相关产品推荐更多 >

Axin1 Rabbit pAb, BF488 conjugated(bs-2439R-BF488)-100ul
¥2980
PANK2 Rabbit pAb, Biotin conjugated(bs-8338R-Bio)-100ul
¥2980
Smac Rabbit pAb, BF750 conjugated(bs-0667R-BF750)-100ul
¥2980
alpha smooth muscle Actin Rabbit pAb, Biotin conjugated(bs-10196R-Bio)-100ul
¥2980
DISC1 (CT) Rabbit pAb, AP conjugated(bs-0430R-AP)-100ul
¥2980
万千商家帮你免费找货
0 人在求购买到急需产品
- 详细信息
- 文献和实验
- 技术资料
- 应用范围:
产品信息以Bioss网站为准
- 规格:
50ul/100ul/200ul
| 规格: | 50ul | 产品价格: | ¥1180.0 |
|---|---|---|---|
| 规格: | 100ul | 产品价格: | ¥1980.0 |
| 规格: | 200ul | 产品价格: | ¥2800.0 |
| 产品编号 | bs-5856R |
| 英文名称 | ADAMTS13 Rabbit pAb |
| 中文名称 | 整合素样金属蛋白酶与凝血酶13型抗体 |
| 英文别名 | Cleaves the vWF multimers in plasma into smaller forms. Von Willebrand factor cleaving protease; A disintegrin and metalloproteinase with thrombospondin motifs 13; A disintegrin like and metalloprotease(reprolysin type) with thrombospondin type 1 motif 13; A disintegrin like and metalloprotease with thrombospondin type 1 motif 13; ADAM metallopeptidase with thrombospondin type 1 motif 13; ADAM TS 13; ADAM TS13; ADAM-TS 13; ADAM-TS13; ADAMTS 13; ADAMTS-13; ADAMTS13; ADAMTS13 protein; ATS13_HUMAN; C9orf8; TTP; von Willebrand factor-cleaving protease; vWF cleaving protease; vWF CP; vWF-cleaving protease; vWF-CP; vWFCP. |
| 产品应用 | WB=1:500-2000, IHC-P=1:100-500, IHC-F=1:100-500, IF=1:100-500 Not yet tested in other applications. |
| 交叉反应 | Human, Mouse (Rat, Dog, Pig, Cow, Horse) |
| 抗体来源 | Rabbit |
| 免疫原 | KLH conjugated synthetic peptide derived from human ADAMTS13 |
| 亚型 | IgG |
| 性状 | Liquid |
| 纯化方法 | affinity purified by Protein A |
| 克隆类型 | Polyclonal |
| 理论分子量 | 145 kDa |
| 浓度 | 1mg/ml |
| 储存液 | 0.01M TBS (pH7.4) with 1% BSA, 0.02% Proclin300 and 50% Glycerol. |
| 研究领域 | Cancer > Invasion/microenvironment > ECM > Extracellular matrix > ADAM protein family Cell Biology > Proteolysis / Ubiquitin > Proteolytic enzymes > Metalloprotease > ADAM TS Signal Transduction > Cytoskeleton / ECM > Extracellular Matrix > ECM Enzymes > ADAM Protein Family |
| 亚细胞定位 | Secreted. Note=Secretion enhanced by O-fucosylation of TSP type-1 repeats. |
| 组织特异性 | Plasma. Expressed primarily in liver. |
| 翻译后修饰 | Glycosylated. O-fucosylated by POFUT2 on a serine or a threonine residue found within the consensus sequence C1-X(2)-(S/T)-C2-G of the TSP type-1 repeat domains where C1 and C2 are the first and second cysteine residue of the repeat, respectively. Fucosylated repeats can then be further glycosylated by the addition of a beta-1,3-glucose residue by the glucosyltransferase, B3GALTL. Fucosylation mediates the efficient secretion of ADAMTS13. May also be C-glycosylated on tryptophan residues within the consensus sequence W-X-X-W of the TPRs, and also N-glycosylated. These other glycosylations can also facilitate secretion. The precursor is processed by a furin endopeptidase which cleaves off the pro-domain. |
| 相似性 | Contains 2 CUB domains. Contains 1 disintegrin domain. Contains 1 peptidase M12B domain. Contains 8 TSP type-1 domains. |
| 功能 | Cleaves the vWF multimers in plasma into smaller forms. |
| 保存条件 | Shipped at 4℃. Store at -20℃ for one year. Avoid repeated freeze/thaw cycles. |
| 注意事项 | This product as supplied is intended for research use only, not for use in human, therapeutic or diagnostic applications. |
| 背景资料 | This gene encodes a member of the ADAMTS (a disintegrin and metalloproteinase with thrombospondin motif) protein family. Members of the family share several distinct protein modules, including a propeptide region, a metalloproteinase domain, a disintegrin-like domain, and a thrombospondin type 1 (TS) motif. Individual members of this family differ in the number of C-terminal TS motifs, and some have unique C-terminal domains. The enzyme encoded by this gene is the von Willebrand Factor (vWF)-cleaving protease, which is responsible for cleaving at the site of Tyr842-Met843 of the vWF molecule. A deficiency of this enzyme is associated with thrombotic thrombocytopenic purpura. Alternative splicing of this gene generates multiple transcript variants encoding different isoforms. [provided by RefSeq, Nov 2008]. |
| 应用 | 推荐稀释比例 |
| {WB} | {1:500-2000} |
| {IHC-P} | {1:100-500} |
| {IHC-F} | {1:100-500} |
| {IF} | {1:100-500} |

