相关产品推荐更多 >

NR1D1 Rabbit pAb(bs-20222R)-50ul/100ul/200ul
¥1180
phospho-c-Jun (Thr91+Thr93) Rabbit pAb, BF647 conjugated(bs-1735R-BF647)-100ul
¥2980
GPRC5B Rabbit pAb, PE conjugated(bs-12029R-PE)-100ul
¥2980
ATF5 Rabbit pAb, HRP conjugated(bs-12542R-HRP)-100ul
¥2980
CHST2 Rabbit pAb, HRP conjugated(bs-13934R-HRP)-100ul
¥2980
万千商家帮你免费找货
0 人在求购买到急需产品
- 详细信息
- 文献和实验
- 技术资料
- 应用范围:
产品信息以Bioss网站为准
- 规格:
50ul/100ul/200ul
| 规格: | 50ul | 产品价格: | ¥1180.0 |
|---|---|---|---|
| 规格: | 100ul | 产品价格: | ¥1980.0 |
| 规格: | 200ul | 产品价格: | ¥2800.0 |
| 产品编号 | bs-8688R |
| 英文名称 | POD1 Rabbit pAb |
| 中文名称 | 足细胞表达蛋白/转录因子21抗体 |
| 英文别名 | bHLHa23; Capsulin; Class A basic helix-loop-helix protein 23; Epicardin; POD 1; Pod-1; POD1; Podocyte expressed 1; Podocyte-expressed 1; TCF-21; TCF21; tcf21; TCF21_HUMAN; Transcription factor 21. |
| 产品应用 | WB=1:500-2000, IHC-P=1:100-500, IHC-F=1:100-500, IF=1:100-500 Not yet tested in other applications. |
| 交叉反应 | Human, Mouse, Rat (Pig, Cow, Horse, Rabbit) |
| 抗体来源 | Rabbit |
| 免疫原 | KLH conjugated synthetic peptide derived from human TCF-21 |
| 亚型 | IgG |
| 性状 | Liquid |
| 纯化方法 | affinity purified by Protein A |
| 克隆类型 | Polyclonal |
| 理论分子量 | 20 kDa |
| 浓度 | 1mg/ml |
| 储存液 | 0.01M TBS (pH7.4) with 1% BSA, 0.02% Proclin300 and 50% Glycerol. |
| 研究领域 | Cardiovascular > Heart > Cardiogenesis > Transcription factors/regulators Epigenetics and Nuclear Signaling > Transcription > Domain Families > HLH / Leucine Zipper > HLH Epigenetics and Nuclear Signaling > Transcription > Transcription Factors |
| 亚基 | Efficient DNA binding requires dimerization with another bHLH protein. Forms a heterodimer with TCF3 and binds the E box (5'-CANNTG-3'). |
| 亚细胞定位 | Nucleus. |
| 相似性 | Contains 1 basic helix-loop-helix (bHLH) domain. |
| 功能 | Involved in epithelial-mesenchymal interactions in kidney and lung morphogenesis that include epithelial differentiation and branching morphogenesis. May play a role in the specification or differentiation of one or more subsets of epicardial cell types. |
| 保存条件 | Shipped at 4℃. Store at -20℃ for one year. Avoid repeated freeze/thaw cycles. |
| 注意事项 | This product as supplied is intended for research use only, not for use in human, therapeutic or diagnostic applications. |
| 背景资料 | The basic helix-loop-helix (bHLH) class of transcription factors govern cell fate determination by controlling a variety of cellular differentiation processes. POD-1 (podocyte-expressed 1, also designated capsulin or epicardin) is a nuclear bHLH protein that is involved in the specification of select mesodermal cell populations associated with heart, cranial skeletal muscle, gut and urogenital system. POD-1 is selectively expressed in mesenchymal cells at sites of epithelial-mesenchymal interaction in the kidney, lung, intestine, pancreas and the epicardium, which gives rise to the coronary arteries. This epithelial-mesenchymal interaction is involved in the formation of numerous internal organs. POD-1 is also expressed in the mesothelium that gives rise to the spleen and in cells that give rise to smooth muscle. In addition to its role in kidney morphogenesis and spleen organogenesis, POD-1 may play a role in the development and sex determination of the mammalian gonad. |
| 应用 | 推荐稀释比例 |
| {WB} | {1:500-2000} |
| {IHC-P} | {1:100-500} |
| {IHC-F} | {1:100-500} |
| {IF} | {1:100-500} |

