相关产品推荐更多 >

BCL2L1 Rabbit pAb, BF750 conjugated(bs-1336R-BF750)-100ul
¥2980
OTOP1 Rabbit pAb(bs-17534R)-50ul/100ul/200ul
¥1180
LONP1 Rabbit pAb, HRP conjugated(bs-4245R-HRP)-100ul
¥2980
Mast cell tryptase Recombinant Mouse mAb(bsm-55525M)-50ul/100ul/25ul
¥800
DYNC1I1 Rabbit pAb, BF488 conjugated(bs-10470R-BF488)-100ul
¥2980
万千商家帮你免费找货
0 人在求购买到急需产品
- 详细信息
- 文献和实验
- 技术资料
- 应用范围:
产品信息以Bioss网站为准
- 规格:
50ul/100ul/200ul
| 规格: | 50ul | 产品价格: | ¥1180.0 |
|---|---|---|---|
| 规格: | 100ul | 产品价格: | ¥1980.0 |
| 规格: | 200ul | 产品价格: | ¥2800.0 |
| 产品编号 | bs-14304R |
| 英文名称 | DBR1 Rabbit pAb |
| 中文名称 | 脱支酶同源蛋白DBR1抗体 |
| 英文别名 | DBR1; DBR1_HUMAN; Debranching enzyme homolog 1(S. cerevisiae); Lariat debranching enzyme; RNA lariat debranching enzyme. |
| 产品应用 | IHC-P=1:100-500, IHC-F=1:100-500, IF=1:100-500 Not yet tested in other applications. |
| 交叉反应 | Mouse (Human, Rat, Dog, Cow, Sheep) |
| 抗体来源 | Rabbit |
| 免疫原 | KLH conjugated synthetic peptide derived from human DBR1 |
| 亚型 | IgG |
| 性状 | Liquid |
| 纯化方法 | affinity purified by Protein A |
| 克隆类型 | Polyclonal |
| 理论分子量 | 62 kDa |
| 浓度 | 1mg/ml |
| 储存液 | 0.01M TBS (pH7.4) with 1% BSA, 0.02% Proclin300 and 50% Glycerol. |
| 研究领域 | Epigenetics and Nuclear Signaling > DNA / RNA > RNA Processing |
| 亚细胞定位 | Nucleus. |
| 相似性 | Belongs to the lariat debranching enzyme family. |
| 功能 | Cleaves the 2'-5' phosphodiester linkage at the branch point of lariat intron pre-mRNAs after splicing and converts them into linear molecules that are subsequently degraded. It thereby facilitates ribonucleotide turnover. It may also participate in retrovirus replication via a RNA lariat intermediate in cDNA synthesis. |
| 保存条件 | Shipped at 4℃. Store at -20℃ for one year. Avoid repeated freeze/thaw cycles. |
| 注意事项 | This product as supplied is intended for research use only, not for use in human, therapeutic or diagnostic applications. |
| 背景资料 | The protein encoded by this gene is an RNA lariat debranching enzyme that hydrolyzes 2'-5' prime branched phosphodiester bonds. The encoded protein specifically targets the bonds at the branch point of excised lariat intron RNA, converting them to linear molecules that are then degraded. This protein may also be involved in retroviral replication. [provided by RefSeq, Nov 2011] |
| 应用 | 推荐稀释比例 |
| {IHC-P} | {1:100-500} |
| {IHC-F} | {1:100-500} |
| {IF} | {1:100-500} |

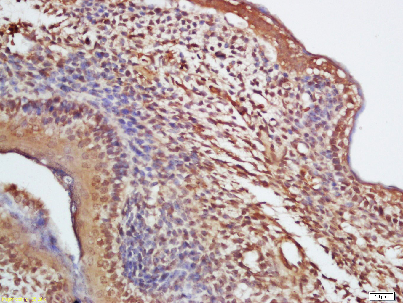
Antigen retrieval: citrate buffer ( 0.01M, pH 6.0 ), Boiling bathing for 15min; Block endogenous peroxidase by 3% Hydrogen peroxide for 30min; Blocking buffer (normal goat serum,C-0005) at 37℃ for 20 min;
Incubation: Anti-DBR1 Polyclonal Antibody, Unconjugated(bs-14304R) 1:200, overnight at 4°C, followed by conjugation to the secondary antibody(SP-0023) and DAB(C-0010) staining
风险提示:丁香通仅作为第三方平台,为商家信息发布提供平台空间。用户咨询产品时请注意保护个人信息及财产安全,合理判断,谨慎选购商品,商家和用户对交易行为负责。对于医疗器械类产品,请先查证核实企业经营资质和医疗器械产品注册证情况。
文献和实验= NAL), appears to form upon oxidative cyclization of the nonfluorescent 2:1 lysine-HNE Michael adduct-Schiff base cross-link (Scheme 1). Polyclonal antibody (PAb) to the NAL-HNE fluorophore was raised in rabbit and found to be highly specific
GE Healthcare Benzamidine Sepharose™ 6B is p-aminobenzamidine covalently attached to Sepharose 6B by the epoxy coupling method. p-Aminobenzamidine (PAB), is a synthetic inhibitor of trypsin-like serine protease. Trypsin and trypsin
Nucleic Acid Programmable Protein Arrays: Versatile Tools for Array‐Based Functional Protein Studies
.g., Sigma) 50 mg/ml bis‐sulfosuccinimdylsuberate (BS3 ;Pierce, cat. no. PI 21580) in dimethylsulfoxide (DMSO) 5 mg/ml
技术资料暂无技术资料 索取技术资料






