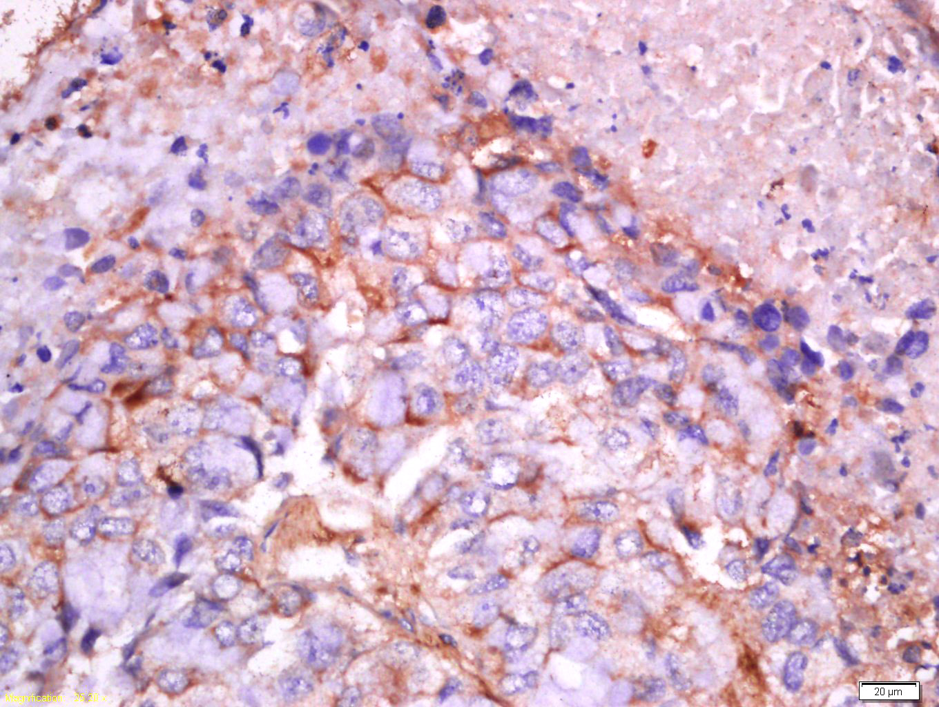
Tissue/cell: human lung carcinoma; 4% Paraformaldehyde-fixed and paraffin-embedded;
Antigen retrieval: citrate buffer ( 0.01M, pH 6.0 ), Boiling bathing for 15min; Block endogenous peroxidase by 3% Hydrogen peroxide for 30min; Blocking buffer (normal goat serum,C-0005) at 37℃ for 20 min;
Incubation: Anti-EPHB1 Polyclonal Antibody, Unconjugated(bs-10781R) 1:200, overnight at 4°C, followed by conjugation to the secondary antibody(SP-0023) and DAB(C-0010) staining
相关产品推荐更多 >

HMGB1 Rabbit pAb, BF680 conjugated(bs-0664R-BF680)-100ul
¥2980
INT11/CPSF3L Rabbit pAb(bs-16677R)-50ul/100ul/200ul
¥1180
phospho-Smad2/Smad3 (Thr8) Rabbit pAb, PerCP-Cy5.5 conjugated(bs-8853R-PerCP-Cy5.5)-100ul
¥2980
FITM1 Rabbit pAb, Biotin conjugated(bs-16090R-Bio)-100ul
¥2980
CEAcam8 Rabbit pAb, Biotin conjugated(bs-0744R-Bio)-100ul
¥2980
万千商家帮你免费找货
0 人在求购买到急需产品
- 详细信息
- 技术资料
- 应用范围:
产品信息以Bioss网站为准
- 规格:
50ul/100ul/200ul
| 规格: | 50ul | 产品价格: | ¥1180.0 |
|---|---|---|---|
| 规格: | 100ul | 产品价格: | ¥1980.0 |
| 规格: | 200ul | 产品价格: | ¥2800.0 |
| 产品编号 | bs-10781R |
| 英文名称 | phospho-EphB1+EphB2 (Tyr594) Rabbit pAb |
| 中文名称 | 磷酸化酪氨酸蛋白激酶受体B1+B2抗体 |
| 英文别名 | Eph receptor B1+Eph receptor B2(phospho Y594); p-Eph receptor B1+Eph receptor B2(phospho Y594); Eph receptor B1+Eph receptor B2; EPH B1; EPH B2; Eph tyrosine kinase 2; Eph tyrosine kinase 3; EPHB1; EPHB2; Ephrin receptor EphB1; Ephrin receptor EphB2; Ephrin type B receptor 1; Ephrin type B receptor 2; EPHT 2; EPHT 3; ERK; Hek 5; Hek 6; Tyrosine protein kinase receptor EPH2; Tyrosine protein kinase receptor EPH3. |
| 产品应用 | IHC-P=1:100-500, IHC-F=1:100-500, IF=1:100-500 Not yet tested in other applications. |
| 交叉反应 | Human (Mouse, Rat) |
| 抗体来源 | Rabbit |
| 免疫原 | KLH conjugated synthesised phosphopeptide derived from human EphB1+EphB2 around the phosphorylation site of Tyr594 |
| 亚型 | IgG |
| 性状 | Liquid |
| 纯化方法 | affinity purified by Protein A |
| 克隆类型 | Polyclonal |
| 理论分子量 | 110 kDa |
| 浓度 | 1mg/ml |
| 储存液 | 0.01M TBS (pH7.4) with 1% BSA, 0.02% Proclin300 and 50% Glycerol. |
| 研究领域 | Cardiovascular > Angiogenesis > Ephrins > Eph Receptors Neuroscience > Cell Type Marker > Neuron marker > Growth Cone Neuroscience > Neurology process > Growth and Development > Axonal Guidance Proteins Neuroscience > Neurotransmission > Intracellular Signaling > Kinases Neuroscience > Neurotransmission > Receptors / Channels > Tyrosine Kinase Receptors Signal Transduction > Protein Phosphorylation > Tyrosine Kinases > Receptor Tyrosine Kinases |
| 亚基 | Heterotetramer upon binding of the ligand. The heterotetramer is composed of an ephrin dimer and a receptor dimer. Oligomerization is probably required to induce biological responses. Interacts with EPHB6; transphosphorylates EPHB6 to form an active signaling complex. Interacts with PICK1. Interacts (through Tyr-594) with NCK1 (via SH2 domain); activates the JUN cascade to regulate cell adhesion. The ligand-activated form interacts (through Tyr-928) with GRB7 and GRB10 (via SH2 domains). The ligand-activated form interacts (residues within the catalytic domain) with GRB2 (via SH2 domain). Interacts with GRB2, SHC1 and SRC; activates the MAPK/ERK cascade to regulate cell migration. Interacts with CBL; regulates receptor degradation through ubiquitination. Interacts with ACP1. |
