相关产品推荐更多 >

beta I Tubulin Mouse mAb, APC-Cy5.5 conjugated(bsm-33041M-APC-Cy5.5)-100ul
¥2980
human CD8 Mouse mAb, PerCP-Cy5.5 conjugated(bsm-30094M-PerCP-Cy5.5)-25T/50T/100T
¥1080
phospho-eIF4EBP1(Thr70) Rabbit pAb, HRP conjugated(bs-14550R-HRP)-100ul
¥2980
EphB2 Rabbit pAb, PerCP-Cy7 conjugated(bs-0996R-PerCP-Cy7)-100ul
¥2980
Protein A Rabbit pAb(bs-0362R)-50ul/100ul/200ul
¥1180
万千商家帮你免费找货
0 人在求购买到急需产品
- 详细信息
- 文献和实验
- 技术资料
- 应用范围:
产品信息以Bioss网站为准
- 规格:
50ul/100ul/200ul
| 规格: | 50ul | 产品价格: | ¥1180.0 |
|---|---|---|---|
| 规格: | 100ul | 产品价格: | ¥1980.0 |
| 规格: | 200ul | 产品价格: | ¥2800.0 |
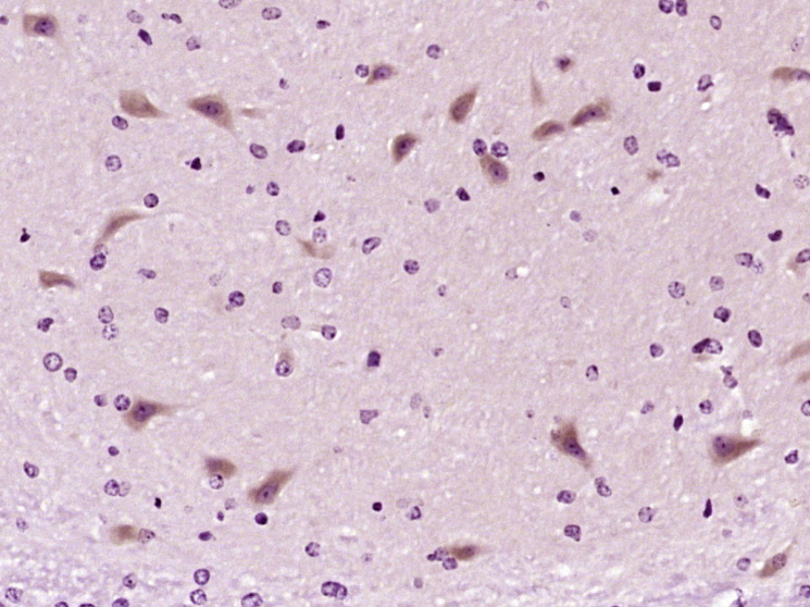
| 产品编号 | bs-8877R |
| 英文名称 | Somatostatin 28 Rabbit pAb |
| 中文名称 | 生长抑素抗体 |
| 英文别名 | Growth hormone release inhibiting factor; SMS_HUMAN; SMST; SST; Somatostatin 28; Somatostatin28; Somatostatin-28; Somatostatin-28; somatostatin SS28. |
| 产品应用 | IHC-P=1:100-500, IHC-F=1:100-500, IF=1:200-800 Not yet tested in other applications. |
| 交叉反应 | Mouse, Rat (Human, Dog, Pig, Cow, Horse, Rabbit) |
| 抗体来源 | Rabbit |
| 免疫原 | KLH conjugated synthetic peptide derived from human Somatostatin 28 |
| 亚型 | IgG |
| 性状 | Liquid |
| 纯化方法 | affinity purified by Protein A |
| 克隆类型 | Polyclonal |
| 理论分子量 | 13 kDa |
| 浓度 | 1mg/ml |
| 储存液 | 0.01M TBS (pH7.4) with 1% BSA, 0.02% Proclin300 and 50% Glycerol. |
| 研究领域 | Developmental Biology > Lineage specification > Endoderm Neuroscience > Neurology process > Neuroendocrinology > GH Regulation Neuroscience > Neurotransmitter > Neuropeptides > Hormones Stem Cells > Lineage Markers > Endoderm |
| 亚细胞定位 | Secreted. |
| 相似性 | Belongs to the somatostatin family. |
| 功能 | The cyclic tetradecapeptide somatostatin is widely distributed throughout the body and is an important regulator of endocrine and nervous system function. It exerts its biologic actions by binding to specific high affinity receptors on the cell surface. Somatostatin inhibits the release of somatotropin. Somatostatin has also been shown in sympathetic nerves, mucosal cells, myenteric nerves of the gastrointestinal tract, salivary glands and in some parafollicular cells of the thyroid. Somatostatin positive cells may also be present in medullary thyroid carcinomas, C cell hyperplasia, thymic and lung tumors and pulmonary small cell carcinomas. |
| 保存条件 | Shipped at 4℃. Store at -20℃ for one year. Avoid repeated freeze/thaw cycles. |
| 注意事项 | This product as supplied is intended for research use only, not for use in human, therapeutic or diagnostic applications. |
| 背景资料 | Somatostatin is a regulatory hormone that is expressed throughout the body and inhibits the release of numerous secondary hormones by binding to high-affinity G protein-coupled somatostatin receptors. This cyclic tetradecapeptide inhibits the secretion of many important hormones, including somatotropin (also designated growth hormone, or GH), insulin and glucagon. Somatostatin is found in both the hypothalamus and pancreas. Somatostatin is thought to be involved in the regulation of insulin synthesis. The hormone somatostatin has active 14 amino acid and 28 amino acid forms that are produced by alternate cleavage of the single preproprotein encoded by this gene. In the cerebellum, Somatostatin-14 and Somatostatin-28 are highly expressed at birth and in the adult stage, respectively. Somatostatin affects rates of neurotransmission in the central nervous system and proliferation of both normal and tumorigenic cells. The gene encoding Somatostatin maps to human chromosome 3q28. |
| 应用 | 推荐稀释比例 |
| {IHC-P} | {1:100-500} |
| {IHC-F} | {1:100-500} |
| {IF} | {1:200-800} |



风险提示:丁香通仅作为第三方平台,为商家信息发布提供平台空间。用户咨询产品时请注意保护个人信息及财产安全,合理判断,谨慎选购商品,商家和用户对交易行为负责。对于医疗器械类产品,请先查证核实企业经营资质和医疗器械产品注册证情况。
文献和实验[IF={{ 6.709 }}] {Erika L Galer. et al. Cervical epidural electrical stimulation increases respiratory activity through somatostatin-expressing neurons in the dorsal cervical spine in rats. J NEUROSCI. 2022 Dec;:} {IF} {Rat}
Generation of Spatio‐Temporally Controlled Targeted Somatic Mutations in the Mouse
Feil, R. 2007. Conditional somatic mutagenesis in the mouse using site‐specific recombinases. Handb. Exp. Pharmacol. 178:3‐28. Feil, R., Wagner, J., Metzger, D
技术资料暂无技术资料 索取技术资料






