相关产品推荐更多 >

DOK5 Rabbit pAb, FITC conjugated(bs-8587R-FITC)-100ul
¥2980
FAM107A Rabbit pAb, HRP conjugated(bs-6381R-HRP)-100ul
¥2980
Syndecan 4 Rabbit pAb(bs-2926R)-50ul/100ul/200ul
¥1180
Leishmania Major Surface Protease Rabbit pAb(bs-18214R)-50ul/100ul/200ul
¥1180
FREAC3 Rabbit pAb, FITC conjugated(bs-6642R-FITC)-100ul
¥2980
万千商家帮你免费找货
0 人在求购买到急需产品
- 详细信息
- 文献和实验
- 技术资料
- 应用范围:
产品信息以Bioss网站为准
- 规格:
50ul/100ul/200ul
| 规格: | 50ul | 产品价格: | ¥1180.0 |
|---|---|---|---|
| 规格: | 100ul | 产品价格: | ¥1980.0 |
| 规格: | 200ul | 产品价格: | ¥2800.0 |
| 产品编号 | bs-9439R |
| 英文名称 | FOXO1A Rabbit pAb |
| 中文名称 | 叉头蛋白O1抗体 |
| 英文别名 | FKH1; FKHR; FKHR; Forkhead(Drosophila) homolog 1(rhabdomyosarcoma); Forkhead(Drosophila) homolog 1(rhabdomyosarcoma); Forkhead box O1; Forkhead box protein O1; Forkhead box protein O1A. |
| 产品应用 | WB=1:500-2000, IHC-P=1:100-500, IHC-F=1:100-500, IF=1:100-500, Flow-Cyt=2ug/Test Not yet tested in other applications. |
| 交叉反应 | Human, Rat (Mouse, Chicken, Dog, Pig, Cow, Horse, Rabbit) |
| 抗体来源 | Rabbit |
| 免疫原 | KLH conjugated synthetic peptide derived from human FKHR |
| 亚型 | IgG |
| 性状 | Liquid |
| 纯化方法 | affinity purified by Protein A |
| 克隆类型 | Polyclonal |
| 理论分子量 | 72 kDa |
| 浓度 | 1mg/ml |
| 储存液 | 0.01M TBS (pH7.4) with 1% BSA, 0.02% Proclin300 and 50% Glycerol. |
| 研究领域 | Cancer > Signal transduction > Nuclear signaling > Nuclear hormone receptors > Coactivators and repressors Epigenetics and Nuclear Signaling > Nuclear Signaling Pathways > Nuclear Receptors > Co-activators/co-repressors Epigenetics and Nuclear Signaling > Transcription > Domain Families > Forkhead Box > FOXO Metabolism > Types of disease > Obesity Neuroscience > Neurology process > Neurogenesis Signal Transduction > Signaling Pathway > Nuclear Signaling > Nuclear Hormone Receptors > Co-activators/co-repressors |
| 亚基 | Interacts with LRPPRC. Interacts with SIRT1 and this interaction requires the presence of KRIT1. Interacts with NLK. Binds to CDK1 and 14-3-3 proteins. |
| 亚细胞定位 | Cytoplasm. Nucleus. Note=Shuttles between cytoplasm and nucleus. Translocates to the nucleus upon oxidative stress induced phosphorylation at Ser-212 by STK4/MST1. Translocates to the nucleus upon phosphorylation of Thr-24, Ser-256 and Ser-322 by SGK1. |
| 组织特异性 | Ubiquitous. |
| 翻译后修饰 | Phosphorylated by AKT1; insulin-induced. Phosphorylated by NLK, which inhibits transcriptional activity and promotes nuclear export (By similarity). IGF1 rapidly induces phosphorylation of Ser-256, Thr-24, and Ser-319. Phosphorylation of Ser-256 decreases DNA-binding activity and promotes the phosphorylation of Thr-24, and Ser-319, permitting phosphorylation of Ser-322 and Ser-325, probably by CK1, leading to nuclear exclusion and loss of function. Phosphorylation of Ser-329 is independent of IGF1 and leads to reduced function. Phosphorylated upon DNA damage, probably by ATM or ATR. Phosphorylation of Ser-249 by CDK1 disrupts 14-3-3 proteins binding and thereby promotes FOXO1 nuclear accumulation and subsequent transcription activation and cell death. Phosphorylated by STK4/MST1 on Ser-212 upon oxidative stress. Phosphorylated on Thr-24, Ser-256 and Ser-322 by SGK1 resulting in its translocation from the nucleus to the cytoplasm. |
| 相似性 | Contains 1 fork-head DNA-binding domain. |
| 功能 | Transcription factor which acts as a regulator of cell responses to oxidative stress. In the presence of KIRT1, mediates down-regulation of cyclin D1 and up-regulation of CDKN1B levels which are required for cell transition from proliferative growth to quiescence. Triggers death of postmitotic neurons when phosphorylated by CDK1. Activates transcription of PMAIP1. |
| 保存条件 | Shipped at 4℃. Store at -20℃ for one year. Avoid repeated freeze/thaw cycles. |
| 注意事项 | This product as supplied is intended for research use only, not for use in human, therapeutic or diagnostic applications. |
| 背景资料 | This gene belongs to the forkhead family of transcription factors which are characterized by a distinct forkhead domain. The specific function of this gene has not yet been determined; however, it may play a role in myogenic growth and differentiation. Translocation of this gene with PAX3 has been associated with alveolar rhabdomyosarcoma. [provided by RefSeq]. |
| 应用 | 推荐稀释比例 |
| {WB} | {1:500-2000} |
| {IHC-P} | {1:100-500} |
| {IHC-F} | {1:100-500} |
| {IF} | {1:100-500} |
| {Flow-Cyt} | {2ug/Test} |