| 亚细胞定位 | Cell membrane; Single-pass type I membrane protein. Early endosome membrane. Cell projection, dendrite. |
| 组织特异性 | Preferentially expressed in brain. |
| 翻译后修饰 | Phosphorylated. Autophosphorylation is stimulated by the ligand EFNB1. Required for interaction with SH2 domain-containing interactors, for activation of the MAPK/ERK and JUN signaling cascades and for ubiquitination by CBL. Ubiquitinated; (EFNB1)ligand-induced poly- and/or multi-ubiquitination by CBL is regulated by SRC and leads to lysosomal degradation. |
| 相似性 | Belongs to the protein kinase superfamily. Tyr protein kinase family. Ephrin receptor subfamily.
Contains 1 Eph LBD (Eph ligand-binding) domain. Contains 2 fibronectin type-III domains. Contains 1 protein kinase domain. Contains 1 SAM (sterile alpha motif) domain. |
| 功能 | Receptor tyrosine kinase which binds promiscuously transmembrane ephrin-B family ligands residing on adjacent cells, leading to contact-dependent bidirectional signaling into neiGHBoring cells. The signaling pathway downstream of the receptor is referred to as forward signaling while the signaling pathway downstream of the ephrin ligand is referred to as reverse signaling. Cognate/functional ephrin ligands for this receptor include EFNB1, EFNB2 and EFNB3. During nervous system development, regulates retinal axon guidance redirecting ipsilaterally ventrotemporal retinal ganglion cells axons at the optic chiasm midline. This probably requires repulsive interaction with EFNB2. In the adult nervous system together with EFNB3, regulates chemotaxis, proliferation and polarity of the hippocampus neural progenitors. Beside its role in axon guidance plays also an important redundant role with other ephrin-B receptors in development and maturation of dendritic spines and synapse formation. May also regulate angiogenesis. More generally, may play a role in targeted cell migration and adhesion. Upon activation by EFNB1 and probably other ephrin-B ligands activates the MAPK/ERK and the JNK signaling cascades to regulate cell migration and adhesion respectively. |
| 保存条件 | Shipped at 4℃. Store at -20℃ for one year. Avoid repeated freeze/thaw cycles. |
| 注意事项 | This product as supplied is intended for research use only, not for use in human, therapeutic or diagnostic applications. |
| 背景资料 | Ephrin receptors bind members of the ephrin ligand family. They are divided into 2 groups based on the similarity of their extracellular domain sequences and their affinities for binding ephrin-A and ephrin-B ligands. They make up the largest subgroup of the receptor tyrosine kinase (RTK) family. Eph receptor B1 (EphB1) and Eph receptor B2 (EphB2) are receptors for ephrin-B family members. Developing and adult neural tissue express nearly all of the Ephrin receptors and ephrin ligands. Ephrins and ephrin receptors also play a significant role in angiogenesis. EphB2 acts as a tumor suppressor. |
| 应用 | 推荐稀释比例 |
| {IHC-P} | {1:100-500} |
| {IHC-F} | {1:100-500} |
| {IF} | {1:100-500} |

风险提示:丁香通仅作为第三方平台,为商家信息发布提供平台空间。用户咨询产品时请注意保护个人信息及财产安全,合理判断,谨慎选购商品,商家和用户对交易行为负责。对于医疗器械类产品,请先查证核实企业经营资质和医疗器械产品注册证情况。
技术资料暂无技术资料 索取技术资料
phospho-EphB1+EphB2 (Tyr594) Rabbit pAb(bs-10781R)-50ul/100ul/200ul
¥1180 - 2800






