相关产品推荐更多 >

TMEM175 Rabbit pAb(bs-18922R)-50ul/100ul/200ul
¥1180
KIF13B Rabbit pAb, Cy7 conjugated(bs-12387R-Cy7)-100ul
¥2980
CD101 Rabbit pAb, PE-Cy5.5 conjugated(bs-10727R-PE-Cy5.5)-100ul
¥2980
phospho-beta Actin (Tyr53) Rabbit pAb, PerCP conjugated(bs-12581R-PerCP)-100ul
¥2980
RUNDC3B Rabbit pAb(bs-18968R)-50ul/100ul/200ul
¥1180
万千商家帮你免费找货
0 人在求购买到急需产品
- 详细信息
- 文献和实验
- 技术资料
- 应用范围:
产品信息以Bioss网站为准
- 规格:
50ul/100ul/200ul
| 规格: | 50ul | 产品价格: | ¥1180.0 |
|---|---|---|---|
| 规格: | 100ul | 产品价格: | ¥1980.0 |
| 规格: | 200ul | 产品价格: | ¥2800.0 |
| 产品编号 | bs-5888R |
| 英文名称 | Hyaluronidase2 Rabbit pAb |
| 中文名称 | 透明质酸酶2/玻璃酸酶2抗体 |
| 英文别名 | Hyal 2; Hyal-2; Hyal2; HYAL2_HUMAN; Hyaluronidase 2; Hyaluronidase 2 Precursor; Hyaluronidase-2; Hyaluronoglucosaminidase 2; Hyaluronoglucosaminidase-2; LUCA 2; LUCA-2; LUCA2; Lung carcinoma protein 2; lysosomal hyaluronidase; PH 20 homolog. |
| 产品应用 | WB=1:500-2000, IHC-P=1:100-500, IHC-F=1:100-500, IF=1:100-500 Not yet tested in other applications. |
| 交叉反应 | Human, Mouse (Rat) |
| 抗体来源 | Rabbit |
| 免疫原 | KLH conjugated synthetic peptide derived from human HYAL2 |
| 亚型 | IgG |
| 性状 | Liquid |
| 纯化方法 | affinity purified by Protein A |
| 克隆类型 | Polyclonal |
| 理论分子量 | 49 kDa |
| 浓度 | 1mg/ml |
| 储存液 | 0.01M TBS (pH7.4) with 1% BSA, 0.02% Proclin300 and 50% Glycerol. |
| 研究领域 | Cancer > Invasion/microenvironment > ECM > Extracellular matrix Signal Transduction > Cytoskeleton / ECM > Extracellular Matrix > ECM Enzymes > Other Enzymes |
| 亚基 | Interacts with MST1R. |
| 亚细胞定位 | Cell membrane; Lipid-anchor, GPI-anchor. |
| 组织特异性 | Widely expressed. No expression detected in adult brain. |
| 相似性 | Belongs to the glycosyl hydrolase 56 family. Contains 1 EGF-like domain. |
| 功能 | Hydrolyzes high molecular weight hyaluronic acid to produce an intermediate-sized product which is further hydrolyzed by sperm hyaluronidase to give small oligosaccharides. Displays very low levels of activity. Associates with and negatively regulates MST1R. |
| 保存条件 | Shipped at 4℃. Store at -20℃ for one year. Avoid repeated freeze/thaw cycles. |
| 注意事项 | This product as supplied is intended for research use only, not for use in human, therapeutic or diagnostic applications. |
| 背景资料 | Hydrolyzes high molecular weight hyaluronic acid to produce an intermediate-sized product which is further hydrolyzed by sperm hyaluronidase to give small oligosaccharides. Displays very low levels of activity. Associates with and negatively regulates MST1R. |
| 应用 | 推荐稀释比例 |
| {WB} | {1:500-2000} |
| {IHC-P} | {1:100-500} |
| {IHC-F} | {1:100-500} |
| {IF} | {1:100-500} |