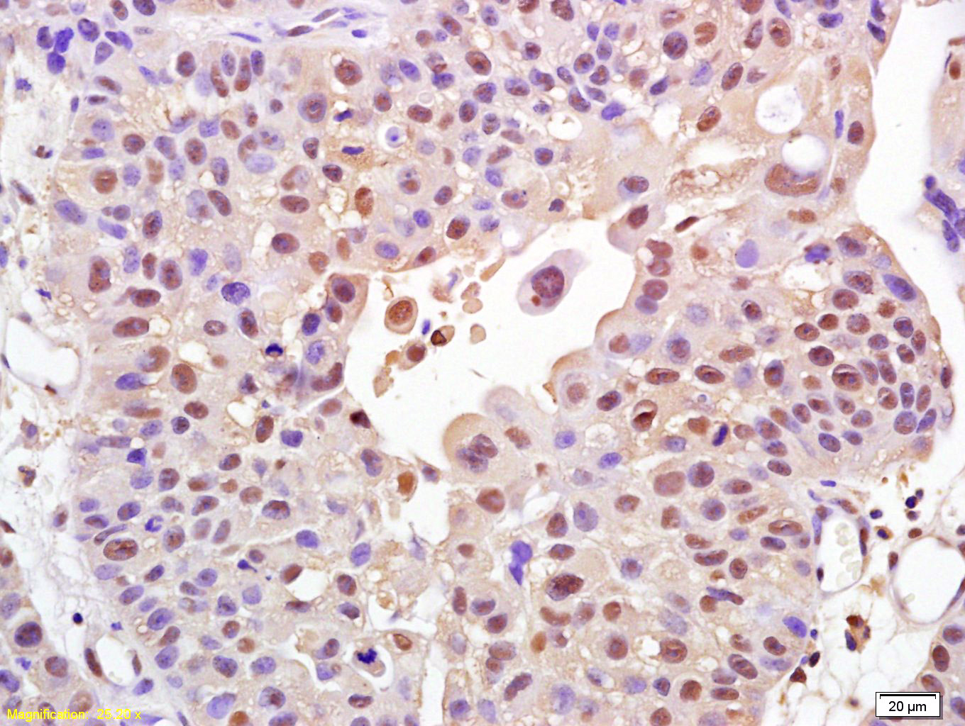
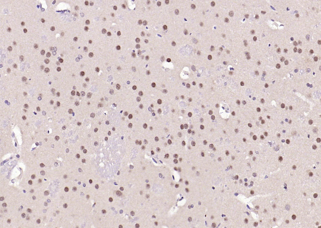
Antigen retrieval: citrate buffer ( 0.01M, pH 6.0 ), Boiling bathing for 15min; Block endogenous peroxidase by 3% Hydrogen peroxide for 30min; Blocking buffer (normal goat serum,C-0005) at 37℃ for 20 min;
Incubation: Anti-FOXO1A Polyclonal Antibody, Unconjugated(bs-9439R) 1:200, overnight at 4°C, followed by conjugation to the secondary antibody(SP-0023) and DAB(C-0010) staining


