相关产品推荐更多 >

MSX1 Rabbit pAb, BF555 conjugated(bs-8512R-BF555)-100ul
¥2980
phospho-HER2 (Tyr1221) Rabbit pAb, BF647 conjugated(bs-13090R-BF647)-100ul
¥2980
C6orf222 Rabbit pAb, HRP conjugated(bs-15241R-HRP)-100ul
¥2980
NCOA4 Rabbit pAb, PE conjugated(bs-19051R-PE)-100ul
¥2980
CKAP4 Rabbit pAb, PE conjugated(bs-6520R-PE)-100ul
¥2980
万千商家帮你免费找货
0 人在求购买到急需产品
- 详细信息
- 文献和实验
- 技术资料
- 应用范围:
产品信息以Bioss网站为准
- 规格:
50ul/100ul/200ul
| 规格: | 50ul | 产品价格: | ¥1180.0 |
|---|---|---|---|
| 规格: | 100ul | 产品价格: | ¥1980.0 |
| 规格: | 200ul | 产品价格: | ¥2800.0 |
| 产品编号 | bs-11784R |
| 英文名称 | SPR Rabbit pAb |
| 中文名称 | 墨蝶蛉还原酶抗体 |
| 英文别名 | SDR38C1; Sepiapterin reductase(7, 8 dihydrobiopterin:NADP+oxidoreductase); Sepiapterin reductase; Short chain dehydrogenase/reductase family 38C, member 1; SPR; SPRE_HUMAN. |
| 产品应用 | WB=1:500-2000, IHC-P=1:100-500, IHC-F=1:100-500, ICC/IF=1:100-500, IF=1:100-500 Not yet tested in other applications. |
| 交叉反应 | Human, Mouse, Rat (Pig, Horse, Rabbit) |
| 抗体来源 | Rabbit |
| 免疫原 | KLH conjugated synthetic peptide derived from human Sepiapterin reductase |
| 亚型 | IgG |
| 性状 | Liquid |
| 纯化方法 | affinity purified by Protein A |
| 克隆类型 | Polyclonal |
| 理论分子量 | 28 kDa |
| 浓度 | 1mg/ml |
| 储存液 | 0.01M TBS (pH7.4) with 1% BSA, 0.02% Proclin300 and 50% Glycerol. |
| 研究领域 | Metabolism > Pathways and Processes > Metabolic signaling pathways > Amino acid metabolism Metabolism > Types of disease > Neurodegenerative disease Neuroscience > Neurology process > Neurodegenerative disease > Parkinson's disease Neuroscience > Neurotransmission > Nitric Oxide > NOS Neuroscience > Neurotransmitter > Biogenic Amines > Other Amines Signal Transduction > Metabolism > Amino Acids |
| 亚基 | Homodimer. |
| 亚细胞定位 | Cytoplasm. |
| 翻译后修饰 | In vitro phosphorylation of Ser-213 by CaMK2 does not change kinetic parameters. |
| 相似性 | Belongs to the sepiapterin reductase family. |
| 功能 | Catalyzes the final one or two reductions in tetra-hydrobiopterin biosynthesis to form 5,6,7,8-tetrahydrobiopterin. |
| 保存条件 | Shipped at 4℃. Store at -20℃ for one year. Avoid repeated freeze/thaw cycles. |
