相关产品推荐更多 >

PA26 Rabbit pAb, BF594 conjugated(bs-8325R-BF594)-100ul
¥2980
SF3B3 Recombinant Rabbit mAb(bsm-60658R)-50ul/100ul/25ul
¥800
LIFR Rabbit pAb(bs-25592R)-50ul/100ul/200ul
¥1180
beta I Tubulin Mouse mAb, BF350 conjugated(bsm-33041M-BF350)-100ul
¥2980
ACTH (1-39) Rabbit pAb, APC conjugated(bs-0443R-APC)-100ul
¥2980
万千商家帮你免费找货
0 人在求购买到急需产品
- 详细信息
- 文献和实验
- 技术资料
- 应用范围:
产品信息以Bioss网站为准
- 规格:
50ul/100ul/200ul
| 规格: | 50ul | 产品价格: | ¥1180.0 |
|---|---|---|---|
| 规格: | 100ul | 产品价格: | ¥1980.0 |
| 规格: | 200ul | 产品价格: | ¥2800.0 |
| 产品编号 | bs-11305R |
| 英文名称 | RFC2 Rabbit pAb |
| 中文名称 | 复制激活因子C2抗体 |
| 英文别名 | Activator 1; Activator 1 subunit 2; Activator 140 kDa Subunit; MGC3665; OTTHUMP00000160645; OTTHUMP00000160646; replication factor C(activator 1) 2 40kDa; Replication factor C(activator 1) 2; Replication factor C 2; Replication Factor C 40 kDa subunit; Replication factor C subunit 2; replication factor c2; Replication Factor C40 kDa subunit; RF C 40 kDa subunit; RF-C 40 kDa subunit; RFC 2; RFC 40; RFC 40 kDa subunit; RFC2; RFC2_HUMAN; RFC40; A1 40 kDa subunit; A1 antibody A140; Activator 1 40 kDa Subunit. |
| 产品应用 | WB=1:500-2000, IHC-P=1:100-500, IHC-F=1:100-500, IF=1:100-500 Not yet tested in other applications. |
| 交叉反应 | Mouse (Human, Rat, Dog, Pig, Cow, Horse, Sheep) |
| 抗体来源 | Rabbit |
| 免疫原 | KLH conjugated synthetic peptide derived from human RFC2 |
| 亚型 | IgG |
| 性状 | Liquid |
| 纯化方法 | affinity purified by Protein A |
| 克隆类型 | Polyclonal |
| 理论分子量 | 39 kDa |
| 浓度 | 1mg/ml |
| 储存液 | 0.01M TBS (pH7.4) with 1% BSA, 0.02% Proclin300 and 50% Glycerol. |
| 研究领域 | Epigenetics and Nuclear Signaling > DNA / RNA > DNA Synthesis |
| 亚基 | Heterotetramer of subunits RFC2, RFC3, RFC4 and RFC5 that can form a complex either with RFC1 or with RAD17. The former interacts with PCNA in the presence of ATP, while the latter has ATPase activity but is not stimulated by PCNA. RFC2 also interacts with PRKAR1A; the complex may be involved in cell survival. |
| 亚细胞定位 | Nucleus. |
| 相似性 | Belongs to the activator 1 small subunits family. |
| 功能 | The elongation of primed DNA templates by DNA polymerase delta and epsilon requires the action of the accessory proteins proliferating cell nuclear antigen (PCNA) and activator 1. This subunit binds ATP. |
| 保存条件 | Shipped at 4℃. Store at -20℃ for one year. Avoid repeated freeze/thaw cycles. |
| 注意事项 | This product as supplied is intended for research use only, not for use in human, therapeutic or diagnostic applications. |
| 背景资料 | Replication factor C (RFC) is an essential DNA polymerase accessory protein that is required for numerous aspects of DNA metabolism including DNA replication, DNA repair, and telomere metabolism. RFC is a heteropentameric complex that recognizes a primer on a template DNA, binds to a primer terminus, and loads proliferating cell nuclear antigen (PCNA) onto DNA at primer-template junctions in an ATP-dependent reaction. All five of the RFC subunits share a set of related sequences (RFC boxes) that include nucleotide-binding consensus sequences. Four of the five RFC genes (RFC1, RFC2, RFC3, and RFC4) have consensus ATP-binding motifs. The small RFC proteins, RFC2, RFC3, RFC4 and RFC5, interact with Rad24, whereas the RFC1 subunit does not. RFC2, the third-largest subunit of the RFC complex, exhibits ATP binding which makes it important for both DNA replication and checkpoint function. The human RFC2 gene maps to chromosome 7q11.23 and encodes the RFC2 subunit. RFC2 has been associated with Williams-Beuren syndrome, which is a rare multi-system developmental disorder caused by the deletion of contiguous genes at 7q11.23. |
| 应用 | 推荐稀释比例 |
| {WB} | {1:500-2000} |
| {IHC-P} | {1:100-500} |
| {IHC-F} | {1:100-500} |
| {IF} | {1:100-500} |

