相关产品推荐更多 >
万千商家帮你免费找货
0 人在求购买到急需产品
- 详细信息
- 文献和实验
- 技术资料
- 应用范围:
产品信息以Bioss网站为准
- 规格:
50ul/100ul/200ul
| 规格: | 50ul | 产品价格: | ¥1180.0 |
|---|---|---|---|
| 规格: | 100ul | 产品价格: | ¥1980.0 |
| 规格: | 200ul | 产品价格: | ¥2800.0 |
| 产品编号 | bs-4782R |
| 英文名称 | HSPB2 Rabbit pAb |
| 中文名称 | 热休克蛋白B2抗体 |
| 英文别名 | DMPK-binding protein; Heat shock 27kD protein 2; Heat shock 27kDa protein 2; Heat shock protein beta-2; Heat-shock protein beta-2; Hs.78846; HSP27; HspB2; HSPB2_HUMAN; LOH11CR1K; MGC133245; MKBP. |
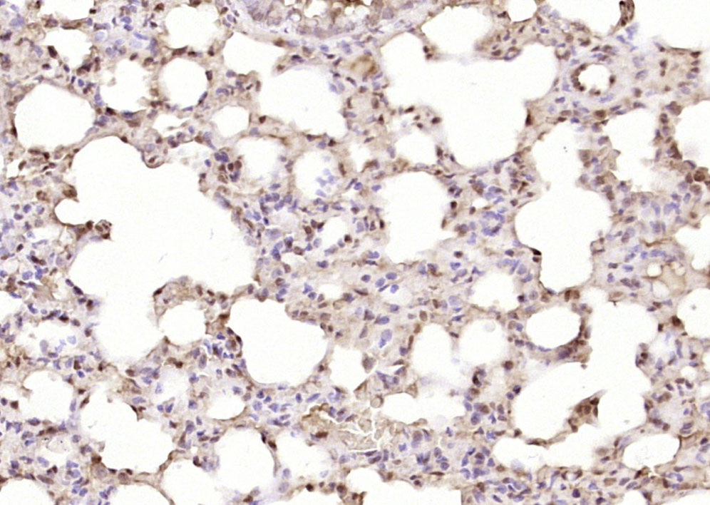
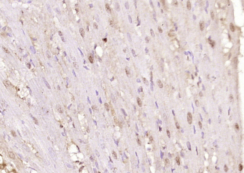
| 产品应用 | IHC-P=1:100-500, IHC-F=1:100-500, IF=1:100-500 Not yet tested in other applications. |
| 交叉反应 | Mouse, Rat (Human, Dog, Pig, Cow, Horse, Rabbit) |
| 抗体来源 | Rabbit |
| 免疫原 | KLH conjugated synthetic peptide derived from human HSPB2 |
| 亚型 | IgG |
| 性状 | Liquid |
| 纯化方法 | affinity purified by Protein A |
| 克隆类型 | Polyclonal |
| 理论分子量 | 20 kDa |
| 浓度 | 1mg/ml |
| 储存液 | 0.01M TBS (pH7.4) with 1% BSA, 0.02% Proclin300 and 50% Glycerol. |
| 研究领域 | Signal Transduction > Protein Trafficking > Chaperones > Heat Shock Proteins Signal Transduction > Protein Trafficking > Chaperones > Other Chaperones |
| 亚基 | Interacts with DMPK; may enhance its kinase activity. |
| 亚细胞定位 | Cytoplasm. Nucleus. Localizes to nuclear foci. |
| 组织特异性 | Expressed preferentially in skeletal muscle and heart. |
| 相似性 | Belongs to the small heat shock protein (HSP20) family. |
| 功能 | May regulate the kinase DMPK. |
| 保存条件 | Shipped at 4℃. Store at -20℃ for one year. Avoid repeated freeze/thaw cycles. |
| 注意事项 | This product as supplied is intended for research use only, not for use in human, therapeutic or diagnostic applications. |
| 背景资料 | The heat shock proteins (HSPs) comprise a group of highly conserved, abundantly expressed proteins with diverse functions, including the assembly and sequestering of multi-protein complexes, transportation of nascent polypeptide chains across cellular membranes and regulation of protein folding. HSPB2 (heat shock 27 kDa protein 2), also known as HSP 27 or MKBP, is a 182 amino acid protein that belongs to the heat shock protein family and is expressed preferentially in heart and skeletal muscle. Localized to mitochondria, HSPB2 functions as an ATP-dependent chaperone protein that plays a role in the refolding of denatured proteins and may also interact with the Actin cytoskeleton and prevent apoptotic cell death. HSPB2 is abundantly expressed in several cancer cell lines, suggesting that HSPB2 may be an important factor in tumor transformation and metastasis. |
| 应用 | 推荐稀释比例 |
| {IHC-P} | {1:100-500} |
| {IHC-F} | {1:100-500} |
| {IF} | {1:100-500} |



风险提示:丁香通仅作为第三方平台,为商家信息发布提供平台空间。用户咨询产品时请注意保护个人信息及财产安全,合理判断,谨慎选购商品,商家和用户对交易行为负责。对于医疗器械类产品,请先查证核实企业经营资质和医疗器械产品注册证情况。
文献和实验= NAL), appears to form upon oxidative cyclization of the nonfluorescent 2:1 lysine-HNE Michael adduct-Schiff base cross-link (Scheme 1). Polyclonal antibody (PAb) to the NAL-HNE fluorophore was raised in rabbit and found to be highly specific
GE Healthcare Benzamidine Sepharose™ 6B is p-aminobenzamidine covalently attached to Sepharose 6B by the epoxy coupling method. p-Aminobenzamidine (PAB), is a synthetic inhibitor of trypsin-like serine protease. Trypsin and trypsin
Nucleic Acid Programmable Protein Arrays: Versatile Tools for Array‐Based Functional Protein Studies
.g., Sigma) 50 mg/ml bis‐sulfosuccinimdylsuberate (BS3 ;Pierce, cat. no. PI 21580) in dimethylsulfoxide (DMSO) 5 mg/ml
技术资料暂无技术资料 索取技术资料










