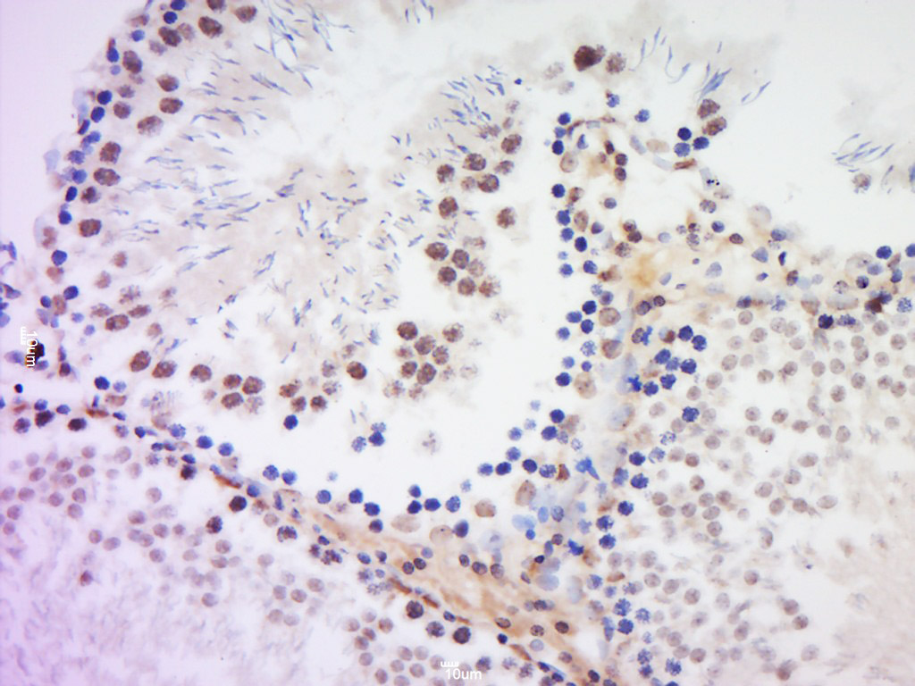
Tissue/cell: Rat testis tissue; 4% Paraformaldehyde-fixed and paraffin-embedded;
Antigen retrieval: citrate buffer ( 0.01M, pH 6.0 ), Boiling bathing for 15min; Block endogenous peroxidase by 3% Hydrogen peroxide for 30min; Blocking buffer (normal goat serum,C-0005) at 37℃ for 20 min;
Incubation: Anti-HSH2D Polyclonal Antibody, Unconjugated(bs-13643R) 1:200, overnight at 4°C, followed by conjugation to the secondary antibody(SP-0023) and DAB(C-0010) staining
相关产品推荐更多 >

phospho-c-kit (Tyr936) Rabbit pAb, BF350 conjugated(bs-1738R-BF350)-100ul
¥2980
Lano/LRRC1 Rabbit pAb(bs-17099R)-50ul/100ul/200ul
¥1180
eNOS Mouse mAb, HRP conjugated(bsm-33176M-HRP)-100ul
¥2980
Activin A Receptor Type IC Rabbit pAb, BF680 conjugated(bs-5777R-BF680)-100ul
¥2980
Decorin Rabbit pAb, HRP conjugated(bs-1695R-HRP)-100ul
¥2980
万千商家帮你免费找货
0 人在求购买到急需产品
- 详细信息
- 技术资料
- 应用范围:
产品信息以Bioss网站为准
- 规格:
50ul/100ul/200ul
| 规格: | 50ul | 产品价格: | ¥1180.0 |
|---|---|---|---|
| 规格: | 100ul | 产品价格: | ¥1980.0 |
| 规格: | 200ul | 产品价格: | ¥2800.0 |
| 产品编号 | bs-13643R |
| 英文名称 | HSH2D Rabbit pAb |
| 中文名称 | HSH2D抗体 |
| 英文别名 | Adaptor in lymphocytes of unknown function X; ALX; FLJ14886; hematopoietic SH2 domain containing; Hematopoietic SH2 domain containing protein; Hematopoietic SH2 domain-containing protein; Hematopoietic SH2 protein; HSH2; Hsh2d; HSH2D_HUMAN. |
| 产品应用 | IHC-P=1:100-500, IHC-F=1:100-500, IF=1:100-500 Not yet tested in other applications. |
| 交叉反应 | Rat (Human, Mouse, Dog, Cow, Horse, Sheep) |
| 抗体来源 | Rabbit |
| 免疫原 | KLH conjugated synthetic peptide derived from human HSH2D |
| 亚型 | IgG |
| 性状 | Liquid |
| 纯化方法 | affinity purified by Protein A |
| 克隆类型 | Polyclonal |
| 理论分子量 | 39 kDa |
| 浓度 | 1mg/ml |
| 储存液 | 0.01M TBS (pH7.4) with 1% BSA, 0.02% Proclin300 and 50% Glycerol. |
| 研究领域 | Immunology > Adaptive Immunity > T Cells > Non-CD Signal Transduction > Adapters > Cytoplasmic |
| 亚细胞定位 | Cytoplasm. Nucleus. |
| 组织特异性 | Predominantly expressed in spleen and hematopoietic cells such as peripheral blood leukocytes and weakly expressed in prostate, thymus, heart, small intestine and placenta. |
| 翻译后修饰 | May be phosphorylated by FES and ACK1. |
| 相似性 | Contains 1 SH2 domain. |
| 功能 | May be a modulator of the apoptotic response through its ability to affect mitochondrial stability (By similarity). Adapter protein involved in tyrosine kinase and CD28 signaling. Seems to affect CD28-mediated activation of the RE/AP element of the interleukin-2 promoter. |