Primary Antibody (green line): Rabbit Anti-FOXO1A antibody (bs-9439R)
Dilution: 1μg /10^6 cells;
Isotype Control Antibody (orange line): Rabbit IgG .
Secondary Antibody : Goat anti-rabbit IgG-AF647
Dilution: 1μg /test.
Protocol
The cells were fixed with 4% PFA (10min at room temperature)and then permeabilized with 90% ice-cold methanol for 20 min at -20℃. The cells were then incubated in 5%BSA to block non-specific protein-protein interactions for 30 min at room temperature .Cells stained with Primary Antibody for 30 min at room temperature. The secondary antibody used for 40 min at room temperature. Acquisition of 20,000 events was performed.

Primary Antibody (green line): Rabbit Anti-FOXO1A antibody (bs-9439R)
Dilution: 1μg /10^6 cells;
Isotype Control Antibody (orange line): Rabbit IgG .
Secondary Antibody : Goat anti-rabbit IgG-PE
Dilution: 1μg /test.
Protocol
The cells were fixed with 4% PFA (10min at room temperature)and then permeabilized with 90% ice-cold methanol for 20 min at-20℃. The cells were then incubated in 5%BSA to block non-specific protein-protein interactions for 30 min at at room temperature .Cells stained with Primary Antibody for 30 min at room temperature. The secondary antibody used for 40 min at room temperature. Acquisition of 20,000 events was performed.

HepG2(Human) Cell Lysate at 30 ug
Primary: Anti-FOXO1A (bs-9439R) at 1/300 dilution
Secondary: IRDye800CW Goat Anti-Rabbit IgG at 1/20000 dilution
Predicted band size: 72 kD
Observed band size: 72 kD
风险提示:丁香通仅作为第三方平台,为商家信息发布提供平台空间。用户咨询产品时请注意保护个人信息及财产安全,合理判断,谨慎选购商品,商家和用户对交易行为负责。对于医疗器械类产品,请先查证核实企业经营资质和医疗器械产品注册证情况。
文献和实验[IF={{ 8.025 }}] {Long Chen. et al. Chondroitin sulfate stimulates the secretion of H2S by Desulfovibrio to improve insulin sensitivity in NAFLD mice. INT J BIOL MACROMOL. 2022 Jul;213:631} {WB} {Mouse}
[IF={{ 5.9 }}] {Qiuyu Zhang. et al. PD-1 induces autophagy via the PI3K/AKT/FoxO1 pathway to promote infectious bursal disease virus replication. FRONT IMMUNOL. 2025 Jul;16:1585012} {WB} {Chicken}
[IF={{ 5.878 }}] {Xueying Zhang. et al. Scutellarin ameliorates hepatic lipid accumulation by enhancing autophagy and suppressing IRE1α/XBP1 pathway. 2021 Dec 02} {WB} {Mouse ,Human}
[IF={{ 4.2 }}] {Xuelu Liu. et al. Melatonin protects chicken follicular granulosa cells against oxidative damage-induced apoptosis via inhibiting FOXO1 signaling pathway. POULTRY SCI. 2025 Sep;104:105472} {WB} {Chicken}
[IF={{ 2.81 }}] {Kinoshita et al. Associations between Forkhead Box O1 (FoxO1) Expression and Indicators of Hepatic Glucose Production in Transition Dairy Cows Supplemented with Dietary Nicotinic Acid. (2016) PLoS.On. 11:e0146670} {WB} {Bovine}
= NAL), appears to form upon oxidative cyclization of the nonfluorescent 2:1 lysine-HNE Michael adduct-Schiff base cross-link (Scheme 1). Polyclonal antibody (PAb) to the NAL-HNE fluorophore was raised in rabbit and found to be highly specific
GE Healthcare Benzamidine Sepharose™ 6B is p-aminobenzamidine covalently attached to Sepharose 6B by the epoxy coupling method. p-Aminobenzamidine (PAB), is a synthetic inhibitor of trypsin-like serine protease. Trypsin and trypsin
Nucleic Acid Programmable Protein Arrays: Versatile Tools for Array‐Based Functional Protein Studies
.g., Sigma) 50 mg/ml bis‐sulfosuccinimdylsuberate (BS3 ;Pierce, cat. no. PI 21580) in dimethylsulfoxide (DMSO) 5 mg/ml
技术资料暂无技术资料 索取技术资料