| 注意事项 | This product as supplied is intended for research use only, not for use in human, therapeutic or diagnostic applications. |
| 背景资料 | This gene encodes an aldo-keto reductase that catalyzes the NADPH-dependent reduction of pteridine derivatives and is important in the biosynthesis of tetrahydrobiopterin (BH4). Mutations in this gene result in DOPA-responsive dystonia due to sepiaterin reductase deficiency. A pseudogene has been identified on chromosome 1. [provided by RefSeq, Jul 2008] |
| 应用 | 推荐稀释比例 |
| {WB} | {1:500-2000} |
| {IHC-P} | {1:100-500} |
| {IHC-F} | {1:100-500} |
| {ICC/IF} | {1:100-500} |
| {IF} | {1:100-500} |






Hela(Human) Cell Lysate at 30 ug
HepG2(Human) Cell Lysate at 30 ug
MCF-7(Human) Cell Lysate at 30 ug
Primary: Anti-SPR (bs-11784R) at 1/1000 dilution
Secondary: IRDye800CW Goat Anti-Rabbit IgG at 1/20000 dilution
Predicted band size: 28 kD
Observed band size: 28 kD
风险提示:丁香通仅作为第三方平台,为商家信息发布提供平台空间。用户咨询产品时请注意保护个人信息及财产安全,合理判断,谨慎选购商品,商家和用户对交易行为负责。对于医疗器械类产品,请先查证核实企业经营资质和医疗器械产品注册证情况。
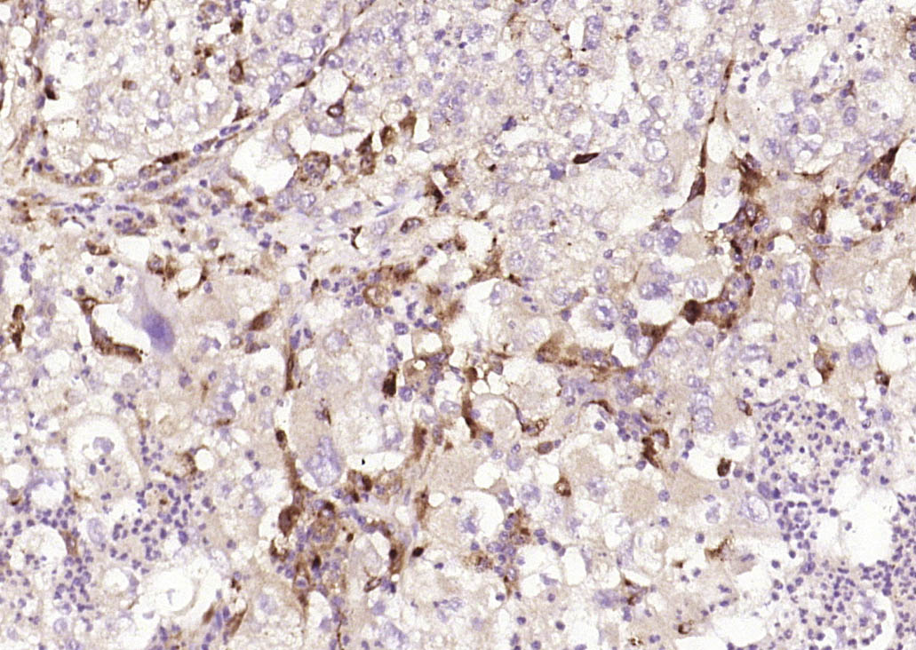
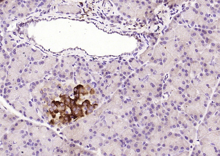
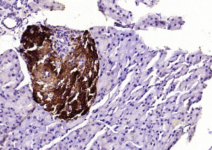
文献和实验[IF={{ 3.1 }}] {Liu Ruimin. et al. 5’tiRNA-35-GlyTCC-3 and 5’tiRNA-33-CysGCA-11 target BMP6, CUL1 and SPR of non-syndromic cleft palate. BMC ORAL HEALTH. 2025 Dec;25(1):1-16} {IHC} {Human}
【求助】什么是micro-array analysis,怎么翻译?
5 Model of micro-array sensor was constructed accordingly. 在粘胶式2×5型微阵列传感器基础上建立夹具式2×5型微阵列传感器。 Using the imaging SPR analyzer and a 3X5 micro-array chip, this paper successfully detects the rabbit IgG vs. goat-anti-rabbit IgG
= NAL), appears to form upon oxidative cyclization of the nonfluorescent 2:1 lysine-HNE Michael adduct-Schiff base cross-link (Scheme 1). Polyclonal antibody (PAb) to the NAL-HNE fluorophore was raised in rabbit and found to be highly specific
GE Healthcare Benzamidine Sepharose™ 6B is p-aminobenzamidine covalently attached to Sepharose 6B by the epoxy coupling method. p-Aminobenzamidine (PAB), is a synthetic inhibitor of trypsin-like serine protease. Trypsin and trypsin
技术资料暂无技术资料 索取技术资料






