相关产品推荐更多 >
万千商家帮你免费找货
0 人在求购买到急需产品
- 详细信息
- 文献和实验
- 技术资料
- 应用范围:
产品信息以Bioss网站为准
- 规格:
50ul/100ul/200ul
| 规格: | 50ul | 产品价格: | ¥1180.0 |
|---|---|---|---|
| 规格: | 100ul | 产品价格: | ¥1980.0 |
| 规格: | 200ul | 产品价格: | ¥2800.0 |
| 产品编号 | bs-7992R |
| 英文名称 | CCDC80 Rabbit pAb |
| 中文名称 | 卷曲螺旋结构域蛋白80抗体 |
| 英文别名 | DRO1; okuribin; SSG1; steroid sensitive gene 1; steroid sensitive protein 1; CCD50; CCD80_HUMAN; CCDC80; CL2; Coiled coil domain containing 80; Coiled coil domain containing protein 50; Coiled-coil domain-containing protein 80; Down regulated by oncogenes protein 1; Down-regulated by oncogenes protein 1; Nuclear envelope protein okuribin; Protein Ymer; Up-regulated in BRS-3 deficient mouse homolog; URB. |
| 产品应用 | IHC-P=1:100-500, IHC-F=1:100-500, IF=1:100-500 Not yet tested in other applications. |
| 交叉反应 | Mouse, Rat (Human, Chicken, Pig, Cow, Horse, Rabbit, Sheep) |
| 抗体来源 | Rabbit |
| 免疫原 | KLH conjugated synthetic peptide derived from human CCDC80 |
| 亚型 | IgG |
| 性状 | Liquid |
| 纯化方法 | affinity purified by Protein A |
| 克隆类型 | Polyclonal |
| 理论分子量 | 106 kDa |
| 浓度 | 1mg/ml |
| 储存液 | 0.01M TBS (pH7.4) with 1% BSA, 0.02% Proclin300 and 50% Glycerol. |
| 研究领域 | Developmental Biology > Organogenesis > Skeletal development > Bone Neuroscience > Neurology process > Metabolism Stem Cells > Mesenchymal Stem Cells > Adipogenesis |
| 亚基 | Binds to various extracellular matrix proteins (By similarity). |
| 亚细胞定位 | Secreted, extracellular space, extracellular matrix (By similarity). |
| 组织特异性 | Expressed in dermal papilla and dermal fibroblasts (at protein level). Expressed in heart, thymus, placenta, pancreas, colon, epithelium, spleen and osteoblasts. |
| 翻译后修饰 | Phosphorylated. |
| 相似性 | Belongs to the CCDC80 family. |
| 功能 | Promotes cell adhesion and matrix assembly (By similarity). |
| 保存条件 | Shipped at 4℃. Store at -20℃ for one year. Avoid repeated freeze/thaw cycles. |
| 注意事项 | This product as supplied is intended for research use only, not for use in human, therapeutic or diagnostic applications. |
| 背景资料 | CCDC80 (Coiled-Coil Domain Containing 80) is a Protein Coding gene. Diseases associated with CCDC80 include Herpes Zoster Oticus and Localized Osteosarcoma. Gene Ontology (GO) annotations related to this gene include heparin binding and glycosaminoglycan binding. |
| 应用 | 推荐稀释比例 |
| {IHC-P} | {1:100-500} |
| {IHC-F} | {1:100-500} |
| {IF} | {1:100-500} |

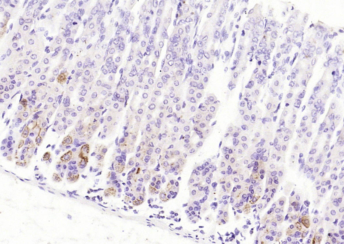
Paraformaldehyde-fixed, paraffin embedded (rat stomach); Antigen retrieval by boiling in sodium citrate buffer (pH6.0) for 15min; Block endogenous peroxidase by 3% hydrogen peroxide for 20 minutes; Blocking buffer (normal goat serum) at 37°C for 30min; Antibody incubation with (CCDC80) Polyclonal Antibody, Unconjugated (bs-7992R) at 1:200 overnight at 4°C, followed by operating according to SP Kit(Rabbit) (sp-0023) instructionsand DAB staining.

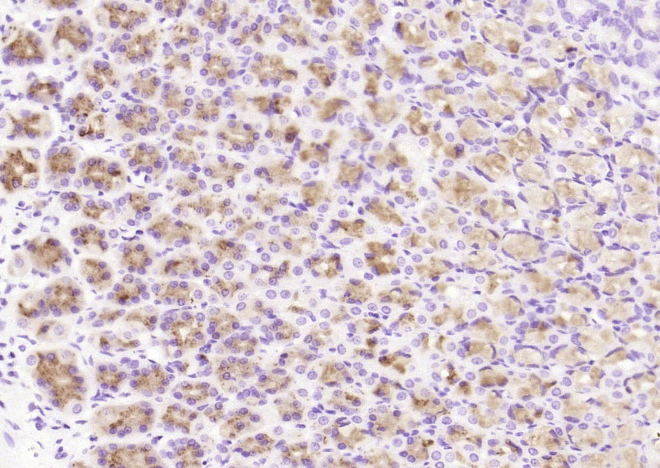
Paraformaldehyde-fixed, paraffin embedded (mouse stomach); Antigen retrieval by boiling in sodium citrate buffer (pH6.0) for 15min; Block endogenous peroxidase by 3% hydrogen peroxide for 20 minutes; Blocking buffer (normal goat serum) at 37°C for 30min; Antibody incubation with (CCDC80) Polyclonal Antibody, Unconjugated (bs-7992R) at 1:200 overnight at 4°C, followed by operating according to SP Kit(Rabbit) (sp-0023) instructionsand DAB staining.
风险提示:丁香通仅作为第三方平台,为商家信息发布提供平台空间。用户咨询产品时请注意保护个人信息及财产安全,合理判断,谨慎选购商品,商家和用户对交易行为负责。对于医疗器械类产品,请先查证核实企业经营资质和医疗器械产品注册证情况。
文献和实验该产品被引用文献
[IF={{ 6.684 }}] {Jing Wang. et al. Coiled-Coil Domain Containing 80 Suppresses Nonylphenol-Induced Colorectal Cancer Cell Proliferation by Inhibiting the Activation of ERK1/2. Front Cell Dev Biol. 2021; 9: 759820} {IHC} {Human}
技术资料暂无技术资料 索取技术资料
文献支持
CCDC80 Rabbit pAb(bs-7992R)-50ul/100ul/200ul
¥1180 - 2800