Liver (Mouse) Lysate at 40 ug
Primary: Anti-ADAMTS13 (bs-5856R) at 1/1000 dilution
Secondary: IRDye800CW Goat Anti-Rabbit IgG at 1/20000 dilution
Predicted band size: 145 kD
Observed band size: 155 kD

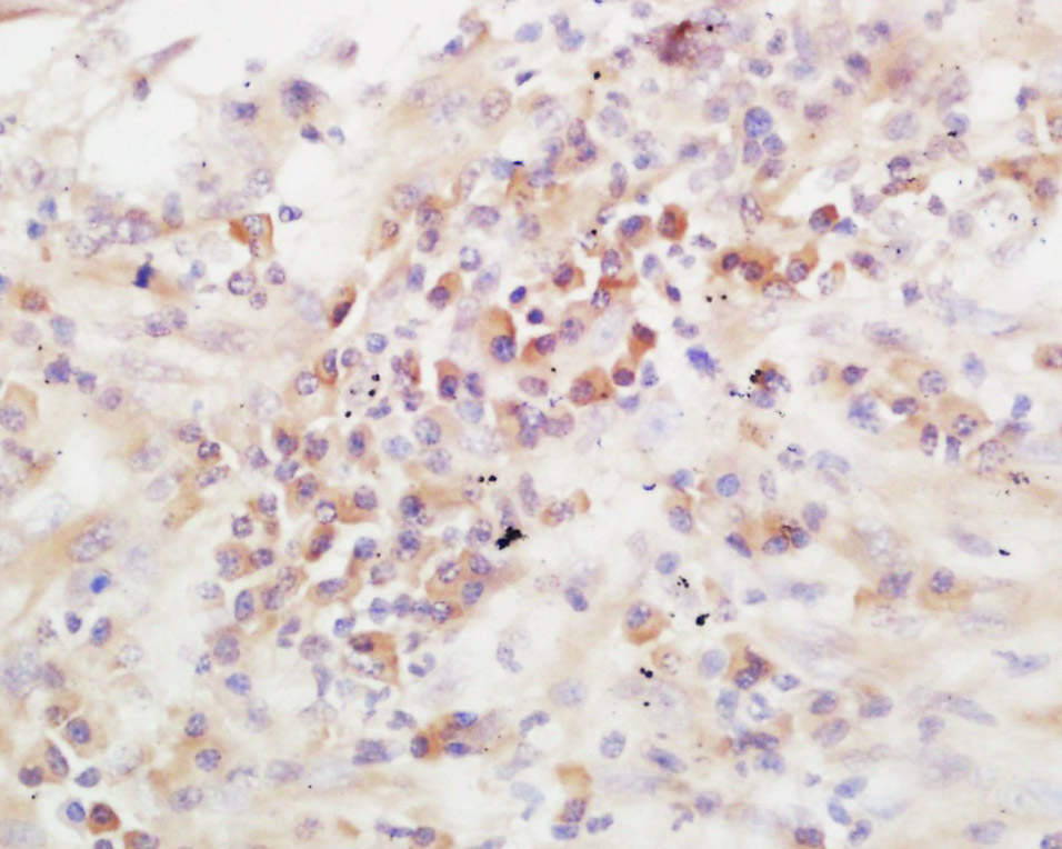
Antigen retrieval: citrate buffer ( 0.01M, pH 6.0 ), Boiling bathing for 15min; Block endogenous peroxidase by 3% Hydrogen peroxide for 30min; Blocking buffer (normal goat serum,C-0005) at 37℃ for 20 min;
Incubation: Anti-ADAMTS13 Polyclonal Antibody, Unconjugated(bs-5856R) 1:200, overnight at 4°C, followed by conjugation to the secondary antibody(SP-0023) and DAB(C-0010) staining
风险提示:丁香通仅作为第三方平台,为商家信息发布提供平台空间。用户咨询产品时请注意保护个人信息及财产安全,合理判断,谨慎选购商品,商家和用户对交易行为负责。对于医疗器械类产品,请先查证核实企业经营资质和医疗器械产品注册证情况。
文献和实验[IF={{ 5.6 }}] {Masakazu Saeki. et al. Assaying ADAMTS13 Activity as a Potential Prognostic Biomarker for Sinusoidal Obstruction Syndrome in Mice. INT J MOL SCI. 2023 Jan;24(22):16328} {IHC} {Mouse}
= NAL), appears to form upon oxidative cyclization of the nonfluorescent 2:1 lysine-HNE Michael adduct-Schiff base cross-link (Scheme 1). Polyclonal antibody (PAb) to the NAL-HNE fluorophore was raised in rabbit and found to be highly specific
GE Healthcare Benzamidine Sepharose™ 6B is p-aminobenzamidine covalently attached to Sepharose 6B by the epoxy coupling method. p-Aminobenzamidine (PAB), is a synthetic inhibitor of trypsin-like serine protease. Trypsin and trypsin
Nucleic Acid Programmable Protein Arrays: Versatile Tools for Array‐Based Functional Protein Studies
.g., Sigma) 50 mg/ml bis‐sulfosuccinimdylsuberate (BS3 ;Pierce, cat. no. PI 21580) in dimethylsulfoxide (DMSO) 5 mg/ml
技术资料暂无技术资料 索取技术资料






