相关产品推荐更多 >

C1orf69 Rabbit pAb(bs-15075R)-50ul/100ul/200ul
¥1180
Collagen VII Rabbit pAb, AP conjugated(bs-22189R-AP)-100ul
¥2980
AKT1 Mouse mAb(bsm-33278M)-50ul/100ul/200ul/200ug
¥1180
HLA-C Mouse mAb, PE conjugated(bsm-43093M-PE)-100ul
¥2980
phospho-c-Kit (Tyr568 + Tyr570) Rabbit pAb, PerCP-Cy5.5 conjugated(bs-12916R-PerCP-Cy5.5)-100ul
¥2980
万千商家帮你免费找货
0 人在求购买到急需产品
- 详细信息
- 文献和实验
- 技术资料
- 应用范围:
产品信息以Bioss网站为准
- 规格:
50ul/100ul/200ul
| 规格: | 50ul | 产品价格: | ¥1180.0 |
|---|---|---|---|
| 规格: | 100ul | 产品价格: | ¥1980.0 |
| 规格: | 200ul | 产品价格: | ¥2800.0 |
| 产品编号 | bs-10618R |
| 英文名称 | Vitamin D Receptor Rabbit pAb |
| 中文名称 | 维生素D3受体抗体 |
| 英文别名 | Vitamin D3 receptor; 125 dihydroxyvitamin D3 receptor; 1 antibody 1, 25-@dihydroxyvitamin D3 receptor; 125 dihydroxyvitamin D3 receptor; 25-dihydroxyvitamin D3 receptor; NR1I1; Nuclear receptor subfamily 1 group I member 1; VDR; VDR_HUMAN; Vitamin D(1, 25-dihydroxyvitamin D3) receptor; Vitamin D hormone receptor; Vitamin D receptor; Vitamin D3 receptor, |
| 产品应用 | IHC-P=1:100-500, IHC-F=1:100-500, IF=1:100-500, Flow-Cyt=1ug/Test Not yet tested in other applications. |
| 交叉反应 | Human, Mouse (Rat, Dog, Pig, Cow, Horse, Rabbit, Sheep) |
| 抗体来源 | Rabbit |
| 免疫原 | KLH conjugated synthetic peptide derived from human Vitamin D Receptor |
| 亚型 | IgG |
| 性状 | Liquid |
| 纯化方法 | affinity purified by Protein A |
| 克隆类型 | Polyclonal |
| 理论分子量 | 47 kDa |
| 浓度 | 1mg/ml |
| 储存液 | 0.01M TBS (pH7.4) with 1% BSA, 0.02% Proclin300 and 50% Glycerol. |
| 研究领域 | Cancer > Signal transduction > Nuclear signaling > Nuclear hormone receptors Epigenetics and Nuclear Signaling > Nuclear Signaling Pathways > Nuclear Receptors > Vitamin D Receptor Epigenetics and Nuclear Signaling > Transcription > Domain Families > Zinc Finger Signal Transduction > Signaling Pathway > Nuclear Signaling > Nuclear Hormone Receptors > Vitamin D Receptor |
| 亚基 | Homodimer in the absence of bound vitamin D3. Heterodimer with RXRA after vitamin D3 binding. Interacts with SMAD3. Interacts with MED1, NCOA1, NCOA2, NCOA3 and NCOA6 coactivators, leading to a strong increase of transcription of target genes. Interacts (in a ligand-dependent manner) with BAZ1B/WSTF. |
| 亚细胞定位 | Nucleus. |
| 相似性 | Belongs to the nuclear hormone receptor family. NR1 subfamily.
Contains 1 nuclear receptor DNA-binding domain. |
| 功能 | Nuclear hormone receptor. Transcription factor that mediates the action of vitamin D3 by controlling the expression of hormone sensitive genes. Regulates transcription of hormone ensitive genes via its association with the WINAC complex, a chromatin-remodeling complex. Recruited to promoters via its interaction with the WINAC complex subunit BAZ1B/WSTF, which mediates the interaction with acetylated histones, an essential step for VDR-promoter association. Plays a central role in calcium homeostasis. |
| 保存条件 | Shipped at 4℃. Store at -20℃ for one year. Avoid repeated freeze/thaw cycles. |
| 注意事项 | This product as supplied is intended for research use only, not for use in human, therapeutic or diagnostic applications. |
| 背景资料 | Nuclear hormone receptor. Transcription factor that mediates the action of vitamin D3 by controlling the expression of hormone sensitive genes. Regulates transcription of hormone sensitive genes via its association with the WINAC complex, a chromatin-remodeling complex. Recruited to promoters via its interaction with the WINAC complex subunit BAZ1B/WSTF, which mediates the interaction with acetylated histones, an essential step for VDR-promoter association. Plays a central role in calcium homeostasis. |
| 应用 | 推荐稀释比例 |
| {IHC-P} | {1:100-500} |
| {IHC-F} | {1:100-500} |
| {IF} | {1:100-500} |
| {Flow-Cyt} | {1ug/Test} |

