相关产品推荐更多 >
万千商家帮你免费找货
0 人在求购买到急需产品
- 详细信息
- 技术资料
- 应用范围:
产品信息以Bioss网站为准
- 规格:
50ul/100ul/200ul
| 规格: | 50ul | 产品价格: | ¥1180.0 |
|---|---|---|---|
| 规格: | 100ul | 产品价格: | ¥1980.0 |
| 规格: | 200ul | 产品价格: | ¥2800.0 |
| 产品编号 | bs-12371R |
| 英文名称 | Kindlin 2 Rabbit pAb |
| 中文名称 | 丝裂原诱导蛋白2抗体 |
| 英文别名 | FLJ34213; FLJ44462; UNC112; FERM2_HUMAN; Fermitin family homolog 2; Fermt2; KIND2; Kindlin-2; MIG-2; MIG2; Mitogen-inducible gene 2 protein; PH domain-containing family C member 1; Pleckstrin homology domain containing family C(with FERM domain) member 1; Pleckstrin homology domain-containing family C member 1; PLEKHC1; UNC112B. |
| 产品应用 | IHC-P=1:100-500, IHC-F=1:100-500, IF=1:100-500 Not yet tested in other applications. |
| 交叉反应 | Human (Mouse, Rat, Chicken, Dog, Pig, Cow, Horse, Sheep) |
| 抗体来源 | Rabbit |
| 免疫原 | KLH conjugated synthetic peptide derived from human Kindlin 2/MIG2 |
| 亚型 | IgG |
| 性状 | Liquid |
| 纯化方法 | affinity purified by Protein A |
| 克隆类型 | Polyclonal |
| 理论分子量 | 78 kDa |
| 浓度 | 1mg/ml |
| 储存液 | 0.01M TBS (pH7.4) with 1% BSA, 0.02% Proclin300 and 50% Glycerol. |
| 研究领域 | Signal Transduction > Cytoskeleton / ECM > Cell Adhesion > Integrins > Beta Stem Cells > Mesenchymal Stem Cells > Myogenesis |
| 亚基 | Interacts with FBLP1. |
| 亚细胞定位 | Cytoplasm, cell cortex. Cytoplasm, cytoskeleton. Cell junction, focal adhesion. Note=Within actin stress fibers at cell-ECM focal adhesion sites. |
| 组织特异性 | Ubiquitous. Found in numerous tumor tissues. |
| 相似性 | Belongs to the kindlin family. Contains 1 FERM domain. Contains 1 PH domain. |
| 功能 | Participates in the connection between ECM adhesion sites and the actin cytoskeleton and also in the orchestration of actin assembly and cell shape modulation. Recruits migfilin (FBLP1) protein to cell-ECM focal adhesion sites. |
| 保存条件 | Shipped at 4℃. Store at -20℃ for one year. Avoid repeated freeze/thaw cycles. |
| 注意事项 | This product as supplied is intended for research use only, not for use in human, therapeutic or diagnostic applications. |
| 背景资料 | Mig-2 recruits migfilin to cell-matrix adhesions, while the interaction with filamin mediates the association of migfilin with actin filaments. Together, Mig-2, migfilin and filamin define a connection between cell matrix adhesions and the actin cytoskeleton and participate in the orchestration of actin assembly and cell shape modulation. Mig-2 expression is transcriptionally elevated in leiomyomas and could be involved in its hormone-mediated growth of leiomyomas of the uterus. Expression of Mig-2 is ubiquitous, and it is found in numerous tumor tissues. |
| 应用 | 推荐稀释比例 |
| {IHC-P} | {1:100-500} |
| {IHC-F} | {1:100-500} |
| {IF} | {1:100-500} |

Paraformaldehyde-fixed, paraffin embedded (Human breast carcinoma); Antigen retrieval by boiling in sodium citrate buffer (pH6.0) for 15min; Block endogenous peroxidase by 3% hydrogen peroxide for 20 minutes; Blocking buffer (normal goat serum) at 37°C for 30min; Antibody incubation with (Kindlin 2) Polyclonal Antibody, Unconjugated (bs-12371R) at 1:400 overnight at 4°C, followed by operating according to SP Kit(Rabbit) (sp-0023) instructionsand DAB staining.

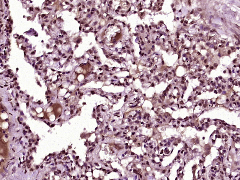
Paraformaldehyde-fixed, paraffin embedded (Human lung carcinoma); Antigen retrieval by boiling in sodium citrate buffer (pH6.0) for 15min; Block endogenous peroxidase by 3% hydrogen peroxide for 20 minutes; Blocking buffer (normal goat serum) at 37°C for 30min; Antibody incubation with (Kindlin 2) Polyclonal Antibody, Unconjugated (bs-12371R) at 1:400 overnight at 4°C, followed by operating according to SP Kit(Rabbit) (sp-0023) instructionsand DAB staining.
风险提示:丁香通仅作为第三方平台,为商家信息发布提供平台空间。用户咨询产品时请注意保护个人信息及财产安全,合理判断,谨慎选购商品,商家和用户对交易行为负责。对于医疗器械类产品,请先查证核实企业经营资质和医疗器械产品注册证情况。
技术资料暂无技术资料 索取技术资料
Kindlin 2 Rabbit pAb(bs-12371R)-50ul/100ul/200ul
¥1180 - 2800









