相关产品推荐更多 >

Protein A Rabbit pAb, Biotin conjugated(bs-0362R-Bio)-100ul
¥2980
CD146 Mouse mAb, FITC conjugated(bsm-30106M-FITC)-25T/50T/100T
¥1080
phospho-HSP70 (Tyr41) Rabbit pAb, Cy3 conjugated(bs-10451R-Cy3)-100ul
¥2980
IRF1 Rabbit pAb, PerCP-Cy5.5 conjugated(bs-1404R-PerCP-Cy5.5)-100ul
¥2980
phospho-STAT3 (Tyr705) Recombinant Rabbit mAb(bsm-52211R)-50ul/100ul/25ul
¥800
万千商家帮你免费找货
0 人在求购买到急需产品
- 详细信息
- 文献和实验
- 技术资料
- 应用范围:
产品信息以Bioss网站为准
- 规格:
50ul/100ul/200ul
| 规格: | 50ul | 产品价格: | ¥1180.0 |
|---|---|---|---|
| 规格: | 100ul | 产品价格: | ¥1980.0 |
| 规格: | 200ul | 产品价格: | ¥2800.0 |
| 产品编号 | bs-1202R |
| 英文名称 | TRADD Rabbit pAb |
| 中文名称 | 肿瘤坏死因子受体1相关死亡域蛋白抗体 |
| 英文别名 | TNFR1 associated DEATH domain protein; TNFR1-associated DEATH domain protein; TNFRSF1A associated via death domain; TNFRSF1A-associated via death domain; tradd; TRADD_HUMAN; Tumor necrosis factor receptor type 1 associated DEATH domain protein; Tumor necrosis factor receptor type 1-associated DEATH domain protein. |
| 产品应用 | WB=1:500-2000, IHC-P=1:100-500, IHC-F=1:100-500, IF=1:100-500 Not yet tested in other applications. |
| 交叉反应 | Human, Mouse, Rat (Rabbit) |
| 抗体来源 | Rabbit |
| 免疫原 | KLH conjugated synthetic peptide derived from the middle of mouse TRADD |
| 亚型 | IgG |
| 性状 | Liquid |
| 纯化方法 | affinity purified by Protein A |
| 克隆类型 | Polyclonal |
| 理论分子量 | 34 kDa |
| 浓度 | 1mg/ml |
| 储存液 | 0.01M TBS (pH7.4) with 1% BSA, 0.02% Proclin300 and 50% Glycerol. |
| 研究领域 | Cancer > Cell Death > Apoptosis > Receptors > Death receptors & ligands > TRADD Cancer > Invasion/microenvironment > Apoptosis > Death receptors & ligands > TRADD Cardiovascular > Atherosclerosis > Vascular Inflammation > Inflammatory mediators Cell Biology > Apoptosis > Extracellular Signals > Death Ligands Cell Biology > Apoptosis > Receptors > Death Receptors |
| 亚基 | Interacts with TRIP12. Heterodimer with TNFRSF1A/TNFR1. Interacts with DAB2IP, FADD, HIPK2, KRT14, KRT16, KRT17, KRT18, RIPK1, SQSTM1, TRAF1, TRAF2 and TRPC4AP. |
| 亚细胞定位 | Cytoplasm > cytoskeleton. |
| 组织特异性 | Found in all examined tissues. |
| 相似性 | Contains 1 death domain. |
| 功能 | Adapter molecule for TNFRSF1A/TNFR1 that specifically associates with the cytoplasmic domain of activated TNFRSF1A/TNFR1 mediating its interaction with FADD. Overexpression of TRADD leads to two major TNF-induced responses, apoptosis and activation of NF-kappa-B. |
| 保存条件 | Shipped at 4℃. Store at -20℃ for one year. Avoid repeated freeze/thaw cycles. |
| 注意事项 | This product as supplied is intended for research use only, not for use in human, therapeutic or diagnostic applications. |
| 背景资料 | TNFR1 associated DEATH domain protein; TNFR1-associated DEATH domain protein; TNFRSF1A associated via death domain; TNFRSF1A-associated via death domain; tradd; TRADD_HUMAN; Tumor necrosis factor receptor type 1 associated DEATH domain protein; Tumor necrosis factor receptor type 1-associated DEATH domain protein. |
| 应用 | 推荐稀释比例 |
| {WB} | {1:500-2000} |
| {IHC-P} | {1:100-500} |
| {IHC-F} | {1:100-500} |
| {IF} | {1:100-500} |