Primary Antibody (green line): Rabbit Anti-Vitamin D Receptor antibody (bs-10618R)
Dilution: 1ug/Test;
Secondary Antibody : Goat anti-rabbit IgG-FITC
Dilution: 0.5ug/Test.
Protocol
The cells were fixed with 4% PFA (10min at room temperature)and then permeabilized with 90% ice-cold methanol for 20 min at -20℃.The cells were then incubated in 5%BSA to block non-specific protein-protein interactions for 30 min at room temperature .Cells stained with Primary Antibody for 30 min at room temperature. The secondary antibody used for 40 min at room temperature. Acquisition of 20,000 events was performed.

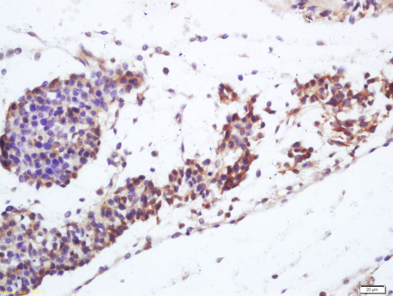
Antigen retrieval: citrate buffer ( 0.01M, pH 6.0 ), Boiling bathing for 15min; Block endogenous peroxidase by 3% Hydrogen peroxide for 30min; Blocking buffer (normal goat serum,C-0005) at 37℃ for 20 min;
Incubation: Anti-Vitamin D Receptor Polyclonal Antibody, Unconjugated(bs-10618R) 1:200, overnight at 4°C, followed by conjugation to the secondary antibody(SP-0023) and DAB(C-0010) staining
风险提示:丁香通仅作为第三方平台,为商家信息发布提供平台空间。用户咨询产品时请注意保护个人信息及财产安全,合理判断,谨慎选购商品,商家和用户对交易行为负责。对于医疗器械类产品,请先查证核实企业经营资质和医疗器械产品注册证情况。
文献和实验[IF={{ 5.3 }}] {Wenjing Lu. et al. 1α,25(OH)2D3 improves 17β-estradiol secretion and potentially alleviates endoplasmic reticulum stress in muskrat granulosa cells. BIOCHEM PHARMACOL. 2024 Dec;:116696} {IHC,IF} {Muskrat}
[IF={{ 5.011 }}] {Juanjuan Li. et al. The effect of 1,25-dihydroxyvitamin D3 on the Wnt signaling pathway in bovine intestinal epithelial cells is mediated by the DKK2 (dickkopf2) Wnt antagonist. J STEROID BIOCHEM. 2023 Jul;231:106319} {WB} {Bovine}
[IF={{ 4.8 }}] {Wenjing Lu. et al. Vitamin D status alters genes involved in ovarian steroidogenesis in muskrat granulosa cells. BBA-MOL CELL BIOL L. 2024 May;1869:159469} {IHC} {Muskrat}
[IF={{ 4.2 }}] {Juan Yang. et al. Electrochemiluminescence resonance energy transfer between Ru-ZnMOF self-enhanced luminophore and a double quencher ZnONF@PDA to detect NSE. ANALYST. 2023 Aug;:} {Other} {}
[IF={{ 3.8 }}] {Łabędź Natalia. et al. Dual effect of vitamin D3 on breast cancer-associated fibroblasts. BMC CANCER. 2024 Dec;24(1):1-25} {WB} {Human}
and heterodimeric complexes that bind with high affinity to their cognate DNA-responsive elements. Following receptor-response element binding, the DNA-bound homodimers and heterodimers must ultimately communicate with the preinitiation complex to influence RNA
Human vitamin D receptor (hVDR) belongs to the superfamily of steroid receptors. The receptors are nuclear transcription factors that regulate gene expression in response to binding of their specific ligands. According to present knowledge
Characterization of CGRP Receptor Binding
., Hay, D.L., Legon, S., Poyner, D.R., Hagner, S., Bloom, S.R., and Smith D.M. 2002. Comparison of the expression of calcitonin receptor‐like receptor (CL) and receptor activity modifying proteins (RAMPs) with CGRP and adrenomedullin binding in cell lines
技术资料暂无技术资料 索取技术资料