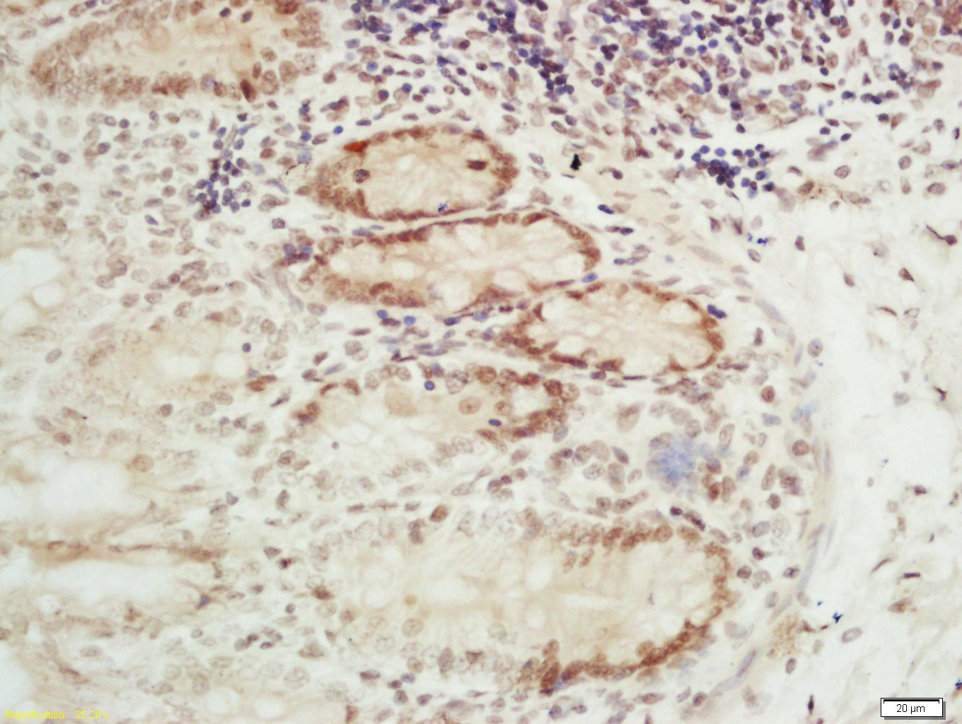
Antigen retrieval: citrate buffer ( 0.01M, pH 6.0 ), Boiling bathing for 15min; Block endogenous peroxidase by 3% Hydrogen peroxide for 30min; Blocking buffer (normal goat serum,C-0005) at 37℃ for 20 min;
Incubation: Anti-RFC2 Polyclonal Antibody, Unconjugated(bs-11305R) 1:200, overnight at 4°C, followed by conjugation to the secondary antibody(SP-0023) and DAB(C-0010) staining

Primary: Anti-RFC2 (bs-11305R) at 1/300 dilution
Secondary: IRDye800CW Goat Anti-Rabbit IgG at 1/20000 dilution
Predicted band size: 39 kD
Observed band size: 39 kD
风险提示:丁香通仅作为第三方平台,为商家信息发布提供平台空间。用户咨询产品时请注意保护个人信息及财产安全,合理判断,谨慎选购商品,商家和用户对交易行为负责。对于医疗器械类产品,请先查证核实企业经营资质和医疗器械产品注册证情况。
文献和实验= NAL), appears to form upon oxidative cyclization of the nonfluorescent 2:1 lysine-HNE Michael adduct-Schiff base cross-link (Scheme 1). Polyclonal antibody (PAb) to the NAL-HNE fluorophore was raised in rabbit and found to be highly specific
GE Healthcare Benzamidine Sepharose™ 6B is p-aminobenzamidine covalently attached to Sepharose 6B by the epoxy coupling method. p-Aminobenzamidine (PAB), is a synthetic inhibitor of trypsin-like serine protease. Trypsin and trypsin
Nucleic Acid Programmable Protein Arrays: Versatile Tools for Array‐Based Functional Protein Studies
.g., Sigma) 50 mg/ml bis‐sulfosuccinimdylsuberate (BS3 ;Pierce, cat. no. PI 21580) in dimethylsulfoxide (DMSO) 5 mg/ml
技术资料暂无技术资料 索取技术资料