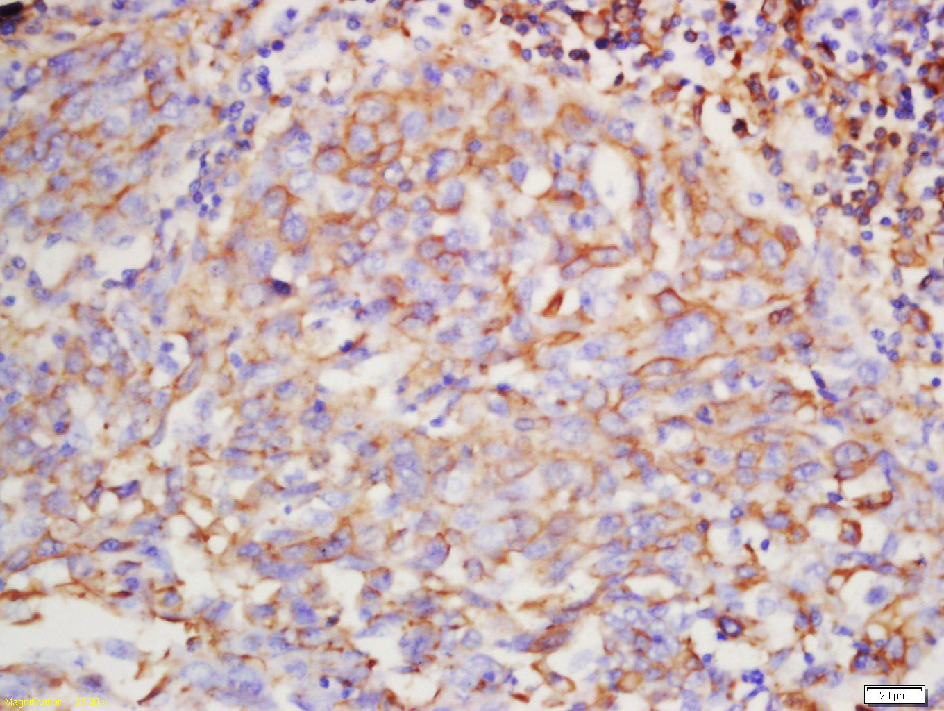
Primary: Anti-Hyaluronidase2 (bs-5888R) at 1/300 dilution
Secondary: HRP conjugated Goat-Anti-rabbit IgG (bs-0295G-HRP) at 1/5000 dilution
Predicted band size: 49 kD
Observed band size: 49 kD

Antigen retrieval: citrate buffer ( 0.01M, pH 6.0 ), Boiling bathing for 15min; Block endogenous peroxidase by 3% Hydrogen peroxide for 30min; Blocking buffer (normal goat serum,C-0005) at 37℃ for 20 min;
Incubation: Anti-Hyluronidase 2 Polyclonal Antibody, Unconjugated(bs-5888R) 1:200, overnight at 4°C, followed by conjugation to the secondary antibody(SP-0023) and DAB(C-0010) staining
风险提示:丁香通仅作为第三方平台,为商家信息发布提供平台空间。用户咨询产品时请注意保护个人信息及财产安全,合理判断,谨慎选购商品,商家和用户对交易行为负责。对于医疗器械类产品,请先查证核实企业经营资质和医疗器械产品注册证情况。
文献和实验[IF={{ 6.438 }}] {Anna Kocurkova. et al. Endogenously produced hyaluronan contributes to the regulation of peritoneal adhesion development. BIOFACTORS. 2023 May;:} {IHC} {Mouse}
[IF={{ 4.879 }}] {Petra Žádníková. et al. The Degradation of Hyaluronan in the Skin. Biomolecules. 2022 Feb;12(2):251} {WB,IHC,IF} {Human}
[IF={{ 3.6 }}] {Romana Šínová. et al. The hyaluronan metabolism in the UV-irradiated human epidermis and the relevance of in vitro epidermal models. EXP DERMATOL. 2023 Jul;:} {IF} {Human}
[IF={{ 3.1 }}] {Benben Sun. et al. Protecting and rejuvenating ageing skin by regulating endogenous hyaluronan metabolism using adipose-derived stem cell-secreted siRNAs. FRONT MED-LAUSANNE. 2025 Apr;12:} {WB} {Mouse}
= NAL), appears to form upon oxidative cyclization of the nonfluorescent 2:1 lysine-HNE Michael adduct-Schiff base cross-link (Scheme 1). Polyclonal antibody (PAb) to the NAL-HNE fluorophore was raised in rabbit and found to be highly specific
Alcian Blue Stain Alcian Blue-PAS Stain (PAB) Hyaluronidase Digestion for Alcian Blue Alizarin Stain for calcium Auramine-Rhodamine Stain (fluorescent
GE Healthcare Benzamidine Sepharose™ 6B is p-aminobenzamidine covalently attached to Sepharose 6B by the epoxy coupling method. p-Aminobenzamidine (PAB), is a synthetic inhibitor of trypsin-like serine protease. Trypsin and trypsin
技术资料暂无技术资料 索取技术资料





