商家信息发布提供平台空间。用户咨询产品时请注意保护个人信息及财产安全,合理判断,谨慎选购商品,商家和用户对交易行为负责。对于医疗器械类产品,请先查证核实企业经营资质和医疗器械产品注册证情况。
技术资料暂无技术资料 索取技术资料
ENT2 Rabbit pAb(bs-10550R)-50ul/100ul/200ul
¥1180 - 2800