| 保存条件 | Shipped at 4℃. Store at -20℃ for one year. Avoid repeated freeze/thaw cycles. |
| 注意事项 | This product as supplied is intended for research use only, not for use in human, therapeutic or diagnostic applications. |
| 背景资料 | HSH2 is a 352 amino acid nuclear and cytoplasmic protein that is predominantly expressed in spleen and hematopoietic cells, such as peripheral blood leukocytes, and weakly expressed in prostate, thymus, heart, small intestine and placenta. Containing an SH2 domain, four PXXP polyproline sequences and two possible tyrosine phosphorylation sites, HSH2 interacts with tyrosine kinases Fes and ACK. Considered an adaptor protein, HSH2 participates in tyrosine kinase signaling and may be involved in the regulation of cytokine signaling and cytoskeletal reorganization in hematopoietic cells. HSH2 may also act to attenuate apoptosis through modulating the apoptotic response by promoting mitochondrial stability. HSH2 exists as two alternatively spliced isoforms and is encoded by a gene located on human chromosome 19p13.11. |
| 应用 | 推荐稀释比例 |
| {IHC-P} | {1:100-500} |
| {IHC-F} | {1:100-500} |
| {IF} | {1:100-500} |


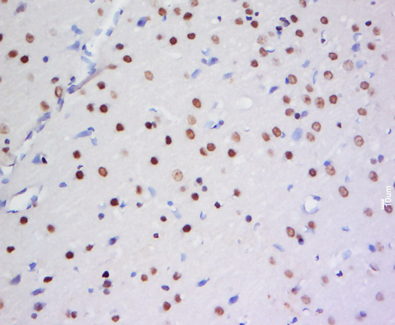
Tissue/cell: Rat brain tissue; 4% Paraformaldehyde-fixed and paraffin-embedded;
Antigen retrieval: citrate buffer ( 0.01M, pH 6.0 ), Boiling bathing for 15min; Block endogenous peroxidase by 3% Hydrogen peroxide for 30min; Blocking buffer (normal goat serum,C-0005) at 37℃ for 20 min;
Incubation: Anti-HSH2D Polyclonal Antibody, Unconjugated(bs-13643R) 1:200, overnight at 4°C, followed by conjugation to the secondary antibody(SP-0023) and DAB(C-0010) staining
Antigen retrieval: citrate buffer ( 0.01M, pH 6.0 ), Boiling bathing for 15min; Block endogenous peroxidase by 3% Hydrogen peroxide for 30min; Blocking buffer (normal goat serum,C-0005) at 37℃ for 20 min;
Incubation: Anti-HSH2D Polyclonal Antibody, Unconjugated(bs-13643R) 1:200, overnight at 4°C, followed by conjugation to the secondary antibody(SP-0023) and DAB(C-0010) staining
风险提示:丁香通仅作为第三方平台,为商家信息发布提供平台空间。用户咨询产品时请注意保护个人信息及财产安全,合理判断,谨慎选购商品,商家和用户对交易行为负责。对于医疗器械类产品,请先查证核实企业经营资质和医疗器械产品注册证情况。
技术资料暂无技术资料 索取技术资料
HSH2D Rabbit pAb(bs-13643R)-50ul/100ul/200ul
¥1180 - 2800