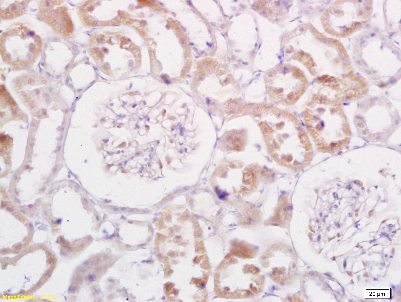
Antigen retrieval: citrate buffer ( 0.01M, pH 6.0 ), Boiling bathing for 15min; Block endogenous peroxidase by 3% Hydrogen peroxide for 30min; Blocking buffer (normal goat serum,C-0005) at 37℃ for 20 min;
Incubation: Anti-TRADD Polyclonal Antibody, Unconjugated(bs-1202R) 1:200, overnight at 4°C, followed by conjugation to the secondary antibody(SP-0023) and DAB(C-0010) staining

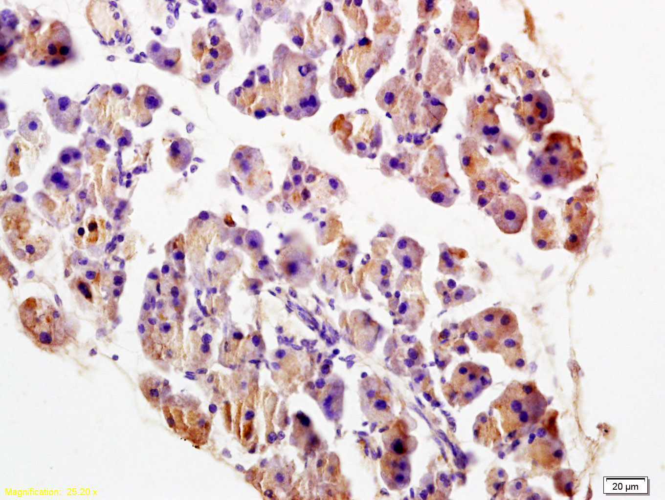
Antigen retrieval: citrate buffer ( 0.01M, pH 6.0 ), Boiling bathing for 15min; Block endogenous peroxidase by 3% Hydrogen peroxide for 30min; Blocking buffer (normal goat serum,C-0005) at 37℃ for 20 min;
Incubation: Anti-TRADD Polyclonal Antibody, Unconjugated(bs-1202R) 1:200, overnight at 4°C, followed by conjugation to the secondary antibody(SP-0023) and DAB(C-0010) staining

Lane1: Colon carcinoma (Human)Lysate at 30 ug
Lane2:Brain(Mouse) Lysate at 30 ug
Primary: Anti-TRADD (bs-1202R) at 1:200 dilution;
Secondary: HRP conjugated Goat Anti-Rabbit IgG(bs-0295G-HRP) at 1: 3000 dilution;
Predicted band size : 35kD
Observed band size : 34kD

Jurkat(Human) Cell Lysate at 30 ug
MCF-7(Human) Cell Lysate at 30 ug
Primary: Anti- TRADD (bs-1202R) at 1/1000 dilution
Secondary: IRDye800CW Goat Anti-Rabbit IgG at 1/20000 dilution
Predicted band size: 34 kD
Observed band size: 34 kD

Cerebrum (Mouse) Lysate at 40 ug
Primary: Anti- TRADD (bs-1202R) at 1/1000 dilution
Secondary: IRDye800CW Goat Anti-Rabbit IgG at 1/20000 dilution
Predicted band size: 34 kD
Observed band size: 34 kD
风险提示:丁香通仅作为第三方平台,为商家信息发布提供平台空间。用户咨询产品时请注意保护个人信息及财产安全,合理判断,谨慎选购商品,商家和用户对交易行为负责。对于医疗器械类产品,请先查证核实企业经营资质和医疗器械产品注册证情况。
文献和实验[IF={{ 2.37 }}] {Chen, Zhiqiang, et al. "Hydrogen sulfide protects against TNF-α induced neuronal cell apoptosis through miR-485-5p/TRADD signaling." Biochemical and Biophysical Research Communications (2016).} {WB} {="Human"}
= NAL), appears to form upon oxidative cyclization of the nonfluorescent 2:1 lysine-HNE Michael adduct-Schiff base cross-link (Scheme 1). Polyclonal antibody (PAb) to the NAL-HNE fluorophore was raised in rabbit and found to be highly specific
, inhibitor of NFκ B; IRAK, IL-1R-associated kinase; LTA, lipoteichoic acid; NIK, NFκ B-inducing kinase; PGN, peptidoglycan; RIP, receptor-interacting protein; TNF, tumour necrosis factor; TNFR, TNF receptor; TRADD, TNFR1-associated protein with death domain
GE Healthcare Benzamidine Sepharose™ 6B is p-aminobenzamidine covalently attached to Sepharose 6B by the epoxy coupling method. p-Aminobenzamidine (PAB), is a synthetic inhibitor of trypsin-like serine protease. Trypsin and trypsin
技术资料暂无技术资料 索取技术资料