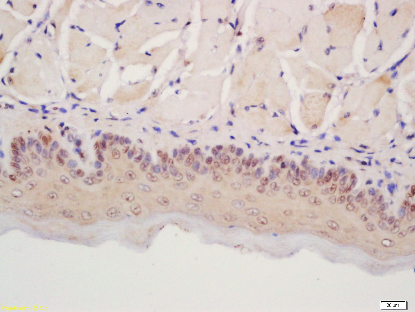
Antigen retrieval: citrate buffer ( 0.01M, pH 6.0 ), Boiling bathing for 15min; Block endogenous peroxidase by 3% Hydrogen peroxide for 30min; Blocking buffer (normal goat serum,C-0005) at 37℃ for 20 min;
Incubation: Anti- POD1 Polyclonal Antibody, Unconjugated(bs-8688R) 1:200, overnight at 4°C, followed by conjugation to the secondary antibody(SP-0023) and DAB(C-0010) staining

Antigen retrieval: citrate buffer ( 0.01M, pH 6.0 ), Boiling bathing for 15min; Block endogenous peroxidase by 3% Hydrogen peroxide for 30min; Blocking buffer (normal goat serum,C-0005) at 37℃ for 20 min;
Incubation: Anti-POD1 Polyclonal Antibody, Unconjugated(bs-8688R) 1:200, overnight at 4°C, followed by conjugation to the secondary antibody(SP-0023) and DAB(C-0010) staining

K562(Human) Cell Lysate at 30 ug
Primary: Anti-POD1 (bs-8688R) at 1/1000 dilution
Secondary: IRDye800CW Goat Anti-Rabbit IgG at 1/20000 dilution
Predicted band size: 20 kD
Observed band size: 23 kD

Cerebrum (Mouse) Lysate at 40 ug
Kidney (Rat) Lysate at 40 ug
Primary: Anti-POD1 (bs-8688R) at 1/1000 dilution
Secondary: IRDye800CW Goat Anti-Rabbit IgG at 1/20000 dilution
Predicted band size: 20 kD
Observed band size: 23 kD
风险提示:丁香通仅作为第三方平台,为商家信息发布提供平台空间。用户咨询产品时请注意保护个人信息及财产安全,合理判断,谨慎选购商品,商家和用户对交易行为负责。对于医疗器械类产品,请先查证核实企业经营资质和医疗器械产品注册证情况。
文献和实验[IF={{ 9.3 }}] {Liangyun Li. et al. DNMT3a-mediated methylation of TCF21/hnRNPA1 aggravates hepatic fibrosis by regulating the NF-κB signaling pathway. PHARMACOL RES. 2023 Jul;193:106808} {IHC} {Human,Mouse}
[IF={{ 4.271 }}] {A. Tran-Guzman. et al. Toxicity Profiles and Protective Effects of Antifreeze Proteins From Insect in Mammalian Models. TOXICOL LETT. 2022 Jul;:} {IF} {Rat}
= NAL), appears to form upon oxidative cyclization of the nonfluorescent 2:1 lysine-HNE Michael adduct-Schiff base cross-link (Scheme 1). Polyclonal antibody (PAb) to the NAL-HNE fluorophore was raised in rabbit and found to be highly specific
GE Healthcare Benzamidine Sepharose™ 6B is p-aminobenzamidine covalently attached to Sepharose 6B by the epoxy coupling method. p-Aminobenzamidine (PAB), is a synthetic inhibitor of trypsin-like serine protease. Trypsin and trypsin
Nucleic Acid Programmable Protein Arrays: Versatile Tools for Array‐Based Functional Protein Studies
.g., Sigma) 50 mg/ml bis‐sulfosuccinimdylsuberate (BS3 ;Pierce, cat. no. PI 21580) in dimethylsulfoxide (DMSO) 5 mg/ml
技术资料暂无技术资料 索取技术资料






